Cookie Consent byPrivacyPolicies.comDiskimplants - Eugenol

Diskimplants

voorzitterst

21/12/2015 à 20h02

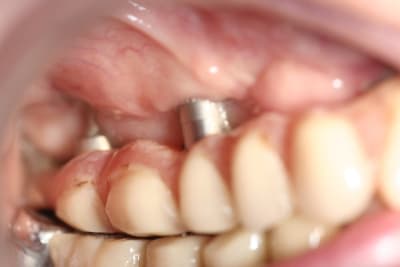
Au secours, mon implantologue est en vacances et j'aimerai donner un début de réponse à mon patient avant de partir en vacances.

On fait quoi avec les implants sup ?

Merci d'avance.

Diskimplant dcibpy - Eugenol

lachmar

21/12/2015 à 20h20



tu les renvoie a scortecci ...


Smile beach jgh0a1 - Eugenol
Céramik

21/12/2015 à 22h51

Ben il est où le problème ?
Sur cette radio, on voit pas grand chose...
Ça bouge ?

--
Céramik


Gutt-A

21/12/2015 à 23h19

voorzitterst écrivait:
----------------------
> Au secours, mon implantologue est en vacances et j'aimerai donner un début de
réponse à mon patient avant de partir en vacances.
>
> On fait quoi avec les implants sup ?




Il faut tout.......(et la suite après les vacances)....enlever!

il y a des péri-implantites sur quasi tout les disk du haut, c'est cà?


moritooth

21/12/2015 à 23h22

Fabuleuses ces pano avec des diskimplants, ça defit notre mode de pensée implantaire actuel. En tout celui qui a traité ce patient n'était pas un manchot.

En pratique, c'est quoi le problème avec les disk ? On voit pas bien sur la pano periimplantite ? sinon il va y avoir besoin d'encore un peu de titane en secteur 4


Little shop of horrors brzqjx - Eugenol
chatondecarte

22/12/2015 à 00h56

Et pourquoi pas un complet sur implant normal??

--
Mon book de chirurgie :
http://facebook.fr/drbbenichou


sagito

22/12/2015 à 08h26

c'est autorisé cette pub sur face book ?


lachmar

22/12/2015 à 09h42

c'est gerard scortecci à nice qui pose ce genre de trucs

et qui les pose bien

il a quelques eleves , mais personne ne met ca en place comme lui

et un si grand nombre de disques et 2 implants ptérygoidiens bien posés je ne vois que lui

déjà savoir pourquoi le patient ne retourne pas voir son implanto ... et ne surtout pas intervenir tant que tout n'est pas clarifié

et je ne vois pas comment ça pourrait bouger : les implants ptérygoidiens sont bien integres

la dépose d'un diskimplant n'est pas plus simple que sa pose (il s'agit d'implants à insertion latérale) : par voie alvéolaire tu peux faire des catastrophes ...

etle demontage du bridge ne me paraît pas être une sinécure

bref sauve toi en courant


Bazaruto 2007 ircsez - Eugenol
jumpingjackflash

22/12/2015 à 13h47

sagito écrivait:
----------------
> c'est autorisé cette pub sur face book ?


non le conseil de l'ordre les fait fermer , mais bon....


Bazaruto 2007 ircsez - Eugenol
jumpingjackflash

22/12/2015 à 13h59


ça aussi c'est fait par le grand Maître, je garderai mon avis pour moi parce que je n'ai pas compris le rationnel pour faire ça à une patiente...

 mg 6232 pl0xv1 - Eugenol
 mg 6236 eekcks - Eugenol
 mg 6235 jqlgkv - Eugenol

coca zero

22/12/2015 à 14h25

ca fidelise...
Si il est le seul à savoir poser et deposer ce genre d'implants, une fois le 1er implant posé le patient est definitivement fidélisé au cabinet :D


coca zero

22/12/2015 à 14h25

ca fidelise...
Si il est le seul à savoir poser et deposer ce genre d'implants, une fois le 1er implant posé le patient est definitivement fidélisé au cabinet :D


alex33

22/12/2015 à 14h25

jumpingjackflash écrivait:
--------------------------
>
> ça aussi c'est fait par le grand Maître, je garderai mon avis pour moi parce que
> je n'ai pas compris le rationnel pour faire ça à une patiente...

C'est quand même d'un point de vue technique sacrément impressionant...


