Cookie Consent byPrivacyPolicies.comImplants angulés. protocole sûr - Eugenol

Implants angulés. protocole sûr

Zurg

15/03/2016 à 19h30

Quelle technique de pose fiable utilisez vous?( choix de la bonne angulation pour longer le sinus, quels points de repére pour faire le forage etc..)


Photo pluton1b h9n4ea - Eugenol
pluton

16/03/2016 à 12h06

tu n'as pas 10000 solutions...

1/ tu fores un peu...radio...tu vas un peu plus loin, radio, etc...efficace, pas cher, mais très chronophage

2/ guide chir après scan. tu poses le guide, tu fores, tu places l'implant. plus onéreux mais pas encore insurmontable

3/ geek solution: la chir 3D temps réel, avec au choix robodent, iris ou pilot...bien plus cher, mais çà sert aussi pour toutes les autres interventions...;-)
perso j'ai fait mon choix: le système pilot, plus complet, plus ouvert, plus évolutif...et cerise sur le gâteau, moins cher que ses concurrents...


G-P

16/03/2016 à 12h57

Tu utilises tes sens cliniques : ta vue et ton toucher.
La vue pour l'angulation en fonction de ta planification.
Le toucher car le plancher sinusien est (sauf exception) une corticale très dure et on la sent très nettement au forage.

Un guide chir pour un implant postérieur unitaire c'est vraiment foutre de l'argent par les fenêtres, amha.


Zurg

16/03/2016 à 19h37

Quel recul avez vous pour cette technique?


S2y2o1v7q53ws4r5wy6ou8czrpom - Eugenol
pxav

16/03/2016 à 22h55

G-P écrivait:
-------------
> Tu utilises tes sens cliniques : ta vue et ton toucher.
> La vue pour l'angulation en fonction de ta planification.
> Le toucher car le plancher sinusien est (sauf exception) une corticale très dure
> et on la sent très nettement au forage.
>
> Un guide chir pour un implant postérieur unitaire c'est vraiment foutre de
> l'argent par les fenêtres, amha.

et tu peux te considérer éventuellement comme un chirurgien dentiste qui a apprit à se servir de ses mains...comme tout travailleur manuel (un manuel est un intellectuel qui sais se servir de ses mains)et semble t il d'après certains un être en voie de disparition...un jour nous n'existerons plus, irobot je t'attends.

franchement 30 000€ pour visser un implant (si possible low cost)en parallèle au sinus (alors qu'il est si simple de faire un sinus lift.... nous ne sommes pas sur la même planète.

--
xbk
"Si tous ceux qui croient avoir raison n'avaient pas tort, la vérité ne serait pas loin" Dac Pierre


Photo pluton1b h9n4ea - Eugenol
pluton

17/03/2016 à 01h44

pxav écrivait:
--------------

> et tu peux te considérer éventuellement comme un chirurgien dentiste qui a
> apprit à se servir de ses mains...comme tout travailleur manuel (un manuel est
> un intellectuel qui sais se servir de ses mains)et semble t il d'après certains
> un être en voie de disparition...un jour nous n'existerons plus, irobot je
> t'attends.
>
> franchement 30 000€ pour visser un implant (si possible low cost)en parallèle au
> sinus (alors qu'il est si simple de faire un sinus lift.... nous ne sommes pas
> sur la même planète.

pxav, je n'ai jamais renié le sens clinique, c'est une base fondamentale qu'aucune machine n'est capable (pour l'instant) d'égaler
je suis d'accord sur un point: un chirurgien est un travailleur manuel qui sais se servir de ses mains et de son cerveau que personnellement j'utilise aussi pour exploiter ce que la technologie permet de faire maintenant et me met à disposition
un chirurgien n'est qu'un homme, et nous ne sommes que des êtres faillibles, que seule l'expérience minimise...une machine se programme et ne fait pas d'erreur si elle est correctement programmée
c'est un "garde fou" merveilleux car elle me dit si je "sors des clous" si je m'éloigne trop des tolérances me permettant de mener à bien mon intervention
la combinaison expérience/technologie est une véritable synergie et JE trouve dommage de s'en priver, reste le coût, mais c'est comme tout, une question de priorité, tu voyais peut être l'intérêt de casser ta tirelire pour ton premier PC ou MAC, voir téléphone "portable" (dans une valise) de l'époque, mais pas dans une machine comme çà, c'est ton avis, peut être pas celui des autres...

