Cookie Consent byPrivacyPolicies.comCanal calcifié? Je revois la patiente demain. - Eugenol

Canal calcifié? Je revois la patiente demain.

iyaudat

02/12/2015 à 23h58

Bonsoir,

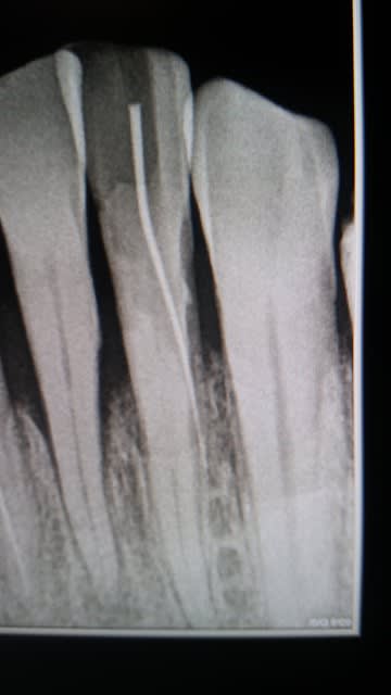
Voila un cas d'endo sur incisive inf.

J'ai pas mal galère pour trouver l'entrée canalaire (canal calcifié), puis finalement j'y suis, quel bonheur!

Sauf qu’après une petite radio de contrôle je suis bien rentré mais pas ou il faut, une belle fausse route.

Je vous ai mis une radio pour vous faire une idée.

Mes questions sont:

1/ Que faire pour cette fausse route? Si reboucher, reboucher avec quoi, et surtout comment (un peu fin pour un compo, même du flow...)?

2/ A votre avis, je suis toujours dans la racine ou je suis passé au travers?

3/ Comment accéder au canal? Comme vous pouvez le voir sur la radio il est pratiquement invisible, de plus ma fausse route me pousse dans la mauvaise direction...

Voila, je suis pas très fier de moi mais bon, on peut peut-être limiter la casse?

Merci!

20151202 191433 kb0r45 - Eugenol

Spix4ever

03/12/2015 à 00h55

Ben là c'est plus une fausse route en fait c'est une perfo.

Si la dent est vivante bourre de bio dentine et prie. (mais si la dent est vivante pourquoi la bio ?)

Si la dent est nécrosée ça sent l'exo.


3231500709 2 2 94jcbpqu h1bmap - Eugenol
T4xus

03/12/2015 à 01h34

Tu devrais traiter la parodontite et te poser la question de la conservation des incisives mandibulaires (perfo 32, rapport CR défavorable 31 avec lésion angulaire, mobilités?)


iyaudat

03/12/2015 à 02h20

Spix4ever écrivait:
-------------------
> Ben là c'est plus une fausse route en fait c'est une perfo.
>
> Si la dent est vivante bourre de bio dentine et prie. (mais si la dent est
> vivante pourquoi la bio ?)
>
> Si la dent est nécrosée ça sent l'exo.

Je vais checker s'il y a ça au cab (collab recente), mais si oui comment je fais a l’insérer hermétiquement avec un accès aussi restreint? Et sinon? Je peux laisser traîner jusqu’à lundi le temps de recevoir le produit? Alternative (en complément de la prière cela va de soi ^_^)?

Bio car bridge avec ce qu'il reste en bas, et patiente prévenue des risques a court/moyen terme.

T4xus écrivait:
---------------
> Tu devrais traiter la parodontite et te poser la question de la conservation des
> incisives mandibulaires (perfo 32, rapport CR défavorable 31 avec lésion
> angulaire, mobilités?)

Traitement paro en cours, je voudrais conserver les incisives car patiente peu garnie, même si ces piliers valent ce qu'ils valent...

Mobilité I sur 31, et presque aucune mobilité sur 32.


Du coup, une idée pour finalement passer ma lime dans ce canal?

Merci pour les réponses en tout cas!


dent44

03/12/2015 à 09h33

Bonjour
il arrive aussi que l on peut faire fausse route,cela change des superbes endo que certains publient
comme quoi restons humble car il est plus facile de présenter ses chefs d œuvre que ces fautes(après plus de 30 ans de dentisterie)


Spix4ever

03/12/2015 à 10h17

Loin de moi l'idée de juger.

Je pense juste que dans des cas comme ça, avec des pulpes rétractées et ultra minéralisées, l'indication de la pulpectomie est à prendre avec des pincettes ! Pour s'éviter ce genre d'ennui !

S'il n' y a pas de symptomatologie je pense qu'il n'y a pas lieu de se lancer dans une bio qui va s'avérer extrêmement complexe.

S'il y a sympto ben là on a pas le choix donc on tente la bio en prévenant le patient que c'est pas gagné!

Après pour répondre à la question initiale, si la dent est vivante, sans sympto initiale (parce que avec la perfo il va ptetre en avoir une maintenant), Personnellement je tenterais de mettre bio dentine et je mets sous surveillance pour voir comment ça évolue.

S'il y a nécrose avérée avec infection -> extraction.


