Cookie Consent byPrivacyPolicies.comEvolution des endos. - Eugenol

Evolution des endos.

Capture d  cran 2015 03 12 12.28 - Eugenol
chicot29

07/02/2016 à 16h47

le collage c'est simple : soit ca colle soit ca colle pas.

la force d'adhésion est inférieure avec ou sans digue ? sans contamination par la salive bien sur.


Gutt-A

07/02/2016 à 20h10

chicot29 écrivait:

> Et puis il faut penser à l'avenir non ? -)



oui biensûr, le pays est foutu et vive les mutuelles, toujours la même musique



j'imagine le gars avec un petit coup de blues à la base et qui te lit sur eugénol.
C'est double dose de prozac direct ;)


pointG

08/02/2016 à 11h13

si on veut revenir à la question de départ de "licorne"
évolution des endos: l'apparition des NITI a été une révolution mais pas sans risque puisque aucun instrument
n'est incassable ;il y a le mouvement de réciprocité qui
diminue encore les risques de casse mais pas totalement.
l'apparition de blister stérile avec des instruments à usage unique(comme je crois dans les pays anglo-saxons on n'utilise
que des instruments jetables)
mais le passage d'une lime de perméabilité à main reste
indispensable voir plusieurs pour des courbures radiculaires
(d’où le côté indispensable d'une digue pour éviter l'ingestion;inhalation de l'instrument et d'irriguer à l'hypo)

croire que l'on peut passer un Niti unique sans cathéterisme manuelle avec de l'hypo sous forme de gel sans digue est une erreur(même avec une lime de cathétérisme rotative encore une évolution possible)


pointG

08/02/2016 à 11h20

il y a une évolution/révolution pour notre cabinet c'est
de posséder un CBCT ;on voit des images peu visibles sur
une radio rétro ou une panoramique 2d
vraiment une révolution puisque on peut visualiser le
fameux MV2 des molaires sup. (il est là ou pas!!!)
ce rendre compte des courbures ;on a la longueur LT
de manière précise sur le logiciel qui peut confirmer le localisateur d'apex


P2eqdh3csim6s7nb09ktdq3e7ev8 - Eugenol
barbabapat

08/02/2016 à 11h25

pointG écrivait:
----------------
> il y a une évolution/révolution pour notre cabinet c'est
> de posséder un CBCT ;on voit des images peu visibles sur
> une radio rétro ou une panoramique 2d
> vraiment une révolution puisque on peut visualiser le
> fameux MV2 des molaires sup. (il est là ou pas!!!)
> ce rendre compte des courbures ;on a la longueur LT
> de manière précise sur le logiciel qui peut confirmer le localisateur d'apex

Un léger problème par rapport à cela risque d’être le cout pour le patient d'une radio non prise en charge avec la HAS et l'ASN qui vont fortement tiquer.

Mais oui, c'est une révolution que de pouvoir voir ce que l'on fait.


Capture d  cran 2015 03 12 12.28 - Eugenol
chicot29

08/02/2016 à 11h29

Genial ! on voit si mv2 et Mv1 se rejoignent à l'apex ?

Ton CBCT est il justifié par la HAS ? En d'autres termes as tu le droit de le coter ?

Parce qu'à 80 000 euros le bousin il faut savoir si ca vaut le coup ou pas. -)


pointG

08/02/2016 à 12h11

il est possible de "coter" un CBCT pour une endo. pris
en charge par la SS. quand cela est justifié car non
visible sur une rétro ou une pano 2D;on le fait quelquefois
car c'est vraiment un +++ pour certaines endo.
pour les implants c'est bien sur NR


pointG

08/02/2016 à 12h20

le MV1 et le MV2 ne se rejoignent pas toujours d’où
de nombreux LIPOE sur les molaires sup. en vestibulo mésial
le CBCT coute 1000 euros par mois sur 7 ans;c'est un investissement ;nous sommes 2 associés pour l'instant;
achat sans aucun regret car cela nous apporte beaucoup en endo.et en implanto.car on peut même faire un CBCT en cours
de pose pour vérifier des axes si on est mal parti...


Little shop of horrors brzqjx - Eugenol
chatondecarte

08/02/2016 à 14h30

Je pense qu un cbvt systèmatiques pour les retraitements molaires est parfaitement justifiable.

