Tous les forums
Conservation ou on rase et MCI?
22/03/2016 à 10h50
Il y avait un complet transvissé en prothèse provisoire, donc dans ces cas là, pas de contrainte de temps entre la prise d'empreinte et la pose de la prothèse d'usage.
En étant speed je suppose que c'est faisable en 2 à 3 jours mais la, je pense que c'était entre une et trois semaines.
Pour des travaux comme ça, je ne bouscule pas Brigitte je préfère que le résultat soit sympa plutôt que rapide.
Et là, j'avoue que pour la fausse gencive en particulier elle c'est bien débrouillée.
--
xbk
"Si tous ceux qui croient avoir raison n'avaient pas tort, la vérité ne serait pas loin" Dac Pierre
22/03/2016 à 13h05
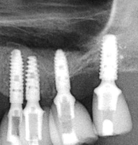
Joli cas, seul le bloc 12-22 ne s'intègre pas très bien.
Sinon pour les cas de bridge complet sur 8 implants j'aime bien faire 4 bridges 3 dents sur deux implants quand on le peux. Pas possible par contre quand on rajoute de la fausse gencive comme c'est le cas ici.
Implants bien parallèles, classe!
22/03/2016 à 13h17
Tavéca écrivait:
----------------
> Joli cas, seul le bloc 12-22 ne s'intègre pas très bien.
oui, pour le bloc 12/22 c'est guillaume, le prothésiste, apprenti à l'époque, donc pas le même rendu.
>
>
> Implants bien parallèles, classe!
merci mais c'est très facile avec la chir 3D temps réel, avec au choix robodent, iris ou pilot..;-) ..:-))
--
xbk
"Si tous ceux qui croient avoir raison n'avaient pas tort, la vérité ne serait pas loin" Dac Pierre
25/03/2016 à 11h27
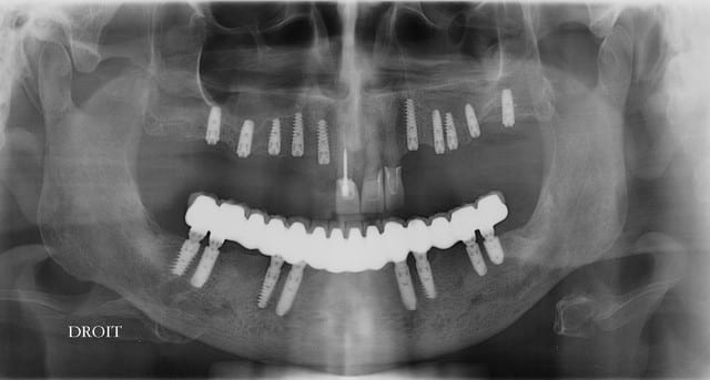
ce n'est pas fait dans l'ordre logique mais après la mandibule, le maxillaire... 12 à cassée (le patient pose sa prothèse pour dormir) donc je ne garde que 11/21/22 et pose d'implants.
Certains vont dire que je ne suis pas économique, mais le all on four ce n'est pas mon truc.
--
xbk
"Si tous ceux qui croient avoir raison n'avaient pas tort, la vérité ne serait pas loin" Dac Pierre
25/03/2016 à 11h33
.
--
xbk
"Si tous ceux qui croient avoir raison n'avaient pas tort, la vérité ne serait pas loin" Dac Pierre
26/03/2016 à 22h06
pxav écrivait:
--------------
> > Implants bien parallèles, classe!
>
> merci mais c'est très facile avec la chir 3D temps réel, avec au choix
> robodent, iris ou pilot..;-) ..:-))
ouarf, mdr, l'implant en 47 est lingualé et tous les autres à partir du secteur antérieur partent sur la droite...comme pour tous les droitiers....
cela dit, ils sont très bien posés pour de la main levée...
dommage j'ai oublié de prendre mes radios d'un ptit cas clinique fait vendredi...12/22 agénésies et il fallait vraiment viser juste pour éviter les racines des dents adjacentes...et être pile pour pouvoir faire les couronnes provisoires transvissées...
je ne devais pas avoir plus d'un demi mm et 1° de marge d'erreur possible pour ces 2 implants...
j'aurais quasi pu faire l'intervention les yeux fermés (enfin quand même pas car il me fallait quand même contrôler ma cible sur la machine...)
