Cookie Consent byPrivacyPolicies.comInstrument cassé et RCP - Eugenol

Instrument cassé et RCP

Pranou44

24/11/2015 à 14h45

Bonjour, je suis confronté à un petit problème.
J'ai effectué un remplacement pendant les vacances de la toussaint pendant lequel j'ai malheureusement cassé un instrument NiTi lors d'une endo molaire. Patiente prévenue, praticien prévenu. Je laisse-le soin au praticien la suite pour ce patient pour la conduite suivre puisque c'est lui qui réalisera la prothèse.
Aujourd'hui, rappel de ce praticien, qui me dit qu'il n'a pas réussi à retirer cet instrument tout comme moi, et qu'il va l'adresser au Centre de soin dentaire de la fac la plus proche (DU endo).
Ma question est : dois je faire appel à ma RCP pour la prise en charge des frais et si oui il y a t'il un risque de voir ma cotisation mensuelle augmenter (je suis jeune praticien). Dois je plutôt payer le retrait en direct mais dans ce cas là seulement 50% du fait que ma rétrocession était elle aussi de 50%.
J'ai en tout cas l'intention de réclamer la totalité de la rétrocession initiale de mon rempla et par la suite payer ce que je dois sur présentation du devis.
Merci de vos réponses


VivaEuropa?

24/11/2015 à 15h04

Quelques remarques :

S'il s'agit d'un aléa thérapeutique, ne pas se précipiter sur la rcp qui n'est pas là pour solvabiliser les patients (tes cotisations rcp non plus).

Ne rien payer en fond propre.

Ne pas suggérer au patient que tu pourrais prendre en charge la reprise du traitement.

Ne pas suggérer au spé endo que toi ou ta rcp pourrait prendre en charge ses honoraires.

Tu laisses entendre que tu pourrais ne pas récupérer l'intégralité de tes honoraires pour ton rempla de la Toussaint?

Bien évidemment, si pour aller plus vite tu as tenté une endo avec un CA bague bleu, la situation est un peu différente ;-)


Pranou44

24/11/2015 à 15h11

Alors le rempla a duré jusqu'au 6 novembre et j'ai pour l'instant reçu 75% de ma rétrocession. Je pense que le praticien remplacé en garde (beaucoup) sous le coude pour le montant des honoraires du retrait de l'instrument. Concernant le fait de prendre en charge le retrait de l'instrument, ce n'est pas moi mais le praticien titulaire qui m'en parle et qui a sûrement du en parler à la patiente. Pour le fait que ce soit un aléa thérapeutique, je suis bien de votre avis et je ne pense pas de toute façon que la RCP prendrait en charge.


le figou

24/11/2015 à 15h19

Pranou44 écrivait:
------------------
> Alors le rempla a duré jusqu'au 6 novembre et j'ai pour l'instant reçu 75% de ma
> rétrocession. Je pense que le praticien remplacé en garde (beaucoup) sous le
> coude pour le montant des honoraires du retrait de l'instrument. Concernant le
> fait de prendre en charge le retrait de l'instrument, ce n'est pas moi mais le
> praticien titulaire qui m'en parle et qui a sûrement du en parler à la patiente.
> Pour le fait que ce soit un aléa thérapeutique, je suis bien de votre avis et je
> ne pense pas de toute façon que la RCP prendrait en charge.

rcp sans hésitation. un spé endo c'est 500€ minimum . ta rcp n'est pas là pour rembourser tes conneries mais assurer l'aléa thérapeutique . un instrument qui casse ça arrive même aux meilleurs.
pose toi la question ,si tu étais la patiente, comment souhaiterais -tu que ça se passe tant sur le plan médical que sur le plan financier?