--
Mon book de chirurgie :
http://facebook.fr/drbbenichou


pointG

08/02/2016 à 14h36

on est un peu comme dit chatondecarte ;CBCT souvent pour RTE
molaire+++ et autres +;théoriquement toute radio doit pouvoir se justifier: on dira le CBCT encore plus (si on veut un remboursement SS)


Capture d  cran 2015 03 12 12.28 - Eugenol
chicot29

09/02/2016 à 01h46

pointG écrivait:
----------------
> le MV1 et le MV2 ne se rejoignent pas toujours d’où
> de nombreux LIPOE sur les molaires sup. en vestibulo mésial
> le CBCT coute 1000 euros par mois sur 7 ans;c'est un investissement ;nous sommes
> 2 associés pour l'instant;
> achat sans aucun regret car cela nous apporte beaucoup en endo.et en
> implanto.car on peut même faire un CBCT en cours
> de pose pour vérifier des axes si on est mal parti...

En implanto indispensable. En endo ben si tu passes à coté d'un canal accessoire qui va te le reprocher au vu des perles qu'on croise régulièrement ? Au mieux c'est contre productif et ca va te faire perdre du temps à traiter un canal supplémentaire. -))))
Ah oui il faut un microscope ( +30000) parce que ce que tu vois sur ton CBCT pas évident que tu le voies en bouche. Ca commence à faire cher la plaisanterie pour des tarifs opposables de merde. + système B ( 2000) avec bouchon apical et remontée de gutta, hors de question de faire une obturation lambda. Ca commence à faire cher pour des tarifs opposables dignes du tiers monde. Vous n'aurez pas droit aux félicitations du jury non plus ! -)
Ou si jury il y a ca sera plutôt sous forme de controles sécu parce que forcément tu en fais plus que la moyenne ! -)))
1000 euros par mois pour repasser un entretient confraternel non merci. Déjà que les panos quis'ammortissenttoutseuls en sont des forts pourvoyeurs......-))))


lachmar

09/02/2016 à 11h00

chicot29 écrivait:
------------------
> pointG écrivait:
> ----------------
> > le MV1 et le MV2 ne se rejoignent pas toujours d’où
> > de nombreux LIPOE sur les molaires sup. en vestibulo mésial
> > le CBCT coute 1000 euros par mois sur 7 ans;c'est un investissement ;nous
> sommes
> > 2 associés pour l'instant;
> > achat sans aucun regret car cela nous apporte beaucoup en endo.et en
> > implanto.car on peut même faire un CBCT en cours
> > de pose pour vérifier des axes si on est mal parti...
>
> En implanto indispensable. En endo ben si tu passes à coté d'un canal accessoire
> qui va te le reprocher au vu des perles qu'on croise régulièrement ? Au mieux
> c'est contre productif et ca va te faire perdre du temps à traiter un canal
> supplémentaire. -))))
> Ah oui il faut un microscope ( +30000) parce que ce que tu vois sur ton CBCT pas
> évident que tu le voies en bouche. Ca commence à faire cher la plaisanterie pour
> des tarifs opposables de merde. + système B ( 2000) avec bouchon apical et
> remontée de gutta, hors de question de faire une obturation lambda. Ca commence
> à faire cher pour des tarifs opposables dignes du tiers monde. Vous n'aurez pas
> droit aux félicitations du jury non plus ! -)
> Ou si jury il y a ca sera plutôt sous forme de controles sécu parce que
> forcément tu en fais plus que la moyenne ! -)))
> 1000 euros par mois pour repasser un entretient confraternel non merci. Déjà
> que les panos quis'ammortissenttoutseuls en sont des forts
> pourvoyeurs......-))))


tu n'as pas tort,
mais , même en respectant strictement les indications des CB, ça reste une excellente affaire qui s'amortit toute seule
et t'apporte un confort jusque la inconnu en endo
et en chir
et en paro
tes traitements sont motivés et justifiables, tu peux montrer au patient exactement ses lésions
tes traitements sont guidés et securisés ...
on a tous révé d'avoir, en endo, un oeil au bout des racines , maintenant on l'a : je prends mes mesures de canaux sur mon ecran et je corrèle sur deux coupes

et on n'a pas le droit de s'en priver et de priver les patients (qui ne sont pour rien dans la nomenclature)
il est utile, avant l'achat d'appeler son CDC pour connaître sa position, et ensuite respecter strictement le deal ,les caisses ayant une vision purement comptable et statistique ... et on doit etre dans les clous ... mais, même comme ça ca reste une bonne affaire


pointG

09/02/2016 à 21h12

je suis d'accord avec "lachmar" le CBCT C'est magique!
on le possède depuis juin 2013!Pas de relation
téléphonique avec le CDC ;on croise les doigts toujours pas
de problèmes!!!
pour "chicot29" on possède aussi un microscope opératoire!
je ne l'utilise pas à 100% pour les endos;pas comme mon associé
ON se fait plaisir même si cela ne se voit pas sur notre
bénéfice(75% de frais j'ai même atteint 80% quand mon associé était salarié....)


