Cookie Consent byPrivacyPolicies.comConservation ou on rase et MCI? - Eugenol
S2y2o1v7q53ws4r5wy6ou8czrpom - Eugenol
pxav

16/03/2016 à 19h39

85 ans biphosphonates....(oral), j'ai viré 4 pm qui tenaient un Bridge(45 à 35) et stellitte sur glissière qui avait 2 ans...

--
xbk
"Si tous ceux qui croient avoir raison n'avaient pas tort, la vérité ne serait pas loin" Dac Pierre

Jo pi 06.02 - Eugenol
Img 0435 o7wqdk - Eugenol

lachmar

17/03/2016 à 10h56


meme pas de discussion : tu vires , ou plutôt tu adresses

dès que tu as fait la consult/photo/radio tu es responsable

ceci dit une mec sous biphosphonates c'est rare ...


S2y2o1v7q53ws4r5wy6ou8czrpom - Eugenol
pxav

17/03/2016 à 11h19

vous êtes secs, je vire et ou j'adresse...mais à qui et pour quoi faire.
Heu je croyais qu'un chirurgien dentiste (docteur...) pouvait gérer ce genre de cas.

--
xbk
"Si tous ceux qui croient avoir raison n'avaient pas tort, la vérité ne serait pas loin" Dac Pierre


lachmar

17/03/2016 à 12h22



bien sur qu'on peut gerer ce genre de cas

à mon avis, compte tenu de l'état des incisives, elles doivent recevoir un traitement endo ...

or, compte tenu de la prise de BP les traitements endo ne me parraissent pas indiques

d'où la décision d'extractions

et comme les BP sont des nids à emmerde, je préfère adresser à un service de chir

ai je été moins sec ?

ma réponse n'avait pour but que de te donner un avis ... compte tenu du fait qu'il m'avait semblé que tu étais demandeur


Avatar transparent iqadnc - Eugenol
adhoc

17/03/2016 à 12h27

Pas compris ton fil, pxav, quelle est la question? :-)
EDIT ah oui, pardon, tout est dans le titre, MCI=mise en charge immédiate, merci google!


S2y2o1v7q53ws4r5wy6ou8czrpom - Eugenol
pxav

17/03/2016 à 13h02

ce n'est pas un cas où je cherches une solution mais un cas fini.
Le patient, viens de lui même, après avoir été suivi par plusieurs confrères qui devant son traitement (BP) lui ont formellement déconseillés les implants.
Le problème, c'est que les implants ne sont pas formellement déconseillés avec les BP, par contre les extractions posent problème.
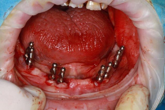
Or il fallait enlever 34/35 et 44/45...ce que j'ai fait avec précaution, nettoyage soigneux éponges de gelatemp et sutures.
8 jours après, cicatrisation nickel, donc je n'hésite pas pour les implants à la mandibule, et je propose un partiel maxillaire avec conservation des incisives....

--
xbk
"Si tous ceux qui croient avoir raison n'avaient pas tort, la vérité ne serait pas loin" Dac Pierre

Img 0315 wqayjo - Eugenol
Img 0313 gkkpne - Eugenol

lachmar

17/03/2016 à 13h50



encore une fois désolé

j'avais vu un point d'interrogation et cru qu'il s'agissait d'une demande d'avis

désolé d'avoir pollué ton fil avec mes réponses

mais au fait ... pourquoi ce fil alors ?


S2y2o1v7q53ws4r5wy6ou8czrpom - Eugenol
pxav

17/03/2016 à 14h05

Tu ne pollues pas du tout, touts les avis son intéressant.
Pourquoi ce fil?, et bien pour montrer que le choix nous appartient encore et que je ne fais pas que conserver des dents ou planter des vis.
Je suis souvent interloqué, par les extractions à but implantaire, et comme le disait enlaye dans un autre post (sur les MCI ) le problème des implant c'est que l'occlusion se fait sans proprioception puisque par principe les implants n'ont pas de ligament.
d'où la conservation, si possible des incisives.