Pranou44

24/11/2015 à 15h25

Je pense que le tarif va plutôt tourner autour des 175-200€ à la fac et quid du 50/50 entre le titulaire et moi du fait de la rétrocession de 50%


BucaR

24/11/2015 à 15h30

au lieu de retirer l'instrument, as-tu essayé de passer à côté (by-pass) voire d'obturer avec la gutta s'il est fracturé au 1/3 apical?

gardes plutôt ta rcp pour (touche du bois, j'espère pour toi que tu en auras pas) les cas "graves".

après si ce n'est que 200 balles à la fac, prend les en charge


Pranou44

24/11/2015 à 15h36

L'instrument s'est cassé à la base donc il est entier quasiment dans le canal donc normalement pas trop difficile à retirer pour un spé mis impossible de passer à côté. Passons sur les raisons de cette fracture (cabinet nouveau, pas glyde, ouverture chambre pas satisfaisante ? Problème de l'instrument ? Problème de moi !?) vous semble-t-il honnête de demander à régler en 50/50 entre moi et le titulaire ou je pousse le bouchon un peu trop loin !!!


tarski

24/11/2015 à 17h31

gaffe aux spé "endo"...ils ont tendance à "solvabiliser" les patients que nous leurs adressons en leurs conseillant de faire appel à la RCP...vécu dans mon coin...

T'es allé voir l'endo de ta fac pour expliquer ?


Pranou44

24/11/2015 à 17h36

Nan je ne n'ai pas encore pris contact avec lui. Ce que je vais faire, c'est demander l'intégralité de ma rétrocession du rempla, d'orienter le patient vers la fac avec un courrier ou est spécifié mon nom et mon numéro de téléphone. La patiente aura un devis /facture pour le retrait de l'instrument. En fonction du montant je verrais à ce moment là entre la RCP et payer avec mon compte pro. Vous en pensez quoi ?


G-P

24/11/2015 à 22h46

Instrument cassé = aléa thérapeutique, ni toi ni ton assurance n'êtes responsables.
Exige immédiatement l'intégralité de tes honoraires, si ton titulaire veut assumer financièrement quelque chose dont il n'est pas responsable, grand bien lui fasse.

Attention, si tu signales cela à ta RCP, celle-ci à tendance à payer les suites éventuelles, pour éviter un imbroglio juridique. Mais devant la loi, tu n'es pas responsable.


dock

24/11/2015 à 22h50

Pranou44 écrivait:
------------------
vous semble-t-il honnête de demander à régler en 50/50 entre moi et le titulaire ou je pousse le bouchon un peu trop loin !!!



Merci!
J'ai bien rigolé!


Capture d  cran 2015 03 12 12.28 - Eugenol
chicot29

25/11/2015 à 00h01

Ca ne sera pas le dernier que tu casseras. Vu le nombre d'instruments pétés qu'on croise et a symptomatiques pas la peine d'en faire un fromage.


Tozzi

25/11/2015 à 00h01

La dent est symptomatique ?
Si la RCP devait payer pour chaque instrument cassé, elle ferait faillite.
Et depuis quand un traitement endo est à 100% de réussite ?


Capture d  cran 2015 03 12 12.28 - Eugenol
chicot29

25/11/2015 à 00h19

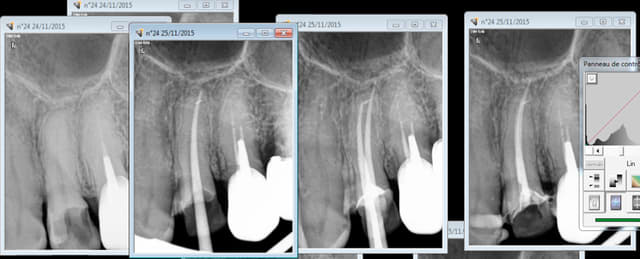
Tiens ca faisait longtemps. ceci dit patient qui arrive avec une demi heure de retard et raide de surcroit. Total des courses endo en 30 mn, dentiste énervé et ..... butée dans la racine mésiale impossible de passer avec autre chose qu'une lime 15, ca vaut bien un instrument pété niveau conséquences. Au pire réssection apicale dans quelques années -))))

Capture d e cran 2015 11 24 23.14 - Eugenol

Capture d  cran 2015 03 12 12.28 - Eugenol
chicot29

25/11/2015 à 00h27

J'ai ensuite retrouvé mon calme sur la suivante. -))))

Capture d e cran 2015 11 24 23.26 - Eugenol

Pranou44

25/11/2015 à 00h34

Non la dent n'est pas symptomatique. Merci pour vos réponses, je vais téléphoner demain pour exposer mon point de vue et trouver une solution!


