Cookie Consent byPrivacyPolicies.comconstrôle sécu pas de radios... - Eugenol

constrôle sécu pas de radios...

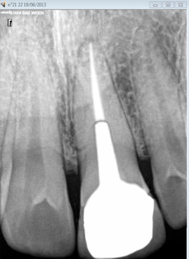
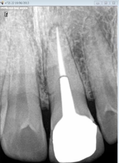
Capture d  cran 2015 03 12 12.28 - Eugenol
chicot29

27/02/2016 à 13h55

Je n'ai pas photo shop mais je suis sur qu'on peut meme aller jusqu'à mettre toutes les tailles de crampons de digue en base de données. -)


P2eqdh3csim6s7nb09ktdq3e7ev8 - Eugenol
barbabapat

27/02/2016 à 14h01

chicot29 écrivait:
------------------
-

>
> J'ai fait le RTE. mais je n'ai pas la technique pour traiter la lésion. Faut que
> je me forme. -)
> Pour etre complet il faudrait refaire la couronne aussi. -)

L'outil clonage sous photoshop ou gimp. Tu prend une image d'os sains à différents endroits autour de la dent pour combler la lacune osseuse, puis tu refait de la même façon la lamina dura avec en plus un petit puf de pâte à l'apex pour masquer certaines motifs.

Travaille plutôt en vectoriel le traitement endo, cela permet après de gérer plus facilement la densité de la pâte.

Après, on sait faire du trucage photo depuis l'invention de la photos et les soviétiques faisaient disparaitre les dirigeants déchus, là ou on fait disparaitre les femmes aujourd'hui en arabie saoudite ou les homosexuels en Russie sur les catalogue Ikea.


Capture d  cran 2015 03 12 12.28 - Eugenol
chicot29

27/02/2016 à 14h03

Hokusai écrivait:
-----------------

> Et à ceux qui pensent que le CDC va juste la rappeler à l'ordre, je leur dis
> juste qu'il est grand temps d'ouvrir les yeux.

Hokusai, tu n'as pas eu de controle je suppose. Et tu penses avoir réponse à tout et une pratique irréprochable........
Un jour un CDC t'ouvrira les yeux. -)


Vw campersurfvan bmnk1q - Eugenol
enlaye

27/02/2016 à 14h05

:-):-):-):-)
Tant que c est que les yeux :-)
Je sors


Hok 1b hgd3rj - Eugenol
Hokusai

27/02/2016 à 14h07

chicot29 écrivait:
------------------

> Hokusai, tu n'as pas eu de controle je suppose. Et tu penses avoir réponse à
> tout et une pratique irréprochable........
> Un jour un CDC t'ouvrira les yeux. -)

Paaaaas du tout... je suis désolé si mes posts le laissent supposer.
Et quand mon tour viendra, il viendra.
Après de la à tendre le bâton pour se faire battre...


Capture d  cran 2015 03 12 12.28 - Eugenol
chicot29

27/02/2016 à 14h12

barbabapat écrivait:
--------------------
> chicot29 écrivait:
> ------------------
> -
>
> >
> > J'ai fait le RTE. mais je n'ai pas la technique pour traiter la lésion. Faut
> que
> > je me forme. -)
> > Pour etre complet il faudrait refaire la couronne aussi. -)
>
> L'outil clonage sous photoshop ou gimp. Tu prend une image d'os sains à
> différents endroits autour de la dent pour combler la lacune osseuse, puis tu
> refait de la même façon la lamina dura avec en plus un petit puf de pâte à
> l'apex pour masquer certaines motifs.
>
> Travaille plutôt en vectoriel le traitement endo, cela permet après de gérer
> plus facilement la densité de la pâte.
>
> Après, on sait faire du trucage photo depuis l'invention de la photos et les
> soviétiques faisaient disparaitre les dirigeants déchus, là ou on fait
> disparaitre les femmes aujourd'hui en arabie saoudite ou les homosexuels en
> Russie sur les catalogue Ikea.

Si tu as des radios incomplètes tu peux mixer 2 clichés pour n'en faire qu'un seul ? -)
Parce qu'en endo j'ai pas trop besoin de faire de retouches et que de toutes façons c'est jamais controlé. -)


P2eqdh3csim6s7nb09ktdq3e7ev8 - Eugenol
barbabapat

27/02/2016 à 15h27

C'est juste pour ramener les images à ce qu'elles sont. Une image n'est jamais à elles seules une preuve.

