Cookie Consent byPrivacyPolicies.comImage secteur 3 - Eugenol

Image secteur 3

joseph23

15/02/2016 à 01h19

Bonsoir à tous!

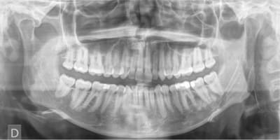
Pouvez-vous m'éclairer sur la nature de l'image radio-opaque visible au niveau des apex de 36 et 37?
Patiente 27 ans, bonne santé générale.
S'est plaint de douleurs et d'une tuméfaction au niveau de la mâchoire inf côté gauche pendant 15 jours.
Tuméfaction toujours présente mais non douloureuse.
Vitalité des dents secteur 3 +, percussion + (patiente sensible)

Merci pour vos lanternes.

Opg ukyp3z - Eugenol

Avatar transparent iqadnc - Eugenol
adhoc

15/02/2016 à 11h21

Malgré ton test vitalité positif (vitalité certainement partielle), tu vas sans doute devoir utiliser tes cones de gutta pour 35 et 36!


lachmar

15/02/2016 à 12h18



essaye de préciser la nature des radios opacités du secteur (lithiases ? )
et pense à une fracture /fêlure


joseph23

24/02/2016 à 18h26

Merci pour vos avis, je vais étudier tout cela.


Hok 1b hgd3rj - Eugenol
Hokusai

24/02/2016 à 20h21

peut être un cémentoblastome.