Cookie Consent byPrivacyPolicies.com2 fois plus de plaisir... - Eugenol

2 fois plus de plaisir...

aterman

27/11/2015 à 13h49

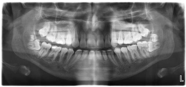
Patient adresse pour extraire 48-38. Seules des btw sont dans le dossier.
Petite pano pre op :0))

1 g3jowm - Eugenol

roger chicot

27/11/2015 à 14h44

Ben, 'faut qu'il mettent 39 et 49 pour la ccam !


Rape p0as4f - Eugenol
rapelapente

27/11/2015 à 15h45

Y'a vraiment des patient qui exagèrent !
Ça doit être un MGEN celui là non ?
:-))


Capture d  cran 2015 05 13   10.37 - Eugenol
BA

27/11/2015 à 16h17

Et finalement tu cotes comment avec la CCAM ????


aterman

27/11/2015 à 17h50

Sous anesthesie locale donc en 2 sceances.

Consultation: 120
Panoramique: 70
Extractions: 400x2

Suis interne en Stomato donc quand serai specialiste majoration de 25%. :0))

Pour les cotations Ccam si quelqu un peut me dire?


Images mg2jvu - Eugenol
zorg

06/12/2015 à 18h20

HBGD025+ HBGD040 (actuellement)

HBGD025+ HBGD402 (bientôt)


Little shop of horrors brzqjx - Eugenol
chatondecarte

06/12/2015 à 22h37

A 400€ de l'heure je veux bien en faire toute la journée des DDS ^^

--
Mon book de chirurgie :
http://facebook.fr/drbbenichou


Smile beach jgh0a1 - Eugenol
Céramik

06/12/2015 à 22h48

Cone beam 200 euro
Consultation 28 euro (et oui)
Extractions: 480 euro par côté (faut compenser pour la consult)

La majorité des CD de mon coin ne font pas ces cas, trop complexes...Les maxillo demandent 1000 euro par côté chez moi...




--
Céramik


Little shop of horrors brzqjx - Eugenol
chatondecarte

06/12/2015 à 23h01

On est juste complètement con en France d'accepter de faire ce taf pour 80 balles...

--
Mon book de chirurgie :
http://facebook.fr/drbbenichou


Smile beach jgh0a1 - Eugenol
Céramik

06/12/2015 à 23h47


J'ai bcp de patients français, et ils sont surpris que je fasse les DDS simplement comme ça sous local. Ils me disent "chez moi, c'est direct hosto et anesthésie (générale ?)"

Ah la digue, ça les surprend un peu aussi, mais ils aiment au final ;-)


--
Céramik


Little shop of horrors brzqjx - Eugenol
chatondecarte

07/12/2015 à 00h20

Bah oui en France c est pas qu on sait pas faire des dds ou poser la digue.
Mais appartement ni la sécu ni le gouvernement ne veut qu on le fasse....

J'ai pas encore bien compris pourquoi.

Et tes patients français, ils sont pas surpris des honoraires?

--
Mon book de chirurgie :
http://facebook.fr/drbbenichou


Smile beach jgh0a1 - Eugenol
Céramik

07/12/2015 à 00h43

chatondecarte écrivait:
-----------------------

>
> Et tes patients français, ils sont pas surpris des honoraires?


Pas trop surpris en fait.
Les couronne sont moins chères que chez vous ;-)

Et la digue, c'est gratuit ;-) Je la pose pour moi, sur tous les soins : simples ou complexes, unitaire ou par secteur. Protocole universel. La majorité des cd posent la digue que pour les endo. Je suis trop nul pour bosser sans digue !
--
Céramik


S2y2o1v7q53ws4r5wy6ou8czrpom - Eugenol
pxav

07/12/2015 à 09h07



Quand je serais grand, j'aimerais bien être aussi nul que toi...

--
xbk
"Si tous ceux qui croient avoir raison n'avaient pas tort, la vérité ne serait pas loin" Dac Pierre