26/03/2016 à 23h07
Professeur Pluton, tu devrais être plus cool avec les confrère moins doué que toi, en fait je me suis laissé guidé guidé par l'os et l'axe de la future prothèse mais bien sur, à main levée, puisque je n'ai pas les compétence pou me servir d'un outil geek.
Pour ma culture tu aurais fait quoi avec ton jouet?
Il me semble tout à fait normal que 47 n'ai pas la même inclinaison que 46 dans le sens vestibulo lingual...
--
xbk
"Si tous ceux qui croient avoir raison n'avaient pas tort, la vérité ne serait pas loin" Dac Pierre
26/03/2016 à 23h33
pxav écrivait:
--------------
> Professeur Pluton, tu devrais être plus cool avec les confrère moins doué que
> toi, en fait je me suis laissé guidé guidé par l'os et l'axe de la future
> prothèse mais bien sur, à main levée, puisque je n'ai pas les compétence pou me
> servir d'un outil geek.
déjà je ne suis pas professeur...mais un praticien lambda...
mais visiblement, vu que tu rigoles de la technologie et que tu la critique, toujours et encore une fois sans la connaître et c'est bien dommage, laisse moi aussi pointer du doigt les erreurs inévitables de la non-technologie, c'est de bonne guerre non?
pas cool, je ne sais pas ce qu'il te faut car j'ai quand même souligné que tes implants étaient quand même très bien posés...
> Pour ma culture tu aurais fait quoi avec ton jouet?
> Il me semble tout à fait normal que 47 n'ai pas la même inclinaison que 46 dans
> le sens vestibulo lingual...
ah mais là c'est pas drôle...c'est un boulevard...;-)) on aurait presque pu poser 2 implants côte à côte...;-)
heu, si je lis bien ton scan, il y avait moyen de centrer l'émergence prothétique pile poil au centre de la dent prothétique...et si c'était pareil sur toute la mandibule, en faire de même pour tous les implants posés...
26/03/2016 à 23h44
tu as raison, et je pense que le prochain cas que j'aurais à traiter, je te l'enverrai, il est temps que je prenne ma retraite.
Le problème, vois tu c'est que l'on ne se voit pas vieillir, j'ai toujours l'impression que je suis encore au top, alors qu'il est évident que cette époque est révolue:
http://www.eugenol.com/sujets/385913-petite-journee-chez-pxav
la gériatrie, ce n'est pas cool, alors soyez indulgents les jeunes....
--
xbk
"Si tous ceux qui croient avoir raison n'avaient pas tort, la vérité ne serait pas loin" Dac Pierre
27/03/2016 à 00h20
et non mon ami, çà n'est pas ta qualité de praticien qui est en question...en fait, si je ne devais avoir qu'une seule chose à te reprocher c'est ton manque de curiosité...
j'ai beaucoup appris à tes côtés lors de cette journée, c'était vraiment enrichissant et très sympa de ta part (7 ans déjà...pfff çà passe vite...) et comme je suis une "éponge" à informations çà m'a fait beaucoup progressé...
ce que je trouve par contre vraiment dommage, c'est que tu considères cet outil, car c'est bien un outil, comme un jouet...alors que je peux t'assurer que çà n'en est pas un
je posterai les images du scan et les radios post op du cas dont je viens de parler mardi ou mercredi, c'est quand même intéressant de voir ce que l'on arrive à faire avec et avoir comme précision...je n'ai presque pas décollé (petites incisions crestales en W pour aménager les futures papilles), posé les implants et réalisé les 2 couronnes prov transvissées en une petite heure seulement...
comme un imbécile, alors que tout était prêt pour...j'ai oublié de déclencher l'enregistrement de la caméra pour la vidéo...tes fois je me mettrais des baffes...
sincèrement, sans, j'aurais ouvert en très grand pour contrôler la position exacte des racines et fait un litre d'huile avec une seule olive entre les fesses lors du forage...tout en mitraillant avec des radios à chaque mm de progression...de peur de toucher aux dents adjacentes...
mais là, même pas une petite goutte de sueur...
