Cookie Consent byPrivacyPolicies.comLuxation ATM et ODF - Eugenol

Luxation ATM et ODF

Icon poker h4nm2d - Eugenol
jeff

23/03/2016 à 13h28

jeune homme de 12 ans 1/2 , consulte pour luxation atm et demande de gouttière.

le courrier de l'irm indique une sub luxation a gauche et une luxation complète a droite irréversible.
Je trouve cela très bizarre, petite ouverture en baillonnette avec sub luxation gauche, un peu de douleur a la palpation de l'angle goniaque gauche. rien de perceptible a droite.

je trouve curieux une luxation irreversible avec une ouverture max normale.

Au niveau ODF , il y a une cl 2 bout a bout avec supra, malposition canine.
J'aurais fait un distalizer Carrere sur arc lingual, mais quid de la prise en charge du Pb ATM ?


1309531 ours brun n5iukf - Eugenol
seespan

23/03/2016 à 16h32

jeff écrivait:
--------------
> jeune homme de 12 ans 1/2 , consulte pour luxation atm et demande de gouttière.
>
> le courrier de l'irm indique une sub luxation a gauche et une luxation complète
> a droite irréversible.
> Je trouve cela très bizarre, petite ouverture en baillonnette avec sub luxation
> gauche, un peu de douleur a la palpation de l'angle goniaque gauche. rien de
> perceptible a droite.
>
> je trouve curieux une luxation irreversible avec une ouverture max normale.
>
> Au niveau ODF , il y a une cl 2 bout a bout avec supra, malposition canine.
> J'aurais fait un distalizer Carrere sur arc lingual, mais quid de la prise en
> charge du Pb ATM ?

En cas de problème ATM les elastic de Class II (carriére ou sur arc classique ) peuvent étre mal toléré vue qu'ils propulsent la machoire en avant.

Si c'était ma patient je verrais le cas avec un spé ATM pour avis.

Pour le traitement luis même préféré les solutions avec le minimum de méchanique inter arch. Extraction mini-visse et autre.


--
หมอจัดฟัน


Vw campersurfvan bmnk1q - Eugenol
enlaye

24/03/2016 à 09h06

jeff écrivait:
--------------

" un peu de douleur a la palpation de l'angle goniaque gauche. rien de perceptible a droite."

il s'est fait bastonné a l'école ?
qui a prescrit l'IRM a un minot de 12 ans ? le toubib du constat ? :
comment ça ,une luxation irréversible ?il s'est pris un taquet a gauche et ça l'a déglingué à droite ,il ne pouvait plus fermer à fond et le temps qu'il vienne te voir ça ç est débloqué .
parce que , rassure moi , il n'était pas déjà en ttt ortho ,par hasard ?


Icon poker h4nm2d - Eugenol
jeff

24/03/2016 à 17h45

En fait , je ne me rappelle plus ce qui a motivé l'irm. Des douleurs , sans doute .

Non, il n'y a avait pas d'ortho en route. Il viennent me voir avec une demande de gouttière . Il se trouve qu'il y a aussi un besoin d'odf.

J'ai regardé l'Irm, mais pas vue grand chose . Cela ne ressemble pas au image que je connais du disque.


cy2

24/03/2016 à 18h07

d'après ce que tu écris il semble être en classe 2.2. Il va falloir de toute façon le dévérouiller en faisant un traitement ortho. La gouttière, c'est palliatif alors qu'à cet âge il ne faut pas hésiter pour le ttt ortho.


Vw campersurfvan bmnk1q - Eugenol
enlaye

24/03/2016 à 19h47

jeff écrivait:
--------------
" En fait , je ne me rappelle plus ce qui a motivé l'irm. Des douleurs , sans doute ."

