Cookie Consent byPrivacyPolicies.comMarre des resultats aleatoires sur les grosses reconstitions - Eugenol

Marre des resultats aleatoires sur les grosses reconstitions

moritooth

30/11/2015 à 00h43

Il faudrait pouvoir évaluer la chose suivante : sur 100 reprises de traitement faites sur des dents qui étaient considérées comme restaurées définitivement, combien sont dûes :

1- à des problèmes endodontiques sous des couronnes ?
2- à des infiltrations carieuses, fractures de parois restantes, ou nécrose sous des obturations (composite ou onlay)?

Pour ce qui me concerne, j'ai l'impression ( je dit bien l'impression) que la tendance est entrain de s'inverser. Non pas parce nous travaillons mieux en endo, le nombre de pathologies post endo me semble relativement stable, mais parce que le nombre d'obturations importantes sur dents vivantes augmente fortement et les problèmes avec.


3231500709 2 2 94jcbpqu h1bmap - Eugenol
T4xus

30/11/2015 à 01h08

moritooth écrivait:
-------------------
> Il faudrait pouvoir évaluer la chose suivante : sur 100 reprises de traitement
> faites sur des dents qui étaient considérées comme restaurées définitivement,
> combien sont dûes :
>
> 1- à des problèmes endodontiques sous des couronnes ?
> 2- à des infiltrations carieuses, fractures de parois restantes, ou nécrose sous
> des obturations (composite ou onlay)?
>
> Pour ce qui me concerne, j'ai l'impression ( je dit bien l'impression) que la
> tendance est entrain de s'inverser. Non pas parce nous travaillons mieux en
> endo, le nombre de pathologies post endo me semble relativement stable, mais
> parce que le nombre d'obturations importantes sur dents vivantes augmente
> fortement et les problèmes avec.
>
>

Quand tu refais un traitement sur une dent vivante et non couronnée, tu sais que tu peux encore faire endo/IC/couronne, alors que quant il s'agit de refaire quelque chose sur une dent déjà dévitalisée et couronnée, ça sent quand même plus souvent le davier...


moritooth

30/11/2015 à 01h27

Je ne te dis pas le contraire. Le postulat de départ d'une telle évaluation, c'est qu'un traitement initial bien conduit est définitif, et n'entraine pas de nécéssité de refaire un traitement à court terme.


Capture d  cran 2015 03 12 12.28 - Eugenol
chicot29

30/11/2015 à 01h36

Mes très chers confrères selon la formule consacrée très à la mode en se moment quand on a merdé lamentablement : le risque 0 n'existe pas. A partir de là tout le monde a raison. -)))))


Vw campersurfvan bmnk1q - Eugenol
enlaye

30/11/2015 à 02h01

excellent +1


Marque a3 orange fyvhyq - Eugenol
Marc Apap

30/11/2015 à 08h14

Absolument. Et je ne saurais conseiller à Taxus d'être un peu plus critique et moins sûr de ce qu'il avance. Les bulk ont un degré de conversion plus faible et sont moins durs que les autres. Attention de ne pas faire chacun sa petite sauce en pensant que la recette est la même.


Capture d  cran 2015 03 12 12.28 - Eugenol
chicot29

30/11/2015 à 09h18

Pour rester pratique l'IDS ca marche sous les amalgames ? -))))


Marque a3 orange fyvhyq - Eugenol
Marc Apap

30/11/2015 à 09h29

Pas moins que la remontée des marches en amalgame
Je ne sais pas si tu étais déjà dentiste à ce moment là, mais il y a eu une époque où l'on préconisait le collage des amalgames. Tout est possible, de génération en génération, il y a toujours des leaders qui donnent le ton.


carident

30/11/2015 à 09h47

Je crois même qu'en feuilletant ce livre à l'ADF, j'ai vu une remonté de marche à l'inlay-core! :-)))))

http://www.information-dentaire.fr/0115-2224-Restaurer-la-dent-depulpee.html


Capture d  cran 2015 03 12 12.28 - Eugenol
chicot29

30/11/2015 à 10h29

carident écrivait:
------------------
> Je crois même qu'en feuilletant ce livre à l'ADF, j'ai vu une remonté de marche
> à l'inlay-core! :-)))))
>

A l'amalgame collé ? The french "touch" ! -))))


Capture d  cran 2015 03 12 12.28 - Eugenol
chicot29

30/11/2015 à 10h31

Marc Apap écrivait:
-------------------
Tout est possible, de
> génération en génération, il y a toujours des leaders qui donnent le ton.

voyons marc avec cette CCAM ( enfin un outil moderne !) qui nous fait entrer dans le 21 ième siècle tout est possible ! -)))


Capture d  cran 2015 03 12 12.28 - Eugenol
chicot29

30/11/2015 à 10h35

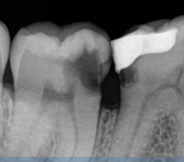
Et c'est reparti ce matin de plus belle : pulpite. L'embarras du choix -))))

C'est pas comme si on faisait des radios de controle régulièrement hein ? -))))

Capture d e cran 2015 11 30 09.34 - Eugenol

3231500709 2 2 94jcbpqu h1bmap - Eugenol
T4xus

30/11/2015 à 11h31

Marc Apap écrivait:
-------------------
> Absolument. Et je ne saurais conseiller à Taxus d'être un peu plus critique et
> moins sûr de ce qu'il avance. Les bulk ont un degré de conversion plus faible et
> sont moins durs que les autres.

