Cookie Consent byPrivacyPolicies.comempreinte secondaire en complete - Eugenol

empreinte secondaire en complete

Utilisateur banni

23/10/2017 à 16h05

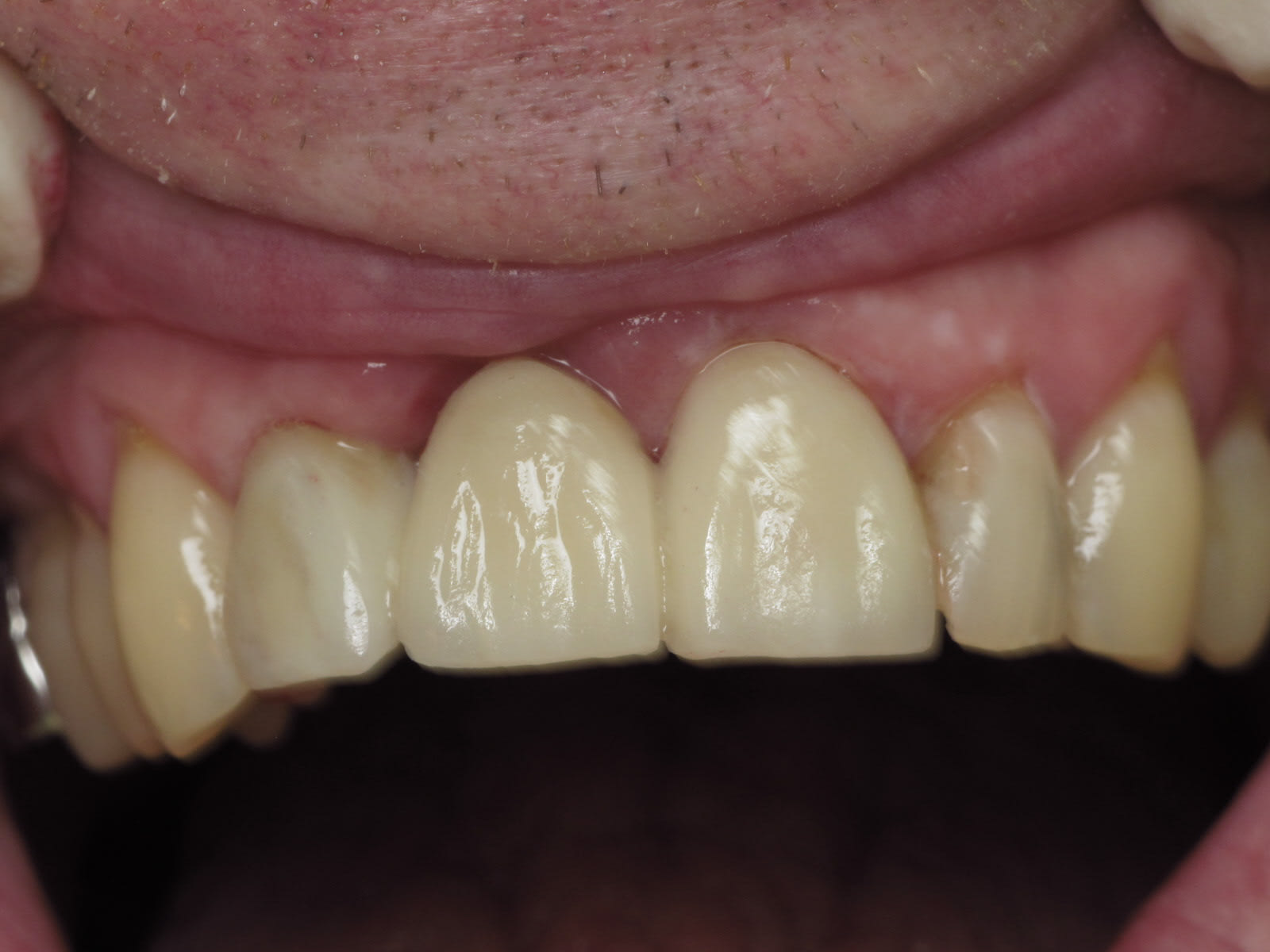
Hey ben bravo la compagnie ! C’est du propre !^^ Regardez moi voir vos bridges emax bande de vieilles branches -> ça n’a pas l’air d’être très solide.... du coup Implant plus prothèse provisoire

