Cookie Consent byPrivacyPolicies.comje n'y arrive plus - Eugenol

je n'y arrive plus

sine63

10/03/2016 à 13h49

voilà, apres 8 ans d'exercice, remplas, collabs plus ou moins longues, je craque. J'ai l'impression d'être bonne à rien ( alors que je ne rate pas tout quand meme hein) mais j'exerce dans la pression, le stress, j'attends toujours le retour d'un travail que j'aurais fait et qui n'irait pas, j'attends toujours la complication, le patient mécontent. Pour chaque extraction que je fais je pense que ça va saigner comme un ruisseau, pour chaque endo j'ai peur de casser un instrument, pour chaque couronne que je pose je me demande si il ne va pas y avoir une pêche apicale sous peu. J'en rêve la nuit!
Je ressasse ce que j'ai fait, là où j'ai pu me planter, ce que j'aurais pu faire, mieux faire, autrement. J'ai totalement perdu confiance en moi sans qu'il ne me soit arrivé d'évènement particulier mais j'ai l'impression d'exercer en attendant la prochaine m... qui me tombera sur le coin du nez.
J'essaye de faire des formations, je lis les publications quand je peux mais je suis à bout de nerfs ( malgré les anxiolytiques que je dois malheureusement prendre pour pouvoir aller au boulot le matin vaille que vaille). Je me demande vraiment si je ne dois pas changer de métier. Mais pour faire quoi?
Actuellement en collaboration je ne suis pas libre totalement de ma maniere de m'organiser mais m'installer alors que je suis dans cet état c'estplus que périlleux! Bref, des conseils? Merci.


voorzitterst

10/03/2016 à 13h58

Cherche a t'installer, il y a moins de pression et c'est le bonheur.


atrax

10/03/2016 à 14h36

Apprendre à relativiser, et te dire qu'il n'y a pas mort d'homme.
Moi ce que j'aime faire, avant chaque soin (pas pour un compo non plus), c'est dire le pourcentage de succès, réussite. Dire les merdes possibles.
Et tu sais les patients sont très intelligents, quand tu leur explique qu'il peut y avoir un problème, lorsque cela se produit, ils sont rassurés, parce que tu leur en as déjà parlé.


4a338550 6a5b 47ea b2a7 d3cb675c5076 oni5gh - Eugenol
fistule 69

10/03/2016 à 14h48

Surtout, tu ne changes rien !
Te remettre en cause continuellement est la preuve que tu es un bon CD.
Ces angoisses sont inévitables puisque nous pratiquons dans le domaine de la santé
15 ans d'exercices et j'en suis toujours à douter : améliorer les emp, être meilleur en endo, optimiser les séances ...
Le jour où je ne doute plus c'est que je fais de la merde !
Mon associé ne doute jamais et il faut voir ses endo, Chicot29 lui met une pêche directe !
Un petit cou de mou, attends, le printemps arrive ...
😷😀


Marque a3 orange fyvhyq - Eugenol
Marc Apap

10/03/2016 à 14h54

Fais du sport


Dsc05680 medium aphmfg - Eugenol
BasArtDentaire

10/03/2016 à 14h59

Ne te laisse pas submerger par tout ça.

Fais le point sur ce qui ne va pas. Trop de retour négatifs? déjà en % de ce que tu fais, est ce tant que ça. En suite pourquoi ces retours?

Conseil, allonge tes rdv sur le planning ou diminue le nb de patient par jour. S'il y en a trop, la fatigue augmente avec la pression et la qualité va baisser.

Des erreurs il y en a pour tout le monde (seul ceux qui ne font rien n'ont pas d'erreur, bla bla bla). C'est savoir les gérer qui est important, pour par la suite les prévenir en amont et ne plus les avoir.

Je comprend ton état pour l'avoir ressenti en début de semaine pour d'autres raison mais bien du fait de la pression du travail.
prends du recul, et libères toi du temps pour te reposer si besoin.