G-P

03/12/2015 à 10h53

Faudrait voir les 2 autres incisives mandibulaires, mais si c'est pareil, Tu les vires, tu met 2 implants et un bridge.


VivaEuropa?

03/12/2015 à 11h01

iyaudat écrivait:
-----------------
> Bio car bridge

???

Donc dent vivante et asymptomatique?

De toute évidence la bio s'annonçait difficile. Mais surtout elle n'était probablement pas indiquée.

Si la situation se représente, sache qu'une dent vivante couronnée vieillit mieux qu'une bio avec une perfo.


Marque a3 orange fyvhyq - Eugenol
Marc Apap

03/12/2015 à 11h52

A moins d'une bonne raison, ne pas tenter de traiter le canal dans un cas comme ça.
Sinon, le mieux, c'est d'araser la couronne (qui faut reconstituer après naturellement) et d'utiliser un microscope opératoire. Et même avec le MO, c'est parfois très long pour retrouver le canal.
D'où la première remarque : mieux vaut ne rien faire ou extraire si la dent est infectée.


Vw campersurfvan bmnk1q - Eugenol
enlaye

03/12/2015 à 14h18

bon , si d'aventure , tu viens à l'extraire ...ben tu la machines dehors et la remets :-)
j'dis ça comme ça :-))

ps : cela me fait penser , qu'il m' est arrivé la meme chose ,mais il n'est jamais revenu le lendemain :-)))


iyaudat

03/12/2015 à 14h55

enlaye écrivait:
----------------
> bon , si d'aventure , tu viens à l'extraire ...ben tu la machines dehors et la
> remets :-)
> j'dis ça comme ça :-))
>
> ps : cela me fait penser , qu'il m' est arrivé la meme chose ,mais il n'est
> jamais revenu le lendemain :-)))


Oh ce que ce message me fait du bien !! :)

Bon résultat pas de biodentine au cabinet... Une alternative pour régler le problème aujourd'hui ou j'en commande et je laisse traîner jusqu'à demain ?


Vw campersurfvan bmnk1q - Eugenol
enlaye

03/12/2015 à 15h02

pourquoi , tu ne l'obturerais pas comme un vrai canal , tout simplement ? ( en attendant ) ça se faisait .


iyaudat

03/12/2015 à 16h23

enlaye écrivait:
----------------
> pourquoi , tu ne l'obturerais pas comme un vrai canal , tout simplement ? ( en
> attendant ) ça se faisait .

J'espère que tu ne blague pas, car j'y ai pensé, ça me semble logique étant donne qu'on voit sur la radio que je suis à l'apex de ma fausse route :p

Sérieusement c'est viable ? Et si non alors pourquoi ?

J'ai commandé la biodentine mais ce qui m'inquiète c'est comment bien l'enfoncer jusqu'à la perf ?


Vw campersurfvan bmnk1q - Eugenol
enlaye

03/12/2015 à 16h56

iyaudat écrivait:
-----------------

" J'ai commandé la biodentine mais ce qui m'inquiète c'est comment bien l'enfoncer jusqu'à la perf ?"

et si tu arretais un peu d'enfoncer ? :-)))))))
sinon sans blague , oui oui ça se faisait d'obturer le faux canal . de souvenir ç etait le gold standard ....à l'epoque .


Gutt-A

03/12/2015 à 17h09

Pareil, J'ai eu une 11 calcifiée à mort, même en tâtonnant avec des contrôles rx ++++, je n'ai pas perforé mais pas trouvé le bon canal non plus. J'avais mis un compo et plus jamais revu le patient (10-15 ans après).
Mais si tu vas faire un bridge , autant l'extraire et l'inclure en inter.


lachmar

03/12/2015 à 17h51



exo bien sur

et n'essaye même pas l'endo sur les collatérales : les canaux sont trop calcifiés pour que tu ne soies pas obligé de mutiler les dents à mort pour trouver les cnx ... même sous microscope

les canaux etant calcifies sur ce patient probablement agé , c'est une très bonne indication de bridge sur dents vivantes

ou bridge collé (moins cher )


guycharles

03/01/2016 à 16h08

Plusieurs choses:
-tout d'abord la voie d'acces montre une orientation distale avec un petit myr mésial qui devie votre lime de catheterisme. Je tenterais tout doucement un elargissement plus mesial. Irrigation et une lime de catheterisme 15mm de 15% . Je pense qu'avec un peu d'edta gel sur la pointe de la lime on peut arriver a trouver l'axe
-Le catheterisme du tiers superieur dont le trajet est relativement peu visible a la rx est possible dans ce cas l'obturation du Faux canal se fait lors de l'obturation canalaire par une technique compressive
-Le catherisme ne se fait pas dans ce cas ,comme la RX montre un trajet canalaire ouvert sur la moitié apicale du canal ,tot ou tard il y aura une complication infectieuse, il vaut mieux adresser votre patiente à un endodontiste
-derniere option :dans ce dernier cas extraction et implant
ce n'est pas la joie mais une CTscan aurait été d'un bon secours des le depart :il ne faut pas oublier que le canal d'une incisive mandibulaire est trés plat dans le sens mesiodistal


paradoxe

03/01/2016 à 16h59

Comme tout le monde.
Si dent totalenent asymptomatique, pas faire endo.
Des dizaines d'années qu'elle doit être comme ça.
Couronner tel quel. Même pas besoin d'anesthésie.
Si symptomes... alors ça sent le sapin pour cette quenotte.