Som1 itam5m - Eugenol
56a18b5e 6845 4776 a352 a93a2b31f761 ll6chy - Eugenol
Som2 hkhji4 - Eugenol
6f6c4e66 cd50 4381 be89 5c9e8d07cba7 ewjalt - Eugenol

6szjws718sv1jksw54v4mpj3a6cu - Eugenol
vulpi

23/10/2017 à 16h16

Je ne suis pas loin de penser comme toi.


Utilisateur banni

23/10/2017 à 19h13

Et j’ai regardé les jonctions entre les piliers et l’inter , ça n’etait pas mal fait... le dentiste et le prothésiste qui avaient fait ça, avaient respecté l’ épaisseur nécessaire. Autrement dit ça m’a l’ air très fragile ce genre de bridge


6szjws718sv1jksw54v4mpj3a6cu - Eugenol
vulpi

23/10/2017 à 20h06

Un truc que j'ai remarqué, tu as plus de casse et descellement quand les 2 racines ont des valeurs mécaniques très différentes (je pense au "débattement") et là tu avais une centrale et une latérale. Les racine n'apportent pas le même soutien, ce qui doit créer des contraintes dans l'infra-structure et le matériau d'assemblage.
A la limite, quitte à faire un bridge, j'aurais rajouté la canine.


Vw campersurfvan bmnk1q - Eugenol
enlaye

24/10/2017 à 08h59

suite du chausse pied .

la séance d'après , lorsque tu déposes le prov ,le ciment prov reste sur le prov .
le sulcus ,qui n'avait pas saigné , est comme tu l'avais laissé , et il n'y a pas de surprise à l'essayage de la couronne .
avec cette stabilité tu en as pour des années ,je pense .
retour à l'envoyeur pour évaser un poil l'embrasure .

