Cookie Consent byPrivacyPolicies.comembouteillage... - Eugenol

embouteillage...

Images jm2g2g - Eugenol
dr_0le

18/12/2015 à 12h38

et non.. je ne vais pas parler dans ce post de la nouvelle technique de mise en bouteille de mon cher Bordeaux ou de l'A7 le 31 juillet..

mais plutôt d'une patiente que j'ai vu l'autre jour.
ras antécédents médicaux.

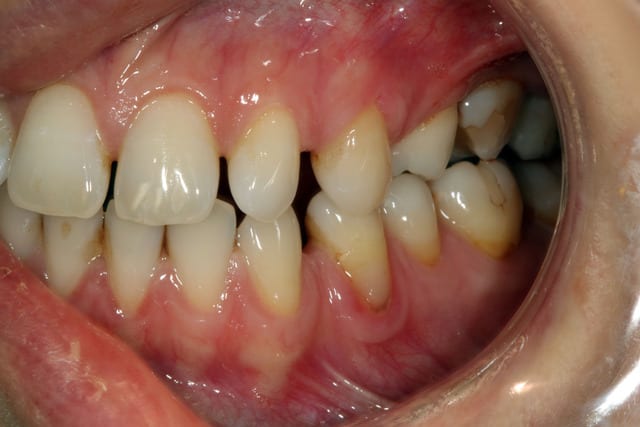
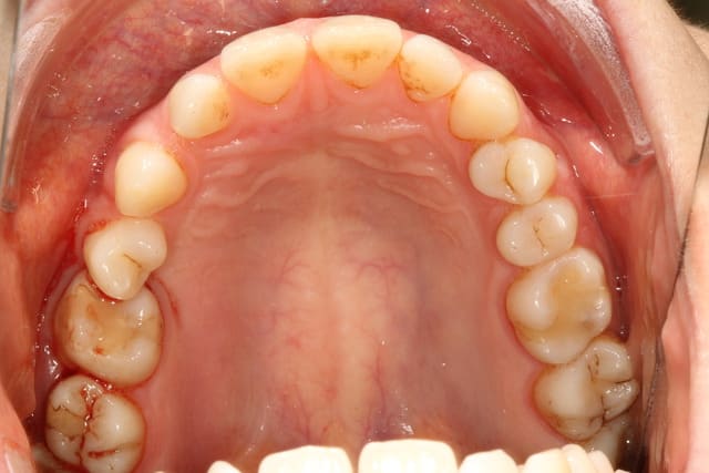
elle consulte pour une inflammation chronique secteur 2..
le panoramique est claire.. embouteillage entre 25, 26 et 65.

que proposez vous pour régler cette situation??
extraction 26 +65 et c'est tout?
extraction 26 65 et 25

je joindrais des photos dans l’après midi.

fermer les espaces antérieurs par ortho ou facette est aussi prévu..
--
You can't always get what you want..

Sans titre yaq6by - Eugenol

Image r6habu - Eugenol
Thomas Crown

18/12/2015 à 12h43

25 est en palatin ou vestib? Seule la cbct peut donner une idée de la stratégie, amha.


Images jm2g2g - Eugenol
dr_0le

18/12/2015 à 12h55

je la revois dans 2 h.. je ne me rappelle plus de la situation exacte..

pourquoi cela influe t il tant sur le traitement selon toi?

--
You can't always get what you want..


G-P

18/12/2015 à 13h34

Cbct, proximité artère palatine si 25 en palatin, pas évident..


Images jm2g2g - Eugenol
dr_0le

18/12/2015 à 13h42

G-P écrivait:
-------------
> Cbct, proximité artère palatine si 25 en palatin, pas évident..

Bien sûr que le cbct est prévu.mais ma question est plus: y a t il une réelle nécessité d'extraire 25..
Évidemment si je le prévois n'analyserai bien la sitation anatomique:)
--
You can't always get what you want..

Img 7899 tbhhj4 - Eugenol
Img 7897 eqefgx - Eugenol

G-P

18/12/2015 à 15h41

Elles sont bien belles tes photos ;)


Images jm2g2g - Eugenol
dr_0le

18/12/2015 à 16h02

G-P écrivait:
-------------
> Elles sont bien belles tes photos ;)

pas comme ta maiden =)
--
You can't always get what you want..


G-P

18/12/2015 à 16h37

dr_0le écrivait:
----------------
> G-P écrivait:
> -------------
> > Elles sont bien belles tes photos ;)
>
> pas comme ta maiden =)
> --
> You can't always get what you want..

Tu rigoles je own


120 81 mdkvjo - Eugenol
Monaco

19/12/2015 à 05h40

Si le patient se lance dans l'odf aucune raison de virer la 26.


1309531 ours brun n5iukf - Eugenol
seespan

19/12/2015 à 08h33

Extraire 65 dans tout les cas et 25 suivant ce que dit le CBCT.

Cas pluridisciplinaire pour un beau résultat

--
หมอจัดฟัน


Images jm2g2g - Eugenol
dr_0le

19/12/2015 à 10h04

Mon traitement idéal serait virer la 65, voir pour virer la 25. Multiattaches pour réorganiser le secteur antérieur et amener la 26 à sa place. Ce qui libérera l'espace pour un implant en place de 25.. Elle passe son cbct lundi.

--
You can't always get what you want..


aterman

19/12/2015 à 10h48

Virer la 65, refermer les espaces en anterieur haut et bas ce qui permet d amener la 26 contre 24?
Si la 25 est asymptomatique pourquoi aller s .......der? Par contre si elle interfere dans le traitement ortho de rapprochement 26-24 alors oui.
Age du patient?


Images jm2g2g - Eugenol
dr_0le

19/12/2015 à 10h57

Salut aterman, je pense plutôt redresser la 26 pour me faire la place devant histoire de mettre une vis...
La patiente de 33 ans ( comme moi) n'ont pas forcément envie de virer 25 qui est complètement à symptomatique..

--
You can't always get what you want..


Images jm2g2g - Eugenol
dr_0le

08/01/2016 à 23h13

revu la patiente hier.
je mets en pj le scan.. la 65 est vestibulaire, je vais la sortir. je n'ai pas envie de toucher la 23 super haute et très palatine.
on verra l'evolution de tout ca apres l'exo.
la patiente refuse l'ortho pour l'instant. on verra dans quelques semaines après exo et cicat..

--
You can't always get what you want..

Plop llg9ko - Eugenol

Image r6habu - Eugenol
Thomas Crown

09/01/2016 à 14h08

Si tu lui braque le germe, elle va en faire de l odf, vu que rien ne s opposera à l' enfoncement de 26, avec création d une poche paro, douleur et inflammation , donc perte tissulaire associé.
Si pas d odf, pas d 'extraction, sinon tu contrôle plus rien.
Pourquoi tu dis que la 23 est incluse? pour moi c est 25 qui est horizontale, au dessus un germe surnuméraire et 23 sur l 'arcade , non?


Images jm2g2g - Eugenol
dr_0le

09/01/2016 à 14h52


Oui 25 incluse, faute de frappe de ma part.
Il y a deja une poche paro avec soucis inflamm à répétition .. d'où la décision d'extraire 65
--
You can't always get what you want..