Cookie Consent byPrivacyPolicies.comTori Mandibulaires - Eugenol

Tori Mandibulaires

Smile beach jgh0a1 - Eugenol
Céramik

06/12/2015 à 21h47

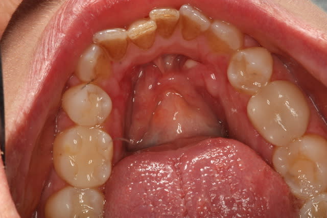
Aller un petit cas sympa retrouver dans mes photos (juin 2014)
(J'espère que je ne l'ai pas déjà montré...)

--
Céramik

1 owcjbp - Eugenol
Nsk z45l endq71 - Eugenol
2 nai4cv - Eugenol
3 jgdr91 - Eugenol
4 osn9xs - Eugenol
5 lirsll - Eugenol
6 ohdtbw - Eugenol

S2y2o1v7q53ws4r5wy6ou8czrpom - Eugenol
pxav

07/12/2015 à 08h53

Penses tu que ce genre de prélèvements peux servir à faire une greffe autogène, j'ai un cas qui pourrais en avoir besoin?

Enfin si tu veux bien me répondre...:-)))

--
xbk
"Si tous ceux qui croient avoir raison n'avaient pas tort, la vérité ne serait pas loin" Dac Pierre


Smile beach jgh0a1 - Eugenol
Céramik

07/12/2015 à 16h49

Je place les morceaux au congélo pour un prochain cas ;-)

Si tu veux faire une greffe autogène dans la foulée, pourquoi pas, mais c'est du cortical très dur, alors faut le broyer je pense. Au pire en faire une mince plaquette, mais pas facile avec la forme des fragments.

--
Céramik


S2y2o1v7q53ws4r5wy6ou8czrpom - Eugenol
pxav

07/12/2015 à 20h56

oui je pensais plus à une correction de défaut, plutôt qu'une greffe onlay.

--
xbk
"Si tous ceux qui croient avoir raison n'avaient pas tort, la vérité ne serait pas loin" Dac Pierre


Blocperso talon jer3sl - Eugenol
mrquentin

08/12/2015 à 19h19

quel genre d'incision fais tu, décolle tu la muqueuse de la masse osseuse ou tu coupe tout?


lachmar

08/12/2015 à 19h37



ce que tu as fait est superbe, bravo

mais pour ma part j'aurais trop peur d'un problème postural qui pourrait appraître posterierement à l'intervention pour faire (faire) ça hors d'une indication formelle

quelle était donc l'indication de ton intervention?


lachmar

08/12/2015 à 19h38

lachmar écrivait:
-----------------
>
>
> ce que tu as fait est superbe, bravo
>
> mais pour ma part j'aurais trop peur d'un problème postural qui pourrait
> appraître posterierement à l'intervention pour faire (faire) ça hors d'une
> indication formelle
>
> quelle était donc le problèmequi t'a fait poser l'indication de ton intervention?


Smile beach jgh0a1 - Eugenol
Céramik

09/12/2015 à 05h59

lachmar écrivait:
-----------------
>
>
> ce que tu as fait est superbe, bravo

Merci


>
> mais pour ma part j'aurais trop peur d'un problème postural qui pourrait
> appraître posterierement à l'intervention pour faire (faire) ça hors d'une
> indication formelle

Peux tu expliquer un peu ?

"Indication formelle " ?

Demande de la patient qui avait souvent des ulcerations et qui avait la moitié de son repas qui restait coincé sous les tori. Elle consultait pour cela. On lui avait dit de "vivre avec".

"Problème postural" ?

Je vois mal comment l'abalation de structures comme ces tori pour jouer de façon négative sur la posture... Tu peux expliquer ?

Je pense que c'est plutôt le contraire... La posture de la langue était négativement modifiée par les tori, ce qui affectait surement les voies respiratoires. On peut aussi imaginer la posture mandibulaire affectée par cette mal position de la langue...

Au final, l'indication était seulement de répondre à la demande très justifiée de la patient de retirer les toris. La patiente s'en porte très bien 18 mois plus tard.




--
Céramik


Smile beach jgh0a1 - Eugenol
Céramik

09/12/2015 à 06h07

mrquentin écrivait:
-------------------
> quel genre d'incision fais tu, décolle tu la muqueuse de la masse osseuse ou tu
> coupe tout?

Sur photo 3 et 4, on voit l'os exposé, après lambeau de décollement.
Incision sur le sommet des tori, incision de décharge en mésial.
Section osseuse en 3 blocs, puis remodelage de la zone avec pam droite et très grosse fraise ronde,
sutures (ablation de surplus de tissu mou au besoin)




--
Céramik


Android jyzura - Eugenol
Tavéca

09/12/2015 à 08h37

Céramik écrivait:
-----------------
> mrquentin écrivait:
> -------------------
> > quel genre d'incision fais tu, décolle tu la muqueuse de la masse osseuse ou
> tu
> > coupe tout?
>
> Sur photo 3 et 4, on voit l'os exposé, après lambeau de décollement.
> Incision sur le sommet des tori, incision de décharge en mésial

Je préfère une incision intra-sulculaire de 36 à 46, c'est plus facile à suturer et plus élégant.
Joli boulot.


lachmar

09/12/2015 à 11h13



indication en effet indiscutable

pour la posture je me suis mal exprimé ; j'auris du ecrire :

des modifications posturales seraient à craindre qui pourraient être ressentie desagréablement pa rle patient s'il elles n'ont pas été expliquées et acceptées dans le consentement eclairé

en effet la langue participe clairement aux chaines musculaires et participe à la posture de ce fait . lorsque le patient déglutit, la langue se plaque partout fermement dans la bouche fermée par les dents en occlusion, et du fait de la disparition des tori , ne retrouvera pas la position partcipant àa sa posture habituelle .


Avatar transparent iqadnc - Eugenol
adhoc

09/12/2015 à 12h41

> dans la bouche fermée par les dents en occlusionv

L'occlusion pendant la deglutition ne dure qu'a peine quelques millièmes de seconde! (ou pas).
On n'est quasiment jamais en occlusion.

Par contre, je rejoins ceramique; les mouvement linguaux seront libérés ; on aura en effet une meilleure "aération" (respiration nasale favorisée) avec la pointe de la langue qui se positionnera mieux au point retro incisif.



Smile beach jgh0a1 - Eugenol
Céramik

10/12/2015 à 05h45


> Je préfère une incision intra-sulculaire de 36 à 46, c'est plus facile à suturer
> et plus élégant.

Je suis pas en accord
Pas plus facile à suturer car tu auras bcp
de tissu en excess.
Si tu coupes l'excès, tu perds la portion kératinisée et tu refermes avec de la muqueuse sur les dents. Si tu coupes pas, tu auras du tissu flottant partout.

Je n'ai eu aucun soucis pour refermer et la
cicatrisation c'est très bien passée, avec
une belle adaptation des tissus.





--
Céramik


Smile beach jgh0a1 - Eugenol
Céramik

10/12/2015 à 05h45

-doublon