Car sur ton cas si il suffisait de fournir juste une image pour le cdc, alors sur un patient cmu, ça peut rapporter gros.

Si tu modifie le tenon, densifie le traitement endo et fait disparaître la lésion apicale et fait une endo à rétro juste pour gagner 2 ans, tu peux avec une fausse image justifier une belle ardoise.


Vw campersurfvan bmnk1q - Eugenol
enlaye

27/02/2016 à 15h47

barbabapat écrivait:
-----------------
>
> Car sur ton cas si il suffisait de fournir juste une image pour le cdc, alors
> sur un patient cmu, ça peut rapporter gros.

?????


Capture d  cran 2015 03 12 12.28 - Eugenol
chicot29

27/02/2016 à 16h26

barbabapat écrivait:
--------------------

> Car sur ton cas si il suffisait de fournir juste une image pour le cdc, alors
> sur un patient cmu, ça peut rapporter gros.
>

Donc photoshop on peut déduire en frais pro ? -)


Spix4ever

27/02/2016 à 18h06

Oui.

Certains l'utilisent en prédiction esthétique pour des facettes notamment :D

Donc photoshop peut tout a fait se déduire des frais pro je pense :D


Hok 1b hgd3rj - Eugenol
Hokusai

27/02/2016 à 19h55

Bon, dans mon incommensurable mansuétude confraternelle, je me propose d'organiser un radiothon pour la praticienne de cosmite.
Un radiothon, comment, ca marche ?
Et bien c'est très simple Jacqueline...
Ex:
Cosmite a besoin d'une radio rétro-alvéolaire pré-op et post-op de 46 pour justifier un TTT endo, mais un soin deux faces doit être présent sur 47 !!
Chaque eugénolien va alors chercher dans sa base de donnée radio, les clichés pouvant se rapprocher au mieux de la situation décrite... après hop !! un ptit peu de toshop pour ajuster le tout et BIM !! Un bon cliché bien dans les clous qui fera le bonheur du CDC !!!
Tous ensemble, relevons le défi du radiothon de cosmite, pour élever toujours plus haut le niveau d'une profession à l'avenir radieux !!
(PS: l'utilisation du calbénium peut totalement se substituer à la désinfection de haut niveau des inserts de détartreur !!! plus besoin de s’embêter à le remplacer entre chaque patients !!...)

Avant n0q4z5 - Eugenol
Apres xcaffx - Eugenol

edmond

27/02/2016 à 21h14

Bonsoir,

Grosse confusion sur ce fil ,


chirphil a eu raison de rappeler que l'action en répétition d'indus est encadrée par l'article

https://www.legifrance.gouv.fr/affichCodeArticle.do?cidTexte=LEGITEXT000006073189&idArticle=LEGIARTI000006740151&dateTexte=&categorieLien=cid


Le respect des recommandations de bonne pratique concerne la mise en cause , par exemple en cas d'insuffisance du résultat , de l'obligation de moyens rappelée dans

https://www.legifrance.gouv.fr/affichCodeArticle.do?idArticle=LEGIARTI000006913037&cidTexte=LEGITEXT000006072665&dateTexte=20080622&fastPos=1&fastReqId=17676813&oldAction=rechCodeArticle


La loi française est d'application stricte , dans le cas du bridge de cyber la procédure en répétition d'indus ne peut concerner que l'existence de l'acte et le respect des règles de sa facturation/tarification au regard de la CCAM .

L'acte a t il été effectué ? a t il bien été facturé et tarifé comme il convient ? Voilà les seules questions légales permises dans cette procédure .


Hok 1b hgd3rj - Eugenol
Hokusai

27/02/2016 à 21h38

edmond écrivait:
----------------


> La loi française est d'application stricte , dans le cas du bridge de cyber la
> procédure en répétition d'indus ne peut concerner que l'existence de l'acte
> et le respect des règles de sa facturation/tarification au regard de la CCAM

Exactement, d'ailleurs c'est uniquement ces trois éléments qui sont vérifiés par la Caisse lors des contrôles de l'activité des professionnels de sante effectués par cette dernière.