on dit de ceux qui n'avancent pas qu'ils reculent...
moi, j'ai fait le choix d'avancer...et, au passage, le prix de l'implant est totalement hors sujet dans ce post...on parle de sinus, mais çà pourrait très bien être aussi le NDI, un canal palatin volumineux une artère palatine postérieure, etc...
mais tu es tellement fort que tu les "sens" avec tes mains?
c'est con, la technologie, elle, les voit, et tu rigoleras moins lorsque tu auras pris la peine de te renseigner sur ce qui se fait en chir avec les systèmes de localisation des émergences nerveuses qui arriveront (très bientôt...si, si) et équiperont ce genre de machine


S2y2o1v7q53ws4r5wy6ou8czrpom - Eugenol
pxav

17/03/2016 à 09h24

pluton écrivait:
----------------
.
>
> on dit de ceux qui n'avancent pas qu'ils reculent...
> moi, j'ai fait le choix d'avancer...et, au passage, le prix de l'implant est
> totalement hors sujet dans ce post...on parle de sinus, mais çà pourrait très
> bien être aussi le NDI, un canal palatin volumineux une artère palatine
> postérieure, etc...
> mais tu es tellement fort que tu les "sens" avec tes mains?
> c'est con, la technologie, elle, les voit, et tu rigoleras moins lorsque tu
> auras pris la peine de te renseigner sur ce qui se fait en chir avec les
> systèmes de localisation des émergences nerveuses qui arriveront (très
> bientôt...si, si) et équiperont ce genre de machine

nous sommes d'accord, il est important d'avancer, mais encore faut il savoir pourquoi on avance.
Si je pars en vacances au ski, avec ma famille, je suis éventuellement content d'avoir une voiture avec ESP, ABS, blablabla etc...mais si j'ai envie de me faire plaisir je préfère, et de loin une automobile à l'ancienne qui me mette devant mes responsabilités de conducteur.

Pour l'informatique j'ai effectivement participé à la création du 'programme pour cabinet dentaire' avec l'ADF en 1980...et quand tu vois ce qu'il en reste , je suis persuadé qu'il faut savoir avancer ... avec prudence et réflexion.

Que la chirurgie évolue, vers la robotisation c'est quasiment certain, mais il y a encore du temps avant que ça soit abouti avec un rapport qualité/prix correct, et tout ceci sans doute grâce à des professionnels de ta qualité et ayant tes compétences, et ton sens inné de l'innovation.

Tu laisseras sans doute ton nom dans l'histoire et je t'en félicite.
Si mon nom est personne, ça ne me dérange pas, et je continu de croire que le mieux pour les patients c'est de garder leurs dents, malgré mes plus de 30 ans d'implanto...
et que si ils leurs faut des implants, ça fasse, pour le moment, appel au sens clinique de leurs praticiens.

Pour info dans les cas "hot", je fais imprimer en 3D le maxillaire des patients (pou 25€) et je m'entraine à blanc pour être sur des axes....mais ça c'est déjà ringard je suppose.



--
xbk
"Si tous ceux qui croient avoir raison n'avaient pas tort, la vérité ne serait pas loin" Dac Pierre


Photo pluton1b h9n4ea - Eugenol
pluton

17/03/2016 à 09h49

pxav écrivait:
--------------

> nous sommes d'accord, il est important d'avancer, mais encore faut il savoir
> pourquoi on avance.
> Si je pars en vacances au ski, avec ma famille, je suis éventuellement content
> d'avoir une voiture avec ESP, ABS, blablabla etc...mais si j'ai envie de me
> faire plaisir je préfère, et de loin une automobile à l'ancienne qui me mette
> devant mes responsabilités de conducteur.

c'est sans compter sur le fait que maintenant un appui sur une touche peut tout désactiver...;-)

>
> Pour l'informatique j'ai effectivement participé à la création du 'programme
> pour cabinet dentaire' avec l'ADF en 1980...et quand tu vois ce qu'il en reste ,
> je suis persuadé qu'il faut savoir avancer ... avec prudence et réflexion.

on est bien d'accord, et je conserve toujours mon sens clinique en éveil...

> Que la chirurgie évolue, vers la robotisation c'est quasiment certain, mais il y
> a encore du temps avant que ça soit abouti avec un rapport qualité/prix correct,
> et tout ceci sans doute grâce à des professionnels de ta qualité et ayant tes
> compétences, et ton sens inné de l'innovation.

c'est quoi pour toi un rapport qualité prix correct pour ce genre de chose?

