Cookie Consent byPrivacyPolicies.comImplants angulés. protocole sûr - Eugenol

Implants angulés. protocole sûr

S2y2o1v7q53ws4r5wy6ou8czrpom - Eugenol
pxav

03/04/2016 à 13h31


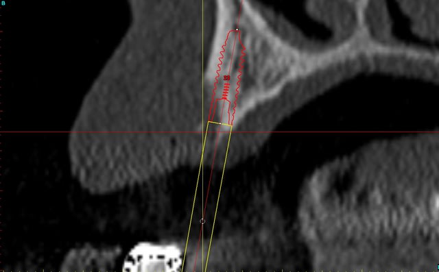
Je ne mets pas en cause tes guides Alain... mais dans le dernier cas que tu présente, je constate que le guide à conduit le dentiste a poser les antérieurs très palatin donc à avoir une prothèse que je qualifierais de "largement dimensionnées dans le sens palatino vestibulaire".

Ceci est une obligation avec le guide puisqu'il faut "planter" là où il y a de l'os.

Hors, une simple expansion par exemple (ou ROG ou greffe d'apposition) aurait permis de poser les implants antérieur dans l'axe de la prothèse et non pas de faire une prothèse fonction de l'axe des implants...

de même avec un système guidé, le fut il par satellites.

Pour le moment je reste persuadé que le sens clinique est souvent plus important que le reste .

Les implants doivent être posés fonction de la future prothèse et pas l'inverse.

Après que l'on se serve de guide ou d'autres système pour compenser un manque de préparation en amont (wax up, prévision de la réfection de la bouche complète pour obtenir un bon équilibre je le conçois, mais ça ne me fais pas rêver, même si je suis conscient qu'en simplifiant les procédures je gagnerais plus d'argent.


--
xbk
"Si tous ceux qui croient avoir raison n'avaient pas tort, la vérité ne serait pas loin" Dac Pierre


Utilisateur banni

03/04/2016 à 13h51

pxav écrivait:
--------------

> Ceci est une obligation avec le guide puisqu'il faut "planter" là où il y a de
> l'os.

Pas du tout Xavier, c’est le choix du praticien de ne pas faire d’expansion. J’ai montré d’autres cas d’expansion où tu emmènes le volume osseux où tu l’as prévu comme l’a enseigné TATUM. Mes guides ne sont pas fermés et le forage ne se fait pas à l’aveugle. De plus c’est un provisoire immédiat avec armature métal, pour la prothèse d’usage la partie palatine sera nettement réduite.
La conception artisanale à l’instar de la haute couture permet de calquer au plus pré des demandes du client.


S2y2o1v7q53ws4r5wy6ou8czrpom - Eugenol
pxav

03/04/2016 à 14h24

si ton guide n'est pas fermé, comme tu le dis, dans un cas d'expansion avec déplacement de l'os pour retrouver un axe correcte, il sers uniquement pour le positionnement disto vestibulaire, donc pas indispensable et encore moins le système GPS.

exemple perso, pour la canine, je suis persuadé qu'un guide aurait entrainé un positionnement différent de l'implant(palatin).


je vais arrêter là, je pense, car je n'ai pas d'autres arguments et pas envie de polémiquer .

--
xbk
"Si tous ceux qui croient avoir raison n'avaient pas tort, la vérité ne serait pas loin" Dac Pierre

2010 05 28 0283w ljyv1o - Eugenol
Chat 23 pjahwg - Eugenol
2010 05 28 0479w zbtot9 - Eugenol
Implants axioms 23  24 3 - Eugenol
2010 10 28 0391 fkeecw - Eugenol

Utilisateur banni

03/04/2016 à 15h57

Le sujet étant un protocole sur pour longer les sinus et non l expansion osseuse il me semble plus raisonnable que t en reste là.


S2y2o1v7q53ws4r5wy6ou8czrpom - Eugenol
pxav

03/04/2016 à 16h17

posit écrivait:
---------------
> Le sujet étant un protocole sur pour longer les sinus et non l expansion
> osseuse il me semble plus raisonnable que t en reste là.

non que soit les sinus où autre anatomie, le principe est toujours le même, de plus, sauf erreur le titre est:
Implants angulés. protocole sûr ....

Donc ma démonstration qu'un guide "ne fait que guider" et ne permet pas de modifier la structure de l'os, me semble pertinente.

bla bla bla....
--
xbk
"Si tous ceux qui croient avoir raison n'avaient pas tort, la vérité ne serait pas loin" Dac Pierre


G-P

03/04/2016 à 18h10

PopHip écrivait:
----------------
Je suis plutôt enclin à toujours
> utiliser un guide, même dans les cas simples, et être ainsi certain d'avoir un
> implant impeccable.

Quel type de guide utilises-tu ? Quel est son coût ?


