Cookie Consent byPrivacyPolicies.comMaintenance implantaire impossible - Eugenol

Maintenance implantaire impossible

Mm goodteeth2 ex0rr1 - Eugenol
Jules

24/01/2016 à 19h00

Bonjour à tous,

J'aurai aimé votre avis pour une nouvelle patiente du cabinet.

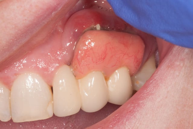
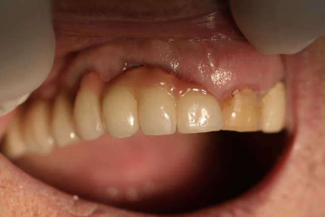
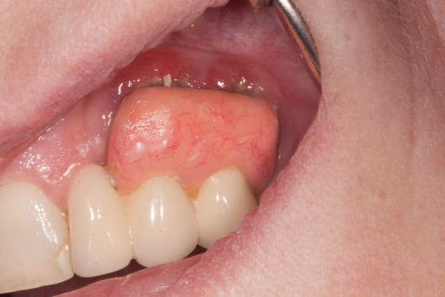
Un "bridge" 22-23-24 a été réalisé il y a 6 ans, sur 2 implants.

Cliniquement, si la 22 a été réalisée de façon classique, 23 et 24 sont montée sur une armature métallique en selle. En palatin, la selle avance sur le palais de 2 mm, mais en vestibulaire, on est plus à 8 mm de recouvrement.
La formation de tartre dans l'intrados de la selle donne une gencive inflammatoire, saignant spontanément au passage d'un fouloir rond. Je vous laisse voir les photos.

Il n'y a aucune doléance ou demande de la patiente concernant l'ensemble, ni fonctionnelle, ni esthétique.

Ç’aurait été du transvissé, j'aurai proposé un démontage pour permettre de voir un peu l'état de ce qu'il y a en dessous, et pouvoir détartrer/nettoyer le bridge, mais là, c'est du scellé, et j'envisage mal une dépose sans jouer de la trans-métal. Et puis, pour avoir fait ce choix, le confrère a du être confronté à une bonne fonte osseuse, la suite pourrait donc être plus compliquée que simplement refaire un bridge permettant une HBD correcte...

Vous auriez un conseil ou une expérience similaire à m'offrir ?




 mg 4760 bt3cg8 - Eugenol
Ra dep kjdvbf - Eugenol
 mg 4759 jv3piu - Eugenol
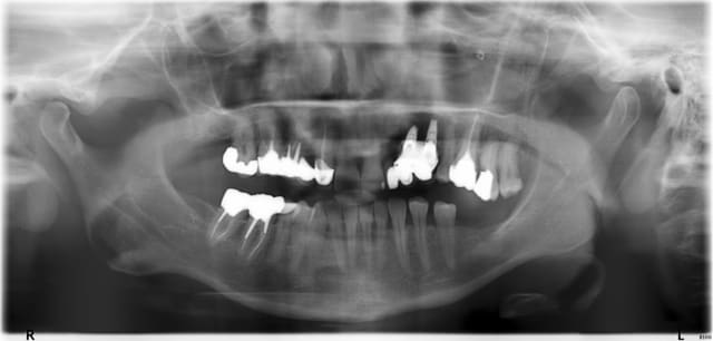
Pano dep mrg3ip - Eugenol

Ylfwcw979cz1jnx9gfqeaxndiuzk - Eugenol
Algi

24/01/2016 à 20h37

Soit elle convient comme toi (et moi) que c'est plutôt dégueulasse, soit elle s'en fout.

Si elle s'en fout alors a toi de voir....

Les implants ou plutôt l'os autour semblent corrects sur la retroalveolaire donc pas le feu au lac.

Si c'est scellé en provisoire tu peux essayer de le démonter mais tu risques de pas y arriver ou de tout niquer.

As tu envisagé de fraiser la fausse gencive?

Sinon restent le fil dentaire spécial implants ou les longues brossettes que je sais exister chez crinex.

Commencer par ça + eau oxygénée bicar puis tenter passer longs inserts paro....




--
L’extrémisme est le culte sans la culture ;
le fondamentalisme est la croyance sans la connaissance ;
l’intégrisme est la religiosité sans la spiritualité.

On a toujours le choix mais entre quoi et quoi?
Vas-y boulégue et l'avenir te le dira!


Smile beach jgh0a1 - Eugenol
Céramik

24/01/2016 à 20h40


Je touches seulement si patiente bien informée et qui réalise qu'il est possible de devoir tout refaire (implants/os/gencive) une fois la dépose du bouzin avec devis approprié (le double d'un travail classique).

Si hésitation (de la patiente, ou de toi (capacité à gérer)au revoir et bonne chance.



--
Céramik


Image r6habu - Eugenol
Thomas Crown

24/01/2016 à 21h41

Prends le cas d'un chassis mal adapté créant une lésion bourgeonnante, tu lui dis quoi?
" Ma'am vot dentier il vous coupe la viande, faut l'enlever dardar"; Ben la c'est pareil.
Aprés , il est clair que c est celui qui l'a posé qui doit s'en occuper, la patiente veut pas y aller, elle assume.
Et lui faire un provisoire amovible de dépannage, qu'elle pourra placer 3semaines aprés la dépose, et préparer un wax up avec des 23,24 de hauteur coronaire adaptées, c est moche mais pas le choix..


dcs

25/01/2016 à 00h16

Céramik écrivait:
-----------------
>
> Je touches seulement si patiente bien informée et qui réalise qu'il est possible
> de devoir tout refaire (implants/os/gencive) une fois la dépose du bouzin avec
> devis approprié (le double d'un travail classique).
>
> Si hésitation (de la patiente, ou de toi (capacité à gérer)au revoir et bonne
> chance.
>
>
>
> --
> Céramik

accord par ecrit!!!!


