Cookie Consent byPrivacyPolicies.comempreinte secondaire en complete - Eugenol

empreinte secondaire en complete

Hok 1b hgd3rj - Eugenol
Hokusai

11/11/2017 à 10h44

Tu l as scelle au fuji plus ?? T es vraiment ra ready... tu donnes des conferences ?;) ca m interesse.


Utilisateur banni

11/11/2017 à 10h55

Je colle au speedcem plus -> regarde voir c’est très pratique. Je me suis même amusé à coller un ÉNORME overlay zircone avec ça sur 27. Ça marche très bien . T’es pas obligé de mettre une couche de ci ou de cela .
Et quand je scelle Fuji +

Regarde voir dans le post Onlay Dents lacteales > j’ai posé une question qui pourrait t'intéresser Hokusai



6szjws718sv1jksw54v4mpj3a6cu - Eugenol
vulpi

11/11/2017 à 11h10

Et la différence par rapport au RelyX (dès qu'il y a un X, je craque, j'ai une amie qui utilisait son prénom, peu commun, avec un X après comme mot de passe, j'avais trouvé cela pratique et fais de même, avec son prénom... un jour Mme vulpi me dit quel a un truc à regarder sur ma dropbox "c'est quoi ton code?"... j'ai fait celui qui avait oublié son code, pas d'embrouille!).

J'ai tendance a privilégier les produits avec le plus de recul clinique.


Utilisateur banni

11/11/2017 à 11h26

C’est à dire ? Tu utilises multilink variolink ?
Je ne vois pas de différence entre speedcem plus et rely x unicem c’est la même chose. Y a peut-être une subtilité entre les deux . J’ ai pas les compétences pour voir la différence. Tout ce que je peux dire c’est que ça colle très bien. Très pratique et ça évite les erreurs de manipulation


Vw campersurfvan bmnk1q - Eugenol
enlaye

11/11/2017 à 11h40

junior® écrivait:
-------
"Bin on a très souvent cet aspect boursouflure au niveau des bords. En gros on sait pas où le bord s’arrête et où il commence. Ce qui fait que le bord de tafuture prothèse résine sera en sur extension car l’alginate a poussé la muqueuse au maximum. "

Bien vu minot . Effectivement l empreinte est jolie mais elle n est que jolie .


6szjws718sv1jksw54v4mpj3a6cu - Eugenol
vulpi

11/11/2017 à 12h02

junior® écrivait:
-------
> C’est à dire ? Tu utilises multilink variolink ?
> Je ne vois pas de différence entre speedcem plus et rely x unicem c’est la même
> chose. Y a peut-être une subtilité entre les deux . J’ ai pas les compétences
> pour voir la différence. Tout ce que je peux dire c’est que ça colle très bien.
> Très pratique et ça évite les erreurs de manipulation

Rely pour "coller" les IC, actuellement totalcem aussi, beaucoup moins cher, mais moins pratique avec l'option LC.
Et sinon oui, j'utilise le même produit que tout le monde, avé les manipulations, le monobond plus, etc...
Intellectuellement je suis persuadé qu'un SAM2 et BIEN supérieur à un SAM1, d'où mes réserves pour les colles auto-tout one shot.
Si je n'étais pas cossard je ferais du compo réchauffé+opti-fl, mais sableuse+digue+plus manip.... c'est dommage, le peu que j'ai fait, je mets un coup de fraise diam à la place de la sableuse fonctionne très bien, t'es pas em... par le temps de prise, comment c'est au milieu? mystère, en plus cela coûte rien, opti FL+compo d'usage.


Utilisateur banni

11/11/2017 à 12h16

Qu’est ce que j’aurais dû vous écouter pour la patiente avec pemphygoide bulleux. Je l’ai déjà revue 5 fois.... qu’est ce que j’ai été con de la prendre !
En postérieur il n’y a pas de crête, regardez moi voir ça :
Et elle a décidé qu’elle ne mettrait pas son satellite à la mandibule. Il ne lui reste que de la 43 à la 33 « ah bas je comprends pas , ma prothèse bascule »
Bah oui tu ne mets pas ta PPA mandibulaire!

Ebd1627f a86b 4906 9a06 a85913f8f2a9 ebrqnx - Eugenol

6szjws718sv1jksw54v4mpj3a6cu - Eugenol
vulpi

11/11/2017 à 14h00

le problème du fit, hydrocast... c'est qu'en durcissant cela devient râpeux, dans ton cas c'est juste ce qu'il ne faut pas, sauf à le renouveler tous les 48h, c'est un choix :-)))) toujours lire la notice...
Tu devrais essayer une résine molle de rebasage longue durée (en fait ce sont des silicones genre UFI gel SC).


Utilisateur banni

11/11/2017 à 14h17

En tout cas elle commence à me les briser sévère :) . Qu’elle commence à mettre son Stellite et éventuellement j’irai acheter ce silicone ensuite


Hok 1b hgd3rj - Eugenol
Hokusai

11/11/2017 à 15h09

j'utilise le reline de chez GC en rebasage souple, j'aime bien GC
Le fitt de kerr, c'est bien pour la semaine.