à charge de revanche, comme on dit, mon invitation tient toujours si tu veux voir et comprendre l'intérêt du système...
après que tu adhères ou non au concept, c'est un autre débat...tu pourras peut être reprocher une ergonomie "spéciale", que c'est déroutant, mais en ce qui concerne la précision, là... il n'y aura même plus débat...
27/03/2016 à 10h52
pluton écrivait:
----------------
> et non mon ami, çà n'est pas ta qualité de praticien qui est en question...en fait, si je ne devais avoir qu'une seule chose à te reprocher c'est ton manque de curiosité...
Merci de ta réponse, plus cool, n’oublies pas que je suis très souvent au deuxième degré...par contre tu confonds manque de curiosité avec besoin de recul sur les nouveautés ou les évolutions technologiques.
Très souvent (trop) le "progrès" scientifique à un fort rapport avec l'argent.
Tu as un cabinet qui "tourne", et tu as l'age et les moyens de faire des investissements, et c'est très bien ...pour toi.
Ma démarche est tout simplement différente, pour avoir eu l'occasion de discuter avec JP Bernard (Jean Pierre Bernard fait partie de leaders incontestés en implantologie. Il est le responsable du service d’implantologie chirurgicale de l’Ecole Dentaire de Genève dont tout le monde connaît le sérieux.), je connais depuis pas mal de temps le type de matériel que tu utilises, et si je trouve le principe très intéressant, je cherche tout les jours à simplifier ma technique implantaire.
Exemple plus de prélèvement de crête iliaque,(tu sais le gold standard des années 90), utilisation très rares de membranes que je remplace souvent par de simple éponges, éponges que j'utilise aussi pour les summers en lieu et place de biooss ou divers, flapless si possible, expansion plutôt que greffe etc...
A ce sujet, plutôt que de looker l'axe de 47, jette un œil sur 26 .... il ne s'agit pas de montrer que je suis le meilleur, mais que des techniques simples et bien raisonnées permettent d'obtenir des résultats corrects et reproductible, et ce par n'importe quel dentiste consciencieux.
pour 26 (comme pour les 17 autres implants de ce cas) flapless intégral (même pas de puch), foret initial directement à travers la gencive) et uniquement des éponges de Gelatemp là où c'était nécessaire.
Donc coût très réduit, ce qui pourrait permettre de réduire au maximum le devis des implants....mais en réalité ça me permet surtout d'augmenter ma marge et de travailler moins pour le même résultat en fin d'année...:-))
> j'ai beaucoup appris à tes côtés lors de cette journée, c'était vraiment
> enrichissant et très sympa de ta part (7 ans déjà...pfff çà passe vite...) et
> comme je suis une "éponge" à informations çà m'a fait beaucoup progressé...
ça c'est mon plaisir, partager et transmettre aux autres les petits trucs que je connais, pour que chacun comprenne que c'est relativement facile, et non réservé aux cadors.
--
xbk
"Si tous ceux qui croient avoir raison n'avaient pas tort, la vérité ne serait pas loin" Dac Pierre
27/03/2016 à 19h59
finalement, on est très proche dans notre philosophie de travail, on cherche à simplifier, ainsi qu'à partager nos connaissances, et pour moi cette technologie me permet en plus de gagner beaucoup de temps, et donc çà m'apporte une rentabilité intéressante (en plus de la sérénité de travail) qui fait que le leasing pour le matériel est complètement amorti sur une courte période...
tu sais, j'ai eu aussi des longues conversations avec d'autres praticiens de renom, comme Bettach, Khayat, ou encore ton collègue chez Anthogyr Vermeulen
on est bien d'accord que c'est une technologie encore couteuse (et encore les prix à été divisé par 2 en 3 ans) et balbutiante...mais c'est l'avenir, tout comme les empreintes optiques qui seront certainement la règle dans nos cabinets dans les 5 à 10 ans qui viennent
après, je ne force personne à investir, j'informe, je montre ce qu'on peut faire, les avantages et inconvénients...
pas la peine de se moquer (même au second degré) d'une technologie qui n'a maintenant plus rien à prouver, mais simplement baisser en tarif pour être accessible au plus grand nombre
c'est sûr, çà ne remplace pas la maîtrise du praticien pour pouvoir placer un implant comme celui que tu montres...
encore une fois, c'est un outil, c'est pas indispensable, c'est un confort et un garde fou pour le praticien qui l'utilise...