Smile beach jgh0a1 - Eugenol
Céramik

25/01/2016 à 03h49

dcs écrivait:
-------------

>
> accord par écrit!!!!

Oui (comme pour tous les cas d'implanto, du simple au complexe), et dépôt avant le 1er rdv (comme tous les cas d'implanto)

Sinon je touche pas.


--
Céramik


Bazaruto 2007 ircsez - Eugenol
jumpingjackflash

25/01/2016 à 18h06

Pour les cons rien n'est impossible, c'est à cela qu'on les reconnait

 mg 6884 wgvirj - Eugenol
 mg 6887 awi6fc - Eugenol
 mg 6890 ovpsfb - Eugenol

DrPoulish

26/01/2016 à 00h43

ce que je ferais à ta place :
Ne pas jeter trop vite la pierre au praticien (qui te dit qu'il n'as pas fait ça en "provisoire" en l'expliquant a la patiente, puis elle a déménagé / changé de dentiste / préféré ne pas y retourner pour ne pas payer un définitif )
Je cautionne pas ce truc , c'est pas du bon boulot.
Les implants n'ont pas l'air trop mal positionnés mais le boulot de prothèse je comprends vmt pas le projet :D.
Ca a été fait par un correspondant ? Un ami de la patiente prothésiste ? un stagiaire ?

Bref

Je préviens la patiente que ça met gravement en péril les implants et que ça coutera le triple de refaire ( cout biologique et pécunier )

Je proposerais un démontage pour rectification de la prothèse, tout en précisant qu'il se peut qu"il faille refaire la prothèse ( et donc 2 devis)
Sur le devis de réfection totale , n'oublies pas que tu vas payer l'accastillage à l'unité ( donc pas très remisé ) et te repayer les tournevis etc ...


Maintenant c'est pas pq c'est du scellé que c'est indéposable.
Admettons que ce fut du transvissé : tu aurais du fraisé le compo d'obturation du puit d'accès à la tete de vis avant de pouvoir déposer.
=> Ben la c'est pareil mais t'as une petite barrière en métal en plus ... rien d'insurmontable non ?

Si tu te sens pas tu adresses a un gars plus expérimenté que toi ...


Exemple d'un bridge que j'ai repris il y a quelques mois, posé il y a 5 ans par un gars très renommé de ma région, le dentiste des stars .

Ne pas oublié qu'on apprend de ses erreurs, mais aussi de celles des autres, et que donc d'autres aprennent aussi de nos erreurs ...

Img 7908 kcbb0v - Eugenol
Img 7909 d6y5bl - Eugenol
Img 7928 jq7gn8 - Eugenol
Img 7929 eqcz7i - Eugenol

Little shop of horrors brzqjx - Eugenol
chatondecarte

26/01/2016 à 09h54

Sauf que si les piliers sont très angulés alors tu l as un peu dans l os pour un démontage propre.

--
Mon book de chirurgie :
http://facebook.fr/drbbenichou


Mm goodteeth2 ex0rr1 - Eugenol
Jules

22/02/2016 à 20h12

J'ai revu la patiente aujourd'hui pour commencer ses soins, et je voulais vous donner la suite.

Plus à l'aise qu'au premier rdv, elle m'a indiqué le nom du confrère qui a réalisé le bridge. Elle était retournée le consulter pour un mauvais gout au moment du brossage de la zone, et le confrère a d'après elle temporisé, ce qui l'a un peu déçue.

Comme le confrère en question exerce pas très loin, j'ai conseillé à la patiente de retourner le voir pour dans un premier temps pour qu'il prenne en charge la dépose.

J'avoue avoir eu très très envie de voir ce que ça donnait en dessous (et je ne désespère pas de pouvoir vous envoyer une photo, je revois la patiente pour un autre secteur), mais :

- Comme vous l'avez souligné plusieurs fois, je n'ai aucune idée de comment le premier traitement s'est passé. Et le confrère en question bosse pas mal de ce que j'en sais.

- Techniquement, pour déposer ça, j'aurai pu demander à Pluton de m'identifier les implants pour savoir quel tournevis utiliser, mais ça n'aurait pas valu le confort de faire ça avec le dossier patient original (scan, éventuelle simulation 3D, modèle et dimensions des implants, type et matériau des piliers, ciment utilisé, etc)


Au final, une bonne leçon à cogiter sur comment combiner facilité de nettoyage et esthétique rose dans le maxillaire antérieur après fonte osseuse !

Perso, je sacrifierai peut-être plus facilement la rapidité de traitement à l'avenir en adressant le patient pour une greffe ou expansion osseuse préalable (c'est pas dans mes cordes aujourd'hui !)...




@Algi : oui j'avais pensé à fraiser la fausse gencive : on ne le voit pas bien sur les photos, mais l'intrados au contact de la gencive est en métal, ce qui aurait fait une limite difficile à camoufler.
Pour les brossettes, impossible à passer là dedans : la gencive étant inflammatoire, c'est douloureux, et l'oedeme gingival la comprime contre le tartre de l'intrados.

Merci à tous pour vos bons avis et notamment à jumpingjackflash et drpoulish pour les cas illustrés !