Cookie Consent byPrivacyPolicies.comDes suggestions? - Eugenol

Des suggestions?

jouan

07/12/2015 à 20h11

Bonsoir,
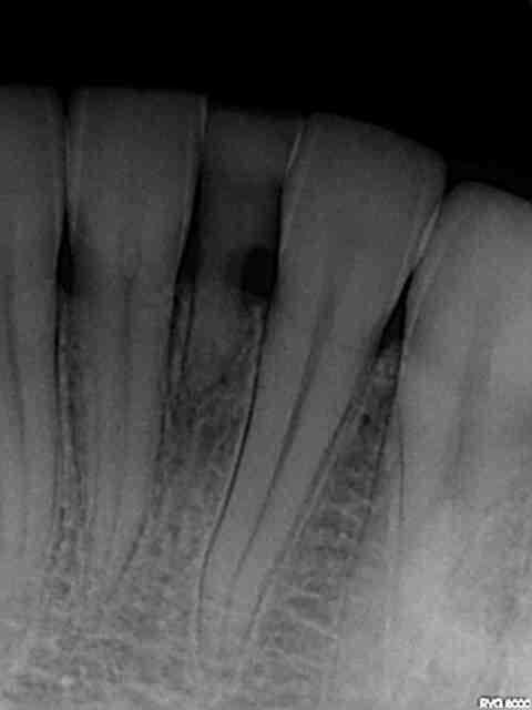
Qu'est ce que vous proposeriez à cette patiente?
71 toujours en place(agénésie ce 31), cariée et très peu de place mésio-distale.
Classe 1 molaire.
Je suis un peu bloqué :
- Bridge collé mais ça va pas être beaucoup plus large et bof au niveau esthétique...
- ortho pour créer de l’espace et implant? je sais pas si c'est faisable?

Désolé pour la qualité des photos ça sort de mon téléphone portable.
Merci pour vos suggestions.
Jouan Elamine

Img 20151207 185148 xmfb98 - Eugenol
Img 20151207 185316 upwzoo - Eugenol
R2 ozckzn - Eugenol

Dsc05680 medium aphmfg - Eugenol
BasArtDentaire

07/12/2015 à 20h18

J'opterais pour l'ortho, mais l'idée qui me vient en premier serait plutôt pour refermer l'espace.


aterman

07/12/2015 à 21h01

Ortho, j extraie souvent des 41 ou 31 pour traitement ortho.
Franchement 10 ans apres qu il y ait 3 ou 4 dents en anterieur a la mandibule on n y voit que du feu...
Poser un implant a cet endroit la est un veritable casse tete et l on propose toujours dans un premier temps un bridge colle.


Photo pluton1b h9n4ea - Eugenol
pluton

07/12/2015 à 22h26

+1, ortho et on referme l'espace, c'est le plus sage, et le plus fiable...;-)


Darmon - Eugenol
latin

08/12/2015 à 01h08

Fermeture d'espace aussi!

Dans le cadre d'un traitement ortho global c'est mieux.

Si refus de l'ortho tu peux aussi extraire et laisser la nature finir le travail qu'elle a commencé vu que 71 n'est déjà plus complètement dans l'arcade. En fait cette dent aurait peut-être dû être virée depuis déjà belle lurette.
--
`·.¸¸.·´¯`·.¸¸.·´¯`·.¸¸.·´¯`·.¸ ><((((((º>


jouan

08/12/2015 à 17h03

Merci à tous.