PopHip

03/04/2016 à 22h48

J'utilise le MGuide ( http://www.mis-implants.com/Products/Digital-Dentistry/MGUIDE.aspx -

) qui utilise les guides de Smop ( http://www.mysmop.com ).

MIS les imprime à l'unité à 300€, peu importe le nombre de canons de forage. Une jeune boîte française les fait également au même prix et descend à moins de 250€ au volume, mais je ne me souviens plus du nom. MIS réduit fortement le coût aussi avec un marché d'implants (à partir de 20 + 5 guides), c'est vraiment intéressant. Sinon beaucoup de labos de prothèse suisses et allemands sont également revendeurs. Le plus intéressant c'est surtout le coût du soft qui est nul chez certains, en abonnement annuel tres modique chez d'autres. Alors que chez simplant, nobel ou straumann il faut débourser 4000 à 8000€ je crois + maintenance annuelle près de 1000€ (hors trousse chirurgicale bien sûr, je ne parle que du logiciel). Bien sûr ca n'a pas toutes les fonctions de simplant (et quelques unes me manquent parfois), mais ça ne m'a pas empêché de faire tous les cas possibles.


S2y2o1v7q53ws4r5wy6ou8czrpom - Eugenol
pxav

03/04/2016 à 23h02

c'est clair qu'avec des prix comme ça, on peut réfléchir, le rapport prix / service devient intéressant.

Et de plus si le système devient "ouvert" il est possible que je passe le pas...un jour.

--
xbk
"Si tous ceux qui croient avoir raison n'avaient pas tort, la vérité ne serait pas loin" Dac Pierre


G-P

03/04/2016 à 23h06

Merci PopHip. Ce guide est-il stérilisable (en autoclave)?


PopHip

03/04/2016 à 23h21

G-P écrivait:
-------------
> Merci PopHip. Ce guide est-il stérilisable (en autoclave)?

Non. Chlorhexidine 10 minutes. Ou betadine. Choose your weapon.


PopHip

03/04/2016 à 23h33

pxav écrivait:
--------------
> c'est clair qu'avec des prix comme ça, on peut réfléchir, le rapport prix /
> service devient intéressant.
>
> Et de plus si le système devient "ouvert" il est possible que je passe le
> pas...un jour.

C'est assez open comme soft, tout est question de licence. Il n'est pas impossible que l'on puisse dans un futur très proche imprimer soit-même les guides réalisés. Et c'est compatible avec toutes les trousses de chir guidée (la trousse est sélectionnée automatiquement en choisissant l'implant).


Photo pluton1b h9n4ea - Eugenol
pluton

04/04/2016 à 00h58

et tu systématises pour toutes les poses pophip?

comme quoi, pxav, on ne voit pas forcément les choses de la même manière, tu trouves le guide plastique à 300€ abordable, moi je trouve çà assez cher...

en systématisant (comme je le fais maintenant) 300€ x 60 (pour moi environ 70/80 interventions/an donc je tiens compte des pack 20+5) çà fait 18000€ par an
en même pas 2 ans, j'aurai donc amorti mon investissement avec le pilot

une petite remarque au passage, vous savez, Blue Sky Bio a fait un logiciel de plannif, pas mal du tout, gratuit et maintenant quasi aussi puissant qu'un Simplant et on peut commander des guides, à des tarifs bien plus abordables encore ainsi qu'exporter les fichiers stl pour une poignée de dollars (11$ pour être exact) pour pouvoir confier la réalisation au labo de son choix...

mais comme déjà dit, en fait le seul frein à la chirurgie guidée c'est son coût quelle que soit la solution adoptée


PopHip

04/04/2016 à 01h27

pluton écrivait:
----------------
> et tu systématises pour toutes les poses pophip?

Quasiment. Et je le regrette souvent lorsque je ne le fais pas.

> comme quoi, pxav, on ne voit pas forcément les choses de la même manière, tu
> trouves le guide plastique à 300€ abordable, moi je trouve çà assez cher...

Oui mais, sauf erreur et sans t'offenser, tu as décidé de ne pas poser des marques d'implant dites (ou auto-proclammées) premium . On n'a peut-être pas non plus les mêmes honoraires (ou tu peux ne pas te le permettre), et c'est difficile à ajouter à l'addition.

De toute façon, poser 1 implant unitaire n'a jamais été rentable. Par contre le poser en 10 minutes en flapless ça commence à être intéressant, et ça la chirurgie guidée permet de le faire de manière reproductible. Et quand il s'agit d'en poser 3, 5, 8... Franchement le cout importe peu.