La question de changement et d'évolution (installation) est peut être la bonne. Mais la décision sera meilleur à tête reposée.

Lève la tête de ta rame, tu n'est pas seule, on rame pas loin de toi! ;)


moritooth

10/03/2016 à 15h30

Sine63, à ce stade tu as besoin de l'aide d'un psychotherapeute. C'est un professionnel de ce type de problème, comme nous sommes des professionnels des problèmes buccodentaires.

Il y a un degré où tu ne peux pas te sortir seul(e) de ce type de problème, comme nos patienst ne peuvent pas solutionner tous leurs problèmes avec des bains de bouche ! ou en suçant des clous de girofle!!. Il y a un stade où il faut savoir consulter!

En se contentant de bonnes résolutions, et de quelques conseils sur nonol, tu es sûr(e) de continuer à te pourrir le mental toute ta vie. Et rien ne prouve qu'avec un autre métier ce serait mieux.

Dit-toi que ce dont tu "souffres", c'est comme une carie : plus c'est pris précocemment, plus c'est facile à traiter, et moins il y a de dégat !


caîdent62

10/03/2016 à 15h50

D'accord avec Fistule 69
Tu vis ton boulot à fond
A côté de ça ,tu dois avoir une vie... Sport ,famille ,vacances,amis,sorties
30 ans plus tard,j'ai encore du mal à prendre du recul
Ton job doit être un moyen et non un but
Courage



Capture d  cran 2015 03 12 12.28 - Eugenol
chicot29

10/03/2016 à 16h17

fistule 69 écrivait:
--------------------

> Mon associé ne doute jamais et il faut voir ses endo, Chicot29 lui met une pêche
> directe !
> Un petit cou de mou, attends, le printemps arrive ...
> 😷😀

Tu devrais lui refiler ton pseudo à ton associé, ca lui irait comme un gant. -)


le figou

10/03/2016 à 16h33

sine63 écrivait:
----------------
> voilà, apres 8 ans d'exercice, remplas, collabs plus ou moins longues, je
> craque. J'ai l'impression d'être bonne à rien ( alors que je ne rate pas tout
> quand meme hein) mais j'exerce dans la pression, le stress, j'attends toujours
> le retour d'un travail que j'aurais fait et qui n'irait pas, j'attends toujours
> la complication, le patient mécontent. Pour chaque extraction que je fais je
> pense que ça va saigner comme un ruisseau, pour chaque endo j'ai peur de casser
> un instrument, pour chaque couronne que je pose je me demande si il ne va pas y
> avoir une pêche apicale sous peu. J'en rêve la nuit!
> Je ressasse ce que j'ai fait, là où j'ai pu me planter, ce que j'aurais pu
> faire, mieux faire, autrement. J'ai totalement perdu confiance en moi sans qu'il
> ne me soit arrivé d'évènement particulier mais j'ai l'impression d'exercer en
> attendant la prochaine m... qui me tombera sur le coin du nez.
> J'essaye de faire des formations, je lis les publications quand je peux mais je
> suis à bout de nerfs ( malgré les anxiolytiques que je dois malheureusement
> prendre pour pouvoir aller au boulot le matin vaille que vaille). Je me demande
> vraiment si je ne dois pas changer de métier. Mais pour faire quoi?
> Actuellement en collaboration je ne suis pas libre totalement de ma maniere de
> m'organiser mais m'installer alors que je suis dans cet état c'estplus que
> périlleux! Bref, des conseils? Merci.

burn out !attention ça dégringole vite du mauvais côté.
"quand je me regarde je m'inquiète , quand je me compare je me rassure"
aide psy (hypnose ericksonienne ),vacances ,sport ,sorties etc... la vie est belle après la turbine et tu le vaux bien


Spix4ever

10/03/2016 à 16h55

Prendre du recul.
Tu n'as pas rendu tes patients malades, ils sont venus avec leurs pathologies et tu tentes de les soigner. Et comme tu n'es pas dieu et ben tu auras des échecs et tu ne feras jamais aussi bien que dame nature. C'est normal.

