Cookie Consent byPrivacyPolicies.comImage pano - Eugenol
tottenio67

08/02/2016 à 12h28

Bonjour
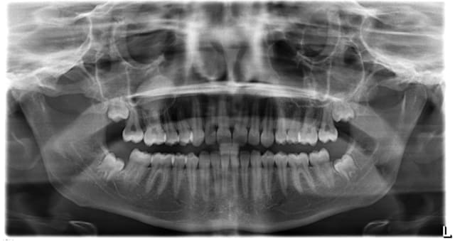
Jeune patiente de 18 ans qui vient pour un contrôle de ses dents de sagesse, je fais une pano et je remarque une image radio au niveau du sinus droit, la patiente ne ressent rien, c'est asymptomatique, a votre avis quel est votre diagnostic

001 fnk7yn - Eugenol

G-P

08/02/2016 à 13h47

Test de vitalité de 16 ?


tottenio67

08/02/2016 à 14h33

Test de vitalité de la 16 positif


Tumblr nbpd8ntwip1rsb3deo1 1280 hyinig - Eugenol
Enki

08/02/2016 à 14h54

Probablement un kyste. A surveiller, sans signes particulier (douleurs, mauvaises odeurs...) on intervient pas. Si tu as un doute : scan et => ORL.


220px don camillo4 qrcfhs - Eugenol
camillo

08/02/2016 à 16h15

En effet, probablement un kyste.
Ceci dit je serais plutôt partisan de l'adresser d'emblée pojr étiquetter de manière sûre cette lésion.
Ne pas prendre de risques avec une jeune patiente.


tottenio67

08/02/2016 à 17h28

J'ai montré la radio a son médecin traitant qui me dit que ce n'est pas kystique (a cause de l'aspect voile blanc) , il m'a conseillé de l'envoyer chez un stomato et de faire un scan


G-P

08/02/2016 à 20h14

tottenio67 écrivait:
--------------------
> son médecin traitant qui me dit que ce n'est pas kystique

C'est un champion ton médecin, le seul au monde à pouvoir déterminer cela sur une radio.


tottenio67

08/02/2016 à 20h42

G-P écrivait:
-------------
> tottenio67 écrivait:
> --------------------
> > son médecin traitant qui me dit que ce n'est pas kystique
>
> C'est un champion ton médecin, le seul au monde à pouvoir déterminer cela sur
> une radio.

Non G.P il a suggéré que ce n'était pas kystique, il n'a pas affirmé


colza2

08/02/2016 à 21h07

elle n'a pas inhalé un minuscule jouet ou une nouille lors de sa petite enfance?


colza2

08/02/2016 à 21h08

doublon


Michel4 ve7g1x - Eugenol
chabit

09/02/2016 à 10h03

Salut,
Pareil que le médecin: plutôt pas kystique, l'image pas radio claire. J'opterais plus pour un lipôme, ou peut être un polype, bref tumeur bégnine à confirmer. Adresse à un ORL ou un maxillo, exérèse et contrôle ana path.


dent2669

09/02/2016 à 10h09

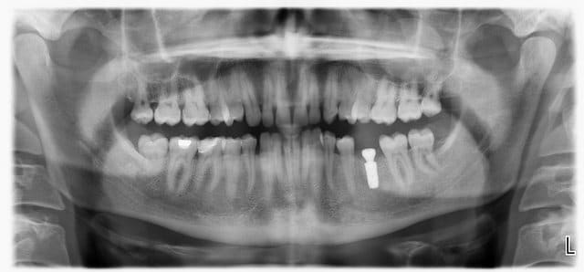
Voilà une image similaire dans le sinus gauche.

J'avais adressé à l'ORL qui avait fait faire un scanner des sinus et diagnostiqué un polype.
Ceci étant totalement asymptomatique, il a décidé de ne rien faire.
Je revois mon patient régulièrement pour contrôler l'implant et à chaque fois la lésion ne montre aucune évolution.

Pano1 nft64f - Eugenol

Capture d  cran 2015 03 12 12.28 - Eugenol
chicot29

09/02/2016 à 10h12

tottenio67 écrivait:
--------------------
> Bonjour
> Jeune patiente de 18 ans qui vient pour un contrôle de ses dents de sagesse,

Ah ? pour un controle de ses dents de sagesses ? pas de signes d'appels ? pas de chirurgie envisagée ? pano non cotable : Indu. -)

( se référer aux recommandations HAS)


Cquenotte

09/02/2016 à 10h44

chicot29 écrivait:
------------------
> tottenio67 écrivait:
> --------------------
> > Bonjour
> > Jeune patiente de 18 ans qui vient pour un contrôle de ses dents de sagesse,
>
> Ah ? pour un controle de ses dents de sagesses ? pas de signes d'appels ? pas
> de chirurgie envisagée ? pano non cotable : Indu. -)
>
> ( se référer aux recommandations HAS)


Je me demande : je n'ai pas de pano donc je prescris et j'envoie en centre de radiologie.
Comment ça se passe si cette radio est sensée être non remboursable ?