à 12 ans ? sacrés douleurs , alors :-))

" J'ai regardé l'Irm, mais pas vue grand chose . Cela ne ressemble pas au image que je connais du disque."

tu m'étonnes ,à 12ans !
les douleurs de l'angle goniaque ,sont des douleurs musculaires ?d'aponevroses masseterines ?


house

24/03/2016 à 20h18

Il faudrait plus d'éléments pour répondre ( télé profil, pano, photos endo et exo buccales)

Si il s'agit d'une classe II.2 :
- le condyle se retrouve très souvent en rétro position forcée à cause de l'inclinaison des incisives maxillaires
- dans une luxation discale : le disque se retrouve "en avant" du condyle
- le patient étant en classe II, en cours de croissance, il y a tout intérêt à essayer de le faire propulser, au lieu de "distaler" les molaires maxillaires ( encore un mythe...)

Toutes les études sérieuses sur les relations ODF-ATM montrent l'absence de liens clairs entre les deux, maintenant un minimum de bon sens clinique devrait nous encourager à retrouver un guidage antérieur non traumatogene

Donc :
- lever les verrous de croissance ( sens T : expansion si besoin, sens V: levée de la supra, sens AP : donner un torque correct aux incisives sup )
- si besoin : mettre en place un système de propulsion


Image saznoz - Eugenol
Hodina

24/03/2016 à 21h53

D'accord avec Dr. Housse
Il est verrouillé apparemment:enveloppe fonctionnelle réduite: en gros (si c'est ça), quand il ferme ça tape d'abord sur les incisives et ça mâchoire par ensuite en arrière pour fermer complètement.
Du coup, hypercomplexes sinon articulaire et le disque, ben il se barre en avant....
1- un déprogrammer, façon John Kois
2- montage en articulateur
3- analyse occlusale
de là, tu vois où est le problème
Et tu gères



--
😁😁😁😁😁😁
Le Blog dentaire.
Cliquez ici------> www.arcad-dentaire.fr
Dernier article----------- L'assainissement parodontal
((-----Vivre le sourire Hollywoodien-----))


Vw campersurfvan bmnk1q - Eugenol
enlaye

25/03/2016 à 00h27

ç est quand même bizarre ,qu'a 12 ans le système adaptatif ne se fasse pas , saut si ç est un évènement subit et rapide qui fait déborder le vase . et puisqu'il a 12 ans , l n'y aurait pas une occlusion inverse sur les dents de 12 ans ? ( du coté gauche )
et d'ailleurs ,les a t'il ?, ce ne pourrait pas être un accident de desinclusion ?
sinon ,bien sur je suis aussi d'accord avec dr House , pour donner de l'espace par devant .


Icon poker h4nm2d - Eugenol
jeff

25/03/2016 à 19h59

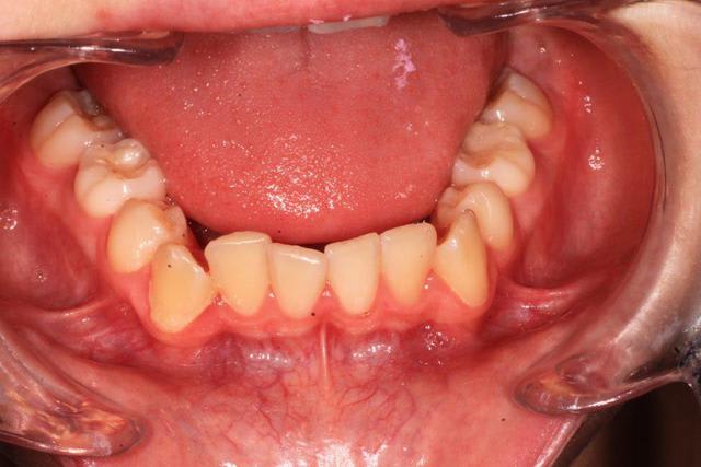
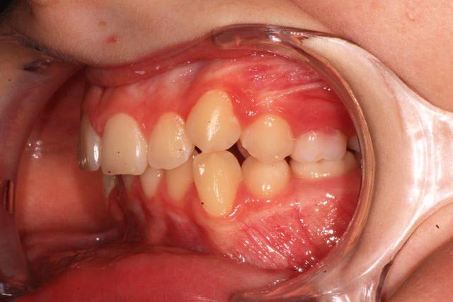
quelques documents :