Après profiter de son temps libre : sport, amis, familles, voyage, jack daniels Etc...


makalu

10/03/2016 à 18h41

Bonjour
Deux choses me sautent aux yeux en lisant ton post:
1) tu es une bonne praticienne car quand on s'implique tant dans son travail, on ne peut pas être vraiment mauvaise. Tu as une conscience professionnelle très élevée. Facile à dire mais essaye de relativiser. Notre métier est difficile mais magnifique. J' ai 35 ans d'exercice et il m'arrive encore de rater des trucs. Il faut juste ne pas faire la politique de l'autruche quand cela arrive et refaire. Le 100% de réussite n'existe pas. Ceci étant je te comprends , il m'arrive encore parfois de me réveiller à 4H du matin en me demandant si j'ai fait au mieux pour tel patient.... Ridicule diront certains mais on ne se refait pas !

2) ton post traduit une vraie souffrance. Burn out ? Dépression?
Je n'ai aucune compétence dans ce domaine mais ne reste pas seule. Il faut te faire aider par quelqu'un dont c'est le métier. N'attends pas d'être au fond du gouffre.

Courage


Images cu89bm - Eugenol
Tizott

10/03/2016 à 19h14

Je l'ai déjà dit plusieurs fois sur ce forum pour des situations similaires. Appliquer à la lettre ce conseil fort sage dispensé par le praticien chez qui j'ai fait ma toute première collab': "le soir, en quittant le cabinet, tu laisses tes patients derrière la porte".De toutes manières, à cette heure là, tu ne peux plus rien faire pour eux. Il sera temps d'y repenser le lendemain en ouvrant la porte. Au besoin, arriver 1/2h plus tôt pour passer les dossiers en revue.
Ensuite, avoir au moins une activité qui t'apporte du plaisir et de la détente.
Je sais, plus facile à dire qu'à faire. Au besoin se faire aider par un tiers (psychologue, psychiatre, sophrologue...etc)


Kingsu

10/03/2016 à 19h28

Moi même ayant eu des difficultés psychologiques voisines des tiennes durant mes collaboration, je peut dire que ce qui m'a aidé, c'est tout simplement d'avoir trouver une autre collaboration avec des confrères plus sympa. Tu n'as pas détaillé les conditions dans lesquelles tu exerces mais ça y joue si elles sont pas comme tu le souhaiterais.
Pour prendre une bonne décision, consulte auparavant un psychologue. Évite de consulter pour la première fois un psychiatre qui dans la grande majorité des cas te verra 15 à 30mn voir 10mn parfois pour à la fin te donner le classique antidépresseur + anxiolytique. Certes, le psychologue n'est pas remboursé et cela peut coûter cher mais ce qui est remboursé n'est pas forcément mieux et il vaut mieux résoudre sa situation en discutant une heure avec un psychologue pour trouver des solutions qu'un quart d'heure avec un psychiatre pour trouver des médicaments. Cela dit, si ton psychologue malgré tout te conseille d'aller voir un psychiatre, écoutes son avis mais aides toi de la psychothérapie.
Pour les anxiolytiques, il est très connu et mentionné sur le résumé des caractéristiques du produit qu'il ne doivent pas être prescrit au long cours, c'est à dire plus de trois mois incluant la phase de sevrage. De plus, d'après ce que tu décrit, tu as des symptomes très proches d'une dépression, or ces médicaments sont des dépresseurs du système nerveux central et donc accentue la dépression. Si les anxiolytiques peuvent sembler la panacée au début car ils soulagent rapidement les angoisses, ils deviennent assez rapidement inefficace du fait d'un phénomène de tolérance. Ils engendrent en plus des dépendances qui font qu'il n'est pas rare de voir des patients sous anxiolytique depuis des dizaines d'années et que le sevrage impose souvent une période d'anxiété rebond. Enfin, ils engendrent une augmentation du risque de développer dans sa vieillesse des maladies neurodégénératives comme l'Alzheimer.


