Cookie Consent byPrivacyPolicies.comRadio numérique - Eugenol

Radio numérique

Azerty06

09/03/2016 à 14h46

Bonjour, on utilise le système vistascan ( durr dental ) et on trouve la qualite des clichés assez moyenne.Tout a été vérifié par le représentant ( systeme +générateur ), on utilise des angulateurs. On ne retrouve pas la qualite des clichés argentiques. Si vous avez des conseils ( materiel , manipulation) pour améliorer ça. Merci


carident

09/03/2016 à 14h50

Azerty06 écrivait:
------------------
> Bonjour, on utilise le système vistascan ( durr dental ) et on trouve la qualite
> des clichés assez moyenne.Tout a été vérifié par le représentant ( systeme
> +générateur ), on utilise des angulateurs. On ne retrouve pas la qualite des
> clichés argentiques. Si vous avez des conseils ( materiel , manipulation) pour
> améliorer ça. Merci

La qualité d'affichage de l'écran a aussi son importance (taux de contraste etc...)


Azerty06

09/03/2016 à 15h19

on les a changé il y a six mois. En fait je me demande si il existe un systeme numérique qui peut égaler la qualite de l'argentique. On hésite à y revenir, c est l'archivage des radios qui nous retient !


carident

09/03/2016 à 15h24

Azerty06 écrivait:
------------------
> on les a changé il y a six mois.

C'est pas parce qu'ils sont récents, qu'ils sont forcément bons...

http://www.lesnumeriques.com/moniteur-ecran-lcd/comparatif-ecran-lcd-moniteurs-22-a-30-pouces-a240.html

Mieux vaut privilégier un écran avec une technologie MVA/PVA (ou équivalent) que TN

Hormis l'archivage, un système numérique présente bien d'autres avantages : plus rapide, peut être dupliqué et envoyé par mail, etc...


Hok 1b hgd3rj - Eugenol
Hokusai

09/03/2016 à 15h27

Azerty06 écrivait:
------------------
> En fait je me demande si il existe un systeme
> numérique qui peut égaler la qualite de l'argentique.

Je crois également que l'argentique reste encore supérieur à tous les autres systèmes en terme de qualité d'image.
Tu aurais une radio d'exemple à nous montrer en l'exportant de DBSWIN ?
Tu as réglé comment ton tube radio ? en 70kV et 8mA tu peux exposer pendant 0.12s en ERLM t'as déjà une belle image.


Hok 1b hgd3rj - Eugenol
Hokusai

09/03/2016 à 15h30

carident écrivait:
------------------

> Hormis l'archivage, un système numérique présente bien d'autres avantages : plus
> rapide, peut être dupliqué et envoyé par mail, etc...

Dose de rayon plus faible aussi.


carident

09/03/2016 à 15h33

Hokusai écrivait:
-----------------
> carident écrivait:
> ------------------
>
> > Hormis l'archivage, un système numérique présente bien d'autres avantages :
> plus
> > rapide, peut être dupliqué et envoyé par mail, etc...
>
> Dose de rayon plus faible aussi.

^^ tout à fait

https://www.dynamiquedentaire.com/scanner-a-ecrans-a-memoire-ou-capteur-rvg-quelle-technologie-choisir-pour-votre-systeme-de-radiologie-numerique/


Capture d  cran 2015 03 12 12.28 - Eugenol
chicot29

09/03/2016 à 15h43

Azerty06 écrivait:
------------------
> on les a changé il y a six mois. En fait je me demande si il existe un systeme
> numérique qui peut égaler la qualite de l'argentique. On hésite à y revenir, c
> est l'archivage des radios qui nous retient !

Et le temps d'exposition un peu aussi non ? -)


Hok 1b hgd3rj - Eugenol
Hokusai

09/03/2016 à 15h45

Tu peux aussi essayer (quand tu scannes ton film, dans la fenêtre qui s'ouvre quand tu cliques sur "lecture") de passer du mode "optimal" à 1270dpi au mode "excellent" à 2000dpi.
Pour voir si t'as une meilleur image.
Le pbm du mode excellent, c'est qu'il est lent et que les fichiers produits sont volumineux (environ x2 en taille de mémoire).


Capture d  cran 2015 03 12 12.28 - Eugenol
chicot29

09/03/2016 à 15h55

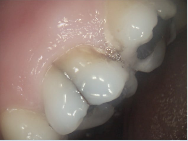
Moi capteur rvg, ca me suffit largement. La manipulation des plaques est éliminatoire pour moi.

Pas suffisamment fin pour détecter cette fêlure sur cette 26 qui sera à extraire ( infection, pas de vitalité) mais une radio argentique n'aurait pas fait mieux. -)

Capture d e cran 2016 03 09 14.51 - Eugenol
Capture d e cran 2016 03 09 14.49 - Eugenol
Capture d e cran 2016 03 09 14.52 - Eugenol

Azerty06

09/03/2016 à 15h59

Le générateur est réglé par l'instalateur, je vérifie tout ça demain au cab. En tout merci pour vos conseils !


