Cookie Consent byPrivacyPolicies.comTR + taille + empreinte et demander IC + couronne ? - Eugenol

TR + taille + empreinte et demander IC + couronne ?

Capture d  cran 2015 03 12 12.28 - Eugenol
chicot29

14/03/2016 à 16h22

Aspius écrivait:
----------------

> C'est la radio pré-op qui fait foi, et pas la post-endo avec une cavité d'accès
> gabarit XXL (ça serait bien trop facile)

Et une cavité SSSL avec une peinture canalaire ou un instrument pété inside, ca passe ? -)
Tu te fais faire la morale par un assureur qui ne rembourse que les actes délabrants et qui a au moins 2 guerres de retard en ce qui concerne ses remboursements ?


Icon poker h4nm2d - Eugenol
jeff

14/03/2016 à 16h24

si j'avais prévu sc33 , et que au final, c'est inlay core ( donc, non prévu sur le devis ), l'inlay est au tarif sécu.


Capture d  cran 2015 03 12 12.28 - Eugenol
chicot29

14/03/2016 à 16h27

jeff écrivait:
--------------
> si j'avais prévu sc33 , et que au final, c'est inlay core ( donc, non prévu sur
> le devis ), l'inlay est au tarif sécu.

Ah ! Pas d'enrichissement personnel donc . -))))

C'est sur que quand c'est gratuit on peut y aller franco. -)


Hok 1b hgd3rj - Eugenol
Hokusai

14/03/2016 à 18h20

chicot29 écrivait:
------------------
> Exemple patiente CMU :

Comment vas tu reconstituer cette dent ?


6szjws718sv1jksw54v4mpj3a6cu - Eugenol
vulpi

14/03/2016 à 18h58

jeff écrivait:
--------------
> si j'avais prévu sc33 , et que au final, c'est inlay core ( donc, non prévu sur
> le devis ), l'inlay est au tarif sécu.

Je fais l'inverse, sur le devis à 95% c'est IC et si au final SC33... ben le patient est content.


Capture d  cran 2015 03 12 12.28 - Eugenol
chicot29

14/03/2016 à 19h51

vulpi écrivait:
---------------
> jeff écrivait:
> --------------
> > si j'avais prévu sc33 , et que au final, c'est inlay core ( donc, non prévu
> sur
> > le devis ), l'inlay est au tarif sécu.
>
> Je fais l'inverse, sur le devis à 95% c'est IC et si au final SC33... ben le
> patient est content.

Pas moi ic 367 euros, ceram 320 euros. -)

Mais je te rassure ca n'arrive jamais.-)
Ils ont moins contents avec une ceram à 600 boules et Un SC33. -)


Capture d  cran 2015 03 12 12.28 - Eugenol
chicot29

14/03/2016 à 19h53

Hokusai écrivait:
-----------------
> chicot29 écrivait:
> ------------------
> > Exemple patiente CMU :
>
> Comment vas tu reconstituer cette dent ?

Je sais pas encore. Le SC 33 me tente faut bien en faire de temps en temps. Le compo 2 faces à 33,74 est à exclure car faisant pas descendre mon ratio IC/SC33. -)
+ CC acier.
T'aurais fait quoi toi hokusai ?
Première séance biodentine gratos et 2 ième séance un compo à 33,74 ? -)
Ou endo et onlay à 33,74 en 3 séances? -)
Ou laisser une pellicule de merde et un amalgame au pouce ? -)

Cruel dilemme hein ! -)
Heureusement que l'état fixe les tarifs et les remboursements c'est le meilleur moyen d'etre bien soigné. -)
Heureusement il laisse le choix, surtout pour les plus démunis ! -)


Hok 1b hgd3rj - Eugenol
Hokusai

14/03/2016 à 22h08

chicot29 écrivait:
------------------

> Je sais pas encore. Le SC 33 me tente faut bien en faire de temps en temps. Le
> compo 2 faces à 33,74 est à exclure car faisant pas descendre mon ratio IC/SC33.
> -)
> + CC acier.

Quoi que l'on fasse, on peut nous le reprocher...

Tu dévitalises une dent sans pulpite irréversible -> fallait faire un coiffage direct, tu l'as pas proposé au patient, t'es en tort...

Tu veux faire un ancrage radiculaire -> il est non indiqué, fallait faire un deux faces... indus !!

La cc... on va te reprocher que la dent pouvait être reconstituée durablement par un compo.

Si tu fais un compo sans couronner et que la dent se fracture, on te reprochera de pas avoir fait la couronne...