pointG

10/02/2016 à 10h53

Voici un exemple de couplage microscope opératoire/cbct

RTE 36 en octobre2012 ;3 heures de RTE pour recherche de canaux sous micro inserts ultrasons/il y avait une LIPOE
digue+hypo+système R-endo microméga instruments à mains
vérification au CBCT en 2016
disparition des LIPOE

ici on obtient une guérison apicale

Al1 qh467e - Eugenol
Al2 sxefia - Eugenol
Al3 wvoq1h - Eugenol
Al5 dovohh - Eugenol
Aldis36 b17dii - Eugenol
Almes36 ysctxt - Eugenol

Capture d  cran 2015 03 12 12.28 - Eugenol
chicot29

10/02/2016 à 11h08

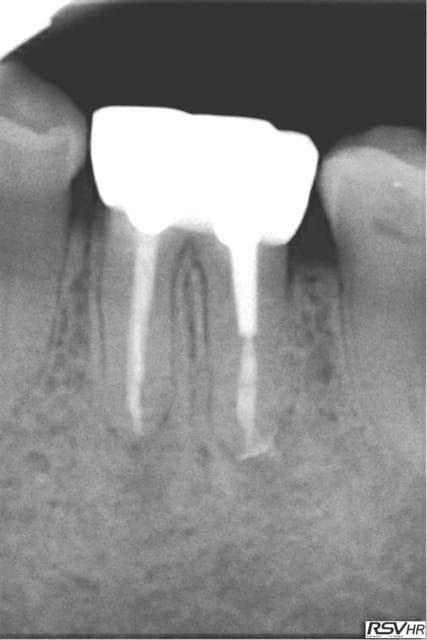
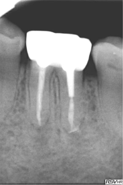
Tu peux me faire un CBCT de 35 ? Il semble y avoir un 4ième bien que le tt endo soit correct.

Je viens de faire une bio sur 45 (pulpite). Et je crois que j'ai ma petite idée sur la cause du 4 ième de 35. -)

Capture d e cran 2016 02 10 10.04 - Eugenol
Capture d e cran 2016 02 10 10.05 - Eugenol

lachmar

10/02/2016 à 11h14

chicot29 écrivait:
------------------
> Tu peux me faire un CBCT de 35 ? Il semble y avoir un 4ième bien que le tt endo
> soit correct.
>
> Je viens de faire une bio sur 45 (pulpite). Et je crois que j'ai ma petite idée
> sur la cause du 4 ième de 35. -)


c'est vraiment magique ces nouvelles digues qu'on ne voit pas a la radio

on n'arrete pas le progrès )


Capture d  cran 2015 03 12 12.28 - Eugenol
chicot29

10/02/2016 à 11h32

lachmar écrivait:
-----------------

> et on n'a pas le droit de s'en priver et de priver les patients (qui ne sont
> pour rien dans la nomenclature)
> il est utile, avant l'achat d'appeler son CDC pour connaître sa position, et
> ensuite respecter strictement le deal ,les caisses ayant une vision purement
> comptable et statistique ... et on doit etre dans les clous ... mais, même comme
> ça ca reste une bonne affaire

Tant qu'il n'y aura pas une adéquation correcte entre le travail fourni, le matériel mis en oeuvre, et la rémunération pour une endo ca ne sera pas une bonne affaire.
Point G est sur équipé et a un BNC de merde par rapport à son CA. ( 20-25 %)
Au moindre trou d'air vu ses charges fixes trop importantes il boit le bouillon.