Capture d  cran 2015 03 12 12.28 - Eugenol
chicot29

09/02/2016 à 11h03

Il ne se passe rien si tu ne la cotes pas, elle n'est pas censée etre faite. Si tu la cotes c'est un indu qui te pends au nez. -)

Un controle simple ne la justifie pas. Tout comme ne sont pas justifiés les status rétro alvéolaires en l'absence de signes d'appels et d'antécédents de soins intensifs.

Les mots ont leur importance, ceux qui sont passés en entretient confraternel sont au courant. -)))

Ca peut passer par contre si elle a eu un traitement ortho ( antécédents de soins intensifs) mais en aucun cas la justification d'un controle de routine ne peut passer.


tottenio67

09/02/2016 à 11h10

chicot29 écrivait:
------------------
> tottenio67 écrivait:
> --------------------
> > Bonjour
> > Jeune patiente de 18 ans qui vient pour un contrôle de ses dents de sagesse,
>
> Ah ? pour un controle de ses dents de sagesses ? pas de signes d'appels ? pas
> de chirurgie envisagée ? pano non cotable : Indu. -)
>
> ( se référer aux recommandations HAS)

Chicot c'est bien de ramener ta science mais je suis dans un département ou le CDC tolère pas mal de chose, si je n'avais pas fait cette pano je ne serais pas tombé sur cette image. J'ai adressée la patiente à un stomato pour des examens complémentaires.


Capture d  cran 2015 03 12 12.28 - Eugenol
chicot29

09/02/2016 à 11h35

tottenio67 écrivait:
--------------------

> Chicot c'est bien de ramener ta science mais je suis dans un département ou le
> CDC tolère pas mal de chose, si je n'avais pas fait cette pano je ne serais pas
> tombé sur cette image. J'ai adressée la patiente à un stomato pour des examens
> complémentaires.

C'est pas ma science, ce sont les recommandations HAS. recommandations valent obligation. Et le fait que tu sois tombé par hasard sur cette image ne te sauvera pas face à un cdc droit dans ses bottes. C'est un assureur il est là pour récupérer un indu en s'appuyant sur les recommandations HAS point barre. ta patiente il n'en a rien à secouer., c'est ta pratique et le respect des textes, qui l'intéresse.
Un confrère s'est fait emmerder sur une feuille de soins papier car sa signature attestant la réalisation des soins débordait de la case "prévue à cet effet". C'est dans la case la signature, pas à coté. Indu.

Tu vois le niveau ? -)

Donc si un jour tu as un controle sur tes panos c'est DANS les cases qu'il faut répondre ,pas à coté. la sécu est en train de s'effondrer, attends toi à des surprises. -)


Tumblr nbpd8ntwip1rsb3deo1 1280 hyinig - Eugenol
Enki

09/02/2016 à 14h21

Un autre ici :

http://www.eugenol.com/sujets/392041-image-dans-le-sinus


lachmar

09/02/2016 à 14h45

chicot29 écrivait:
------------------
> tottenio67 écrivait:
> --------------------
>
> > Chicot c'est bien de ramener ta science mais je suis dans un département ou le
> > CDC tolère pas mal de chose, si je n'avais pas fait cette pano je ne serais
> pas
> > tombé sur cette image. J'ai adressée la patiente à un stomato pour des examens
> > complémentaires.
>
> C'est pas ma science, ce sont les recommandations HAS. recommandations valent
> obligation. Et le fait que tu sois tombé par hasard sur cette image ne te
> sauvera pas face à un cdc droit dans ses bottes. C'est un assureur il est là
> pour récupérer un indu en s'appuyant sur les recommandations HAS point barre. ta
> patiente il n'en a rien à secouer., c'est ta pratique et le respect des textes,
> qui l'intéresse.
> Un confrère s'est fait emmerder sur une feuille de soins papier car sa signature
> attestant la réalisation des soins débordait de la case "prévue à cet effet".
> C'est dans la case la signature, pas à coté. Indu.
>
> Tu vois le niveau ? -)
>
> Donc si un jour tu as un controle sur tes panos c'est DANS les cases qu'il faut
> répondre ,pas à coté. la sécu est en train de s'effondrer, attends toi à des
> surprises. -)
>


chicot
on dirait que tu te fais un point d'honneur a decourager les jeunes confrères
si ils veulent faire un pano systématique lors d'une première consult , ils cotent une consult voila tout
et on ne pourra pas leur reprocher d'avoir fait un pano (non coté dans ce cas) lors de cette consult
des fois tu donnes l'impression de faire du mal à des mouches
si tu as des problèmes avec ton cdc , dans la grande majorité des départements les cdc sont des confrères plus confraternels que reprimeurs, et la plupart du temps ils passent leur temps à calmer les instances qui poussent au contrôle avec leur vision purement comptable de nos actes...

heureusement qu'ils sont la .


