Cookie Consent byPrivacyPolicies.comPronostic instrument pété? - Eugenol

Pronostic instrument pété?

iyaudat

21/01/2016 à 14h54

Salut,

J’entends pas mal d'avis contradictoires.

Alors je voudrais s'il en existe, une réponse/étude/expérience perso.

Quel est le pronostic d'une dent une fois un instrument cassé dans le canal?

Je pose cette question car j'en ai eu deux en deux mois, et j'ai pas réussi à les retirer.

Certains confrères m'ont dit "Tu touches pas, et tu vois comment ça évolue"
Sur eugenol j'ai pu lire que "si digue, bien désinfecté, en fin de traitement..."
Certains préviennent le patient, d'autres non, certains extraient.
Parfois les confrères me laissent croire que je m’inquiète pour rien, qu'en est il pour vous les eugenoliens?

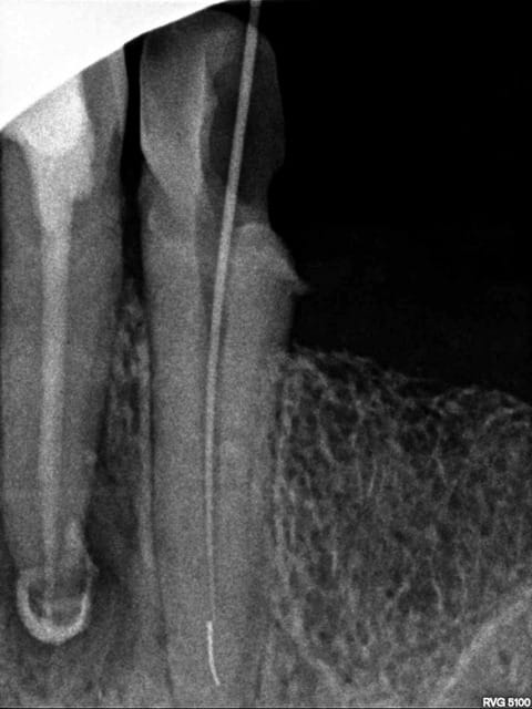
Voila mes deux perles, je me doute bien que l'infection sur la 46 a peu de chance de disparaitre, mais on remarquera sur la 13 la belle continuité de l'instrument sur le gutta qui cache bien son jeu! :-))

PS: Pas d'insultes! Digue sans crampon! =]



R2 qyscst - Eugenol
R17 x6xrgj - Eugenol
R18 ka91s6 - Eugenol

220px don camillo4 qrcfhs - Eugenol
camillo

21/01/2016 à 15h03

En général, si dent non infectée avec instrument cassé à l'apex, en fin de traitement avec bonne irrigation... et sans dépasser... ça ne devrait pas poser de soucis dans la majorité des cas.

Sur ta 46, le pronostic est assez mauvais. Il y a plus d'espoir avec la prémolaire.

Par contre, toujours prévenir le patient. Outre l'aspect légal, il y va de la relation de confiance qu'il faut établir avec ta patientèle.


Avatar eugenol pe0ymx - Eugenol
nicklebenou

21/01/2016 à 15h45

iyaudat écrivait:
-----------------
> Salut,
>
> J’entends pas mal d'avis contradictoire.
>
> Alors je voudrais s'il en existe, une réponse/étude/expérience perso.
>
> Quel est le pronostic d'une dent une fois un instrument cassé dans le canal?
>
> Je pose cette question car j'en ai eu deux en deux mois, et j'ai pas réussi à
> les retirer.
>
> Certains confrères m'ont dit "Tu touches pas, et tu vois comment ça évolue"
> Sur eugenol j'ai pu lire que "si digue, bien désinfecté, en fin de
> traitement..."
> Certains préviennent le patient, d'autres non, certains extraient.
> Parfois les confrères me laissent croire que je m’inquiète pour rien, qu'en est
> il pour vous les eugenoliens?
>
> Voila mes deux perles, je me doute bien que l'infection sur la 46 a peu de
> chance de disparaitre, mais on remarquera sur la 13 la belle continuité de
> l'instrument sur le gutta qui cache bien son jeu! :-))
>
> PS: Pas d'insultes! Digue sans crampon! =]


Salut. en fait tout dépend du type d'instrument et surtout de la zone de casse. dans les 2 cas la cassure dans le tiers apical rend la dépose compliquée voir impossible.
En général il faut essayer de faire un by pass: cad de passer un instrument manuel à côté.
Avec un peu de chance sur la molaire les 2 canaux mésiaux se rejoignent à l'apex et ça pourrait marcher. mais très compliqué quand même, d'autant plus si tu n'as pas d'aides optiques pour te donner un coup de main.

