Cookie Consent byPrivacyPolicies.comdépose d'un implant - Eugenol

dépose d'un implant

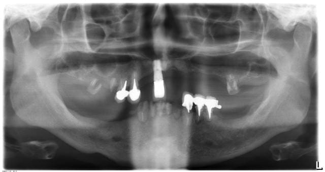
tarski

02/12/2015 à 14h03

Bonjour,

D'après vous : fraise chir + davier ou on laisse + vis de couverture.

Sachant qu'on va faire un complet sup traditionnel.
Patient handicapé.

Pano a xwm2w5 - Eugenol

G-P

02/12/2015 à 14h21

Donc le problème principal ici c'est l'implant ?
Je pense que le reste dépend beaucoup du handicap.


lachmar

02/12/2015 à 14h23



ne surtout pas laisser

tu aurais une zone generant une instabilité de ta prothèse

par contre ... on ne sait jamais s'il n'y aura pas besoin d'utiliser des trepans (le quelques spires integrées peuvent l'être vraiment)

a adresser à un implanto aguerri


tarski

02/12/2015 à 15h07

ok, merci pour l'avis : oui un trépan peut être utile.
Naturellement, tout le reste dégage...