Cookie Consent byPrivacyPolicies.comRecherche contact stomato Paris - Eugenol

Recherche contact stomato Paris

Mm goodteeth2 ex0rr1 - Eugenol
Jules

11/03/2016 à 15h54

Bonjour à tous,

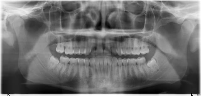
Je recherche les coordonnés d'un stomato pour prononcer un divorce entre un jeune patient très sympa ayant déménagé sur Paris 8ème et ses sagesse du bas.

Peut-être un scan ou cone beam à prévoir avant pour 38 (cf pano)

Vous pouvez me joindre par mp !
Merci d'avance !

Robin oqkp1v - Eugenol

Little shop of horrors brzqjx - Eugenol
chatondecarte

11/03/2016 à 19h32

Tu peux aussi envoyer à un dentiste...


Dantalgy

11/03/2016 à 21h02

chatondecarte écrivait:
-----------------------
> Tu peux aussi envoyer à un dentiste...

+1


Utilisateur banni

11/03/2016 à 21h24

Le service de chir maxilo faciale de la Pitié Salpetriere est une référence dans Paris


atrax

11/03/2016 à 21h47

chir maxillo faciale rien que ça... maintenant je sais pourquoi les patients hésitent à nous appeler docteur et que les médecins ne disent jamais chirurgien.
Envoi ton patient à un confrère, un peu de protectionnisme bon dieu ;).


aterman

11/03/2016 à 21h55

Un maxillo facial pour une dent aussi simple c est de l abus...


atrax

11/03/2016 à 22h04

Ne pas oublier de voir l'anesthésiste avant.
Je connais en Australie quelqu'un de très compétent. Pour une opération si compliquée, ne pas lésiner sur les moyens :)


Mm goodteeth2 ex0rr1 - Eugenol
Jules

11/03/2016 à 23h08

La semaine a été dure ?

Je rassure tout le monde, c'est un chirdent qui va s'occuper de mon patient puisque chatondecarte m'a gentiment proposé de le recevoir.