27/03/2016 à 21h13
pluton écrivait:
----------------
> finalement, on est très proche dans notre philosophie de travail, on cherche à
> simplifier, ainsi qu'à partager nos connaissances
> on est bien d'accord que c'est une technologie encore couteuse (et encore les prix à été divisé par 2 en 3 ans) et balbutiante...mais c'est l'avenir, tout comme les empreintes optiques qui seront certainement la règle dans nos cabinets
> dans les 5 à 10 ans qui viennent
>
Et bien tu vois nous sommes d'accord, mais la projection à 10 ans, pour moi ce n'est pas ma tasse de thé....10 ans ce sera un peu juste pour le sapin, mais pas loin quand même...:-))
--
xbk
"Si tous ceux qui croient avoir raison n'avaient pas tort, la vérité ne serait pas loin" Dac Pierre
27/03/2016 à 21h25
pxav écrivait:
--------------
> A ce sujet, plutôt que de looker l'axe de 47, jette un œil sur 26 .... il ne s'agit pas de montrer que je suis le meilleur, mais que des techniques simples et bien raisonnées permettent d'obtenir des résultats corrects et reproductible, et ce par n'importe quel dentiste consciencieux.
>
> pour 26 uniquement des éponges de Gelatemp là où c'était nécessaire.
je reprends le sujet 26, car il est certain que ça ne rentre pas dans la logique du soulevé de sinus, mais que l'abord latéral aurais été plus sur.
et pourtant le résultat ne me déplait pas(entre septembre 2015 et Mars 2016)
>
> --
> xbk
> "Si tous ceux qui croient avoir raison n'avaient pas tort, la vérité ne
> serait pas loin" Dac Pierre
--
xbk
"Si tous ceux qui croient avoir raison n'avaient pas tort, la vérité ne serait pas loin" Dac Pierre
28/03/2016 à 00h21
pluton écrivait:
----------------
> pxav écrivait:
> --------------
>
> > > Implants bien parallèles, classe!
> >
> > merci mais c'est très facile avec la chir 3D temps réel, avec au choix
> > robodent, iris ou pilot..;-) ..:-))
>
> ouarf, mdr, l'implant en 47 est lingualé et tous les autres à partir du secteur
> antérieur partent sur la droite
heu, comment dire...
28/03/2016 à 00h27
> pour 26 uniquement des éponges de Gelatemp là où c'était nécessaire.
>
Et pour aller jusqu'au bout de ta philosophie, penses-tu que le Gelatemp serve réellement à quelque chose dans ce cas?
28/03/2016 à 00h35
pxav écrivait:
--------------
Une dernière question pxav, pourquoi préfères-tu un concept à base d'unitaire au max. sup.?
Meme si je partage ton choix! Et je ne pense pas qu'il soit largement partagé.
28/03/2016 à 01h59
Tavéca écrivait:
----------------
> > pour 26 uniquement des éponges de Gelatemp là où c'était nécessaire.
> >
>
> Et pour aller jusqu'au bout de ta philosophie, penses-tu que le Gelatemp serve
> réellement à quelque chose dans ce cas?
j'utilise depuis un petite dizaine d'année et j'ai de très bon résultats, mais quelques fois je n'en mets pas.
J'aime bien car elles ont un fonction "antigermes"et "fondent" en une vingtaine de jour
Tampons de mousse de gélatine avec ajout d’argent colloïdal
pour calmer le saignement et éviter une réinfection après :
- extractions.
- amputations de l’apex radiculaire.
- cystostomies.
- perforation du sinus maxillaire.
- ablation opérative de tumeurs.
- abalation de dent rétentives.
la seule chose qui me faisait hésiter était l'argent colloïdal par rapport au titane, mais ras.