>
>
>


Capture d  cran 2015 05 13   10.37 - Eugenol
BA

21/01/2016 à 15h53

Il y a eu un article dernièrement , confirmé au cours /TP du Dr Bal à Lyon, où le praticien , après TT au maximum possible , extrait la dent, coupe les apex , fait une obturation à rétro au MTA et remets gentiment la dent dans l'alvéole .
Perso je ne suis pas encore assez acrobate, mais comme je suis meilleure en patho qu'en endos je crois que je me laisserai tenter un de ces jours sur un patient Kamikaze...


lachmar

21/01/2016 à 15h53



on a tous pété des instruments rassure toi

et on ne les récupère pratiquement jamais par voie orthograde s'ils sont cassés courts dans le tiers apical

mais si tu travailles avec la la digue sous rincage abondant sur dent vivante tu ne risques pratiquement rien

ne crois tu pas que ces deux cas sont une bonne raison pour te remettre à la digue ?


Jack 2 wm3tqs - Eugenol
Trepo

21/01/2016 à 16h19

BA écrivait:
------------
> Il y a eu un article dernièrement , confirmé au cours /TP du Dr Bal à Lyon, où
> le praticien , après TT au maximum possible , extrait la dent, coupe les apex ,
> fait une obturation à rétro au MTA et remets gentiment la dent dans l'alvéole .
> Perso je ne suis pas encore assez acrobate, mais comme je suis meilleure en
> patho qu'en endos je crois que je me laisserai tenter un de ces jours sur un
> patient Kamikaze...

Enlaye, au lieu de trainer sur le post à provisoires, viens tu es convié :)


iyaudat

21/01/2016 à 17h03

camillo écrivait:
-----------------
> En général, si dent non infectée avec instrument cassé à l'apex, en fin de
> traitement avec bonne irrigation... et sans dépasser... ça ne devrait pas poser
> de soucis dans la majorité des cas.
>
> Sur ta 46, le pronostic est assez mauvais. Il y a plus d'espoir avec la
> prémolaire.
>
> Par contre, toujours prévenir le patient. Outre l'aspect légal, il y va de la
> relation de confiance qu'il faut établir avec ta patientèle.

Bon j'espere que tu as raison, après prevenir le patient... je sais, mais je sais pas par ou commencer, comment expliquer a un patient qu'on lui laisse un morceau de metal dans la dent sans passer pour un incapable? :-))

nicklebenou écrivait:
-----------------
> Salut. en fait tout dépend du type d'instrument et surtout de la zone de casse.
> dans les 2 cas la cassure dans le tiers apical rend la dépose compliquée voir
> impossible.
> En général il faut essayer de faire un by pass: cad de passer un instrument
> manuel à côté.
> Avec un peu de chance sur la molaire les 2 canaux mésiaux se rejoignent à l'apex
> et ça pourrait marcher. mais très compliqué quand même, d'autant plus si tu n'as
> pas d'aides optiques pour te donner un coup de main.

J'espere que les deux canaux se rejoignent, ce serait super, mais je me fais pas trop d'espoir, heureusement j'ai donné un mauvais pronostic au patient avant meme de commencer, je lui ai dit qu'on essaye, si ca marche pas extraction.
Pour les loupes ca va pas tarder, j'examine les differentes possibilités chaque jour! :)

BA écrivait:
------------
> Il y a eu un article dernièrement , confirmé au cours /TP du Dr Bal à Lyon, où
> le praticien , après TT au maximum possible , extrait la dent, coupe les apex ,
> fait une obturation à rétro au MTA et remets gentiment la dent dans l'alvéole .
> Perso je ne suis pas encore assez acrobate, mais comme je suis meilleure en
> patho qu'en endos je crois que je me laisserai tenter un de ces jours sur un
> patient Kamikaze...

Hmmm, j'vais laisser ca au plus courageux, avec mes 3 mois de bouteille je me sens pas encore le cran!!

lachmar écrivait:
-----------------
>
>
> on a tous pété des instruments rassure toi
>
> et on ne les récupère pratiquement jamais par voie orthograde s'ils sont cassés
> courts dans le tiers apical
>
> mais si tu travailles avec la la digue sous rincage abondant sur dent vivante tu
> ne risques pratiquement rien
>
> ne crois tu pas que ces deux cas sont une bonne raison pour te remettre à la
> digue ?

