Cookie Consent byPrivacyPolicies.comAvec quoi ... - Eugenol

Avec quoi ...

Jack 2 wm3tqs - Eugenol
Trepo

02/02/2016 à 17h13

Obturer ça ...

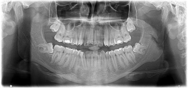
Patient, 20 ans, choc multiples sur les centrales étant gamin. Pano pour les 8.

Lésion sur 21, en bouche, légère dyschromie, test froid négatif, pas de douleur, retro, tu m'étonnes ... ! Les autres répondent correctement.

Concrètement, comment obturer convenablement ça ?

Bouchon de MTA : entre la galère pour appliquer ça correctement à l'apex et sans dépasser dans tous les sens, bof, de plus j'imagine que c'est utopique de vouloir obtenir ne serait-ce qu'un début de fermeture apicale.

Cônes de gutta moulés avec moultes Rx..., pourquoi pas, déjà fait, mais l'étanchéité ne semblerait pas optimale, ajouté au fait que le peu de ciment risque de fuser également.

Vos avis ?! Merci.




P1 ay7hah - Eugenol
R2 qc9rlm - Eugenol
R3 p8ascs - Eugenol

Generique fraisage r2rxmm - Eugenol
lardonbis

02/02/2016 à 18h04

bouchon de MTA oui, si tu sais pas tu adresse et tu vas voir (enfin moi j'irai).
Les cônes moulés bof.

Sinon les endodontistes: y'a moyen de faire une chir direct ??


Jack 2 wm3tqs - Eugenol
Trepo

02/02/2016 à 18h10

J'adresse ... oui c'était bien mon intention au départ, mais le patient est ... CMU, jeune, pas un kopek :(
Ce sera ma première proposition, mais il va revenir à 100 contre 1, donc j'anticipe :)

Le MTA, je pratique mais là, la racine est longue, je n'ai pas de MO, et pour fouler à l'apex, je me sens pas trop.


dent2669

02/02/2016 à 18h17


Surtout pas de chir directe ! Il faudrait entièrement vider le canal à rétro et l'obturer... donc impossible !
La bonne solution est effectivement le bouchon de MTA à l'apex, puis remplissage du canal à la gutta après la prise du MTA.

Digue/Irrigation+++/Activation/Séchage/MTA.

Si ton patient refuse... envoie le chez dtxia je suis sûr qu'ils lui trouveront une solution pas chère ;-)


Bubo bubo portrait xqn39s - Eugenol
oiseaudenuit

02/02/2016 à 21h50

vu le contexte décrit... pourquoi pas à l'IRM ?


Jack 2 wm3tqs - Eugenol
Trepo

02/02/2016 à 22h02

Effectivement, un IRM serait certainement plus aisé à mettre en place à la bonne longueur (vu l'autoroute pour descendre à l'apex). Mais aucun recul, après sur des resections apicales et obtu à retro, les résultats sont à peu près équivalents au MTA, il me semble.
Des avis ?
Ça me fait suer pour ce gamin.


Grueavatar nptrc9 - Eugenol
Le Choixpeau magique

02/02/2016 à 22h15

Ce n'est pas si compliqué de faire le bouchon de MTA.
Il faut bien régler le stop du fouloir choisi (sur radio).
Puis ne pas hésiter à en mettre pas mal en contrôlant au fur et à mesure sur radio.
Après en dehors du prix du matériau, c'est assez chronophage et ça demande plusieurs séances (CaOH, puis MTA, puis obturation), donc ce n'est pas gratuit.


Jack 2 wm3tqs - Eugenol
Trepo

02/02/2016 à 22h28

Il faudrait que je m'entraîne sur dent sèche. Je peux "fabriquer" une dent avec cette anatomie mais ça fait chero le TP si j'y passe 3 sachets de poudre ;)
Manipuler le MTA en vision directe sur une obtu a rétro ou sur une perfo ok, mais là je le sens pas trop, je le vois bien fuser ou durcir avant d'être à la longueur et là voilà le problème pour repasser.


dent2669

03/02/2016 à 09h43

Trepo écrivait:
---------------
> Il faudrait que je m'entraîne sur dent sèche. Je peux "fabriquer" une dent avec
> cette anatomie mais ça fait chero le TP si j'y passe 3 sachets de poudre ;)
> Manipuler le MTA en vision directe sur une obtu a rétro ou sur une perfo ok,
> mais là je le sens pas trop, je le vois bien fuser ou durcir avant d'être à la
> longueur et là voilà le problème pour repasser.