loumi911

10/03/2016 à 19h55

Siné63 , tu décris exactement mes symptômes....avant que je ne tombes !!, donc même conseil que tous les autres ne reste pas seule, vois un psychologue et revois ton médecin ( peut être d'abord lui) et + 1 aussi pour l'analyse sur les anxios ; cela doit être ponctuel pas sur du long terme. Il me semble avoir vu ou lu qu'il existe une ligne téléphonique pour les professionnels de santé dans ton (notre et mon!) cas ..peut être sur site CNSD ? N'étant pas adhérent je n'en sais pas plus....En tout cas une chose est sûre tu es une EXCELLENTE praticienne avec un HAUT degré de conscience....et c'est ce qui te bouffe la vie ...alors on est tous différent(e)s mais on a tous des problèmes...Je ne peux pas te donner plus de conseils,c'est toi qui trouveras (une, les) solution(s) , mais saches qu'il y a beaucoup de gens qui pensent à toi, dans ta famille sur ce forum ...partout en fait !!! La dentisterie à besoin de toi !!!!si si !!! Allez courage pour cette mauvaise passe et... bises d'un vieux confrère !!!!


Capture d  cran 2015 03 12 12.28 - Eugenol
chicot29

10/03/2016 à 20h16

Rassures toi meme si tu fais les pires bouses les patients ne s'en rendront pas compte avant des années et ne feront meme pas le rapprochement de la cause à effet. -)
Tu vois meme en cas de controle le CDC ne se pose meme pas la question du praticien qui est à l'origine de ce chef d'oeuvre.
Le patient n'a pas voulu que j'intervienne, la confiance ca se gagne.....
Il retiendra la leçon un de ces 4. -)
Tu peux te détendre. -)

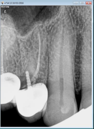
Capture d e cran 2016 01 24 11.12 - Eugenol

Capture d  cran 2015 03 12 12.28 - Eugenol
chicot29

10/03/2016 à 20h24

Et c'est loin d'etre un cas isolé, celui là commence à ressentir une légère gène sur cette 14 traitée depuis des années. -)
Des exemples comme ca il y en a à l'infini. Ils devraient imposer des tarifs gratuits pour les endos, ca augmenterait encore plus la qualité. -)

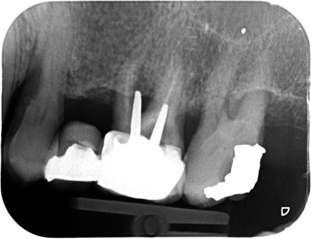
Capture d e cran 2016 03 10 19.21 - Eugenol

Kingsu

10/03/2016 à 20h28

chicot29 écrivait:
------------------
> Et c'est loin d'etre un cas isolé, celui là commence à ressentir une légère gène
> sur cette 14 traitée depuis des années. -)
> Des exemples comme ca il y en a à l'infini. Ils devraient imposer des tarifs
> gratuits pour les endos, ca augmenterait encore plus la qualité. -)

Du coup je me demande comment la personne qui a fait ça peut dormir sur ses deux oreilles en regardant la radio de contrôle. Mais il y en a sûrement pas eu, il devait être sûr de son coup. Je comprends pourquoi cette personne choisit des tenons plutôt cours en tout cas.


sine63

10/03/2016 à 20h34

merci à tous pour vos conseils et votre bienveillance, ça fait beaucoup de bien. Je vais en effet essayer de relativiser et aussi faire appel à un professionnel pour me sortir de cette mauvaise passe qui me bouffe le quotidien! On en voit du monde dans une journée mais on se sent malgré tout bien seul parfois. Passez tous une bonne soirée.