Hok 1b hgd3rj - Eugenol
Hokusai

11/11/2017 à 15h18

junior® écrivait:
-------
> Regarde voir dans le post Onlay Dents lacteales > j’ai posé une question qui
> pourrait t'intéresser Hokusai

Sur les 8 inlays sur un CMU ??... si j'avais assez de patients CMU je me prendrais un CEREC direct... le seul pbm c'est qu'il faut qu'ils se présentent aux RDV ;)


Vw campersurfvan bmnk1q - Eugenol
enlaye

14/11/2017 à 00h25

alors ,ptit Junior ( ou qui veut ) , tu ferais quoi là ?
- les dents bougent grave , faut les tenir pour les fraiser
- pas de sous
- j'y connais rien en paro .
- au moins pour le sourire .

P8017044 tp02hy - Eugenol

Utilisateur banni

14/11/2017 à 06h01

Je ferais bien une panoramique pour commencer. On sait jamais certaines sont peut être conservables (canines ? PM?)
Après si tout bouge dans tous les sens , on est dans le post qui parle des complets non ? :)

J’ai revu pour une 6 eme fois la patiente avec pemphygoide bulleux. Elle commence enfin à mettre sa PPA et sa prothèse maxillaire.... ouuuf


Vw campersurfvan bmnk1q - Eugenol
enlaye

14/11/2017 à 11h43

je n'ai pas la radio , la photo date de 2012 .
effectivement les canines tenaient mieux .
normalement ,vous feriez un complet ou une ppa .
mais je lui ai dit :
"deja que tu n'es pas un bloc atomique ,si en plus je t'enleve les dents .....:" -))


Utilisateur banni

14/11/2017 à 12h25

Perso je conserve ce qui est conservable et je fais une PPA


6szjws718sv1jksw54v4mpj3a6cu - Eugenol
vulpi

14/11/2017 à 12h49

Enlaye, cherche pas c'est moi qui ai la pano!-) au maxillaire j'ai fait un bridge finalement, qu'est-ce t'en pense?... 14 ans et les dents sont toujours là.

Dscf2976 dh472g - Eugenol

Utilisateur banni

14/11/2017 à 12h54

C’est quoi ce Traffic ? Vous vous refilez les photos pour mieux me piéger , hein ?
Vous pensiez que j’allais dire «  on rase tout et on fait des complets » , pas vrai ?
Et ben non j’ ai pas dit ça. On fait moins les marioles les deux , hein ?:))
Montre voir la tête de ton bridge quand même, j’ ai Envie de voir ça


6szjws718sv1jksw54v4mpj3a6cu - Eugenol
vulpi

14/11/2017 à 13h03

Peux pas, il a filé sur la côte, je le vois l'été quand je retourne dans mes montagnes. Ce qui te plairait, c'est que c'est du Labocast céramo-métal, au moinss y a du recul.


Utilisateur banni

14/11/2017 à 13h14

Attends t’as conservé lesquelles et t’as fait un bridge sur quels piliers ?!???!!!??
Et la photo ne correspond pas à la pano ...
Ils ont encore fumé la moquette les deux. Vous me racontez vraiment n’importe quoi :) y en a pas un pour rattraper l’autre.


6szjws718sv1jksw54v4mpj3a6cu - Eugenol
vulpi

14/11/2017 à 13h32

3, 4, 5, 6, endo + sc33, ah! j'ai viré les dents de sagesses , elles gênaient pour l'empreinte.


Vw campersurfvan bmnk1q - Eugenol
enlaye

14/11/2017 à 13h36

junior® écrivait:
-------
" y en a pas un pour rattraper l’autre. "
mais tu vois pas qu'on est des dingues fou ? bon ,le Vulpi ,lui ç est un vrai ,il est irrécupérable ,1 idole :-)))


Utilisateur banni

14/11/2017 à 13h37

Je vais appeler Gai-luron si vous continuez comme ça à raconter n’importe quoi, vous allez voir ça va chierrr . :))) Y en a certains qui vont filer droit et qui vont moins faire les marioles :)
Non mais sérieux un bridge sur ça, vous fumez non seulement la moquette mais aussi les rideaux ^^


Vw campersurfvan bmnk1q - Eugenol
enlaye

14/11/2017 à 13h44

pour ce cas , j'y ai dit :
petitoune , ( 1m30 au garrot à vu d'œil ) , j'ai une idée ,tu te payes la prothese direct au labo ,et moi j'te le fais au prix secu . ca te va ?
par contre sur le marcher tu criras ,comme tu sais le faire : Enlayyyye ,Enlayyyye ,Enlayyyye ,il est bon ,il est frais .
oui ,ç est la poissonnière du village :-))
et si ton mari ( le pecheur ) choppe des oursins ou 1 loup ou 1 st pierre ou 1 dorade , qu'il me les monte . ici ,hein ,pcqu'il m'a attrapé en ville , suis tombé en embrigade à l'apero , suis remonté au cab à 3g ,plus jamais :-)))