Le temps de prise du MTA est de plusieurs heures et au contact de l'humidité... ça devrait le laisser le temps de faire quelques contrôles radio pendant la mise en place.
Une fois que tu as fais ton bouchon, ne foule pas de la gutta dessus tout de suite. Laisse prendre le MTA avec une boulette de coton humide et revois à quelques jours pour compléter l'obutration.


Jack 2 wm3tqs - Eugenol
Trepo

03/02/2016 à 10h00

Merci pour les tips.


Ylfwcw979cz1jnx9gfqeaxndiuzk - Eugenol
Algi

03/02/2016 à 10h26

Obture avec MTA ou biodentine rallongée d'eau pour obtenir une consistance pâteuse utilisable.

Eventuellement si la dent le permet et si tu envisages screw post pense à l'insérer dans ton MTA/biodentine lors de l'obturation car ensuite wallou pour le placer.

Seul souci: c'est du one shot sans retour en arriere possible à moins d'envisager resection apicale ensuite....

Concernant un eventuel dépassement pas très évitable vu le canal en tromblon ça me parait pas un souci majeur sauf à lui en mettre 1/2 kg dans l'os ;0) et au pire t'iras chirurgiquer ensuite...

photos jointes: cas de resorption externe avec à l'origine faux canal, félure ou juste la resorption qui avait atteint le canal...

Obturée à la biodentine allongée, pose de srew post titane dans la foulée de l'obturation, un moignon compo a été réalisé ensuite.

Dent traitée en urgence (abcès), ça saignait mais j'ai pu cauteriser (merci lokki), une galère si j'avais voulu mettre de la gutta.... perdue pour perdue j'ai tenté le truc, c'était en janvier 2014 et la dent, recoiffée depuis est toujours là, asymptomatique.
La patiente est prevenue que ça tiendra ce que ça tiendra et qu'elle doit faire des economies pour eventuel implant à venir (ou vacances avec son copain si l'implant tarde à venir).

--
L’extrémisme est le culte sans la culture ;
le fondamentalisme est la croyance sans la connaissance ;
l’intégrisme est la religiosité sans la spiritualité.

On a toujours le choix mais entre quoi et quoi?
Vas-y boulégue et l'avenir te le dira!

2935 x 2014 01 09 12 24 06 4 etdntl - Eugenol
2935 x 2014 01 30 10 49 08 4 x28eni - Eugenol
2935 x 2014 06 12 11 27 44 4 smatl8 - Eugenol

Bbpanda vyfmu4 - Eugenol
kung fu panda

03/02/2016 à 10h36

Si tu veux faire une apexification au MTA, il faut que tu investisses dans le map system, qui te permettra de déposer le MTA à l'apex. ça risque d'être un peu compliqué sans cet instrument.

http://www.megadental.fr/autres-accesoires/map-system.html

Donc forcement, il faut le devis qui va bien, tu ne pourras pas le faire tarif sécu (sauf si tu es maso ;-)

Sinon tu peux essayer avec le kit endosequence root repair, ça t’évite d'investir dans le map system, mais ce n'est pas donné non plus (pas encore eu l'occasion de tester ce produit, ce ne sont pas des cas qu'on voit tous les jours)

http://www.henryschein.fr/fr-fr/Shopping/ProductDetailsFullPage.aspx?productid=890-4175&CatalogName=GENCABI&FullPageMode=true


Jack 2 wm3tqs - Eugenol
Trepo

03/02/2016 à 10h46

Effectivement dans ce cas je pensais bien investir dans ce que tu présentes kungfu. Sur les vidéo youtube, ça semble "simple" avec ce genre de matos.
Merci pour le partage.
@ Algi, idem, j'ai déjà récupéré des cas limites avec le MTA, ou sur des obtus a retros. Mais pour ce genre de dents et amener le MTA à l'apex, effectivement le matos présenté par kung fu devrait le faire.


Bbpanda vyfmu4 - Eugenol
kung fu panda

03/02/2016 à 11h26

Trepo écrivait:
---------------
Sur les vidéo youtube, ça semble "simple" avec ce genre de matos.
> Merci pour le partage.