Capture d  cran 2015 03 12 12.28 - Eugenol
chicot29

10/03/2016 à 20h39

Kingsu écrivait:
----------------

> Du coup je me demande comment la personne qui a fait ça peut dormir sur ses deux
> oreilles en regardant la radio de contrôle. Mais il y en a sûrement pas eu, il
> devait être sûr de son coup. Je comprends pourquoi cette personne choisit des
> tenons plutôt cours en tout cas.

Il suffit de faire une seule belle endo dans ta vie, celle à l'examen d'oc. Après c'est open bar il n'y a plus aucun controle surtout si tu ne fais pas de radios. -)


Kingsu

10/03/2016 à 20h42

chicot29 écrivait:
------------------
> Kingsu écrivait:
> ----------------
>
> > Du coup je me demande comment la personne qui a fait ça peut dormir sur ses
> deux
> > oreilles en regardant la radio de contrôle. Mais il y en a sûrement pas eu, il
> > devait être sûr de son coup. Je comprends pourquoi cette personne choisit des
> > tenons plutôt cours en tout cas.
>
> Il suffit de faire une seule belle endo dans ta vie, celle à l'examen d'oc.
> Après c'est open bar il n'y a plus aucun controle surtout si tu ne fais pas de
> radios. -)

Ça a du quand même être difficile durant son stage clinique à l'hôpital.


Capture d  cran 2015 03 12 12.28 - Eugenol
chicot29

10/03/2016 à 21h13

Tu peux t'appliquer sur les quelques malheureux soins que tu as à faire à la fac. Tu as une ou plusieurs vacations de 2H 30 pour réussir ton endo. -)
Après en cabinet c'est pas la meme messe. Il faut etre bon et rapide. -)


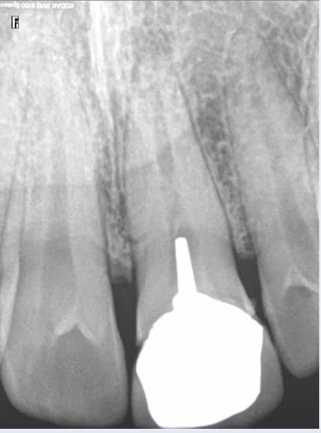
Hok 1b hgd3rj - Eugenol
Hokusai

10/03/2016 à 21h15

chicot29 écrivait:
------------------
> Tu peux t'appliquer sur les quelques malheureux soins que tu as à faire à la
> fac. Tu as une ou plusieurs vacations de 2H 30 pour réussir ton endo. -)

En roumanie, ils font même pas d'endo juste des chèques...

Moi je me dis, je suis surement pas le meilleur dentiste... mais ça va. En fin de semaine, je regarde les travaux que j'ai faits, avec un peu de recul et sereinement, comme une sorte de "contrôle qualité interne", avec un esprit objectif (comme si c'était un autre dentiste qui avait réalisé le soin).
Le pbm des rempla/collab courtes c'est que t'as pas de vision sur le moyen/long terme de ton travail.
Mais si comme moi tu as soigné ta famille, regarde comment vieillissent tes soins et tu verras que la qualité est là.
Il faut être fier de toi et de ce que tu fais !

Sinon faut pas s'en faire... lui (ou elle), il s'en est fait moins que toi (cf radio jointe) !!

Petite perforation qui va bien g4h5db - Eugenol

Vw campersurfvan bmnk1q - Eugenol
enlaye

10/03/2016 à 21h28

sine63 écrivait:
----------------
" je craque. J'ai l'impression d'être bonne à rien "


mais bonne à rien , ç est toi qui le dit !
tu m'aurais dit mauvaise à tout , ce serait différent :-)))je serais inquiet pour toi
rassures toi personne n'est infaillible . tu es seulement mal entourée , ou mal rassurée dans ton univers professionnel .
courage .


paradoxe

10/03/2016 à 23h30

.