Azerty06

09/03/2016 à 16h02

@ chicot, nos radios sont moins bonnes que celles que tu nous montres !


Bagheera tudzjy - Eugenol
bagheerra

09/03/2016 à 16h05

http://www.eugenol.com/sujets/413076-argentique-versus-numerique?page=1#post_860060


X ray 03 medium zvq18j - Eugenol
cyber_quenottes

09/03/2016 à 17h18

la "qualité" est moins bonne ????

as tu vérifié cette qualité avec une mire ???

montre moi les images obtenues


Capture d  cran 2015 03 12 12.28 - Eugenol
chicot29

09/03/2016 à 18h44

Le seul inconvénient du capteur c'est la connerie de certains CDC pointilleux sur les rétro coronaires pour récupérer des indus. -)


X ray 03 medium zvq18j - Eugenol
cyber_quenottes

09/03/2016 à 20h44

dsx730 owandy 6,3 paires de lignes / mm
= 7 lignes séparées par mm
soit plus de 0,15 mm de définition

sachant qu'avec du numérique on peut travailler à la loupe et sur contraste et luminosité


Android jyzura - Eugenol
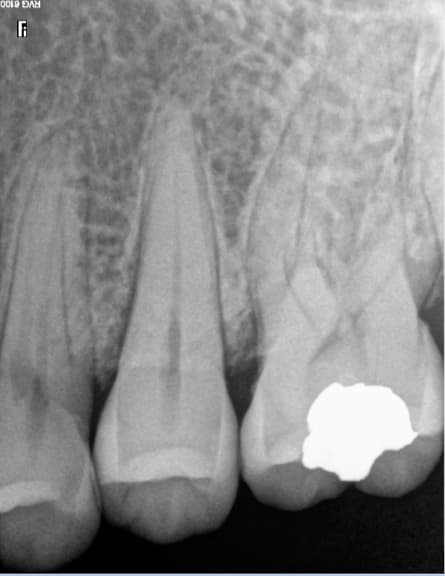
Tavéca

10/03/2016 à 10h11

Voici des exemples pour que tu puisses comparer
vistascan 20pl/mm
70Kv, 8mA, 0.16s

Montre nous tes radios qu'on puisse comparer aussi

B ggctm9 - Eugenol
C on4mbg - Eugenol
A cyzroq - Eugenol

acid

10/03/2016 à 11h10

Que veux tu comparer?
Le dialogue de sourds continuera tant que Durr Dental ne pourra pas ou ne voudra pas fournir d'images de mires.
Depuis vingt ans aucun fabricant ne veut commencer, il n'y a aucun întérêt économique.


Android jyzura - Eugenol
Tavéca

10/03/2016 à 13h28

acid écrivait:
--------------
> Que veux tu comparer?
Ses radios dont il n'est pas satisfait et les miennes qui me semblent acceptable!?
Car pour l'instant sans comparaison c'est complètement subjectif.


Azerty06

10/03/2016 à 14h15

bonjour, je tente de récupérer une radio pour vous montrer mais je n'y arrive pas. suis pas doué en informatique (entre autres ). Je vais faire venir quelqu'un pour voir tout ça. En tout cas, merci pour vos réponses.


Hok 1b hgd3rj - Eugenol
Hokusai

10/03/2016 à 14h44

Azerty06 écrivait:
------------------
> bonjour, je tente de récupérer une radio pour vous montrer mais je n'y arrive
> pas. suis pas doué en informatique (entre autres ). Je vais faire venir
> quelqu'un pour voir tout ça. En tout cas, merci pour vos réponses.

T'as de moins belles images que celles de Tavecca ??


Azerty06

10/03/2016 à 14h49

un peu moins bonnes. et puis, mon associé et moi, on trouve que ces radios n'ont jamais atteint le niveau de l'argentique, surtout pour le diagnostique des caries, en paro pour la lamina. mais bon, c'est peut être normal !


fgui

10/03/2016 à 15h06

TOUT A FAIT ON A DE MOINS BONNES IMAGES!

pour des temps d'expositions et des constantes presque égales, j'ai capteur et plaques et je regrette mes films.


Capture d  cran 2015 03 12 12.28 - Eugenol
chicot29

10/03/2016 à 16h37

Ah ? c'est combien tes temps d'exposition ?

Allez envoyez vos images de mires. C'est le seul moyen objectif de comparaison. -)

Capture d e cran 2016 03 10 15.35 - Eugenol

X ray 03 medium zvq18j - Eugenol
cyber_quenottes

10/03/2016 à 18h01

hélas tes images sont illisibles

il faut juste envoyer un zoom de la paire de lignes 6,3


12