Merci pour le soutien moral et les bonnes nouvelles, pour l'histoire de la digue j'utilise des digues sans crampon, n'ayant pas d'assistante je trouve qu'elle sont plus faciles a mettre en place.


Licorne

21/01/2016 à 18h14

Je sais pas comment avec une aide optique on peut voir un instrument dans le 1/3 apical ?????
Puis la digue notre collègue a dit qu'il s'en servait.
Au fait! demande à ton patient s'il n'a jamais pété un forêt béton dans un mur, il comprendra vite 😂😂😂 et il passera pour un nul au même titre que toi si c'est ta façon de voir les choses.


Blue eye thumb medium dx1i0w - Eugenol
bill

21/01/2016 à 18h40

iyaudat écrivait:
-----------------
>
> Merci pour le soutien moral et les bonnes nouvelles, pour l'histoire de la digue
> j'utilise des digues sans crampon, n'ayant pas d'assistante je trouve qu'elle
> sont plus faciles a mettre en place.


Tiens si ça peut te rassurer (un peu ?) ;-)

http://www.eugenol.com/sujets/411568-que-faire

--
Matériel pro moins cher ?
http://docbay.fr
Neuf et Occasion
___________________________


Ba2be871 3220 4edb a5bc d126045cb763 jy2fsv - Eugenol
cyber ratiches

21/01/2016 à 20h52

"on a tous pété des instruments rassure toi"

A la louche j'estime fracturer un instrument protaper environ une fois par mois dans un canal au niveau du dernier 1/3 apical.
Suis je dans la moyenne ou vraiment mauvais ?
Je compte sur votre franchise dans vos réponses 😏🙄😇



--
•La chose la plus importante dans la communication est d'entendre ce qui n'a pas été dit. (Peter F. Drucker)


iyaudat

21/01/2016 à 21h19

Licorne écrivait:
-----------------
> Je sais pas comment avec une aide optique on peut voir un instrument dans le 1/3
> apical ?????
> Puis la digue notre collègue a dit qu'il s'en servait.
> Au fait! demande à ton patient s'il n'a jamais pété un forêt béton dans un mur,
> il comprendra vite 😂😂😂 et il passera pour un nul au même titre que toi si c'est
> ta façon de voir les choses.

C'est vrai tu as raison. Mais je m'imagine en tant que patient, je viens pour une pulpite, et le dentiste me dit après traitement que suite a la casse d'un instrument, le pronostic de la dent est réservée. Résultat, pour une "simple" pulpite, je risque de perdre ma dent.
Il existe une phrase type pour faire passer la pilule au patient?

bill écrivait:
--------------
> Tiens si ça peut te rassurer (un peu ?) ;-)
>
> http://www.eugenol.com/sujets/411568-que-faire
>
Conclusion:
Le gutta c'est dépassé! Maintenant on obture au Ni-Ti!

Enfin ca me donne bon espoir pour ma 13!

cyber ratiches écrivait:
------------------------
> "on a tous pété des instruments rassure toi"
>
> A la louche j'estime fracturer un instrument protaper environ une fois par mois
> dans un canal au niveau du dernier 1/3 apical.
> Suis je dans la moyenne ou vraiment mauvais ?
> Je compte sur votre franchise dans vos réponses 😏🙄😇

Intéressant, j’espère qu'on aura des réponses, pour le moment je partage ta moyenne cyber


Capture d  cran 2015 03 12 12.28 - Eugenol
chicot29

21/01/2016 à 21h59

cyber ratiches écrivait:
------------------------
> "on a tous pété des instruments rassure toi"
>
> A la louche j'estime fracturer un instrument protaper environ une fois par mois
> dans un canal au niveau du dernier 1/3 apical.
> Suis je dans la moyenne ou vraiment mauvais ?
> Je compte sur votre franchise dans vos réponses 😏🙄😇
>

Ca dépend. Du nombre d'endos si tu n'en fais qu'une .......-))))
J'en casse aussi, mais jamais avec des instruments neufs. Et pourquoi je ne jette pas mes instruments à chaque fois ? A votre avis ? -)


Licorne

21/01/2016 à 22h13

Chicot29 est devenu radin depuis que sa Porsche est tombée en panne😃😃😃😃.
J'entrevois bien une autre réponse mais celle là tout le monde la connaît ...... et je lui donne raison.
Dixit notre ami:

Il existe une phrase type pour faire passer la pilule au patient?