 mg 1354 ceycqn - Eugenol
 mg 1353 ygk91h - Eugenol

Utilisateur banni

28/10/2017 à 19h08

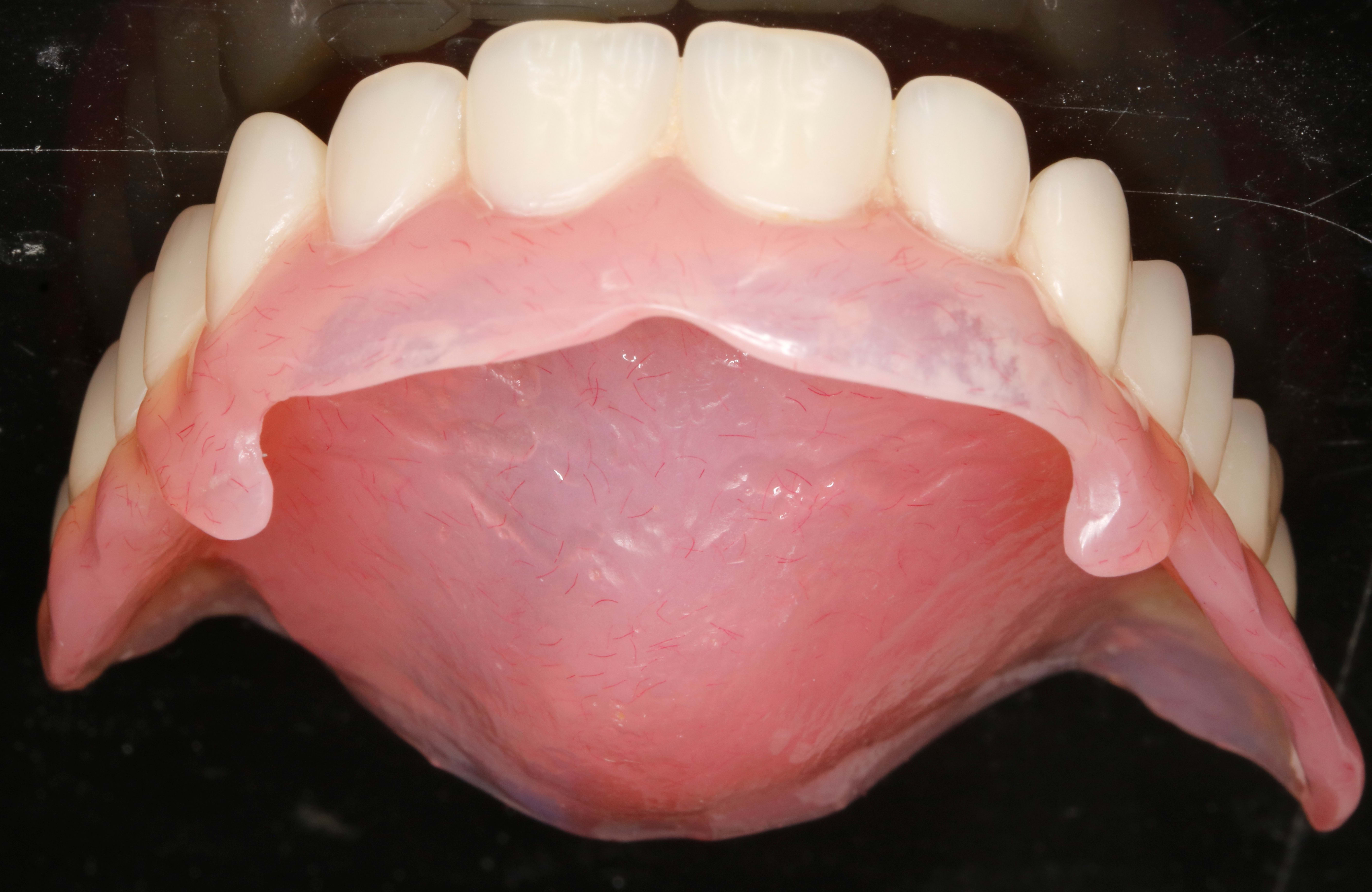
À votre avis : à quoi sert ce triangle central ?

9fe12e97 5928 43e5 8e6e e27ea58a26ed cxwnod - Eugenol

Vw campersurfvan bmnk1q - Eugenol
enlaye

28/10/2017 à 19h47

Pour faire une chambre de vide .
C est interessant sur un vieux complet que tu rebases puisque le palais ne se resorbant pas l appareil fait rocking chair dessus.


Utilisateur banni

28/10/2017 à 20h03

Non je fais ça quand je rebase quand le palais est plat avec peu de crêtes -> c’est une zone où le patient dépose sa colle . Comme ça quand il nettoie il ne vire pas la résine pour rebasage. Volontairement je rebase en blanc et je lui demande d’utiliser la marque fixodent rouge. Et non du polident qui est blanc . De cette manière la personne âgée repère ce qu’elle a à nettoyer et à enlever tous les soirs


Ba2be871 3220 4edb a5bc d126045cb763 jy2fsv - Eugenol
cyber ratiches

28/10/2017 à 21h06

.


6szjws718sv1jksw54v4mpj3a6cu - Eugenol
vulpi

29/10/2017 à 08h53

Mais pourquoi de la pâte adhésive??? C'est pour embêter la patiente, tu ne l'aimes pas?


Utilisateur banni

29/10/2017 à 18h09

Vulpi est-ce que ça marchait les prothèses « ventouse » ?

E0b0d6d3 a62e 4f08 adad b2603052c66d wwu2nd - Eugenol

6szjws718sv1jksw54v4mpj3a6cu - Eugenol
vulpi

29/10/2017 à 18h33

pour faire des trous dans le palais oui!