Ce n'est pas le cas lors d'un contrôle de l'activité d'un professionnel de santé effectué par le Service du contrôle médical (le cas de cyber).

Le Service du contrôle médical a une compétence générale d’appréciation des éléments médicaux commandant l’attribution et le service des prestations sociales. Il contrôle ainsi les éléments médicaux qui conditionnent le bénéfice des prestations sociales, tout en respectant le secret médical.
Il a le pouvoir de constater les activités abusives en matière de prescription et d’application de la tarification des actes ou des prestations sanitaires et la pleine capacité à relever le respect ou le non-respect des règles législatives, réglementaires ou conventionnelles, des recommandations de bonne pratique clinique ou des références professionnelles en matière de dispensation des soins à des bénéficiaires de l’Assurance Maladie.
Le contrôle de l’activité effectué par le Service du contrôle médical peut aboutir à l’engagement d’une action de récupération des indus accompagnée, le cas échéant, de recommandations sur le fondement du Code de la sécurité sociale ou du Code civil.


Capture d  cran 2015 03 12 12.28 - Eugenol
chicot29

28/02/2016 à 00h36

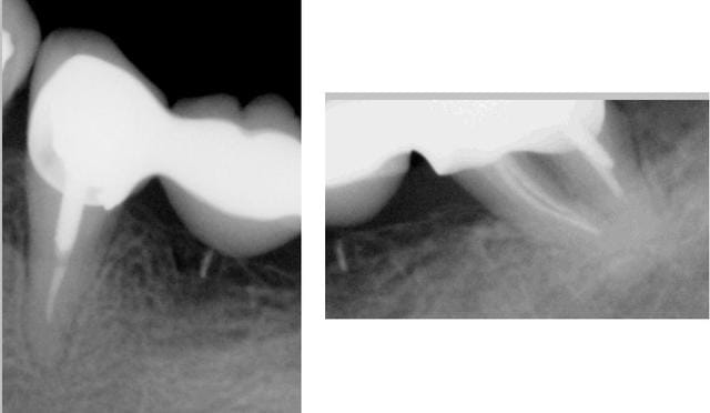
celle là est pas mal mais en sens inverse.De la pate avant mais plus après pose de l'ic coiffe dans le palatin.
le patient s'en est aperçu 5 ans après suite à un signe d'appel.
Ce patient c'est moi. -)

Capteur VS plaque il n'y a pas photo. -)

Capture d e cran 2016 02 27 23.32 - Eugenol
Capture d e cran 2016 02 27 23.33 - Eugenol

Image ik684g - Eugenol
chirphil

28/02/2016 à 10h09

Hokusai écrivait:
-----------------
> edmond écrivait:
> ----------------
>
>
> > La loi française est d'application stricte , dans le cas du bridge de cyber
> la
> > procédure en répétition d'indus ne peut concerner que l'existence de l'acte
> > et le respect des règles de sa facturation/tarification au regard de la
> CCAM
>
> Exactement, d'ailleurs c'est uniquement ces trois éléments qui sont vérifiés par
> la Caisse lors des contrôles de l'activité des professionnels de sante effectués
> par cette dernière.
>
> Ce n'est pas le cas lors d'un contrôle de l'activité d'un professionnel de santé
> effectué par le Service du contrôle médical (le cas de cyber).

Dans le cas de Cyber , il ne s'agit pas d'un controle d'activité , mais d'un désaccord d'appréciation de choix thérapeutique sur le cas d'un patient ponctuel , avec tentative de récupération d'un soit disant indu .
Si cela débouche sur un controle d'activité , la procédure n'aura pas été respectée par le CDC et ce controle d'activité ne pourra aboutir .


Hok 1b hgd3rj - Eugenol
Hokusai

28/02/2016 à 18h40

chicot29 écrivait:
------------------
>
> Capteur VS plaque il n'y a pas photo. -)

Mais t as salement retouché la radio per-op pour la rendre toute pixellisée !!! Vilain troll !!
L ERLM vaincra !!!


