Tous les forums
empreinte secondaire en complete
09/05/2019 à 23h37
dentiste57 écrivait:
----------
> j'ai bien posé 2 implants en rétromolaire et 1 dans l'épine nasale..
As tu mis une barre? Ce qui est encombrant. C'était l'objet de ma remarque, j'aimerai voir une photo de l'extrados pour voir le volume.
Ou bien , as tu mis des attachement?
09/05/2019 à 23h39
J'ai fait des trucs dans ce genre avec des barres sur racines naturelles au maxillaire il y a loin, je n'ai pas iconographié... dommage:-(
10/05/2019 à 04h47
dentiste57 écrivait:
----------
> j'ai bien posé 2 implants en rétromolaire et 1 dans l'épine nasale..
Justement j’ai un cas où je pensais faire ça, implant au niveau de la tubérosité avec non pas une dent mais comme une barre qui serait la prolongation d’un bridge sur implants 13 14 15 et tubérosité.
Non Vulpi j’ai pas pris de photo de l’extrados mais franchement quand j’ai enlevé son complet, je pensais pas trouver ça dessous. Du coup franchement si un jour j’ai deux racines comme ça j’y penserai ! Ou alors la même chose qui solidarise les deux racines plus deux locators par dessus 
-- 
Qu’on me donne l’envie, l’envie d’avoir envie
10/05/2019 à 07h41
Ben tiens parlons en des locators .
Lorsque j avais passé le du d implanto ,il y a un moment , ils ne supportaient pas les attachements pour un complet du haut . 
Soit disant que c etait pipé complet !
C est vrai ? On en est où ?
10/05/2019 à 12h10
Et bien justement personnellement je n’ai jamais compris cette histoire de barre ou locator au maxillaire. En quoi ça serait moins bien d’avoir des locators au maxillaire ? 
-- 
Qu’on me donne l’envie, l’envie d’avoir envie
10/05/2019 à 14h06
enlaye écrivait:
------
> Ben tiens parlons en des locators .
> Lorsque j avais passé le du d implanto ,il y a un moment , ils ne supportaient
> pas les attachements pour un complet du haut .
> Soit disant que c etait pipé complet !
> C est vrai ? On en est où ?
Cela permet de faire sortir l’oseille des bas de laine et le réinjecter dans le tourbillon de la vie .
10/05/2019 à 14h08
mr smith écrivait:
--------
> enlaye écrivait:
> ------
> > Ben tiens parlons en des locators .
> > Lorsque j avais passé le du d implanto ,il y a un moment , ils ne supportaient
> > pas les attachements pour un complet du haut .
> > Soit disant que c etait pipé complet !
> > C est vrai ? On en est où ?
> 
> Cela permet encore de faire sortir l’oseille des bas de laine et le réinjecter dans le
> tourbillon de la vie .
10/05/2019 à 14h09
--------
> mr smith écrivait:
> --------
> > enlaye écrivait:
> > ------
> > > Ben tiens parlons en des locators .
> > > Lorsque j avais passé le du d implanto ,il y a un moment , ils ne
> supportaient
> > > pas les attachements pour un complet du haut .
> > > Soit disant que c etait pipé complet !
> > > C est vrai ? On en est où ?
 Cela permet encore de faire sortir l’oseille des bas de laine et le réinjecter dans le tourbillon de la vie .
04/06/2019 à 19h38
Nan vraiment c'est trop! Fallait pas (venir)...