Autre point important que je soulève dans ce post, les biphosphonates sont une plaie pour nous mais il faut aussi raison garder et ne pas priver les patients de soins lorsqu’ils sont dans la case BP sans risque (les risques sont surtout en injectable et traitement cancers).

d'où la pose d'implants.


--
xbk
"Si tous ceux qui croient avoir raison n'avaient pas tort, la vérité ne serait pas loin" Dac Pierre


lachmar

17/03/2016 à 16h53



on retrouve avec les biphosphonates les galères qu'on a connu dans le passé sur les patients irradiés dans la région de la face et porteurs de lésions bucco-dentaires

on a galéré des années pour faire admettre le principe d'une visite pré rayons et d'interventions préalables éventuelles

ce qui a sauvé les radiothérapeutes de poursuites dans les cas (pas rares ) d'osteoradionecrose, c'est que les patients mourraient beaucoup de leur cancer ...

une peu la même chose avec les orthopédistes, et ca s'est arrangé aussi


depuis que les biphosphonates sont prescfrits, je n'ai pas eu un seul patient envoyé par son medecin pour une etat des lieux bucco-dentaire

ils s'en foutent ...

pour la plupart d'entre eux les dents sont un egrande inconnue


S2y2o1v7q53ws4r5wy6ou8czrpom - Eugenol
pxav

17/03/2016 à 22h14

là nous sommes d'accord, ils s'en foutent éventuellement, mais surtout ils n'y comprennent rien.

--
xbk
"Si tous ceux qui croient avoir raison n'avaient pas tort, la vérité ne serait pas loin" Dac Pierre


S2y2o1v7q53ws4r5wy6ou8czrpom - Eugenol
pxav

18/03/2016 à 16h48

cicatrisation à 8 jours...ras donc ce sera implants pour le bas.
En flapless
empreinte, et fabrication de l'armature métal
Dans le même temps essayage pour le haut


--
xbk
"Si tous ceux qui croient avoir raison n'avaient pas tort, la vérité ne serait pas loin" Dac Pierre

Img 0489 yhiqib - Eugenol
Img 0514 fk4jh3 - Eugenol
Img 1128 qnd3sj - Eugenol
Img 1148 b4tfnc - Eugenol
Img 0634 toq8ls - Eugenol
Img 0636 ud8yix - Eugenol
Img 0672 quudhn - Eugenol
Img 1148 zhfba1 - Eugenol
Img 1146 uwhorh - Eugenol

Blocperso talon jer3sl - Eugenol
mrquentin

19/03/2016 à 00h58

c'est couillu comme plan de traitement sous biphosphonate!


S2y2o1v7q53ws4r5wy6ou8czrpom - Eugenol
pxav

19/03/2016 à 11h48

le plus gros problème (apparemment)avec les BP, ce sont les extractions, et comme le patient est sous BP oraux, et que les extractions, qui étaient indispensable, se sont bien passées, nous avons pris la décision le patient et moi, après consultation de son médecin prescripteur (qui dans un premier temps n'était pas chaud), de suivre les prescriptions de l'AFSAP,

"De manière consensuelle (cf les éléments sur le site et les recommandations de l'AFSSAPS -décembre 2007), il n'y pas de contre-indication à la mise en place d'un implant dentaire chez une (ou) patiente traitée par bisphosphonates pour une pathologie bénigne (ostéoporose notamment)."

Donc, il s'agit de prendre ses responsabilités, après réflexion prudente, pas besoin d’être spécialement couillu.


--
xbk
"Si tous ceux qui croient avoir raison n'avaient pas tort, la vérité ne serait pas loin" Dac Pierre


Smile beach jgh0a1 - Eugenol
Céramik

19/03/2016 à 15h59

pxav, je comprend pas trop la position des implants, "2 par 2"
Tu as une radio (pano) après la pose ?
Merci

--
Céramik


Blocperso talon jer3sl - Eugenol
mrquentin

20/03/2016 à 01h52

Céramik écrivait:
-----------------
> pxav, je comprend pas trop la position des implants, "2 par 2"
> Tu as une radio (pano) après la pose ?
> Merci
>
> --
> Céramik

c'est un all-on-four version prudente ;-)


