Cookie Consent byPrivacyPolicies.comà 4 ans suite choc - Eugenol

à 4 ans suite choc

cémoi

03/02/2016 à 00h39

j'ai reçu une petite de 4 ans d'origine asiatique ( pigmentation). Elle est tombée il y a 15j, ses parents l'ont amenée aux urgences pédiatriques à l’hôpital car elle avait un gros œdème a la lèvre
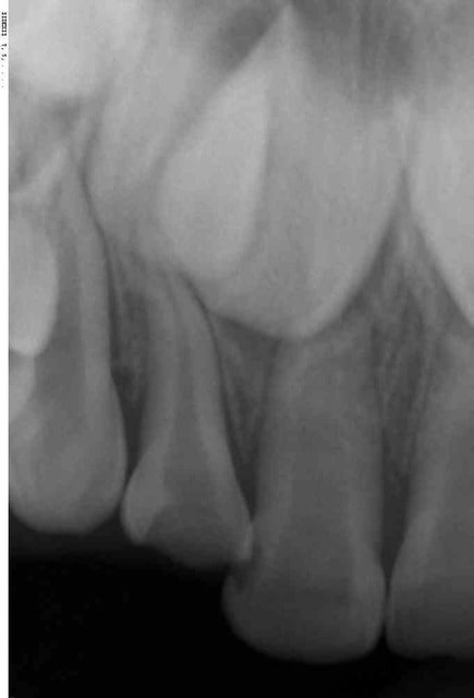
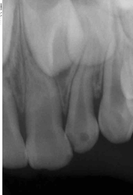
aujourd’hui présence d'un liserer rouge au collet de 51 et 52 et au niveau des apex de ces mêmes dents il y a une tuméfaction dure. Pas de douleur, elle mange normalement
je n'ai pas d'autre choix que d'extraire la 51(?)
Elle a une carie sur 62 , ce n'est pas une raison pour ce lancer dans des propos " pas la peine... cmu..."

20160127 173601 yyfr1j - Eugenol
C3 bkeleu - Eugenol
C4 yktkb5 - Eugenol

dcs

03/02/2016 à 07h56

soigne la comme si c etait ta fille!


cémoi

03/02/2016 à 09h55

et bien justement si c'était ma fille ou mon petit neveu je ne saurai pas plus, c'est bien pour cela que je demande


Fear and loathing in las vegas toax7t - Eugenol
Donchico

03/02/2016 à 13h39

Moi je tenterais une endo de 51 hydroxyde de calcium pour voir comment la dent réagit et si l'infection disparaît. Tu rajoute des AB pour prévenir une infection de la 11.

Si ça marche tu gagnera peut-être 1 an avant d'extraire.
Est ce que la dent est mobile?

J'ai déjà eu ce genre de cas sur des enfants plus jeunes. Des fois ça a marché et des fois j'ai extrait au bout d'1 mois ... C'est aléatoire.

Enfin je ne suis pas un pedo exclusif ni un grand ponte de la profession :)

Tu aura surement d'autres avis.


dcs

03/02/2016 à 14h55

cémoi écrivait:
---------------
> et bien justement si c'était ma fille ou mon petit neveu je ne saurai pas plus,
> c'est bien pour cela que je demande

première intention ab + traitement de racine + contention .
si ça évolue bien super , sinon tu passes a extraction .
Tu peux même faire un appareil avec des bambino tooth .


Bagheera tudzjy - Eugenol
bagheerra

03/02/2016 à 16h34

Je peux dire une bêtise ?
Et si cette tuméfaction, c'était la 11 vestibulée ?

En tout cas, pour moi pas question d'extraire d'emblée : si nécrose de la 51, endo au ZOE avec interséance de CaOH²


cémoi

03/02/2016 à 16h47

mouvement de la 11, c'est effectivement ce que j'ai craint surtout vu son inclinaison. C'est pour cela que j'ai fait (et vous ai mis) une radio de 21 mais même inclinaison
nécrosée elle doit l'être vu sa couleur
pas de mobilité de 51 par contre c'est la perte d'attache au collet qui me stress