Cookie Consent byPrivacyPolicies.comempreinte secondaire en complete - Eugenol

empreinte secondaire en complete

6szjws718sv1jksw54v4mpj3a6cu - Eugenol
vulpi

28/05/2017 à 08h44

Oui un demi Tomcat, je l'ai eu, il dort dans un garage depuis 10 ans, p't'être un jour. Bien que, maintenant je suis un rural alors un trail genre Africa twin ou transalp (l'équivalent actuel, la transalp ne se fait plus) why not.

Tiens! j'avais 14/15 ans, mes premiers tours de roues je les ai fait sur un sentier de montagne avec ça!!! 2T kicq DDR (y en avait un aussi sur la 90s, 900cc quick... Teuton...) je m'en souviens encore.


Mz mwlk1t - Eugenol

Utilisateur banni

28/05/2017 à 17h46

Pendant qu'il y en a qui font joujou avec leur motocyclette, y en a qui travaillent et qui ne sont pas là pour plaisanter 😊

Img 0440 mdxxwi - Eugenol

Utilisateur banni

29/05/2017 à 20h23

hey Le mécano du dimanche😊😊😊 ?? Qu'est ce que je fais avec mon cas de langue de bovin ? Je précise j'ai casé des Implants En postérieur. Donc y avait aussi une histoire de manque de calage + langue de bovin qui tous les deux ont poussé les incisives vers l'avant...


Capture d  cran 2015 03 12 12.28 - Eugenol
chicot29

30/05/2017 à 08h03

vulpi écrivait:
---------------
> Oui un demi Tomcat, je l'ai eu, il dort dans un garage depuis 10 ans, p't'être
> un jour. Bien que, maintenant je suis un rural alors un trail genre Africa twin
> ou transalp (l'équivalent actuel, la transalp ne se fait plus) why not.
>
> Tiens! j'avais 14/15 ans, mes premiers tours de roues je les ai fait sur un
> sentier de montagne avec ça!!! 2T kicq DDR (y en avait un aussi sur la 90s,
> 900cc quick... Teuton...) je m'en souviens encore.

Pour éviter le petits malins qui tendent des fils de cloture dans les chemins.....

Le quad de chicot version jeep willis "coupe cable" -)


--
En cas d'échec des négociations conventionnelles, seriez-vous prêt à suivre la promotion d'un déconventionnement massif de la profession par les syndicats représentatifs ? OUI - NON
Participez, anonymement, sur https://goo.gl/forms/nAO0htnsVmxotjYm1

Capture d écran 2017 05 26 09.45 - Eugenol

Dsc05680 medium aphmfg - Eugenol
BasArtDentaire

30/05/2017 à 08h27

junior® écrivait:
-----------------
> Qu'est ce que je fais avec mon cas de langue de
> bovin ?

http://www.marmiton.org/recettes/recette_langue-sauce-piquante_28655.aspx


lachmar

30/05/2017 à 09h29

junior® écrivait:
-----------------
> hey Le mécano du dimanche😊😊😊 ?? Qu'est ce que je fais avec mon cas de langue de
> bovin ? Je précise j'ai casé des Implants En postérieur. Donc y avait aussi une
> histoire de manque de calage + langue de bovin qui tous les deux ont poussé les
> incisives vers l'avant...



il n'est jamais trop tard pour faire une glossectomie partielle si la parafonction est vraiment significative

en plus si c'est une femme tu rends service à son mari pour quelques semaines )


6szjws718sv1jksw54v4mpj3a6cu - Eugenol
vulpi

30/05/2017 à 12h26

junior® écrivait:
-----------------
> hey Le mécano du dimanche😊😊😊 ?? Qu'est ce que je fais avec mon cas de langue de
> bovin ?

Une idée pour les empreintes (merci Enlaye).

Dscf2519 aupui0 - Eugenol

Vw campersurfvan bmnk1q - Eugenol
enlaye

30/05/2017 à 12h33

joli Vulpi . n'oublies pas de preciser au labo de couler SANS enlever les fils ,( ils ont parfois des initiatives curieuses ).


Vw campersurfvan bmnk1q - Eugenol
enlaye

30/05/2017 à 12h48

Junior , pour ta vache kiwi , effectivement , ç est con de solidariser dans ce cas , à mon avis :
- d'abord d'un point de vue esthetique ça ferait un beau portail de leroy-merlin et suis par sur que ça l'enchante :-)
- et puis la langue ç est comme les cours d'eau ,tu ne peux pas lutter .
on voit que les secteurs post sont palatinisés en forme de lyre .ça ç est synonyme de CL2 avec ou sans beance .et en principe la langue est en position basse avec souvent un profil adenoidien ( hyperdivergence ) .
si tu as eu une perte de calage post ,ça fait pareil .la langue se met alors en avant pour faire coussin hydrostatique .
MORALITE : augmente la DVO ce sera mieux que de lui faire un pont levis par solidarisation .


