Cookie Consent byPrivacyPolicies.comENSEIGNE - Eugenol

ENSEIGNE

220px don camillo4 qrcfhs - Eugenol
camillo

02/02/2016 à 17h18

Bon, le président de l'ordre m'a tel pour me dire de pas m'inquiéter, qu'il allait lui faire retirer tout le bazar manu militari.

Il va même convoqué les 2 roumaines de ma rue pour un rappel à l'ordre, je pense que ça va un peu chauffer. De ce que j'ai compris, c'est pas la première fois qu'elles s'accommodent des règles de la profession.

En tout cas, super réactivité de l'Ordre. Bravo.


Dsc05680 medium aphmfg - Eugenol
BasArtDentaire

02/02/2016 à 17h24

camillo écrivait:
-----------------
> En tout cas, super réactivité de l'Ordre. Bravo.

Comme quoi, on critique l'ordre, mais il est utile.


Vw campersurfvan bmnk1q - Eugenol
enlaye

02/02/2016 à 17h25

2 roumaines sur le meme trotoir ?
mais ç est la mondaine qu'il fallait appeler :-)))
je sors


220px don camillo4 qrcfhs - Eugenol
camillo

02/02/2016 à 17h35

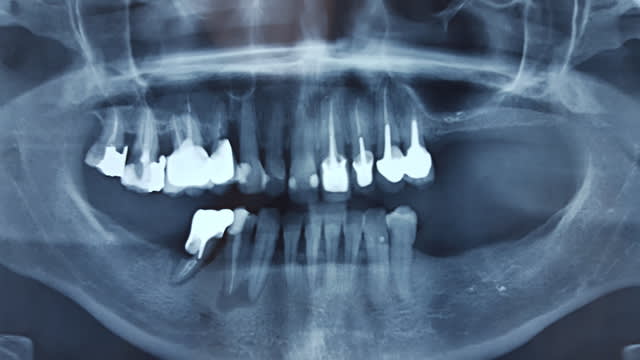
En bonus, je vous gratifie de la panoramique après traitement d'une patiente CMU.
Les couronnes solidaires de 15 et 16 viennent d'être posées.
La couronne de 45 aussi, support de crochet de stellite bancal, en mobilité terminale...

Vous avez mal sur 16/17, c'est rien, y'a rien.

Attention , moi aussi il m'est arrivé de faire des conneries, ou des trucs que je regrette. Et ça m'arrive encore parfois, et ça m'arrivera...

Mais il y a une limite entre l'erreur et le fait-exprès.

20160202 162518 1  lgphu0 - Eugenol

Generique fraisage r2rxmm - Eugenol
lardonbis

02/02/2016 à 17h55

Putain y'a du niveau quand même.
T'en fait pas pour elles, elles auront du taf quand même.
Une pièce quelles ont signé un beau protocole santétruc.
et une autre que leur dosimètre indique une dose de dentiste retraité.

Ces praticiens ont une technique pour avoir bonne conscience : ne pas voir la merde existante ( donc pas de radio) et ne pas garder une image de celles qu'elles font ( donc pas de radio).
En plus ça permet de mettre les couronnes plus vite.

Remarque j'en ais connu un bien de chez nous comme ça.


Dsc05680 medium aphmfg - Eugenol
BasArtDentaire

02/02/2016 à 18h04

camillo écrivait:
-----------------

> Attention , moi aussi il m'est arrivé de faire des conneries, ou des trucs que
> je regrette. Et ça m'arrive encore parfois, et ça m'arrivera...

Un y a une importante différence entre prendre un risque et se getter tout nu dans du verre pilé.

mais attention, la meilleur des chose est encore de faire profil bas, ne pas critiquer, ne pas répondre au critiques formulées par les patients...
Comme le dit le Dr house, tout le monde ment.

Les autorités compétentes rendront leur conclusions à la découverte des charniers.


220px don camillo4 qrcfhs - Eugenol
camillo

02/02/2016 à 18h24

J'avais vu cette patiente avant, mais elle s'était laissée convaincre d'aller voir qui vous savez, parce qu'elle s'était laissée dire que " ça irait plus vite qu'avec l'autre"
Tu m'étonnes!

Résultat, je la vois revenir en larmes avec de grosses douleurs et une infection carabinée.


lachmar

02/02/2016 à 18h24

camillo écrivait:
-----------------
> En bonus, je vous gratifie de la panoramique après traitement d'une patiente
> CMU.
> Les couronnes solidaires de 15 et 16 viennent d'être posées.
> La couronne de 45 aussi, support de crochet de stellite bancal, en mobilité
> terminale...
>
> Vous avez mal sur 16/17, c'est rien, y'a rien.
>
> Attention , moi aussi il m'est arrivé de faire des conneries, ou des trucs que
> je regrette. Et ça m'arrive encore parfois, et ça m'arrivera...
>
> Mais il y a une limite entre l'erreur et le fait-exprès.


tu vois

même avec ses plaques enormes et ses vitrines de pub tu récupères ses patients à la loyale (j'en ai connu des comme ça ... même des français .. et ça finit souvent en cabinet fermé)

tu crois que ca valait le coup de lui en remettre une couche en la balançant à l'ordre ?