Je n'ai pas dit que je détenais la vérité absolue, je dis seulement qu'il est préférable d'être le moins mutilant possible et que les remontées de marge - même si nous ne disposons pas d'un recul suffisant à leur sujet - font parti de cet arsenal thérapeutique conservateur.


Marque a3 orange fyvhyq - Eugenol
Marc Apap

30/11/2015 à 13h57

Je ne parlais plus de la pertinence du procédé, mais de l'utilisation d'un bulk. Prends plutôt un composite nanohybride bien chargé et expose-le à la lumière pendant 60 secondes, ce sera mieux pour la pérennité de l'ensemble.


Picodon

30/11/2015 à 14h27

Quelqu'un a essayé le Filtek Silorane (3M)? Des retours? Ils se vantent d'un retrait de polymérisation <1%...


Marque a3 orange fyvhyq - Eugenol
Marc Apap

30/11/2015 à 15h30

Oublie.


Picodon

30/11/2015 à 15h35

Marc Apap écrivait:
-------------------
> Oublie.

C'est si terrible? Peux-tu nous en dire plus? C'est à cause du faible recul clinique?


Mosquitogif zt3c7k - Eugenol
mosquito

30/11/2015 à 15h59

Picodon écrivait:
-----------------
> Quelqu'un a essayé le Filtek Silorane (3M)? Des retours? Ils se vantent d'un
> retrait de polymérisation <1%...
-----
plus commercialisé , la multiplication des primer/bonding lui a été fatale.


Grueavatar nptrc9 - Eugenol
Le Choixpeau magique

30/11/2015 à 17h38

Je vais peut être me porter malheur, mais cela va faire dix ans que je suis thésé, je fais _beaucoup_ (une majorité) de couronnes sur dents pulpées depuis 8-9 ans, _un peu_ (quelques cas tous les mois) d'onlays depuis 3-4 ans, et j'ai très très peu de problèmes de sensibilités et autres nécroses.

Je pense que c'est un problème de protocole.

Par contre j'ai pété des instruments, j'ai oublié/pas trouvé quelques canaux, j'ai eu des pêches sur des endos initiales, et pourtant je me débrouille en endo.

Et je ne vois pas le rapport entre endo et remboursement (hors la question de l'inlay-core).


Vw campersurfvan bmnk1q - Eugenol
enlaye

30/11/2015 à 18h07

Le Choixpeau magique écrivait:
------------------------------

" Par contre j'ai pété des instruments, j'ai oublié/pas trouvé quelques canaux, j'ai eu des pêches sur des endos initiales, et pourtant je me débrouille en endo."

ben ç est pas grave ça , puisque tu te débrouilles :-)
Et si tu te debrouillais mal ,ça se passerait comment ??? :-)


Grueavatar nptrc9 - Eugenol
Le Choixpeau magique

30/11/2015 à 18h11

Alors que toi 100% de réussite je suppose ?


Vw campersurfvan bmnk1q - Eugenol
enlaye

30/11/2015 à 18h51

ben ,non ,puisque je me debrouille tres bien aussi :-))))))))))

Trans wdhwk7 - Eugenol

Capture d  cran 2015 03 12 12.28 - Eugenol
chicot29

30/11/2015 à 19h12

Le Choixpeau magique écrivait:
------------------------------

> Et je ne vois pas le rapport entre endo et remboursement (hors la question de
> l'inlay-core).

Disons qu'avec une endo et un soin classique tu triples le remboursement ( quadruple meme si tu y colles un screw post) par rapport à un onlay. Et là tu ramasses de la caillasse ! -))))


Capture d  cran 2015 03 12 12.28 - Eugenol
chicot29

30/11/2015 à 19h13

Le Choixpeau magique écrivait:
------------------------------

> Et je ne vois pas le rapport entre endo et remboursement (hors la question de
> l'inlay-core).

Disons qu'avec une endo et un soin classique tu triples le remboursement ( quadruple meme si tu y colles un screw post) par rapport à un onlay. Et là tu ramasses de la caillasse ! -))))

C'est pour ca que je vais voter CNSD des négociations rondement menées depuis 30 ans nous sauvent la mise ! -))))


Picodon

30/11/2015 à 19h36

enlaye écrivait:
----------------
> ben ,non ,puisque je me debrouille tres bien aussi :-))))))))))

Mac Spadden dans le mauvais sens de rotation?

(je me renseigne juste pour que ça ne m'arrive pas...)