Utilisateur banni

30/05/2017 à 20h29

merci à tous pour les conseils
C'est exactement ça -> En forme de lyre avec une ClI molaire (sur les wax up et sur mon guide de chir) , proalveolie maxillaire , overjet, langue très volumineuse en position basse qui vient s'intercaler et qui vient terminer le travail du manque de calage postérieur

Par contre il y a un calage des PM , donc pour moi Pas de DVO à augmenter. Je vais tout simplement lui redresser les chicots vers l'intérieur et ne pas les solidariser


6szjws718sv1jksw54v4mpj3a6cu - Eugenol
vulpi

30/05/2017 à 21h26

Qu'entends tu par redresser?
Elle va la mettre où sa langue, si tu lui bouffes son espace (pulsion? interposition?)
Pourquoi tu ne nous mettrais pas des modèles en articulateur.


Vw campersurfvan bmnk1q - Eugenol
enlaye

30/05/2017 à 22h14

Oui là effectivement ,Vulpi a raison ,le montage en centrée est obligatoire .
C est un cas tres difficile sans , vu que ton determinant ant est pipé et que le post n existe plus .en plus le calage sera fait sur implant , hummm c est compliqué .


Vw campersurfvan bmnk1q - Eugenol
enlaye

30/05/2017 à 22h55

vulpi écrivait:
---------------
> Qu'entends tu par redresser?
> Elle va la mettre où sa langue, si tu lui bouffes son espace (pulsion?
> interposition?)


Bien vu , tu vois que ca commence a rentrer -)
Rentrer les centrales est un jeu dangereux , surtout dans ce cas .
Normalement ,c est l inclinaison des incisives du bas qui determinent le positionnement des bords libres des centrales du haut .les incisives du bas etant perpendiculaires au rayon de fermeture cad par l axe forme par l atm et le pied des incisives du bas .c est ce qui fait qu elles sont le plus stables .
Sauf que là , quelque part , c est la langue qui les maintient en passant par dessus les incisives du bas et en les calant en avant par la pointe qui forme un bourrelet en s appuiyant sur les cingulum des centales du haut .en plus l atm s est certainement deformée en se mettant dans une position plus mesiale .
Au final , si on veux rentrer les dents du haut , on est oblige de remonter la dvo .
Afin que le volume de la pointe de la langue reste constant .
Si le calage PM doit rester tel quel , alors les incisives aussi .surtout s il ny a pas de pb esthetique .
Sais pas si j ai ete clair :-))


