Cookie Consent byPrivacyPolicies.comque faire ??? - Eugenol

que faire ???

olivier

07/03/2016 à 09h13

Bonjour

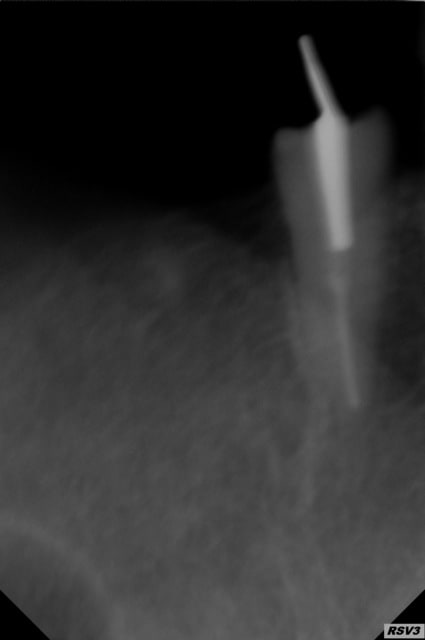
Je n'arrive pas a enlever ce putain de tenon a la base il s agissait
d'un attachement axial (boule ) que je voulais enlever pour faire un inlay core en suite 6 couronnes liées avec 2 attachements extra coronaires.
Donc soit je continue et je risque de fracturer la racine ou de couper la partie externe au ras du canal , soit j 'essaie de constituer une reconstitution à base de compo mais avez vous du recul sur ce type de "bricolage" ?

PS: un détail la patiente a mal lors que je force trop que cela soit avec une fraise ou des us ...


et les radios à la demande générale!

Img 1983 i43mmv - Eugenol
Duv2 cc6hgt - Eugenol
Img 1984 ditgiy - Eugenol
Duv1 huwh4i - Eugenol

Dsc05680 medium aphmfg - Eugenol
BasArtDentaire

07/03/2016 à 09h24

As tu essayer d'alterner les US avec et sans spray?
la dilatation / rétraction du métal peut rompre le scellement.


olivier

07/03/2016 à 09h29

oui...tout cela : fraise sens anti horaire et horaire diamantée et tungstène , pince mathieu en rotation 1/4 1/4 ....mais nada ....


Jack 2 wm3tqs - Eugenol
Trepo

07/03/2016 à 09h34

Tenon anatomique ? Il ne me semble pas vu la photo. Alors avec une pince en le tournant, il ne vient pas ?
Sinon, tu as été bien conservateur sur la racine à la dépose, tu pourrais te permettre de descendre un peu autour du tenon,dans la racine, avec une flamme.
Bon courage !


Vw campersurfvan bmnk1q - Eugenol
enlaye

07/03/2016 à 09h59

olivier écrivait:
-----------------
soit j 'essaie de constituer une reconstitution à base de compo mais avez vous du recul sur ce type de "bricolage" ?

impec


S2y2o1v7q53ws4r5wy6ou8czrpom - Eugenol
pxav

07/03/2016 à 11h18


----------------
> olivier écrivait:
> -----------------
> soit j 'essaie de constituer une reconstitution à base de compo mais avez vous
> du recul sur ce type de "bricolage" ?


oui, si le tenon tiens, pas de soucis, je préfères ça à un IC
--
xbk
"Si tous ceux qui croient avoir raison n'avaient pas tort, la vérité ne serait pas loin" Dac Pierre


olivier

07/03/2016 à 11h42

Ok bon alors comment proceder .Une préforme ok... pour l'adhésif ...un dual type optibond XTR et un compo type paracore et en voiture Simone ?


Ylfwcw979cz1jnx9gfqeaxndiuzk - Eugenol
Algi

07/03/2016 à 12h06

Poste nous une radio qu'on voie si dépose obligatoire et comment elle va se goupiller (état de l'endo, longueur du tenon etc etc....)

Effectiveent si le tenon tient et qu'y a pas de raison majeure de le deposer vaudrait meiux reconstituer par dessus comme ça tu côtes une reconstitution avec ancrage radiculaire même si ledit ancrage est déjà en place.

--
L’extrémisme est le culte sans la culture ;
le fondamentalisme est la croyance sans la connaissance ;
l’intégrisme est la religiosité sans la spiritualité.

On a toujours le choix mais entre quoi et quoi?
Vas-y boulégue et l'avenir te le dira!


01 ukhwbq - Eugenol
ʎqqoq

07/03/2016 à 12h40

(Il n'y a que si c'est un contrôleur SNCF que tu peux laisser comme ça ^^)


Ylfwcw979cz1jnx9gfqeaxndiuzk - Eugenol
Algi

07/03/2016 à 13h49

Z'avais pas vu l'edit et les radios.....

Mouais c'est pas génial, non?

T'as trop taillé ce qui sort de la racine et du coup ça me parait un peu ledge pour se cramponner dessus.

Quid de l'image en distal de la dent perceptible sur le premier cliché??? Carie, poche paro????

Moi je virerais ce truc mais pour la suite je sais pas si j'opterais pour bridger les dents et faire des attachements car risque que ça se casse la gueule un de ces 4.... 6 chances qu'un des piliers foire

Faudrait voir l'oclusion, si elle serre, si y'a la place, l'état des autres racines.

La derniere à qui j'ai fait un truc similaire ça c'est soldé par fracture d'un des piliers et on en est à avoir conservé les 2 canines et avoir remplacé le stellite bilateral posterieur par un 12 dents en nylon (pas si pourri que ce qui a pu être dit d'ailleurs le valplast mais cher!) car en plus elle a developpé une allergie vraie au métal des stellites (premier "vrai" cas en 23 ans)

--
L’extrémisme est le culte sans la culture ;
le fondamentalisme est la croyance sans la connaissance ;
l’intégrisme est la religiosité sans la spiritualité.

On a toujours le choix mais entre quoi et quoi?
Vas-y boulégue et l'avenir te le dira!


l adan

07/03/2016 à 15h01

Avec la trousse de genon ?


Vw campersurfvan bmnk1q - Eugenol
enlaye

07/03/2016 à 15h28

olivier écrivait:
-----------------
" Ok bon alors comment proceder .Une préforme ok... pour l'adhésif ...un dual type optibond XTR et un compo type paracore et en voiture Simone ? "

ho toi , tu es le roi de l'ic , non ?
ouais un compo tranquille , tranquille ,quoi !
sinon ,tu te fais preter la trousse de masseran ou la pince qui pince en poussant .....


Smile beach jgh0a1 - Eugenol
Céramik

07/03/2016 à 18h34


Place 4-5 implants ;-)

--
Céramik


G-P

07/03/2016 à 21h58

Vire moi cette ratiche pourrie et on en parle plus


Gutt-A

07/03/2016 à 22h52

.