Utilisateur banni

29/10/2017 à 19h12

Et est ce que tu as déjà prescrit du Dinabase7?
Quand tu la plonges dans de l’eau chaude, elle devient semi molle. Et quand tu la places dans l’eau Froide , elle devient toute dure

B054ef58 5de5 4c2b b49e e70f1a7f9081 fiqtin - Eugenol

6szjws718sv1jksw54v4mpj3a6cu - Eugenol
vulpi

29/10/2017 à 20h05

C'est de la poudre de perlimpinpin!

Non en fait jamais utilisé ce truc, connais pas.


Vw campersurfvan bmnk1q - Eugenol
enlaye

03/11/2017 à 19h42

junior® écrivait:
-------
" Quand tu la plonges dans de l’eau chaude, elle devient semi molle. Et quand tu la places dans l’eau Froide , elle devient toute dure "

étonnant :-)


Vw campersurfvan bmnk1q - Eugenol
enlaye

03/11/2017 à 19h46

ça ç est mon complet raie-Manta avec ses 2 crochets à os .

 mg 1364 fjzwbh - Eugenol

6szjws718sv1jksw54v4mpj3a6cu - Eugenol
vulpi

03/11/2017 à 21h39

Jolie empreinte mon ami!-)

Dscf1077 3 peat0k - Eugenol

Vw campersurfvan bmnk1q - Eugenol
enlaye

03/11/2017 à 21h51

En fait c est un complet immediat suite a des extractions du bloc ant .
Et tu sais comme ils sont ces sto , ils te laissent des bosses de partout .
Du coup tout l os de devant est en contre depouille . D ou les crochets a os .


Utilisateur banni

03/11/2017 à 21h51

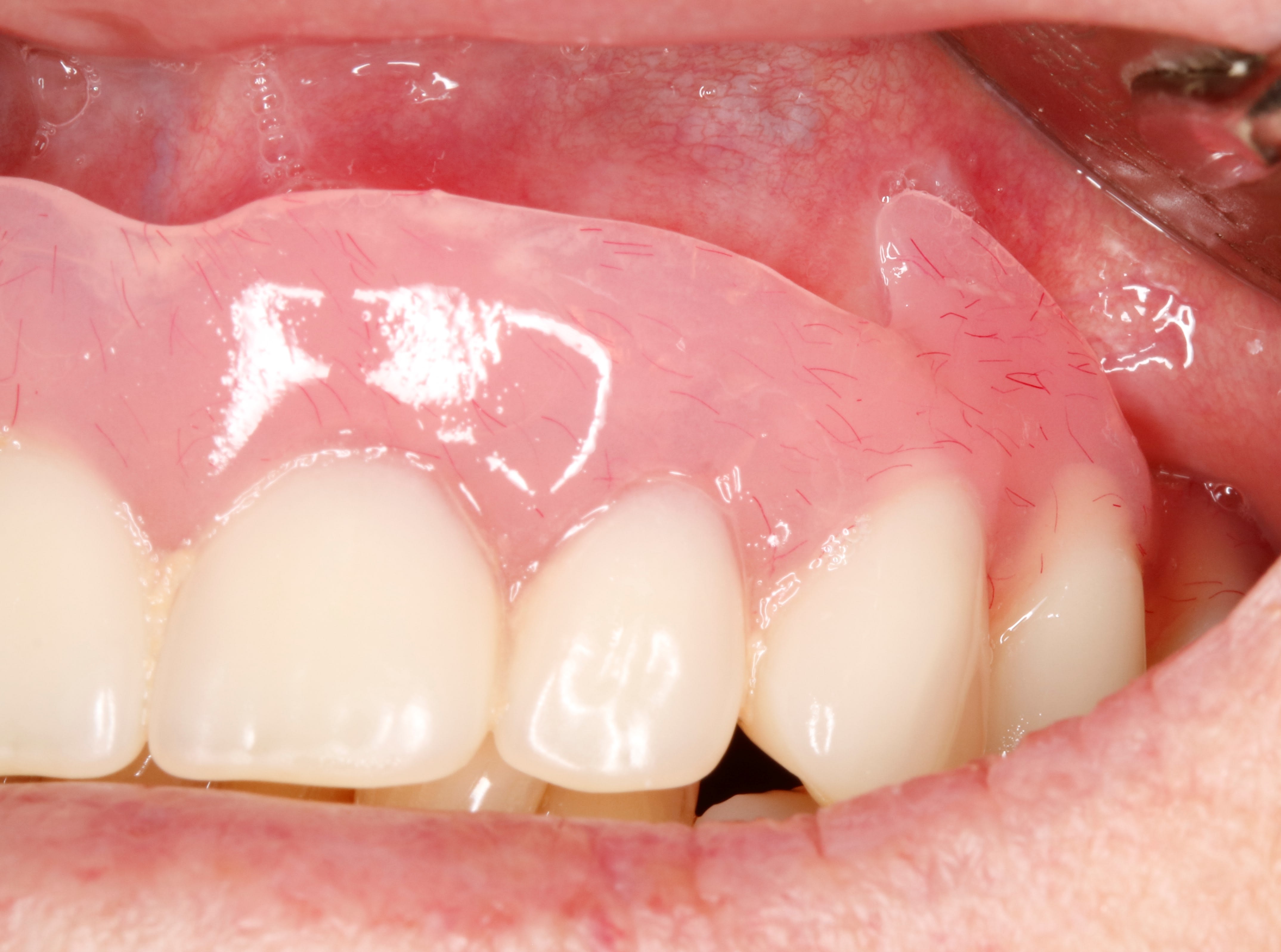
Enlaye tu trouves pas qu’en antérieur les bords sont fins ? Et que ça risque de blesser ? Ou alors il y a une subtilité qui m’échappe encore ??