Capture d  cran 2015 03 12 12.28 - Eugenol
chicot29

10/02/2016 à 11h37

lachmar écrivait:
-----------------
> chicot29 écrivait:
> ------------------
> > Tu peux me faire un CBCT de 35 ? Il semble y avoir un 4ième bien que le tt
> endo
> > soit correct.
> >
> > Je viens de faire une bio sur 45 (pulpite). Et je crois que j'ai ma petite
> idée
> > sur la cause du 4 ième de 35. -)
>
>
> c'est vraiment magique ces nouvelles digues qu'on ne voit pas a la radio
>
> on n'arrete pas le progrès )

J'assume, optragate linguafix pas de contamination par la salive.
J'enlève le linguafix pour les radio cones en place. Ces cones baignent dans du NAOCL + de chez coltène. Le germe qui parvient à l'apex dans ces conditions s'appelle Mac Gyver. -)
Je ne met la digue que sur les molaires.


pointG

10/02/2016 à 13h28

Chicot29 tu as toujours un problème avec la digue;je répète cela sert à garder l'hypo dans l'endodonte;un bon traitement canalaire c'est faire aller l'hypo à l'apex (pas dans le périapex!)
la nomenclature n'a rien à voir avec le coût
de la pose de digue qui ferait plutôt gagner du temps et de la qualité (et je répète maintenant tu peux faire une RTE
sous devis!!!

mais merci de t'inquiéter du coût de tout mes investissements
très réel;donc mettre la digue sur toutes les dents ne devraient pas te ruiner et en plus je compte sur toi pour me donner "100" balles 'espèces acceptées) quand j'aurais des ennuis de trésorerie....


olivier

10/02/2016 à 13h49

tu trouves où ce linguafix ?


Capture d  cran 2015 03 12 12.28 - Eugenol
chicot29

10/02/2016 à 14h52

Mega dental. commande spéciale.


Capture d  cran 2015 03 12 12.28 - Eugenol
chicot29

10/02/2016 à 15h03

pointG écrivait:
----------------
> Chicot29 tu as toujours un problème avec la digue;je répète cela sert à garder
> l'hypo dans l'endodonte;un bon traitement canalaire c'est faire aller l'hypo à
> l'apex (pas dans le périapex!)
> la nomenclature n'a rien à voir avec le coût
> de la pose de digue qui ferait plutôt gagner du temps et de la qualité (et je
> répète maintenant tu peux faire une RTE
> sous devis!!!
>

Ton voisin ne le fait pas sous devis. Vas t'en expliquer ca au patient je te souhaite bon courage.
Et la digue ne sert pas de réservoir à hypochlorite, la reconstitution pré endo si.

Ici pas de digue, j'ai toute confiance dans le succès de mon tt endo. Avec digue ca n'aurait rien changé.
C'est pas de la salive qu'il y a autour du cone de gutta mais du naocl + de chez coltène ! -)

Capture d e cran 2016 02 10 13.50 - Eugenol

cy2

10/02/2016 à 15h16

chicot29 écrivait:
(et je
> > répète maintenant tu peux faire une RTE
> > sous devis!!!
> >
>
> Ton voisin ne le fait pas sous devis. Vas t'en expliquer ca au patient je te
> souhaite bon courage.

Désolé chicot29, mais on passe notre temps à demander la levée de l'opposabilité sur les soins et certains ne sont pas "capables" de facturer un RTE?


Generique fraisage r2rxmm - Eugenol
lardonbis

10/02/2016 à 15h29

Chicot29 tu te reposes sur une facilité que tu à acquise au cours de ton exercice.
Certains ne l'on pas encore, d'autres ne l’auront jamais et la digue doit être conseillée à tous tout le temps :)
Ainsi vont les actes médicaux, le protocole choisi pour tous doit être celui qui à qualité égale est le moins opérateur dépendant.

Bon sinon dans le fond t'as raison:
-y'a pas une bébète qui passe
-si je dois me faire soigné demain je signe chez toi ( bon t'es trop loin et je suis un mauvais patient).
-ton mode exercice est pour moi à citer en exemple pour bien des raisons ( je détaille pas pas trop de lèche).


P2eqdh3csim6s7nb09ktdq3e7ev8 - Eugenol
barbabapat

10/02/2016 à 15h31

cy2 écrivait:
-------------

>
> Désolé chicot29, mais on passe notre temps à demander la levée de l'opposabilité
> sur les soins et certains ne sont pas "capables" de facturer un RTE?

Parce que ca n'est pas la même chose.

Le RTE est un acte à part entière qui peut seul être assez facilement valorisé comme la reconstitution pré-endo.

On se fait suffisamment pourrir la vie sur le "rattrapage" sur la prothèse pour ne pas aller dans une direction qui a démontrer tout son coté nocif.

Après, que cela fonctionne pour les endo exclusif ou les PH à l’hôpital, c'est certain. Mais les patients n'ont pas la même mentalité et acceptent dés le rendez-vous de payer un service en plus.