Smile beach jgh0a1 - Eugenol
Céramik

20/03/2016 à 17h38

mrquentin écrivait:
-------------------
>
> c'est un all-on-four version prudente ;-)

Au contraire, ça me semble compliquer les choses pour l'entretient. La proximité implantaire nuit à la stabilité osseuse.
Faudrait une p'tite radio


--
Céramik


S2y2o1v7q53ws4r5wy6ou8czrpom - Eugenol
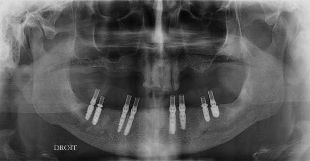
pxav

21/03/2016 à 11h25

voilà pour toi Ceramik

--
xbk
"Si tous ceux qui croient avoir raison n'avaient pas tort, la vérité ne serait pas loin" Dac Pierre

Jo pi04.03 - Eugenol

G-P

21/03/2016 à 15h45

Coucou, quelle technique bizarre. Pourquoi faire 2 par 2 comme cela ?


S2y2o1v7q53ws4r5wy6ou8czrpom - Eugenol
pxav

21/03/2016 à 17h12

j'avais le hocquet

--
xbk
"Si tous ceux qui croient avoir raison n'avaient pas tort, la vérité ne serait pas loin" Dac Pierre


Vw campersurfvan bmnk1q - Eugenol
enlaye

21/03/2016 à 19h47

puis y en a pas 2 pareils cote à cote !
ç était les soldes , 2 pour le prix d'1 ?
par 2 ça fait serieux , comme pour les boutons de chemises :-)))
tu dois avoir une idée derriere la tete , que tu ne nous dis pas :-))


Photo pluton1b h9n4ea - Eugenol
pluton

21/03/2016 à 21h46

çà devait être pour évaluer le comportement des Axiom PX vs les Axiom REG...;-)

plus sérieusement, avec les biphosphonates, amha au cas où quelques implants partent à la benne, çà permet de limiter le risque de devoir profondément remanier le plan de ttm...non?


G-P

21/03/2016 à 21h50

Ou un all on 4 immédiat avec 4 implants en nourrice au cas ou


S2y2o1v7q53ws4r5wy6ou8czrpom - Eugenol
pxav

21/03/2016 à 22h00

à mon avis si problème avec les bp ça ne va pas concerner un implant mais l'os en général, donc non ce n'est pas la raison du 2 par2.
en réalité, je ne m'étais jamais posé la question car j'ai raisonné, os/position/prothèse et je pense que c'est un hasard si ils sont 2 par 2.
le choix axiom/reg est fixé aussi fonction de l'os, pas de question de stock ou de comparaison.

--
xbk
"Si tous ceux qui croient avoir raison n'avaient pas tort, la vérité ne serait pas loin" Dac Pierre


S2y2o1v7q53ws4r5wy6ou8czrpom - Eugenol
pxav

22/03/2016 à 00h07

essayage et pose prothèse du bas et ceram 12/22
Pour le bas, armature métal transvissée, recouverte d'Emax press, et fausse gencive.
avantage, en cas de problème il suffit de percer l'emax pour dévisser l'ensemble, et sinon aspect fini très propre, pas de trace des puits de vissage.
autre avantage en cas de fracture de la ceram, il suffit de changer l’élément concerné.

dans ce cas les emax sont réalisés après la fausse gencive.

et pour répondre à ta question brossage ceramik, l'espace gencive/fausse gencive est suffisant pour permettre un très bon brossage.

pour le haut 12 sera fracturé et donc extraite.

--
xbk
"Si tous ceux qui croient avoir raison n'avaient pas tort, la vérité ne serait pas loin" Dac Pierre

Img 1229 osrxux - Eugenol
Img 0672 ymisrg - Eugenol
Img 1273 v5kibq - Eugenol
Img 1276 x9oby9 - Eugenol
Jo pi zumalj - Eugenol

Photo pluton1b h9n4ea - Eugenol
pluton

22/03/2016 à 09h04

combien de temps entre la prise d'empreinte, la réalisation de l'armature métal, la fausse gencive et les emax par dessus?