> Tu laisseras sans doute ton nom dans l'histoire et je t'en félicite.

alors çà je m'en fout comme de mon 1er slip...

> Si mon nom est personne, ça ne me dérange pas, et je continu de croire que le
> mieux pour les patients c'est de garder leurs dents, malgré mes plus de 30 ans
> d'implanto...

moi aussi, c'est aussi mon avis...


> Pour info dans les cas "hot", je fais imprimer en 3D le maxillaire des patients
> (pou 25€) et je m'entraine à blanc pour être sur des axes....mais ça c'est déjà
> ringard je suppose.

oui et non, car je le fais aussi mais pour seulement 2€ sur mon imprimante, cela dit de moins en moins...

la chose que je trouve dommage, pxav, c'est que tu condamnes un truc que tu ne connais pas
viens voir en vrai, c'est mieux pour pouvoir en parler sans raconter de bêtises
après on adhère ou non, çà n'est pas moi qui vais dicter tes priorités ou tes choix de "placer" 30k€


S2y2o1v7q53ws4r5wy6ou8czrpom - Eugenol
pxav

17/03/2016 à 12h20

pluton écrivait:
----------------

>
> c'est sans compter sur le fait que maintenant un appui sur une touche peut tout
> désactiver...;-)

oui enfin presque tout mais avec une brouette qui pèse mini 1400 kg voir plus...alors qu'une old school ne dépasse pas la tonne et souvent moins.
Et perso les grosses c'est pas mon truc...

Mais là on ne parle que de loisir/plaisir

--
xbk
"Si tous ceux qui croient avoir raison n'avaient pas tort, la vérité ne serait pas loin" Dac Pierre


Photo pluton1b h9n4ea - Eugenol
pluton

17/03/2016 à 14h22

oui, mais dans ce sujet on parle de chirurgie, pas de bagnoles


Bazaruto 2007 ircsez - Eugenol
jumpingjackflash

17/03/2016 à 16h43

ton obstination m'impressionne Pluton
les corses disent "on ne force pas un âne à boire" ils n'ont pas tort, moi je me contente de dire où est l'abreuvoire et je ne dis surtout pas que l'eau est bonne...


Utilisateur banni

19/03/2016 à 10h39

Zurg écrivait:
--------------
> choix de la bonne angulation pour longer le sinus,

L’angulation :
L’angulation de l’implant sera déterminée par l’axe du pilier utilisé et donc le point d’émergence de la vis pour la prothèse vissée ou le parallélisme du pilier pour du scellé. Plus le sinus est antérieur plus l’angulation sera importante, ceci pourra être modéré par la hauteur disponible entre le planché sinusien et l’hauteur crestale du maxillaire. En général les systèmes implantaire permettent plus d’angulation en transvisée par l’intermédiaire de multi-unit allant jusqu'à 30 ou 35°. En résumé selon l’anatomie et le systhème implantaire le col de l’implant peut se situer en position 4 à 6. Certain poseur peuvent perforer une partie du plancher sinusien pour trouver un appui cortical dans la zone canine.

La longueur :
La longueur sera variable selon l’anatomie, le moment où tu désire solliciter cet implant et les points d’ancrages antérieur de la prothèse.

Quel systhème implantaire utilises-tu ?

Quel type de reconstruction prothétique envisages-tu ?

Quel temps opératoire veux-tu utiliser pour la mise en charge des implants ?


Zurg

19/03/2016 à 10h57

En fait mon interrogation est : Comment longer le sinus en étant certain de ne pas le perforer.
Quels repères fiables puisje utiliser?
Les repères pris éventuellement sur le CBCT sont ils fiables et lesquels prendre?
Le point d'émergence du forage en 5-6 OK mais comment orienter mon foret en toute sécurité?
Car sans cela cette technique des implants angulés me semble bien empirique non?