Tu achètes des billets de loterie, tu lui en file quelques uns et tu lui dis: "On peut pas gagner à tous les coups".😆😅
Sinon travaille avec des instruments neufs et tu prends un bifton pour te dédouaner d'un jeu d'instrument rotatif avec l'accord du patient.

Avec la SS on est en train de devenir des mendigous pour bosser.

Il est vrai qu'en fac ils font comme ça mais la rentabilité c'est pas leur pb, un jeu et poubelle.
En fait le plus grave je crois c'est que tu vis mal l'échec et que tu dois être jeune.
ÇA c'est vraiment LE souci!!


Blocperso talon jer3sl - Eugenol
mrquentin

22/01/2016 à 00h33

pour moi, toutes les dents qui sont représentées sur tes radios sont à extraire maintenant en raison d'une lésion préexistante. Tu as trop de portion de canal non instrumenté pur que tabalanceoit en faveur de la recnstruction osseuse. La molaire était foutue avant l'endo selon moi. ta canine, tu peux eventuellement tenter une resection apicale, mais bon...


Vw campersurfvan bmnk1q - Eugenol
enlaye

22/01/2016 à 00h51

Trepo écrivait:
---------------
" Enlaye, au lieu de trainer sur le post à provisoires, viens tu es convié :)"

dire que j'allais rater ça :-)))


Vw campersurfvan bmnk1q - Eugenol
enlaye

22/01/2016 à 01h12

BA écrivait:
------------
" Il y a eu un article dernièrement , confirmé au cours /TP du Dr Bal à Lyon, où le praticien , après TT au maximum possible , extrait la dent, coupe les apex , fait une obturation à rétro au MTA et remets gentiment la dent dans l'alvéole ."

y en a vraiment ,ils sont gonflés hein !, faut oser quand même non ?


Jack 2 wm3tqs - Eugenol
Trepo

22/01/2016 à 07h24

Haha, il en a mis du temps ;)


Vw campersurfvan bmnk1q - Eugenol
enlaye

22/01/2016 à 09h23

ç est de la balle cette technique ,non ?


Mosquitogif zt3c7k - Eugenol
mosquito

22/01/2016 à 11h41

lachmar écrivait:
-----------------

> ne crois tu pas que ces deux cas sont une bonne raison pour te remettre à la
> digue ?

------------
PS: Pas d'insultes! Digue sans crampon! =]



faut lire jusqu'au bout les posts.


Vw campersurfvan bmnk1q - Eugenol
enlaye

22/01/2016 à 16h42

cyber ratiches écrivait:
------------------------
"A la louche j'estime fracturer un instrument protaper environ une fois par mois dans un canal au niveau du dernier 1/3 apical. Suis je dans la moyenne ou vraiment mauvais ?
Je compte sur votre franchise dans vos réponses 😏🙄😇"


moi? jamais .
le protaper ,je le coupe en petit bout , , et quelque fois j'en depose delicatement un bout au fond du canal .comme la feve dans la galette des rois


Orezza gazeuse verre litre ocoxey - Eugenol
casa

22/01/2016 à 17h36

ha ha ha moi pareil et ça fait des obturations béton ! béton armé bien sûr . Ben oui ça casse ses petites choses et ça prévient pas . L'autre jour un protaper tout neuf : il est ressorti du canal, tordu ! c'est pas normal ça .... je me demande s'il ne vient pas de Chine celui là ... étrange non ?


Capture d  cran 2015 03 12 12.28 - Eugenol
chicot29

22/01/2016 à 17h56

Licorne écrivait:
-----------------
> Chicot29 est devenu radin depuis que sa Porsche est tombée en panne😃😃😃😃.

Elle n'est pas en panne je ne m'en sers plus en ce moment. je roule en saxo, j'adore le nuage de fumée qu'elle fait en démarrant. -)


Jack 2 wm3tqs - Eugenol
Trepo

22/01/2016 à 18h00

J'adore l'odeur du diesel au petit matin ;)


G-P

22/01/2016 à 20h13

Et si vous changiez de système ? Le protaper casse sans arrêt..
Prenez un ssytème Reciproc.


lachmar

23/01/2016 à 12h20



curieusement j'ai pété 2 reciproc

encore plus curieusement sur le pere et le fils

et j'ai moi-même du mal à y croire : le pere sur une 45 bien droite à un canal et le fils sur une 35 bien droite et à un canal

et c'est pas une blague


RépondreCiter
12