Hok 1b hgd3rj - Eugenol
Hokusai

28/02/2016 à 18h43

chirphil écrivait:
------------------

> Dans le cas de Cyber , il ne s'agit pas d'un controle d'activité

Ca tu le supputes.
Mais si c'est le cas, le non respect de la procedure peut jouer en la faveur de cyber.Apres du peu qu il a ecrit, la notification par LRAR semble confirmer le bon respect du protocole du controle.


Untitledgailuron ite8js - Eugenol
zavepavumirza

28/02/2016 à 20h12

chirphil écrivait:
------------------
Alors surtout , ne pas rompre le dialogue
> avec le CDC , ils sont cèrébrés , contrairement à ce qu'en pensent certains , et
> sont tout à fait aptes à comprendre les choses .



Merci chirphil !


P2eqdh3csim6s7nb09ktdq3e7ev8 - Eugenol
barbabapat

29/02/2016 à 15h54

chicot29 écrivait:
------------------
> barbabapat écrivait:
> --------------------
>
> > Car sur ton cas si il suffisait de fournir juste une image pour le cdc, alors
> > sur un patient cmu, ça peut rapporter gros.
> >
>
> Donc photoshop on peut déduire en frais pro ? -)

hier sur tablette numérique assez rapidement. Par contre pas de flash sur les navigateur android.

R2cor j2shsl - Eugenol

Capture d  cran 2015 03 12 12.28 - Eugenol
chicot29

29/02/2016 à 16h55

Pas mal. Celle d'hokusai est plus réaliste. Tu peux faire mieux. Il faut s'appliquer pour les RTE. -)
Dis moi un CDC n'a pas le droit de faire de radio administrative pour vérifier non ? -)

Capture d e cran 2016 02 29 15.53 - Eugenol

P2eqdh3csim6s7nb09ktdq3e7ev8 - Eugenol
barbabapat

29/02/2016 à 17h25

Je voulais pas allumer l'ordi, donc, travail juste à la tablette avec les logiciels gratuit sous android en moins de 30 minutes.

Après, j'aurai dû mieux utiliser les outils de transparences des calques avant de les fusionner.

Enfin, plutôt que défiscaliser photoshop, ça permet d'expliquer au contrôleur des impôts pourquoi tu défiscalise ton smartphone.


Generique fraisage r2rxmm - Eugenol
lardonbis

29/02/2016 à 17h51

franchement c'est quoi le plus rapide photoshop ou Mac Spaden ??
Perso je trouve les thermoconpacteurs hachement cher ... alors si ya moyen ... :)


P2eqdh3csim6s7nb09ktdq3e7ev8 - Eugenol
barbabapat

29/02/2016 à 18h07

lardonbis écrivait:
-------------------
> franchement c'est quoi le plus rapide photoshop ou Mac Spaden ??
> Perso je trouve les thermoconpacteurs hachement cher ... alors si ya moyen ...
> :)

Démontage de couronne, reprise de traitement endo, inlay core et nouvelle CCM en moins de 30 minutes sous photoshop. C'est tellement rapide, qu'il faut bien penser à modifier les dates après car c'est compliqué à réaliser au cabinet même avec un protho sur place.


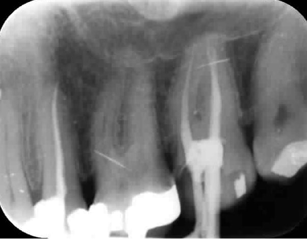
X ray 03 medium zvq18j - Eugenol
cyber_quenottes

01/03/2016 à 10h50

votre avis sur ce travail ?

je précise ZERO mobilité

Bribridge uhapmu - Eugenol

P2eqdh3csim6s7nb09ktdq3e7ev8 - Eugenol
barbabapat

01/03/2016 à 11h21

cyber_quenottes écrivait:
-------------------------
> votre avis sur ce travail ?
>
> je précise ZERO mobilité

La nature est bonne fille et l'obturation est un élément parmi d'autres qui concours au succès ou non du traitement sur le long cour.

Tu fait traiter le cas par un ordinateur avec un logiciel de reconnaissance d’image ou par un "expert mutuelle" pour générer des indus, ca ne passe pas. Il manque une expertise sérieuse avec un avis clinique.

Après en fonction de l’évolution de la santé du patient et des traitements, tu peux avoir à un moment ou un autre une évolution défavorable. A voir aussi avec la qualité de la pâte d'obturation.


1...141516