Ice age sid ocgtqj - Eugenol
VAURY

09/02/2016 à 14h53

Bonjour

je dirais mucocèle ??????????,


cy2

09/02/2016 à 15h12

chicot29 écrivait:
------------------
> Tout comme ne sont pas justifiés les
> status rétro alvéolaires en l'absence de signes d'appels et d'antécédents de
> soins intensifs.
>
>

et tu t'es jamais fait attraper avec les 8 retro alvéolaires régulières? ;-)


Capture d  cran 2015 03 12 12.28 - Eugenol
chicot29

09/02/2016 à 15h55

En l'absence d'antécédents de soins intensifs et de signes d'appels ce sont les rétrocoronaires qui sont recommandées.
J'ai eu chaud sur des status mais heureusement ca s'est bien goupillé quasiment tous les patients avaient eu un TT ortho. -)
la notion d'antécédents de soins intensifs n'étant pas définie il suffit qu'il aient eu lieu. -)


Capture d  cran 2015 03 12 12.28 - Eugenol
chicot29

09/02/2016 à 16h08

lachmar écrivait:
-----------------
> chicot29 écrivait:
> ------------------

>
> chicot
> on dirait que tu te fais un point d'honneur a decourager les jeunes confrères
> si ils veulent faire un pano systématique lors d'une première consult , ils
> cotent une consult voila tout
> et on ne pourra pas leur reprocher d'avoir fait un pano (non coté dans ce cas)
> lors de cette consult


Pas décourager : prévenir.
Il faudrait encore pouvoir justifier de compter une consult. C'est pas un survol de la bouche une consult ca répond à des critères bien précis; ( anamnèse etc....) Et en ce sens c'est plus difficile à justifier qu'un pano. -)
Attention à la consult + pano la séance suivante, là c'est le deuxième effet kiss cool. -)

Mais bien sur tout ceci tu en prends conscience quand tu reçois une demande d'information.
Waouh ! je dois justifier de tout ca ? -)))

Ceci dit un pano peut te servir à justifier une consult. Tu peux décrire précisément ce qu'il y a en bouche si tu as oublié de le noter. -))))

Tu leur conseille de faire un pano systématique ? Mais que fais tu de la radio protection des patients ? -)
Tu es à la limite de la mise en danger de la vie d'autrui. -)
C'est pas muet un patient, si il est convoqué il va dire qu'il a eu un pano. Et là les emmerdes commencent. -)


lachmar

09/02/2016 à 18h05

chicot29 écrivait:
------------------
> lachmar écrivait:
> -----------------
> > chicot29 écrivait:
> > ------------------
>
> >
> > chicot
> > on dirait que tu te fais un point d'honneur a decourager les jeunes confrères
> > si ils veulent faire un pano systématique lors d'une première consult , ils
> > cotent une consult voila tout
> > et on ne pourra pas leur reprocher d'avoir fait un pano (non coté dans ce cas)
> > lors de cette consult
>
>
> Pas décourager : prévenir.
> Il faudrait encore pouvoir justifier de compter une consult. C'est pas un survol
> de la bouche une consult ca répond à des critères bien précis; ( anamnèse
> etc....) Et en ce sens c'est plus difficile à justifier qu'un pano. -)
> Attention à la consult + pano la séance suivante, là c'est le deuxième effet
> kiss cool. -)
>
> Mais bien sur tout ceci tu en prends conscience quand tu reçois une demande
> d'information.
> Waouh ! je dois justifier de tout ca ? -)))
>
> Ceci dit un pano peut te servir à justifier une consult. Tu peux décrire
> précisément ce qu'il y a en bouche si tu as oublié de le noter. -))))
>
> Tu leur conseille de faire un pano systématique ? Mais que fais tu de la radio
> protection des patients ? -)
> Tu es à la limite de la mise en danger de la vie d'autrui. -)
> C'est pas muet un patient, si il est convoqué il va dire qu'il a eu un pano. Et
> là les emmerdes commencent. -)

non : le pano fait partie de ma consult (ca s'appelle un examen complémentaire )


Capture d  cran 2015 03 12 12.28 - Eugenol
chicot29

09/02/2016 à 18h41

lachmar écrivait:
-----------------

>
> non : le pano fait partie de ma consult (ca s'appelle un examen complémentaire )

Et non meme pas coté il faut qu'il soit justifié. C'est le premier principe de la radio protection des patients. -)
Avant de partir en retraite tu auras peut etre un controle, tu verras c'est très formateur. -)
Par exemple "examen complémentaire" comme motif, tu te rendras compte que c'est un peu "light". -)


12