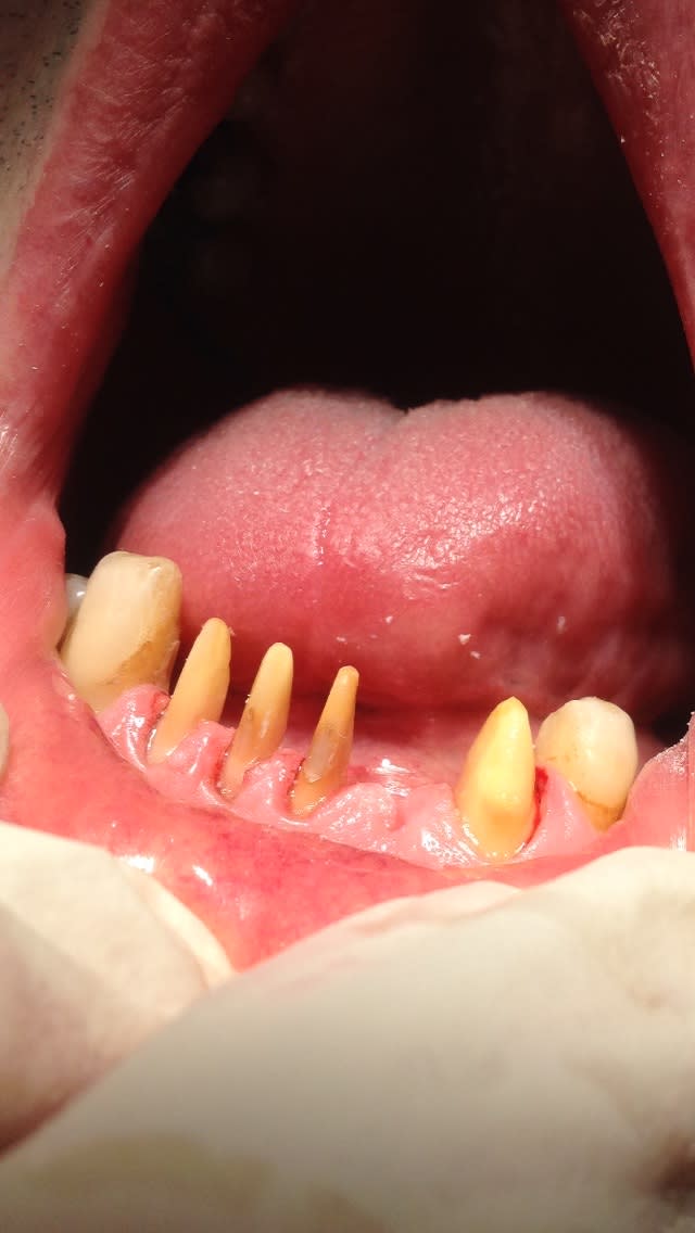
Utilisateur banni

31/05/2017 à 08h33

Non mais quand je dis " redresser " c'est légèrement corriger l'axe. Après la position palatine des dents restent inchangée. De toute façon je peux pas faire des miracles
Là je suis aux provisoires : sur la photo je lui ai fait des provisoires trop longues, j'ai déjà raboté tout ça et j'ai enlevé 3 mm de hauteur pendant une autre séance
Et la prochaine séance je vais lui poser les Piliers et IC provisoires En postérieur

-> regardez voir la magnifique langue que j'ai sur la 2eme photo

Img 0663 lvswpo - Eugenol
Img 0660 vclvgo - Eugenol

6szjws718sv1jksw54v4mpj3a6cu - Eugenol
vulpi

31/05/2017 à 08h45

Ah tu fais des IC provisoires, c'est bien, t'y es un perfectionniste.
Pour ton cas les prov par devant et par derrière c'est le minimum.
C'est marrant cette habitude pour les bridges sur implants de baser les prov...


Vw campersurfvan bmnk1q - Eugenol
enlaye

31/05/2017 à 08h58

junior® écrivait:
-----------------
" -> regardez voir la magnifique langue que j'ai sur la 2eme photo "

ce que l'on peut voir ç est que ce n'est pas forcement un pb de langue majeur .
tu vois les points sur la lèvre inf ?
elle compense sa cl2 en se mordant la lèvre inf . si ç est ça ,le bourrelet dont je parlait ,elle le ferait ,non pas avec la langue ,mais avec sa lèvre inf . la pression sur les dents du haut seraient dues à la levre inf et non pas forcement à la langue .
ç etait comme ça avant les prov ?


6szjws718sv1jksw54v4mpj3a6cu - Eugenol
vulpi

31/05/2017 à 09h08

Ouais bin si il lui a fait des provisoires de cheval t'étonnes pas que la lèvre est morflé. C'est un blagueur le Junior.


Vw campersurfvan bmnk1q - Eugenol
enlaye

31/05/2017 à 09h16

oui ç est un joueur :-)))
s'il lui faisait un demi arc de cercle sur les incisives ,il pourrait même la transformer en décapsuleur :-)))
la vache kiwi décapsuleur ,un nouveau concept :-))))


6szjws718sv1jksw54v4mpj3a6cu - Eugenol
vulpi

31/05/2017 à 09h30

enlaye écrivait:
----------------
> oui ç est un joueur :-)))
> s'il lui faisait un demi arc de cercle sur les incisives ,il pourrait même la
> transformer en décapsuleur :-)))

Il pourra valider l'existence ou non de la pulsion linguale, en général c'est parlant ce genre de test.


Vw campersurfvan bmnk1q - Eugenol
enlaye

31/05/2017 à 10h26

a+ aujourd'hui ,j ai rampe de carbus .


6szjws718sv1jksw54v4mpj3a6cu - Eugenol
vulpi

31/05/2017 à 11h05

enlaye écrivait:
----------------
> a+ aujourd'hui ,j ai rampe de carbus .

En ce qui me concerne, ce sera plus simple. Tous les milles bornes je change.

Dscf2520 ucqt1f - Eugenol

Utilisateur banni

31/05/2017 à 12h07

Qu'est ce qu'elles sont mauvaises langues ces vieilles branches. Je vous ai dit que j'avais raboté mes provisoires ensuite 😊


Vw campersurfvan bmnk1q - Eugenol
enlaye

02/06/2017 à 12h58

les affaires reprennent .
comme elle etait venue avec un chemisier qui ressemblait au naperon de ma grand-mere ,je n'ai pas osé lui refaire le coup du chocolat sulfuré . mais j'ai quand meme sorti la permadine pour Vulpi ,on verra apres .
donc voilà le bazard en cire pour verifier .

 mg 1230 obbx68 - Eugenol

Vw campersurfvan bmnk1q - Eugenol
enlaye

02/06/2017 à 13h08

et la voilà avec son ancien appareil .

 mg 1228 o2ko6g - Eugenol
 mg 1229 yvo9jf - Eugenol

6szjws718sv1jksw54v4mpj3a6cu - Eugenol
vulpi

02/06/2017 à 13h40

Explique moi, tu fais ta piezzo avec la prothèse du haut en bouche, et de toutes évidences elle est à refaire aussi...?? A moins que tu ais fait un "montage directeur" max ( la def au stade dents sur cire).

T'as pas lourd d'os en mandibulaire et ça flotte peut-être un peu en haut.


1...353637...