6szjws718sv1jksw54v4mpj3a6cu - Eugenol
vulpi

03/11/2017 à 22h01

enlaye écrivait:
------
> En fait c est un complet immediat suite a des extractions du bloc ant .
> Et tu sais comme ils sont ces sto , ils te laissent des bosses de partout .
> Du coup tout l os de devant est en contre depouille . D ou les crochets a os .
Y a plus qu'à attendre la cicat osseuse.
Tu ne mets pas de protège raphé?


6szjws718sv1jksw54v4mpj3a6cu - Eugenol
vulpi

03/11/2017 à 22h12

Attends je te mets une photo, peur que tu t'égares :-)))))

Protège raphé nndh1r - Eugenol

Vw campersurfvan bmnk1q - Eugenol
enlaye

03/11/2017 à 22h15

Junior , bien obligé de faire fin devant sinon ça lui ferait une bouche de babouin .
non ,je ne met rien ,pas de fit ou de quoique ce soit . dans 3 semaines environ , je ferais un rebasage .
et si l'os me le permet je monterais devant .en attendant ,il faut gratter par ci par là .

 mg 1359 db3npv - Eugenol
 mg 1360 g48tnj - Eugenol

Vw campersurfvan bmnk1q - Eugenol
enlaye

03/11/2017 à 22h21

vulpi écrivait:
-----
" Attends je te mets une photo, peur que tu t'égares :-))))) "

:-))) non , ç est vrai , j'lavais oublié ce truc . dans les complets instantané ,il ne m'en met pas ,sais pas pourquoi !


6szjws718sv1jksw54v4mpj3a6cu - Eugenol
vulpi

03/11/2017 à 22h24

parfois le mien oublie aussi, ça ne change pas grand chose, tant qu'il n'est pas trop proéminent je pense, tout ceci devrait découler de l'observation clinique, qui n'est jamais faite dans la vraie vie.
Au pire il est toujours (souvent) possible d'évider à la fraise résine.


Utilisateur banni

03/11/2017 à 22h33

Dites on ne peut pas poster de vidéos avec un iPhone ?!?! C’est dommage j’Avais une petite vidéo à poster :(


1...495051...