> en systématisant (comme je le fais maintenant) 300€ x 60 (pour moi environ 70/80
> interventions/an donc je tiens compte des pack 20+5) çà fait 18000€ par an
> en même pas 2 ans, j'aurai donc amorti mon investissement avec le pilot

Avec ce raisonnement tu peux aussi amortir une imprimante 3D à $15k comme BlueSkyBio fait en ce moment la promotion. Attention encore: 300€ c'est le prix de base. Au volume on descend bien.

> une petite remarque au passage, vous savez, Blue Sky Bio a fait un logiciel de
> plannif, pas mal du tout, gratuit et maintenant quasi aussi puissant qu'un
> Simplant et on peut commander des guides, à des tarifs bien plus abordables
> encore ainsi qu'exporter les fichiers stl pour une poignée de dollars (11$ pour
> être exact) pour pouvoir confier la réalisation au labo de son choix...

Ouiiii et le logiciel s'améliore de plus en plus ! C'est une superbe solution, mais je garde un faible pour Smop pour leur design extrêmement light: excellente visibilité et refroidissement des osteotomies en théorie meilleures qu'avec un guide plein.

> mais comme déjà dit, en fait le seul frein à la chirurgie guidée c'est son coût
> quelle que soit la solution adoptée

Et encore une fois, il y a tellement de choses qui coûtent cher en implanto que cet argument me semble inapproprié. La marque et le type d'implant, la fabrication du pilier, le matériau d'empreinte, le fil de suture, le renouvellement de forêts... tout peut conditionner le résultat à court et long terme. Le guide chirurgical est un moyen fiable de poser les implants dans une position normalement proche de la perfection puisque l'on part du projet prothétique.


Photo pluton1b h9n4ea - Eugenol
pluton

04/04/2016 à 01h48

PopHip écrivait:
----------------

> Oui mais, sauf erreur et sans t'offenser, tu as décidé de ne pas poser des
> marques d'implant dites (ou auto-proclammées) premium . On n'a peut-être pas non
> plus les mêmes honoraires (ou tu peux ne pas te le permettre), et c'est
> difficile à ajouter à l'addition.

tu es dans l'erreur, si si...je pose aussi des premiums
je reste par contre assez "doux" question tarifs pour mes patients...

>
> De toute façon, poser 1 implant unitaire n'a jamais été rentable. Par contre le
> poser en 10 minutes en flapless ça commence à être intéressant, et ça la
> chirurgie guidée permet de le faire de manière reproductible. Et quand il s'agit
> d'en poser 3, 5, 8... Franchement le cout importe peu.

on est bien d'accord là dessus...

> Avec ce raisonnement tu peux aussi amortir une imprimante 3D à $15k comme
> BlueSkyBio fait en ce moment la promotion. Attention encore: 300€ c'est le prix
> de base. Au volume on descend bien.

voilà pourquoi j'avais intégré les pack 20+5 dont tu parlais sinon 300x80 çà fait quasi le prix du pilot sur un an...

> Ouiiii et le logiciel s'améliore de plus en plus ! C'est une superbe solution,
> mais je garde un faible pour Smop pour leur design extrêmement light: excellente
> visibilité et refroidissement des osteotomies en théorie meilleures qu'avec un
> guide plein.

çà je suis bien d'accord, voilà , entre autre, pourquoi qu'ai une sainte horreur généralement des guides tout plastique...

>
> > mais comme déjà dit, en fait le seul frein à la chirurgie guidée c'est son
> coût
> > quelle que soit la solution adoptée
>
> Et encore une fois, il y a tellement de choses qui coûtent cher en implanto que
> cet argument me semble inapproprié. La marque et le type d'implant, la
> fabrication du pilier, le matériau d'empreinte, le fil de suture, le
> renouvellement de forêts... tout peut conditionner le résultat à court et long
> terme. Le guide chirurgical est un moyen fiable de poser les implants dans une
> position normalement proche de la perfection puisque l'on part du projet
> prothétique.

non, je ne pense pas que çà soit inapproprié...c'est une évidence car la chirurgie guidée a un coût pour l'instant non négligeable, même intégrée dans un plan de ttm


PopHip

04/04/2016 à 02h02

pluton écrivait:
----------------

> tu es dans l'erreur, si si...je pose aussi des premiums
> je reste par contre assez "doux" question tarifs pour mes patients...

Ok. Excusations.

> non, je ne pense pas que çà soit inapproprié...c'est une évidence car la
> chirurgie guidée a un coût pour l'instant non négligeable, même intégrée dans un
> plan de ttm

Tout coute cher quand on souhaite bien faire les choses.
L'endo coûte cher quand on choisit de faire ça au microscope, n'utiliser ses limes qu'une fois, obturer au guttacore...
La prothèse coûte cher quand on fait ça aux polyethers, qu'on fait de la photo, du ditramax, quand on travaille avec un labo qui va faire ta céram en la tenant comme une mariée...