220px don camillo4 qrcfhs - Eugenol
camillo

02/02/2016 à 18h27

Oui, ne serait ce que pour protéger les patients innocents en ne les laissant pas se faire attirer par de la pub!!!😉


lachmar

02/02/2016 à 20h51

camillo écrivait:
-----------------
> Oui, ne serait ce que pour protéger les patients innocents en ne les laissant
> pas se faire attirer par de la pub!!!😉


on n'a pas vocation a etre don quichotte

moi je pense que les patients ont les praticiens qu'ils méritent

et vice versa

la première qualité qu'ils demandent à un dentiste c'est de ne pas faire mal

la deuxième de ne pas être cher

quand on adit ça on a tout dit


Vw campersurfvan bmnk1q - Eugenol
enlaye

02/02/2016 à 22h16

lachmar écrivait:
-----------------
" la première qualité qu'ils demandent à un dentiste c'est de ne pas faire mal
la deuxième de ne pas être cher
quand on adit ça on a tout dit "

non tu as oublié de dire , et surtout la 3eme; faire partie des reseaux mouhahahaha , quoi ça te fais pas rire ,coquinou que tu es :-)) ?
tonton,pouquoi tu tousses ?


Hok 1b hgd3rj - Eugenol
Hokusai

02/02/2016 à 23h28

BasArtDentaire écrivait:
------------------------

> Les autorités compétentes rendront leur conclusions à la découverte des
> charniers.

Et on dira quoi ??? Comme en 45 ??? On savait pas ???


Photo pluton1b h9n4ea - Eugenol
pluton

03/02/2016 à 00h25

lachmar écrivait:
-----------------

> la première qualité qu'ils demandent à un dentiste c'est de ne pas faire mal

çà, je suis d'accord...

>
> la deuxième de ne pas être cher

alors là non...je ne suis pas le moins cher (et de loin) de mon coin...et j'ai pourtant 2 mois complets devant moi...
les patients veulent quelqu'un de compétent, qui cerne rapidement où se trouve(nt) le(s) problème(s)
ensuite ils veulent qu'on les respecte, dans leurs choix de ttm, dans les explications bien sûr, mais çà passe aussi par la ponctualité parce que dans ce monde où tout va (trop?) vite, ils apprécient ne pas poireauter une heure ou plus dans une salle d'attente...
si en plus le praticien peut les prendre en charge de A à Z voir même toute la famille avec les gamins, les ados (ODF) et les grands parents (complets, stabilisés ou non) c'est encore mieux...

mais pour en revenir au sujet, il y a des règles, c'est comme çà, c'est pour chacun d'entre nous et tout le monde doit s'y tenir
on a le droit à une seule chose: une plaque, aux dimensions légales, point barre.
sincèrement, si j'avais ce genre de truc vers chez moi...je ferais pareil: un petit coup de fil à l'Ordre, il n'y a pas de raison...
si on commence à tolérer ce genre de trucs, çà va devenir du grand n'importe quoi...il n'y aurait plus qu'à embaucher les "rabatteurs" voir les pinups et les gogo-danseurs pour attirer le chaland...


Vw campersurfvan bmnk1q - Eugenol
enlaye

03/02/2016 à 00h48

heu ,je crois que les dimensions de plaques , ç est fini .


Photo pluton1b h9n4ea - Eugenol
pluton

03/02/2016 à 01h39

je crois pas...
normalement 30cm x 20cm avec une taille maxi de 30cm x 25cm (comme pour toute profession libérale)
et le contenu est réglementé aussi...

Le chirurgien-dentiste peut faire figurer sur sa plaque professionnelle, uniquement :

ses nom, prénoms,
sa qualité, sa spécialité et les diplômes, titres ou fonctions reconnus par le Conseil national de l'ordre.
Il peut y ajouter l'origine de son diplôme, les jours et heures de consultation ainsi que l'étage et le numéro de téléphone.

Ces indications doivent être présentées avec discrétion, conformément aux usages de la profession.

le tout est généralement à faire valider par le CDO...en tout cas c'est plus que conseillé dans ma région...j'ai même du faire refaire la mienne lorsque je me suis installé car celui qui me l'avait faite c'était trompé en marquant "diplômé de la faculté de médecine" au lieu de "diplômé de la faculté d'odontologie"...


1...78