Capture d  cran 2015 03 12 12.28 - Eugenol
chicot29

25/11/2015 à 14h18

Tu dis rien en général, il ne se passe rien. C'est un aléa thérapeutique. Tu surveilles l'évolution éventuelle. Un apex en crochet par exemple ca arrive et à tout le monde endos exclusifs inclus ( moins peut etre parce qu'ils prennent leur temps et qu'ils font ca toute la journée)
Je paye une caisse de champagne à l'endo exclusif qui va me retirer ca par voie orthograde.-)))
Ca c'est à cause du localisateur d'apex, j'y étais mais ce con me disait que j'y étais pas tu insistes et paf. ( il a merdé sur l'autre canal d'ailleurs dépassement de 2 mm cone radio coupé de 2mm)

Capture d e cran 2015 11 25 13.18 - Eugenol

paradoxe

25/11/2015 à 15h04

Jolie l'endo sous la 15 (ou 25): pas de cône, incomplète, 5mn avec une simple pate et un lentullo, la couronne semble être là depuis longtemps, aucune image radio périapicale, tout va bien
Et tu stresses pour une endo monocanale facile mais consciencieuse...
Il y a de quoi se poser des questions perturbantes, non ? ;-)


Zorba le grec 1373406512 108 lfk5ey - Eugenol
zorbalegrec

25/11/2015 à 17h12

Et les industriels qui fabriquent ces fameuses limes, voir les vendeurs de ces limes ont ils une obligation.
Il se peut que certaines limes ont un vice caché mais ça comment le prouver.
Qui n'a jamais pétée une lime neuve sortant de son blister, en ayant respecté le couple et la vitesse préconisée.


Capture d  cran 2015 03 12 12.28 - Eugenol
chicot29

25/11/2015 à 18h53

paradoxe écrivait:
------------------

> Et tu stresses pour une endo monocanale facile mais consciencieuse...

Et non 2 canaux et pas facile de progresser jusqu'à l'apex. Et doublement pas facile le sujet étant stressé à fond ( genre je réagis au moindre bruit et vibration en l'absence de toute douleur obligé en plus de travailler à sec car panique avec le spray).

Capture d e cran 2015 11 25 17.58 - Eugenol

arvag

25/11/2015 à 19h42

Ouf, j'ai eu de la chance sur ce coup là!
un peu de colle auto (Breeze) au lentulo dans l'aiguille.

Dsc05768 evmhn0 - Eugenol
Dsc05958 ivrfh4 - Eugenol
Dsc05957 ksklay - Eugenol

Picodon

25/11/2015 à 19h48

arvag écrivait:
---------------
> Ouf, j'ai eu de la chance sur ce coup là!
> un peu de colle auto (Breeze) au lentulo dans l'aiguille.
>

Chapeau! Comment fais-tu pour être sûr qu'un peu de colle ne va pas sortir de l'aiguille, aller se mettre dans le canal et le boucher (voire coller carrément l'instrument et/ou l'aiguille dans le canal)?


Blue eye thumb medium dx1i0w - Eugenol
bill

25/11/2015 à 20h02

arvag écrivait:
---------------
> Ouf, j'ai eu de la chance sur ce coup là!
> un peu de colle auto (Breeze) au lentulo dans l'aiguille.
>

Joli !
Fallait y penser... ;-)
--

http://docbay.fr
Matériel pro moins cher
_______________________


Lolo22

25/11/2015 à 20h26

arvag écrivait:
---------------
> Ouf, j'ai eu de la chance sur ce coup là!
> un peu de colle auto (Breeze) au lentulo dans l'aiguille.
>

grave stylé comme technique Mac Gyver


arvag

25/11/2015 à 21h09

Picodon écrivait:
-----------------
> arvag écrivait:
> ---------------
> > Ouf, j'ai eu de la chance sur ce coup là!
> > un peu de colle auto (Breeze) au lentulo dans l'aiguille.
> >
>
> Chapeau! Comment fais-tu pour être sûr qu'un peu de colle ne va pas sortir de
> l'aiguille, aller se mettre dans le canal et le boucher (voire coller carrément
> l'instrument et/ou l'aiguille dans le canal)?

Le Breeze est une colle composite suffisamment consistante pour ne pas s'ecouler. L'excès peut s'évacuer dans l'aiguille lors de l'insertion sur l'instrument. L'aiguille est recoupée à bonne longueur et l'orifice aminci au maximum en introduisant une fraise conique. Tu laisses le bout rugueux ce qui permet de progresser dans le canal en tournant l'aiguille manuellement.


12