Bref, l'implanto c'est comme le reste. C'est certes moins rentable que dans un cabinet de l'Upper East Side ou quand on fait de l'abattage façon centre 1901, mais quel plaisir ! Et puis, on dort (normalement) sur ses 2 oreilles.


Photo pluton1b h9n4ea - Eugenol
pluton

04/04/2016 à 02h16

on est d'accord sur toute la ligne...;-)


S2y2o1v7q53ws4r5wy6ou8czrpom - Eugenol
pxav

04/04/2016 à 10h11

PopHip écrivait:
----------------
Bref, l'implanto c'est comme le reste. C'est certes moins rentable que dans un cabinet de l'Upper East Side ou quand on fait de l'abattage façon centre 1901, mais quel plaisir ! Et puis, on dort (normalement) sur ses 2 oreilles.

Enfin un confrère qui raisonne plaisir et non pognon....putain que ça fait plaisir ...merci PopHip!

juste une petite remarque, tu as pris l'habitude des guides et ça te permets d’être reproductible, ce qui est très bien dans ton cas.

J'ai pris l'habitude de fonctionner sans guide, (au départ ça n'existait pas) et dans le post :

http://www.eugenol.com/sujets/413298-conservation-ou-on-rase-et-mci?page=2#post_866271

les 18 implants sont posés en flapless, ce qui ne fait pas de moi un cador, mais montre simplement qu'avec une préparation minutieuse c'est aussi possible.

Et tout comme toi, ceci est fait avec la banane, planteur de dents, c'est un vrai plaisir.


--
xbk
"Si tous ceux qui croient avoir raison n'avaient pas tort, la vérité ne serait pas loin" Dac Pierre


ptitjeune

04/04/2016 à 10h57

PopHip écrivait:
----------------
>
>
> De toute façon, poser 1 implant unitaire n'a jamais été rentable.


envoie les moi tous , histoire que tu ne perdes pas trop d'argent


PopHip

04/04/2016 à 11h26

Chapeau. Mais le flapless sans guide, je sais pas faire sans augmenter mon rythme cardiaque. Pourquoi prendre un risque ? 😜


S2y2o1v7q53ws4r5wy6ou8czrpom - Eugenol
pxav

04/04/2016 à 11h52

non, pas plus de risque qu'avec un guide, c'est ce que je veux dire, tu as l'habitude des guide, moi pas du tout donc j'ai l'habitude de sentir ce qui se passe à l’intérieur ... comme en endo, petite précision utile, je ne me sers pas des forets en flapless mais des spreaders Meissinger qui ne coupent et permettent de "sentir" là où tu est.

--
xbk
"Si tous ceux qui croient avoir raison n'avaient pas tort, la vérité ne serait pas loin" Dac Pierre


Photo pluton1b h9n4ea - Eugenol
pluton

04/04/2016 à 15h17

pxav écrivait:
--------------

> Enfin un confrère qui raisonne plaisir et non pognon....putain que ça fait
> plaisir ...merci PopHip!

on peut parler plaisir en gardant à l'esprit l'aspect comptable pxav, l'un n'empêche pas l'autre...

si tu ne regardes que l'aspect comptable, tu poses des implants AB dental à la kalachnikov acheté 30€ dans un centre type Dentexia, le tout payé d'avance...

si tu regardes bien, mon approche est comparable à celle de PopHip: poser le mieux possible mes implants avec sécurité, reproductibilité et respect du projet prothétique
la cerise sur le gâteau, c'est que çà me permet aussi d'avoir des chirurgies moins longues et surtout moins invasives pour les patients (bénéfique +++ pour les suites post op...)


S2y2o1v7q53ws4r5wy6ou8czrpom - Eugenol
pxav

04/04/2016 à 16h47

pluton écrivait:
----------------

>
> on peut parler plaisir en gardant à l'esprit l'aspect comptable pxav, l'un n'empêche pas l'autre...
>

Pour moi si, les plaisirs tarifés ne sont pas ma tasse de thé....

--
xbk
"Si tous ceux qui croient avoir raison n'avaient pas tort, la vérité ne serait pas loin" Dac Pierre


G-P

04/04/2016 à 18h44

pxav écrivait:
--------------
>
> Pour moi si, les plaisirs tarifés ne sont pas ma tasse de thé....
>

Tu devrais tester les GFE !


S2y2o1v7q53ws4r5wy6ou8czrpom - Eugenol
pxav

04/04/2016 à 20h30


je suppose que tu veux dire:
GFE — girlfriend experience

--
xbk
"Si tous ceux qui croient avoir raison n'avaient pas tort, la vérité ne serait pas loin" Dac Pierre


G-P

05/04/2016 à 11h25

pxav écrivait:
--------------
>
> je suppose que tu veux dire:
> GFE — girlfriend experience
>
> --

Tu m'as l'air de bien connaitre