Bazaruto 2007 ircsez - Eugenol
jumpingjackflash

22/12/2015 à 14h32


> C'est quand même d'un point de vue technique sacrément impressionant...


oui mais autour de cette radio il y a une patiente qui doit vivre, maintenir et avoir mal après cette prouesse technique. je préfère un truc simple qui marche à une prouesse technique qui merde


lachmar

22/12/2015 à 14h35

jumpingjackflash écrivait:
--------------------------
>
> ça aussi c'est fait par le grand Maître, je garderai mon avis pour moi parce que
> je n'ai pas compris le rationnel pour faire ça à une patiente...

de mecs de son calibre ne sont pas jugeables par de praticiens de base

son concept a de quoi surprendre les adeptes de la vis, mais ca fonctionne depuis plus de 50 ans (je crois que c'est Juillet qui a crée le système)

si c'était foireux, on le saurait depuis longtemsp vu le nombr d'implants qu'il pose par an ... il serait submergé de procédures ... et ca n'est pas le cas

je considère qu'il rend service avec un absolue maestria à des patients qui ne seraient pas implantables autrement ...


G-P

22/12/2015 à 14h45

lachmar écrivait:
-----------------

>
> de mecs de son calibre ne sont pas jugeables par de praticiens de base
>

Oui si t'as pas peint la joconde tu peux pas dire qu'une chiure de mouche sur une planche c'est pas de l'art, c'est bien connu.


moritooth

22/12/2015 à 15h32

Bon dans tout ça voozitterst ne nous a toujours pas dit où était le Pb.

Le patient n'a plus de tourne-disque ?
OK je sors....


Little shop of horrors brzqjx - Eugenol
chatondecarte

22/12/2015 à 15h50

lachmar écrivait:
-----------------

> de mecs de son calibre ne sont pas jugeables par de praticiens de base
>
> son concept a de quoi surprendre les adeptes de la vis, mais ca fonctionne
> depuis plus de 50 ans (je crois que c'est Juillet qui a crée le système)
>
> si c'était foireux, on le saurait depuis longtemsp vu le nombr d'implants qu'il
> pose par an ... il serait submergé de procédures ... et ca n'est pas le cas


Si le système est si avantageux, pourquoi plus de praticien ne le font pas? Les implants sous periostés cà existe depuis très longtemps et c est abandonné depuis très longtemps.

>
> je considère qu'il rend service avec un absolue maestria à des patients qui ne
> seraient pas implantables autrement ...
>

Pourquoi ne seraient ils pas implantable de manière plus classique?

--
Mon book de chirurgie :
http://facebook.fr/drbbenichou


lachmar

22/12/2015 à 15h51

G-P écrivait:
-------------
> lachmar écrivait:
> -----------------
>
> >
> > de mecs de son calibre ne sont pas jugeables par de praticiens de base
> >
>
> Oui si t'as pas peint la joconde tu peux pas dire qu'une chiure de mouche sur
> une planche c'est pas de l'art, c'est bien connu.


tu as raison : tout le monde a le droit de juger tout le monde ...

mais dans une matière très spécialisée comme l'implantologie de pointe , les avis des confrères hautement qualifiés seront certainement pris en compte avec plus d'attention que ceux des praticiens lambda comme nous

la formulation te sied elle mieux ?


Little shop of horrors brzqjx - Eugenol
chatondecarte

22/12/2015 à 15h54

jumpingjackflash écrivait:
--------------------------
> sagito écrivait:
> ----------------
> > c'est autorisé cette pub sur face book ?
>
>
> non le conseil de l'ordre les fait fermer , mais bon....

Mon book est à destination des confrères (avec qui j aime bien partager mon travail, ça fait avancer) et non des patients. En aucun cas c est de la pub. Mais évidemment si ça pose problème à n importe qui ici, je retire l'adresse de ma signature


--
Mon book de chirurgie :
http://facebook.fr/drbbenichou


voorzitterst

22/12/2015 à 15h54

Non, ce n'est pas un problème de tourne disque mais plutôt de peri-implantite dans le secteur antérieur.
Effectivement, pas de mobilité.


lachmar

22/12/2015 à 15h54

chatondecarte écrivait:
-----------------------

> Pourquoi ne seraient ils pas implantable de manière plus classique?
>
> --
> Mon book de chirurgie :
> http://facebook.fr/drbbenichou

quand tu as très peu d'os , certains patients ayant de gros moyens préfèrent recevoir un traitement diskimplant avec mise en charge immédiate (scortecci a été un des premiers à le faire ... bousculant la demarche brennemarkienne) que de subir des greffes des augmentations osseuses au résultat aléatoire et au protocole très long .


sagito

22/12/2015 à 16h14


> Mon book est à destination des confrères (avec qui j aime bien partager mon
> travail, ça fait avancer) et non des patients. En aucun cas c est de la pub.

certes mais tout le monde peut le voir
mais bon en ce qui me concerne je m'en branle


Images oecc9d ijdijh - Eugenol
Akrobat

22/12/2015 à 16h40

Qui commercialise ce genre d'implant? Il ne le forge quand même pas lui même.


lachmar

22/12/2015 à 16h47

Akrobat écrivait:
-----------------
> Qui commercialise ce genre d'implant? Il ne le forge quand même pas lui même.


je pense qu'il a sa boite ... il les forge donc lui-même ))))
ca s'appelle victory et ca fait aussi des vis


12