Son "ex" m'a dit "depuis notre séparation ça a été la dégringolade pour lui"... C'est elle qui me l'a amené... Ah les femmes:-))
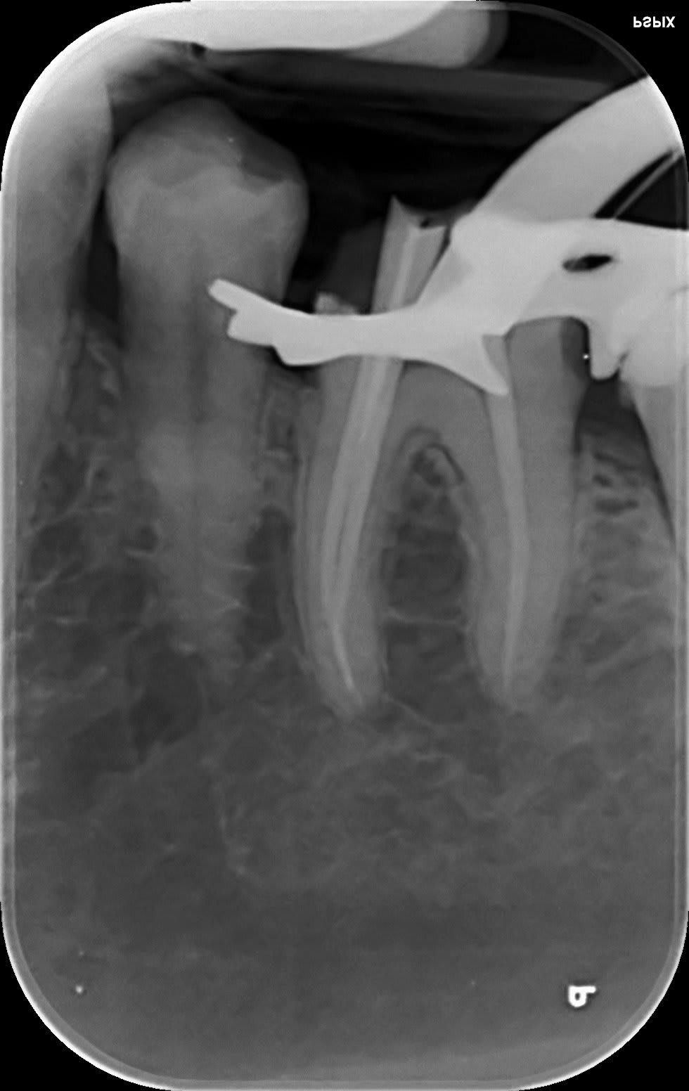
09/09/2019 à 18h01
Fatalitas !!!! 
Au premier passage et avec la fonction anat de sélectionnée ☹️
09/09/2019 à 18h18
et puis finalement, limes k... protapers golds... R25 blue... US...
cones en place c'est acceptable, c'est bien d'avoir du temps et du matos.
09/09/2019 à 18h23
C'est bien d'avoir mis la digue aussi...
c'est pas l'endo du siècle, mais le canal (les ..?) latéraux en distal y sont, le localisateur d'apex les avait bipé et en mésial on est pas si mal, c'est la qualité de la radio qui est trompeuse... il faut que je recalibre les expositions.
0.88 c'est la mesure la plus défavorable, la plus favorable donnait 0.15 par rapport à l'apex radiologique et le réciproc donnait toutes les barres avant apex.
09/09/2019 à 18h51
adhoc écrivait:
-----
> Joli contournement !!! Tu as du y passer du temps!
Deux heures:-))  la tronculaire c'est bien... dure longtemps... longtemps... ;-))
Enfin c'est pas faire, mais quand c'est un SX tu as plein de place pour passer une k 0.06, quand c'est du F1, F2, R25 dans le dernier millimètre c'est quasi impossible pour un omniprat.
C'est pas une endo à la Chicot non plus;-) j'en suis loin!
11/09/2019 à 12h36
Qu’est-ce que tu dis de cette reconstitution pré-endodontique ? C’est autre chose que ton petit bout de composite :)
-- 
Fabriqué en métal. Avec un design intemporel, le lampadaire skurup vous ravira. Hauteur réglable en fonction de l'éclairage souhaité.
11/09/2019 à 16h24
À ce que je sache il existe une cotation reconstitution préendodontique , mais il n’existe pas de cotation de pose de digue :). 
-- 
Fabriqué en métal. Avec un design intemporel, le lampadaire skurup vous ravira. Hauteur réglable en fonction de l'éclairage souhaité.
11/09/2019 à 16h49
C'est dommage, bien payée tout le monde la poserait, sont cons les nomenclaturologues.
11/09/2019 à 16h59
C’est là qu’on se dit qu’ils sont complètement à la masse les pauvres . Ils préfèrent faire plusieurs cotations pour les IC les provisoires et les couronnes .
Ceci étant la digue ne sert strictement à rien si l’aspiration de la salive est bien gérée . Quel est l’intérêt de mettre la digue si on a n’a pas le moindre ml de salive qui va dans la chambre pulpaire ... ? 
-- 
Fabriqué en métal. Avec un design intemporel, le lampadaire skurup vous ravira. Hauteur réglable en fonction de l'éclairage souhaité.