Cookie Consent byPrivacyPolicies.combridge complet maxillaire sur implant et typ - Eugenol

bridge complet maxillaire sur implant et typ

doclou

18/02/2016 à 17h44

bonsoir.
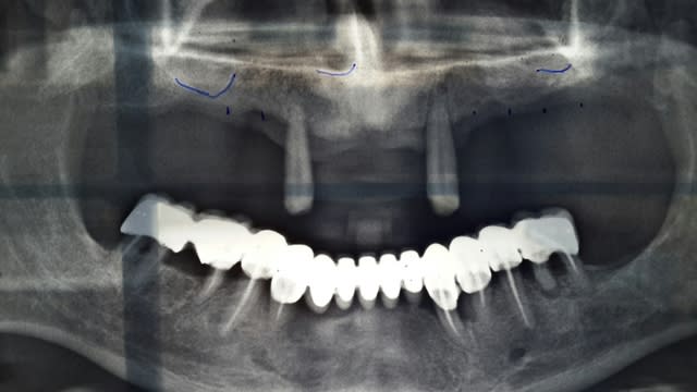
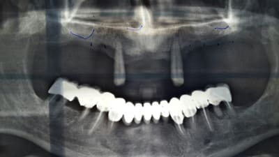
je m'aprete à me lancer pour un bridge complet sup sur implant. le patient porte un stellite depuis des années et il ne lui reste que 13 et 23 qui sont très mobiles/
au scanner, il semble que je pourrais poser 8 implants 6 de 3.7x10 et 2 de 4.7x8. en 12 13 14 17 et 23 24 25 26.
jusqu à present je n'ai fait que de petits cas en prothèse scellée. je pose du zimmer .
ce sera mon premier cas prothèse en vissée. au niveau antérieur, j'ai un decalage de 3 à 4 mm en palatin entre le cingulum des dents et la position future des implants. j'ai une hauteur de 14mm entre la crete et le sord libre des incisives.
questions:
1.comment decider entre un bridge en résine ou en ceramique?
2.des confrères m 'ont dit que chez zimmer la prothèse vissée était difficile à gérer. il semble qu'il n y ait pas de multiunits angulés.
3. les implants antérieur ont un axe un peu vestibulé faut-il chercher à le redresser à tout prix ou est ce qu'il suffit d eviter l'emmergence vestibulaire.
4. conseillez vous une mise en charge immédiate au maxillaire ou vaut-il mieux le faire passer par une totale evidée rebasées. et en cas de mise charge immedaite quel type de renfot sur le bridge provioire.
merci pour votre aide


dcs

18/02/2016 à 20h00

radios et scan et photo


S2y2o1v7q53ws4r5wy6ou8czrpom - Eugenol
pxav

19/02/2016 à 08h34

dcs écrivait:
-------------
> radios et scan et photo

et oui, pas de bras, pas de chocolat
--
xbk
"Si tous ceux qui croient avoir raison n'avaient pas tort, la vérité ne serait pas loin" Dac Pierre


doclou

19/02/2016 à 17h56

voila desolée pourla qualité des photos. j'ai pas pris encore en bouche mais il ne découvre pas du tout. le guide radio a été fait à partie de son stellite. les reconstructions panoramique du scan sont un peu bizarre mais sur les coronales je pense m'en sortir avec les longueur que j'ai dit.
je m 'oriente vers un pilotis résine. mais je prend tout conseil.
mon principal souci est la temporisation.
est ce que vous conseillez mis comme système? est ce que vous connaissez neodent?
si vous avez des conseils sur la prise d'empreinte pour ne pas avoir de problemes de passivité d'armature ça me parait le plus dur pour les grands bridges comme ça.

Pano lkdjko - Eugenol
Scan1 p02gyp - Eugenol
Scan5 zuc0kr - Eugenol
Scan2 altgys - Eugenol
Scan3 h8nwri - Eugenol
Scan4 yx80qp - Eugenol
Modele4 mstdhn - Eugenol
Modele1 sqg5ar - Eugenol
Modele2 yc8w2v - Eugenol
Modele3 qsmohg - Eugenol

rem

19/02/2016 à 19h41

Bonjour.
Des photos dès que tu pourras ?
Amha je dirais bridge avec fausse gencive type pilotis. Je gère qq cas de complet depuis un peu plus d'un an. Avec les déboires et les questions inhérentes. J'ai été à Sarcelles, l'afopi du Dr Zadikian propose un protocole pour ce genre de cas. Un article qui m'a bien aidé :
REHABILITATIONS COMPLETES - LES PROTOCOLES ACCELERES
http://www.afopi.com/publications.php
Si ça peut t'aider

A mon niveau ça me semblerait compliqué avec des hauteurs de 8 et 10mm, surtout pour un premier cas, à moins qu tu n'aies de l'aide. En tout cas en MCI.

Bon courage, en tout cas c passionnant comme cas.


Photo pluton1b h9n4ea - Eugenol
pluton

19/02/2016 à 22h22

rem écrivait:
-------------

> A mon niveau ça me semblerait compliqué avec des hauteurs de 8 et 10mm, surtout
> pour un premier cas, à moins qu tu n'aies de l'aide. En tout cas en MCI.

amha fausse gencive, en antérieur en tout cas...