Vw campersurfvan bmnk1q - Eugenol
enlaye

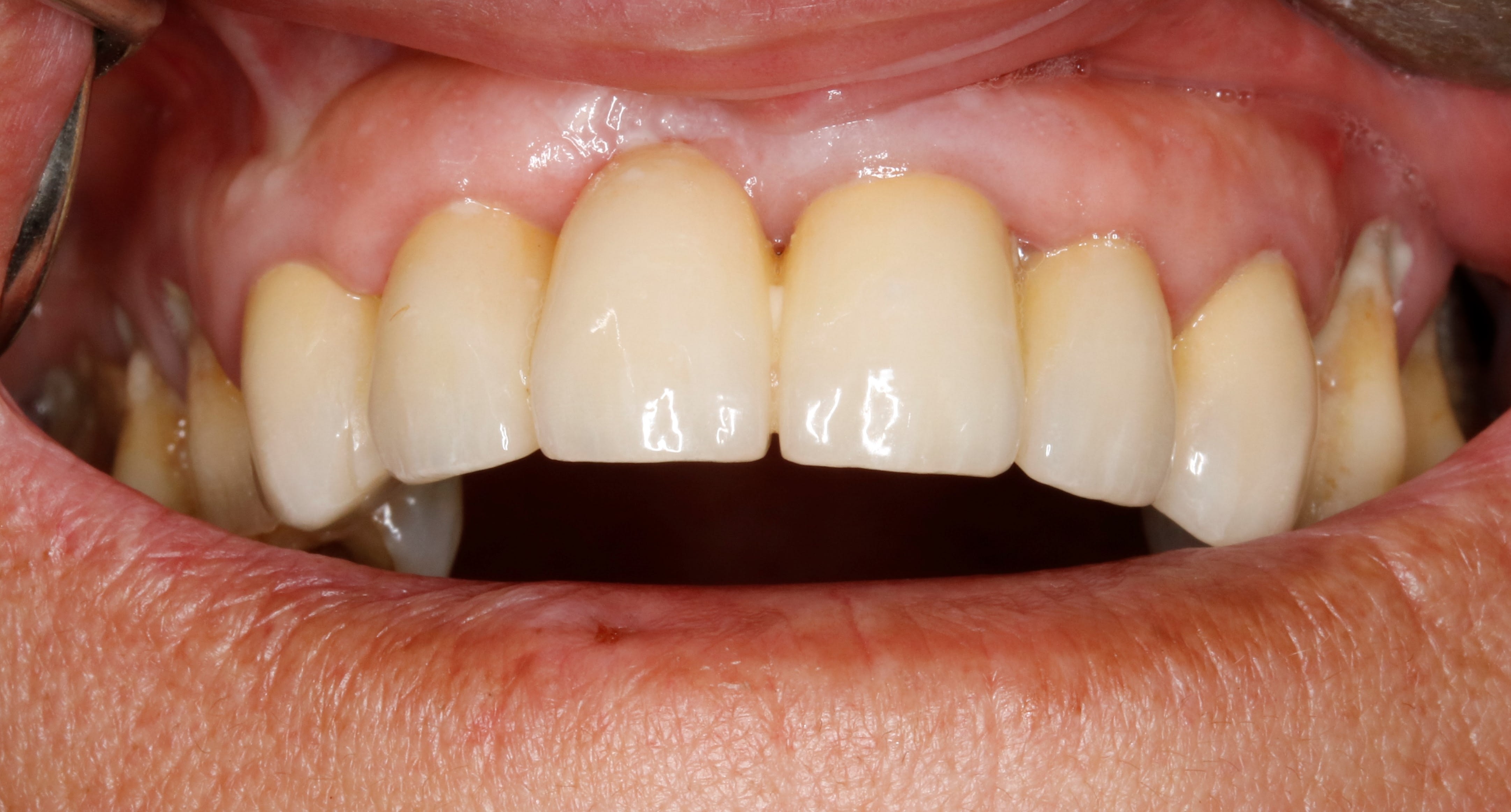
14/11/2017 à 13h49

et je l'ai revu hier aprem ( bridge de 2013 ) et ça donne ça .
moralité la paro ç est du pipo , en plus ça m'arrange j'y connais rien :-)))

 mg 1366 z5zcph - Eugenol

6szjws718sv1jksw54v4mpj3a6cu - Eugenol
vulpi

14/11/2017 à 13h59

enlaye écrivait:
------
> junior® écrivait:
> -------
> " y en a pas un pour rattraper l’autre. "
> mais tu vois pas qu'on est des dingues fou ? bon ,le Vulpi ,lui ç est un vrai
> ,il est irrécupérable ,1 idole :-)))

Qui n'a pas traversé le rayon fruits et légumes la courgette à la main peut comprendre.

C'était la même philosophie mon cas et pour les honoraires tarifs sécu+mutu (petite mutu...).


1...515253...