Cookie Consent byPrivacyPolicies.comBRUXISME ET PROTHESE - Eugenol

BRUXISME ET PROTHESE

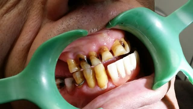
2015 01 13 12.05 - Eugenol
thesarde75

15/01/2016 à 08h10

Bonjour les amis,
Je poste ce cas clinique car je ne sais pas du tout comment gérer...
La patient est un gros bruxeur, 55ans, pas de PPA au max: dents présentes 13 à 23 ET une PPA à la mandibule ridicule avec 35, 43, 44, 45, 47.

Que feriez vous?

Ne nous embarquons pas dans des délires prothétiques non plus, le patient est CMU.

Bruxisme qgyexo - Eugenol

Zombring 57

15/01/2016 à 09h55

Le traitement de réhabilitation va être très coûteux pour un patient couvert par la CMU (normalement, financièrement impossible) avec un port de gouttière obligatoire (il ne porte dėjà pas sa PPA maxillaire donc la motivation pour réhabiliter les secteurs postérieurs c'est mort. +accessoirement un traitement complexe pour toi avec des emmerdes +++ de casse avec un patient bruxo qui trouvera toujours le temps pour venir gueuler si une céram s'ébrèche devant!

AMHA, traitement impossible et compromis thérapeutique dans le mur direct


2015 01 13 12.05 - Eugenol
thesarde75

15/01/2016 à 11h05

si je réhabilite juste la fonction?

On peut pas laisser un patient comme ça sans rien faire nan?

Une PPA résine provisoire haut et bas pour commencer... Voir ce que ça donne...
Eventuellement faire des motif dessus ensuite...

Et après voir pour du définitif et éventuellement des couronnes en antérieur? nan?

Moi ce qui me gène c'est surtout l'agression de 43 44 45... Les dents sont ENORMES
Par rapport aux dents maxillaire et meme en faisant des coronoplasties/couronnes... les dents maxillaire vont être ENORMES aussi...

Je suis embêtée, je me sens nulle la...


Index vakr2r - Eugenol
pgc

16/01/2016 à 13h00

thesarde75 écrivait:
--------------------

>...
> On peut pas laisser un patient comme ça sans rien faire nan?
>

Oh si on peut...


> Une PPA résine provisoire haut et bas pour commencer... Voir ce que ça donne...
> Eventuellement faire des motif dessus ensuite...

S'il est réellement bruxiste il va enfoncer les PPA résine en un rien de temps, ou bien il va les casser. Tu ne lui rend pas service dans ce cas. Si tu veux l'appareiller (à tes frais) fais lui deux stellites bien équilibrés avec de solides taquets occlusaux. Il les enfoncera aussi, mais moins vite.
Ceci dit il n'est peut-être pas si bruxiste que ça. Il est soit resté sans appui postérieur pendant des années. Dans ce cas l'usure des dents est due à la fonction (= mastication).

>
> Et après voir pour du définitif et éventuellement des couronnes en antérieur?
> nan?

Tout dépulper, tout IC et tout couronner est une solution honorable pour ce patient. Au passage tu peux faire la même chose en bas avec un grand bridge CCM.

>
> Moi ce qui me gène c'est surtout l'agression de 43 44 45... Les dents sont
> ENORMES

Tu fais erreur. Les dents n'ont pas égressé, elles sont à leur place dans le plan d'occlusion. C'est le parodonte qui s'est résorbé quand le bloc antérieur a lâché l'affaire.
Les "dents longues" sont non négociables dans son cas. Aucun préjudice esthétique et de toute façon il n'y a pas d'autre choix.


> Par rapport aux dents maxillaire et meme en faisant des
> coronoplasties/couronnes... les dents maxillaire vont être ENORMES aussi...
>

Pas du tout! En l'état les dents maxillaires sont même trop courtes. Tu les allongeras un peu par le haut (ggvoplastie), un peu par le bas (augmente un peu la DV) et elles seront parfaites.

> Je suis embêtée, je me sens nulle la...

Bah non. Ce n'est pas un cas très difficile. C'est même un joli cas:

8 CCM solidaires sur IC en haut
bridge CCM en bas si 35 est solide (je parie qu'elle l'est).
CR acier sur 47.
stellite haut bien costaud (= un char d'assaut)qui sera à refaire tous les 6 ou 7 ans.
idem (char d'assaut ) en bas
Barres, taquets occlusaux partout.

S'il n'y avait pas la question du financement ce serait un cas idéal. Les stellites au tarif CMU ne te feront pas gagner ta vie, les inters de bridge en bas sont pour ta pomme. Participation financière du patient? A priori, oublie. Restons dans le cadre CMU. Pas de provisoires amovibles mais des provisoires gratuites en fixe. On n'est pas des chiens), pas de wax-up, pas de gouttières, pas de chichis. Pas d'implants. Du beau et du solide, dans des délais raisonnables. Si tu fais traîner il va se décourager. C'est compréhensible.

--
Ne met pas tes doigts dans la Convention! Tu risques de te faire pincer très fort.


Index vakr2r - Eugenol
pgc

16/01/2016 à 13h09

Envoie quand même une pano, quelques radios et si possible les modèles pour affiner le plan de tt. Techniquement c'est un cas simple, après le financement c'est un autre problème.

Il ne serait pas inutile non plus de préciser la demande du patient. Si son problème ce n'est que le bas, ce sera un stellite et basta. Au pire une résine si l'enjeu est juste de faire une risette à un mariage dans un mois.
Si la demande est de pouvoir manger, il faut faire le haut aussi.

Ce serait mieux de tout faire. Ca ne coûte rien de lui proposer l'ensemble.


Index vakr2r - Eugenol
pgc

16/01/2016 à 13h11

Tu fais tout en A2/A3 il va les montrer à tout le monde et te faire une pub d'enfer.


6szjws718sv1jksw54v4mpj3a6cu - Eugenol
vulpi

16/01/2016 à 14h23

Et point de vue santé, il va comment le bruxeur?


2015 01 13 12.05 - Eugenol
thesarde75

18/01/2016 à 11h31

pgc écrivait:
-------------
> Tu fais tout en A2/A3 il va les montrer à tout le monde et te faire une pub
> d'enfer.
>

Toujours au taquet PGC ;)
Merci pour tes explications, c'est toujours très clair et encourageant.
Alors figure toi que j'ai fait les devis pour toute la phase provisoire à savoir les PPA haut et bas reine + couronnes provisoire haut et bas
Il est ok

Donc je vais déjà caler l'occlusion voir ce que ça donne, faire mes endo puis les couronnes provisoire et puis les définitifs ensuite...

p.S: pas de pbl de santé particulier