Cookie Consent byPrivacyPolicies.comLésion gingivale inconnue - Eugenol

Lésion gingivale inconnue

bouboule

03/02/2016 à 13h06

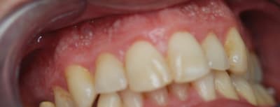
j'ai sur un patient de 45 ans non fumeur sans soucis de santé l'apparition sur les gencives vestibulaire maxillaire de petites excroissances.
Certaines sont dures du coup je pensais au début à des exostoses mais d'autres recrachent du pue à la pression et d'autres enfin un espèce de liquide visqueux qui fait penser à du sébum (c'est plus solide que liquide d'ailleurs).
J'ai aussi pensé à des glandes salivaires accessoires mais le liquide type sébum ne colle pas avec un écoulement salivaire.
La rétro est normale, le cone beam aussi pas de paro apicale sur les dents en regard, les tests au froid sont positif. C'est indolore et ça va ça vient.
Une idée?

Img 2560 kqwtey - Eugenol
Dsc 0082 lfa3b6 - Eugenol

Generique fraisage r2rxmm - Eugenol
lardonbis

03/02/2016 à 13h25

Grain de Fordyce avec une localisation étrange.
ça arrive parfois

tiens en cherchant même si c'est pas la même chose
http://www.ncbi.nlm.nih.gov/pubmed/2313524


bouboule

05/02/2016 à 13h48

Merci!