Hok 1b hgd3rj - Eugenol
Hokusai

14/03/2016 à 22h10

chicot29 écrivait:
------------------

> Ou laisser une pellicule de merde et un amalgame au pouce ? -)


Je me demande si c'est pas la solution de facilité, en plus ça "fidélise" comme tu dis...


Vw campersurfvan bmnk1q - Eugenol
enlaye

14/03/2016 à 22h17

Hokusai écrivait:
-----------------
" Quoi que l'on fasse, on peut nous le reprocher...
Tu dévitalises une dent sans pulpite irréversible -> fallait faire un coiffage direct, tu l'as pas proposé au patient, t'es en tort...
Tu veux faire un ancrage radiculaire -> il est non indiqué, fallait faire un deux faces... indus !!
La cc... on va te reprocher que la dent pouvait être reconstituée durablement par un compo.
Si tu fais un compo sans couronner et que la dent se fracture, on te reprochera de pas avoir fait la couronne... "


finalement ,on nous reproche d'etre dentiste :-)))


Hok 1b hgd3rj - Eugenol
Hokusai

14/03/2016 à 22h23

chicot29 écrivait:
------------------

> Pas moi ic 367 euros, ceram 320 euros. -)

Ça va bientôt plus marcher ta technique... les mutuelles plafonnent de plus en plus le remboursement des inlay-core.


Capture d  cran 2015 03 12 12.28 - Eugenol
chicot29

14/03/2016 à 23h49

Hokusai écrivait:
-----------------

> Tu dévitalises une dent sans pulpite irréversible -> fallait faire un coiffage
> direct, tu l'as pas proposé au patient, t'es en tort...
>

Tss tss, on est dans le cas 2. -)

"Le traitement endodontique est indiqué dans les situations suivantes :
1- Pulpite irréversible ou pulpe nécrosée avec ou sans signes cliniques et/ou
radiographiques de parodontite apicale ;
2- Pulpe vivante dans les situations cliniques suivantes : pronostic défavorable de la
vitalité pulpaire, probabilité élevée d’exposition pulpaire au cours de la restauration
coronaire n’autorisant pas le coiffage direct, amputation radiculaire ou hémisection. "

http://www.has-sante.fr/portail/upload/docs/application/pdf/2009-01/texte_court_traitement_endodontique.pdf


Capture d  cran 2015 03 12 12.28 - Eugenol
chicot29

14/03/2016 à 23h52

Hokusai écrivait:
-----------------
> chicot29 écrivait:
> ------------------
>
> > Pas moi ic 367 euros, ceram 320 euros. -)
>
> Ça va bientôt plus marcher ta technique... les mutuelles plafonnent de plus en
> plus le remboursement des inlay-core.

Je sais, les soins prothétiques. De la prothèse remboursée comme un soin opposable à 100 %. -)
Mais c'est loin d'etre la majorité.
Si encore ces abrutis remboursaient les onlays on pourrait les tester. -)
Ils font comment à a fac il petent le sachet de MTA à 120 euros gratos en cas d'effraction pulpaire ?
Déjà connaissent ils le MTA ? -)


Index vakr2r - Eugenol
pgc

15/03/2016 à 00h18

Hanibalecter écrivait:
----------------------
> Du coup endo+taille+empreinte pour demander IC et couronne, ca peut se faire ?

Yep. Avec un bon coup d'oeil, un bon coup de main et un excellent prothésiste, ça se fait très bien.
Si c'est un peu léger pour au moins un des trois critères, rajoute quelques étapes intermédiaires. C'est parfois difficile d'avoir une très bonne empreinte à la fois pour la CR et pour l'IC.

> Vous savez à l'avance (avant l'endo, juste avec la radio pré op) si vous allez
> partir sur un IC ou un compo+ancrage ?

Oui. Au moins 9 fois sur 10.


Vw campersurfvan bmnk1q - Eugenol
enlaye

15/03/2016 à 08h39


- Hanibalecter écrivait:
Du coup endo+taille+empreinte pour demander IC et couronne, ca peut se faire ?

- pgc répondait :
Yep. Avec un bon coup d'oeil, un bon coup de main et un excellent prothésiste, ça se fait très bien.

ts ts , pgc ,tu oublies de dire que ça fait quand meme beaucoup de conditions qui sont le fruit d'une haute experience quand meme :-))
à ne pas mettre entre toutes les mains !
.