--
xbk
"Si tous ceux qui croient avoir raison n'avaient pas tort, la vérité ne serait pas loin" Dac Pierre
28/03/2016 à 02h18
Tavéca écrivait:
----------------
> pxav écrivait:
> --------------
> Une dernière question pxav, pourquoi préfères-tu un concept à base d'unitaire au
> max. sup.?
> Meme si je partage ton choix! Et je ne pense pas qu'il soit largement partagé.
ben grâce à la CCAM, c'est le seul moyen d'avoir une base de remboursement de 70% de 107.50€....:-))
Non, en réalité, c'est très discutable, comme tout le plan de traitement de ce cas, mais disons que si certains posaient problèmes, j'ai de la marge pour bridger, puisque toutes les cerams (emax press) sont transvissées.
Après que mes choix ne soient pas largement partagés, j'en ai l'habitude et ça ne me dérange pas, la seule chose qui compte c''est que ça marche.
C'est bien pour ça que je montre mes cas un peu originaux, afin de ne pas se limiter à une seule chapelle.
une des raisons du bien fondé éventuel des options choisies est que nous essayons de raisonner bouche équilibrée, même si enlaye considère que nos waxup sont fait trop tôt par rapport aux débuts de traitement, en principe il permettent de bien savoir où nous allons.
Sans oubliez que la vérité ne m'appartient pas.
Très honnêtement à moyens et long termes, je n'ai pas de gros soucis que ce soit en prothèse fixe sur dents naturelles ou sur implants.
les soucis, sur implants depuis que je pose, surviennent à 98% dans les 15 jours suivant la pose.
Problèmes après la pose de la prothèse extrêmement rares, voir anecdotiques.
Après il est bien évident que l'on peut toujours mieux faire.
--
xbk
"Si tous ceux qui croient avoir raison n'avaient pas tort, la vérité ne serait pas loin" Dac Pierre
28/03/2016 à 02h33
perso je préfère largement une gestion comme tu l'as faite qu'avec un all on machin sur un minimum d'implants pour lequel si tu perds un implant tu te retrouves dans la merde pour gérer le plan de ttm...
et mêmes constatations que toi pour les échecs...essentiellement primaires et pour le reste anecdotiques...
28/03/2016 à 15h34
en parlant des échecs, ou plutôt des "problèmes", je viens de passer la mâtiné à monter une vidéo, avec perte de 4 implants (sur 7, bonjour les boules...)dans le 8 jours après la pose (infection due je pense à un petit morceau de racine non détecté avant la pose.
la gestion de la reprise est souvent délicate, et c'est le but de la vidéo, montrer comment se rattrape un bug.
--
xbk
"Si tous ceux qui croient avoir raison n'avaient pas tort, la vérité ne serait pas loin" Dac Pierre
29/03/2016 à 20h59
voilà voilà pxav...
je mets les coupes et les radios post op...
intervention "quasi" flaless, juste des incisions crestales en W pour manager les papilles...
29/03/2016 à 22h06
très honnêtement c'est bien mais je ne vois absolument pas pourquoi il faut guider l'instrument dans un cas comme ça, car pour la latéralité, tu suis les axes des autres dents, avec précautions ok mais bof, et pour l’épaisseur, c'est un boulevard
j'ai fais ça à main levée, et c'est tout simplement à la porté de tout praticien consciencieux, ce qui n'enlève rien au coté intéressant de ton outil.
--
xbk
"Si tous ceux qui croient avoir raison n'avaient pas tort, la vérité ne serait pas loin" Dac Pierre
29/03/2016 à 23h39
c'est un boulevard en épaisseur, ok...
l'intérêt...c'est qu'en une petite heure c'était plié, provisoires inclues...et sans ouvrir grand pour contrôler les proximités radiculaires et faire radio sur radio de contrôle pour ne pas toucher aux racines...
"time is money", et sur cette intervention, au bas mot, c'est une bonne heure de gagnée vs intervention "classique"...
à 200€/h de cab, sur le nombre d'interventions annuelle, la machine est rentabilisée...enfin, pour moi en tout cas...
après, çà reste un outil, un instrument de confort...bien sûr, un plus comme peut être la clim dans une bagnole...
c'est pas indispensable, mais c'est vraiment agréable...