Oui c'est pas très compliqué du moment que tu as le bon matos. Tu mets un stop sur l'embout,tu fais des radios au fur et à mesure et ça roule.

Par contre très important : nettoie ton embout immédiatement après utilisation, car si le MTA durci dedans il est bon pour la poubelle. Tu fais la connerie une fois mais pas deux, car à 100 euros l'embout ;-)

1  08 04 2009 cbmwrp - Eugenol
2  08 07 2009 bmz3ae - Eugenol
3 15 07 2009 htevuu - Eugenol
4 05 04 2012 eaor5f - Eugenol

Jack 2 wm3tqs - Eugenol
Trepo

03/02/2016 à 11h33

Sympa le cas!
Et merci du conseil ;)


olivier

03/02/2016 à 12h24

Algi écrivait:
--------------
> Obture avec MTA ou biodentine rallongée d'eau pour obtenir une consistance
> pâteuse utilisable.
>
> Eventuellement si la dent le permet et si tu envisages screw post pense à
> l'insérer dans ton MTA/biodentine lors de l'obturation car ensuite wallou pour
> le placer.
>
> Seul souci: c'est du one shot sans retour en arriere possible à moins
> d'envisager resection apicale ensuite....
>
> Concernant un eventuel dépassement pas très évitable vu le canal en tromblon ça
> me parait pas un souci majeur sauf à lui en mettre 1/2 kg dans l'os ;0) et au
> pire t'iras chirurgiquer ensuite...
>
> photos jointes: cas de resorption externe avec à l'origine faux canal, félure ou
> juste la resorption qui avait atteint le canal...
>
> Obturée à la biodentine allongée, pose de srew post titane dans la foulée de
> l'obturation, un moignon compo a été réalisé ensuite.
>
> Dent traitée en urgence (abcès), ça saignait mais j'ai pu cauteriser (merci
> lokki), une galère si j'avais voulu mettre de la gutta.... perdue pour perdue
> j'ai tenté le truc, c'était en janvier 2014 et la dent, recoiffée depuis est
> toujours là, asymptomatique.
> La patiente est prevenue que ça tiendra ce que ça tiendra et qu'elle doit faire
> des economies pour eventuel implant à venir (ou vacances avec son copain si
> l'implant tarde à venir).
>
> --
> L’extrémisme est le culte sans la culture ;
> le fondamentalisme est la croyance sans la connaissance ;
> l’intégrisme est la religiosité sans la spiritualité.
>
> On a toujours le choix mais entre quoi et quoi?
> Vas-y boulégue et l'avenir te le dira!


Alain tu as pas peur que si l'infection récidive on ai une perte de la dent et de l'implant à coté

http://onlinelibrary.wiley.com/doi/10.1111/clr.12415/full

En gros on m avait dit qu'une lipoe à moins de 2 mm d'un implant cela posait des soucis


Img 9301 q0yyqn - Eugenol
Art-dent

03/02/2016 à 12h29

Cas clinique loin d'être parfait et je n'en était pas très fier :

12 ans
Traitement réalisé au MTA, j'ai merdé dans le placement du MTA comme on peut le voir sur la radio...
Radio 1 an post op : cicatrisation osseuse, plus de symptômes et pas d'inflammation particulière autour du MTA. Les parents sont prévenus que si ça pose problème on y retourne en chir.

PS : Ce n'est pas moi qui gère la prothèse, les parents n'ont pas donné suite au traitement coronaire proposé par leur dentiste... dommage

--

R1 vnzgah - Eugenol
R5 suogm1 - Eugenol
R7 qk6kej - Eugenol

ceel

03/02/2016 à 12h29

je suis etonné que plus personne ne parle de l apexification au Ca(OH)2


Img 9301 q0yyqn - Eugenol
Art-dent

03/02/2016 à 12h39

Autre cas avec petite modification dans le protocole pour éviter les mésaventures du cas précédent :

Adulte (dens in dente qui a entrainé la nécrose de la dent)

J'ai placé des éponges hémostatiques au delà de l'apex ce qui permet de créer un matelas plus dense à la limite de la racine et ainsi de condenser plus sereinement le MTA.