Capture d  cran 2015 03 12 12.28 - Eugenol
chicot29

15/03/2016 à 09h35

enlaye écrivait:
----------------
> Hokusai écrivait:
> -----------------
> " Quoi que l'on fasse, on peut nous le reprocher...
> Tu dévitalises une dent sans pulpite irréversible -> fallait faire un coiffage
> direct, tu l'as pas proposé au patient, t'es en tort...
> Tu veux faire un ancrage radiculaire -> il est non indiqué, fallait faire un
> deux faces... indus !!
> La cc... on va te reprocher que la dent pouvait être reconstituée durablement
> par un compo.
> Si tu fais un compo sans couronner et que la dent se fracture, on te reprochera
> de pas avoir fait la couronne... "
>
>
> finalement ,on nous reproche d'etre dentiste :-)))

Il faut faire l'acte le moins délabrant. Hors les actes les moins délabrants sont ceux qui sont peu ou pas pris en charge par les assureurs ou à un tarif opposable de merde.

C'est très très vicieux comme système car c'est le dentiste conseil de l'assurance qui est juge et partie.
Donc si tu veux respecter ce principe le patient est le principal financeur et donc se fait arnaquer par les assureurs qui remboursent que dalle. Sauf pour les soins opposables mais là c'est le dentiste qui finance. -)


Index vakr2r - Eugenol
pgc

15/03/2016 à 09h48

enlaye écrivait:
----------------
...
> ts ts , pgc ,tu oublies de dire que ça fait quand meme beaucoup de conditions
> qui sont le fruit d'une haute experience quand meme :-))
> à ne pas mettre entre toutes les mains !
> .

Oui oui. Je dis: c'est possible, sous condition. Sinon, à faire en plusieurs fois.


Hok 1b hgd3rj - Eugenol
Hokusai

15/03/2016 à 09h54

chicot29 écrivait:
------------------
> Sauf pour les
> soins opposables mais là c'est le dentiste qui finance. -)

Il faut faire TR sous digue + lime NiTi usage unique...
2 radios... (sur lesquelles le bénéfice est nul)
+ compo 2 faces stratifié sous digue... avec compo/adhésif allemand ou japonais... système matrice moderne (t'en as déjà pour 30€ de matos...) en 1h...
81.94+11.97+33.74= 127,65€ d'honoraire pour minimum 130€ de charge...
Si tu te débrouilles bien, tu peux ne pas perdre d'argent à travailler !!


Capture d  cran 2015 03 12 12.28 - Eugenol
chicot29

15/03/2016 à 11h11

illustration RTE 14 ( arthrite infectieuse pas visible radio) taille empreinte dans la séance ( ic provisoire) 1H.

Capture d e cran 2016 03 15 10.07 - Eugenol

Capture d  cran 2015 03 12 12.28 - Eugenol
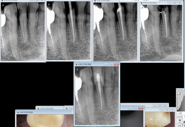
chicot29

17/03/2016 à 12h18

42, endo taille empreinte provisoire 1H.

Je "fidélise" la 43. Trop chiante à soigner pour un tarif de merde. -)

Capture d e cran 2016 03 17 11.17 - Eugenol
Capture d e cran 2016 03 17 11.15 - Eugenol

Capture d  cran 2015 03 12 12.28 - Eugenol
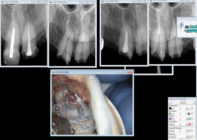
chicot29

22/03/2016 à 16h32

Mouhaha pour une fois que je ne faisais pas de RTE le cone de gutta apical est resté dans l'empreinte ( injectée au lentulo) sur cette 11. -))))

Capture d e cran 2016 03 22 15.28 - Eugenol

Capture d  cran 2015 03 12 12.28 - Eugenol
chicot29

22/03/2016 à 18h15

Mais ca marche aussi pour les SC 33. -)))

J'aime bien le sc 33 mais quand je ne peux pas faire d'inlay core. -))))

je risque un indu car je sors de l'indication du SC33 ? -))))

1H TTC. -)))

Capture d e cran 2016 03 22 17.11 - Eugenol
Capture d e cran 2016 03 22 17.13 - Eugenol

Hok 1b hgd3rj - Eugenol
Hokusai

22/03/2016 à 18h20

chicot29 écrivait:
------------------
> Mouhaha pour une fois que je ne faisais pas de RTE le cone de gutta apical est
> resté dans l'empreinte ( injectée au lentulo) sur cette 11. -))))

Tu ne mets pas de tuteur dans le silicone ? Tu injectes juste le light dans le logement ??


Capture d  cran 2015 03 12 12.28 - Eugenol
chicot29

22/03/2016 à 19h09

Ouais je fais ca quand le puits est énorme.


Hok 1b hgd3rj - Eugenol
Hokusai

22/03/2016 à 19h29

chicot29 écrivait:
------------------
> Ouais je fais ca quand le puits est énorme.

merci.