8 ou 10mm...çà dépend du système utilisé...tous les implants ne se valent pas...mais un système vraiment prévu pour les EII et les MCI peut permettre de gérer ce genre de cas sans difficultés majeure...
si c'est ton premier cas, une chirurgie guidée me semble largement préférable...(et même expérimenté...perso, c'est un tel gain de temps et de sérénité...)


doclou

19/02/2016 à 23h05

Moi je travaille avec Zimmer depuis 10 ans j ai posé pas mal de 8mm même au maxillaire mais toujours en scellée maximum sur des bridges de 4 5 éléments. Jamais eu de problème. Mais en vissée j ai jamais fait en plus il semble que zimmer n ait que des multiunits droits pas d angule c est pour ça que je me pose la question pour un autre système. En plus du fait qu ils sont un peu cher. Est ce que vous conaissez mis? Même conception que Zimmer sur le seven.mais plus de choix de piliers.
Un collègue M a conseillé neodent. C est bresilien. aparament ils ont un système de bagues en laiton qui servent à faire l armature. Ensuite elles sont retirées et remplacés par des bagues en titane que l on colle sur l'intrado de l armature. Ça permettrait de être sûr de la passivité de l armature.
Je ne sais pas quel système choisir.


Photo pluton1b h9n4ea - Eugenol
pluton

19/02/2016 à 23h16

il y a bien mieux que ces systèmes "classiques"...mais de tous ceux que tu as cité le MIS seven est le moins mauvais...seulement je ne suis pas certain qu'il soit capable d'assurer une MCI avec du 8 ou 10mm sauf à avoir un os assez dense, ce qui ne semble pas être le cas ici...


Danse in dente

19/02/2016 à 23h28

http://www.zimmerdental.fr/fr/accueil/implantologie-zimmer-dental/protheses/trabecular-metal-and-tapered-screw-vent/51e3e1cedbf9ca884400001f/piliers-coniques-anguls

Voici les piliers angules zimmer! Jamais utilises mais les droits sont simples à utiliser!


Smile beach jgh0a1 - Eugenol
Céramik

20/02/2016 à 18h40

et pour le bas, tu as prévu qq chose ?

--
Céramik


doclou

21/02/2016 à 23h33

Leur revendeur n en ramène pas la ou je suis. J ai juste peur d en avoir besoin et de me retrouver coincée. Quel systeme vous conseillez? Pour le bas prévu d extraire la racine infectée. Pour des raisons financières on garde son bridge qui tient encore pour linstant. Je me sit qu En bas il y aura toujours moyen de poser des implants entre les trous mentonnièrs même dans quelques années non?


Smile beach jgh0a1 - Eugenol
Céramik

22/02/2016 à 00h31

doclou écrivait:
----------------
Pour le bas prévu d'extraire la racine infectée. Pour des raisons financières on garde son bridge
> qui tient encore pour linstant. Je me sit qu En bas il y aura toujours moyen de
> poser des implants entre les trous mentonnièrs même dans quelques années non?


Je vois au moins 5 racines "infectées" et je suis gentil.
Les "germes paro" présents partout ne sont pas top pour l'implanto du haut.

Pour le budget, le patient (et toi) a les moyens de perdre des implants en haut ?



--
Céramik


Smile beach jgh0a1 - Eugenol
Céramik

22/02/2016 à 03h48

Autre plan de tx

Exo des canines et complet en haut
Ensuite exo et 4 à 6 implant en bas

Implants en haut plus tard...


--
Céramik


S2y2o1v7q53ws4r5wy6ou8czrpom - Eugenol
pxav

22/02/2016 à 09h41

Céramik écrivait:
-----------------
> Autre plan de tx
>
> Exo des canines et complet en haut
> Ensuite exo et 4 à 6 implant en bas
>
> Implants en haut plus tard...
>
>
> --
> Céramik

oui,bonne idée, après ostéotension et sinus éventuels
--
xbk
"Si tous ceux qui croient avoir raison n'avaient pas tort, la vérité ne serait pas loin" Dac Pierre


Olieve

22/02/2016 à 11h50

Céramik écrivait:
-----------------
> Autre plan de tx
>
> Exo des canines et complet en haut
> Ensuite exo et 4 à 6 implant en bas
>
> Implants en haut plus tard...
>
>
> --
> Céramik

Je ferais pareil que Céramik, partir direct sur le traitement maxillaire, c'est partir avec des germes et probablement un mauvais plan d'occlusion.


Le Rosbif

22/02/2016 à 13h05

Je suivre avec interret ce cas.

Quelqu'un sais ce que ca veut dire "MCI" en Anglais?

--
"Si chaque confrère envoi une brosse à dent, crois moi ca les fera réfléchir."


Olieve

22/02/2016 à 13h09

Le Rosbif écrivait:
-------------------

> Quelqu'un sais ce que ca veut dire "MCI" en Anglais?

Immediate loading


Le Rosbif

22/02/2016 à 13h25

Olieve écrivait:
----------------
> Le Rosbif écrivait:
> -------------------
>
> > Quelqu'un sais ce que ca veut dire "MCI" en Anglais?
>
> Immediate loading

Ah, mis en charge immediate. Thank you! :-)
--
"Si chaque confrère envoi une brosse à dent, crois moi ca les fera réfléchir."


doclou

23/02/2016 à 01h14

Vous me faites peur la. Moi je lui ai déjà annoncé qu on pouvait faire quelque chose pour le haut. J avoue ne pas avoir pensé aux germes paro. Vous croyez vraiment que c est un gros risque s Il vient régulièrement faire une maintenance
Le patient s accroche à ses canines depuis 10 ans. Je me vois pas lui dire de tout enlever. Je me disais que si tout se passe bien en haut le bas viendrait plus tard.

Cela dit s il vous plait j aimerais bien une reponse sur l importance du système. Est ce que je reste sur mes Zimmer. On m à propose biotech. Est ce que tous ces systèmes un peu moins chers valent les classiques. Moi j ai du mal avec le changement.


doclou

23/02/2016 à 23h57

Quelqu'un a des publications sur la prothèse vissée à me conseiller et sur la contamination paro des implants svp