Zurg

19/03/2016 à 11h06

Pas de MCI, je pense faire un bridge complet transvissé


S2y2o1v7q53ws4r5wy6ou8czrpom - Eugenol
pxav

19/03/2016 à 12h00

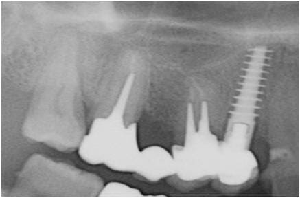
étude du scan et plutôt que les forets, ostéotomes (manuels, impactés) et ou spreader (messinger, MIS, ou autres) la corticale du sinus se sens en général et tu pourras la longer sans effraction (encore que dans ce cas, ça s’appelle un Summers et ça marche fort bien.

exemple un D2 Tatum posé en 90 (à l'époque pas de scann...donc reflexion sur le pano et visualisation 3 D dans la tête...surtout dans celle du patient.
la photo est de 2012


--
xbk
"Si tous ceux qui croient avoir raison n'avaient pas tort, la vérité ne serait pas loin" Dac Pierre

Image2 pb7wek - Eugenol
Image1 oi5pho - Eugenol

Images 1 vwmtnm - Eugenol
Castor

19/03/2016 à 12h25

Moi je regarde où je veux que mon implant émerge. Généralement en position de la 5.
Puis je perfore latéralement la corticale vestibulaire du sinus et avec une sonde Nabers je cherche la paroi antérieure du sinus, je mesure et je me place à 2 mm antérieurement. Je trace sur l'os une ligne reliant ces 2 points et j'adapte l'angulation pour mes 30 degrés.
Si tu veux etre sur de tes 30 degrés les fabriquants d'implants vendent des guides pour tracer.


Images 1 vwmtnm - Eugenol
Castor

19/03/2016 à 12h26

Zurg écrivait:
--------------
> Pas de MCI, je pense faire un bridge complet transvissé
Comment compte tu temporiser ton implant angulé?


Zurg

19/03/2016 à 13h29

Ben avec une vis ou un capuchon sur mon pilier angulé.....je comprends pas bien la question


Images 1 vwmtnm - Eugenol
Castor

19/03/2016 à 19h25

ok ok pas de problème mais fais gaffe à la prothèse dessus pendant la temporisation....


Generique fraisage r2rxmm - Eugenol
lardonbis

21/03/2016 à 11h15

question de débutant : pourquoi anguler pour eviter un sinus ?
Dans la majorité des cas si on peut passer en angulant dans le sens mésio-distal c'est qu'on à assez d'os pour une impaction non?
Dans le sens véstibulo-lingual on décolle bien au palais et on longue la corticale, difficile de se planter.


Utilisateur banni

21/03/2016 à 17h39

Zurg écrivait:
--------------
> Ben avec une vis ou un capuchon sur mon pilier angulé.....je comprends pas bien
> la question

Généralement la vis de couverture se place sur l'implant pour éviter les pressions de la PCA provisoire en mise en charge différée.


Zurg

21/03/2016 à 19h30

Même si tu évides bien la PAT au niveau des vis de cicat?


Utilisateur banni

21/03/2016 à 20h08

si tu recherches un protocole sûr les vis de cicac + la hauteur du multi-unit pendant la phase d'ostéointégration sous une PCA ne me semble pas une solution adaptée.


Utilisateur banni

31/03/2016 à 14h58

Comparaison de l'implantologie à main levée versus l'implantologie guidée :
Auteur : Dr Jacques Vermulen
"Nous avons voulu vérifier !
Et comme nous le supposions, quel que soit l’expérience de l’opérateur, la pose à main levée ou avec des aides visuelles telles que des gouttières estampées, n’apporte pas la précision que l’on obtient avec un guide de chirurgie.
Le guide de chirurgie est indispensable si l’on veut placer des implants planifiés dans la position spatiale exacte de la planification pré opératoire.
Nous avons mené une expérimentation sur têtes fantômes sur plusieurs cas cliniques et avons demandé à 10 praticiens expérimentés de participer à ce test.
Tous les praticiens sélectionnés avaient plus de 10 ans de pratique de l’implantologie avec entre 300 et 1000 implants par an.
Ils ont accepté de poser à main levée dans un premier geste et de poser ensuite par guidage des implants Anthogyr Axiom Regular.
Les modèles ainsi implantés avec des implants Axiom Regular ont été mesurés par imagerie 3D Planméca ProMax.
Ils ont ensuite été comparés par superposition à la planification initiale.

Conclusion:

Le guide de chirurgie est à la chirurgie ce que l’ABS est à l’automobile: la garantie de s’arrêter avant l’obstacle et de garder la bonne trajectoire !"

Revus LS 69 2016


Utilisateur banni

01/04/2016 à 09h20

"Quel sont les freins à la chirurgie guidée ?
Nous en analysons plusieurs:
1/ un problème de coût….! tout les autres arguments sont mineurs..! soyons assez objectifs et honnêtes pour se l’avouer."
Dr Jacques VERMULEN


12...