Capture d  cran 2015 03 12 12.28 - Eugenol
chicot29

03/01/2016 à 22h31

iyaudat écrivait:
-----------------
> Bonsoir,
>
> Voila un cas d'endo sur incisive inf.
>
> J'ai pas mal galère pour trouver l'entrée canalaire (canal calcifié), puis
> finalement j'y suis, quel bonheur!
>
> Sauf qu’après une petite radio de contrôle je suis bien rentré mais pas ou il
> faut, une belle fausse route.
>
> Je vous ai mis une radio pour vous faire une idée.
>
> Mes questions sont:
>
> 1/ Que faire pour cette fausse route? Si reboucher, reboucher avec quoi, et
> surtout comment (un peu fin pour un compo, même du flow...)?
>
> 2/ A votre avis, je suis toujours dans la racine ou je suis passé au travers?
>
> 3/ Comment accéder au canal? Comme vous pouvez le voir sur la radio il est
> pratiquement invisible, de plus ma fausse route me pousse dans la mauvaise
> direction...
>
> Voila, je suis pas très fier de moi mais bon, on peut peut-être limiter la
> casse?
>
> Merci!

A l'avenir rases la couronne avant comme ca tu as une meilleure visibilité pour trouver le canal. J'en ai plus d'une comme ca à mon actif que je n'aurais jamais pu traiter autrement.
Sinon s'abstenir de faire l'endo, on est jamais serein dans un cas comme ca.


Capture d  cran 2015 03 12 12.28 - Eugenol
chicot29

19/01/2016 à 23h48

Pas serein sur ce coup là mais il faut se méfier des apparences. Toutefois en cathéthérisme manuel j'aurais pu m'accrocher. Balles neuves quand même. -)))
pas de digue rhoooo le vilain ! -)))

Capture d e cran 2016 01 19 22.45 - Eugenol

Vw campersurfvan bmnk1q - Eugenol
enlaye

19/01/2016 à 23h53

chicot29 écrivait:
------------------
Toutefois en cathéthérisme manuel j'aurais pu m'accrocher. -)))

ha bon ? j'aurais dit le contraire .
ç est pas plus secure à la main ?


Jack 2 wm3tqs - Eugenol
trepo

20/01/2016 à 00h04

Pareil, je préfère en manuel, j'ai l'impression de mieux "sentir " :)
Mais je suis plutôt old school ...
Par contre chaud la limite en distal !
Un beau collage, no post no crown ... :D
Allez j'arrête de troller ...


iyaudat

20/01/2016 à 12h32

Désolé pour le temps de réponse.
Voilà la suite des evenements:

J'ai expliqué la situation à la patiente (sans trooop entrer dans les details hein), par "chance" pour moi, patiente compréhensive et vraiment pas chiante.

Je lui explique qu'on pouvait:
1/ tenter d'obturer la perf au MTA (que j'ai commandé, ça vaut une blinde ce truc!!!) et attendre un certain temps pour être sur que pas d'infection, et si tout va bien bridge avec cette dent en pilier, sinon exo et bridge avec cette dent en inter.
2/ L'extraire desuite et pas besoin d'attendre pour le bridge.

Après zéro seconde d’hésitation, elle choisit la solution deux.
Dans un sens c'est dommage j'aurais bien essayé le MTA.
Mais bon fallait pas me le dire deux fois! Extraction.
Une fois tout seul et tranquille, j'ai taillé toute la partie coronaire de la dent jusqu’à finalement trouvé ce fichu canal, impossible d'aller à plus de la moitié, même avec une lime 10 et beaucoup d'effort.

Bref conclusion dans tout ça...
J'ai gâché une dent, je suis pas fier mais j'ai appris une bonne leçon:

Pas tenter de dévitaliser une dent calcifiée à la radio.

Merci du soutien et des conseils!


Capture d  cran 2015 03 12 12.28 - Eugenol
chicot29

20/01/2016 à 15h24

trepo écrivait:
---------------
>
> Un beau collage, no post no crown ... :D


33,74 compo 2 faces au luxacore, en attendant une hypothétique couronne ( encore un jean du voyage ) -))))

Je me suis gavé. -)

Capture d e cran 2016 01 20 14.21 - Eugenol
Capture d e cran 2016 01 20 14.21 - Eugenol

Jack 2 wm3tqs - Eugenol
trepo

20/01/2016 à 15h38

chicot29 écrivait:
------------------
> trepo écrivait:
> ---------------
> >
> > Un beau collage, no post no crown ... :D
>
>
> 33,74 compo 2 faces au luxacore, en attendant une hypothétique couronne ( encore
> un jean du voyage ) -))))
>
> Je me suis gavé. -)

Ou une exo ^^
Tu aurais dû lui ratiboiser dans la foulée à Jean, ça aurait été bénéfique pour lui.


12