--

R4 kxi1ia - Eugenol
R7 winr32 - Eugenol
R8 xmyfla - Eugenol

4a338550 6a5b 47ea b2a7 d3cb675c5076 oni5gh - Eugenol
fistule 69

03/02/2016 à 12h51

Personne n'a essayé avec un CVI ?
😷🤔


Bbpanda vyfmu4 - Eugenol
kung fu panda

03/02/2016 à 13h31

Art-dent écrivait:
------------------
> Cas clinique loin d'être parfait et je n'en était pas très fier :

Oups ;-)

cela dit c'est ingénieux le coup des éponges hémostatiques, je retiens!


Bbpanda vyfmu4 - Eugenol
kung fu panda

03/02/2016 à 13h34

ceel écrivait:
--------------
> je suis etonné que plus personne ne parle de l apexification au Ca(OH)2

Ce n'est plus d'actualité. Tu mets du CaOH pour assainir ou tenter de stopper une résorption.

Le MTA a prouvé son efficacité dans ce genre de cas, et les résultats sont beaucoup plus rapides et prédictibles.


Ylfwcw979cz1jnx9gfqeaxndiuzk - Eugenol
Algi

03/02/2016 à 13h47

Olivier: cf radio préop.... Abcès ++++ ce jour là. Ouvert dent, débridé, stérilisé laser, obturé bio dentine tenon titane et surveillé de prés.
Abcès disparu dans les 24h et aucun signe dans jours et semaines suivants.
Laissé ensuite sous provisoire 2 ou 3 mois et refait la coiffe quand dent paraissait ok.


Depuis on surveille et ça semble aller.

--
L’extrémisme est le culte sans la culture ;
le fondamentalisme est la croyance sans la connaissance ;
l’intégrisme est la religiosité sans la spiritualité.

On a toujours le choix mais entre quoi et quoi?
Vas-y boulégue et l'avenir te le dira!


Tjhpfpw1xwx56upo0wvm oxnhwm - Eugenol
CoffeeCooper

03/02/2016 à 15h51

Des petits " trucs " que j'utilise dans ces cas d'apexification

- lors de la temporisation avec un hydroxyde de calcium, je préfère faire une préparation magistrale, consistance compacte (genre Cavit) et l'apporter à l'entrée du canal avec un porte-amalgame puis utiliser les fouloirs pour remplir tout le volume canalaire (meilleur pouvoir astringent que l'hydroxyde de calcium du commerce) - on peut tester l'adaptation des fouloirs ce jour-là pour la suite

- laisser la médication en place environ trois semaines ; plus de problème d'assèchement ensuite

- utiliser avec abondance l'EDTA pour éliminer les résidus d'HyCa avant d'obturer

- le MAP system est très pratique mais effectivement onéreux. Pour éviter cet investissement, tu peux acheter le porte-MTA de la marque Angélus qui te permettra de gérer la plupart des cas. L'embout est plus court mais cela te permet d'apporter des petits plots de MTA à l'entrée du canal. Pour le fouler, 3 " instruments " sont utiles : le fouloir de Machtou adapté sur lequel tu mets un stop, un gros cône de gutta, recoupé s'il le faut (moi, j'utilise des 50.4 souvent) sur lequel tu marques un repère aux précelles, et les pointes papiers tenues à l'envers qui souvent atteignent la LT (ces dernières sont très pratiques car elles absorbent l'excès d'humidité qu'il y a parfois avec le MTA)

- si tu as 4-5 mm de hauteur de MTA, à mon avis, tu peux faire le back-filling dans la foulée

La thérapeutique d'apexification en multipliant les séances d'hydroxyde de calcium est peu à peu oubliée depuis le MTA. Deux raisons majeures : la multiplication des séances augmente le risque de percolation bactérienne, et on s'est rendu compte que la structure dentinaire était fragilisée par la présence d'HyCa sur du long terme, augmentant le risque de fracture.

Dans le cas clinique : bouchon de MTA et obturation par compactage à chaud de gutta en 1 séance après 3 semaines d'HyCa.

Cochon de lapparent audrey 11 13 11 15 28102  shqfhl - Eugenol
Cochon de lapparent audrey 11 02 10 15 27296  us820a - Eugenol

Jack 2 wm3tqs - Eugenol
Trepo

03/02/2016 à 15h56

Merci.
L'hydroxyde de ca, si le canal est sec et propre est-il une étape incontournable ?


12