Mars2016 019 xntx2p - Eugenol
Mars2016 023 n9fhef - Eugenol
Mars2016 060 cy7o1q - Eugenol
Mars2016 062 turvog - Eugenol
Mars2016 063 rilxb2 - Eugenol
Mars2016 064 t1gvul - Eugenol

Vw campersurfvan bmnk1q - Eugenol
enlaye

25/03/2016 à 21h53

t'as vu la 37 ? dommage , on ne la voit pas en occlusion mais rien qu'a voir la tronche qu'elle a ....
il est bloqué un peu vers l'avant ,mais surtout avec la drete mesiale de 37 qui n'est pas alignée , il ne peut meme pas retropulser du coté gauche .alors il serre a gauche et comme la 37 est couchée ça lui donne un decalage lateral posterieur .
je ne vois pas trop de luxation dans cette histoire


odonte 35

26/03/2016 à 00h26

C'est pas la 37,c'est la 36!
D'accord avec House pour le traitement


odonte 35

26/03/2016 à 00h26

C'est pas la 37,c'est la 36!
D'accord avec House pour le traitement


odonte 35

26/03/2016 à 00h26

C'est pas la 37,c'est la 36!
D'accord avec House pour le traitement


Vw campersurfvan bmnk1q - Eugenol
enlaye

26/03/2016 à 00h33

T ain oui la 36 :-)))


1309531 ours brun n5iukf - Eugenol
seespan

26/03/2016 à 02h31

house écrivait:
---------------

> Toutes les études sérieuses sur les relations ODF-ATM montrent l'absence de
> liens clairs entre les deux, maintenant un minimum de bon sens clinique devrait
> nous encourager à retrouver un guidage antérieur non traumatogene

Exact il n'y aucun lien direct, au mieux c'est un léger cofacteur. Toutefois il est parfaitement possible d’aggraver un problème ATM avec un traitement ortho :-) .

Pour cette raison la première étape du traitement ortho c'est d'envoyé à un spé ATM pour un diagnostique et avis sur future traitement.

Très facile ici vue que la spécialité ATM existe en Thaïlande.

En gros les problème vont principalement intervenir lors de l’utilisation d'elastique inter arch puisque 'à ce moment la vous déplacer activement la mandibule.
--
หมอจัดฟัน


1309531 ours brun n5iukf - Eugenol
seespan

26/03/2016 à 02h41

enlaye écrivait:
----------------
> t'as vu la 37 ? dommage , on ne la voit pas en occlusion mais rien qu'a voir la
> tronche qu'elle a ....
> il est bloqué un peu vers l'avant ,mais surtout avec la drete mesiale de 37 qui
> n'est pas alignée , il ne peut meme pas retropulser du coté gauche .alors il
> serre a gauche et comme la 37 est couchée ça lui donne un decalage lateral
> posterieur .
> je ne vois pas trop de luxation dans cette histoire

Foutaise tu peut avoir bien pire sans relation avec l'ATM en tout cas c'est pas en redressant cette dent que ça va aller mieux
--
หมอจัดฟัน


1309531 ours brun n5iukf - Eugenol
seespan

26/03/2016 à 02h41

enlaye écrivait:
----------------
> t'as vu la 37 ? dommage , on ne la voit pas en occlusion mais rien qu'a voir la
> tronche qu'elle a ....
> il est bloqué un peu vers l'avant ,mais surtout avec la drete mesiale de 37 qui
> n'est pas alignée , il ne peut meme pas retropulser du coté gauche .alors il
> serre a gauche et comme la 37 est couchée ça lui donne un decalage lateral
> posterieur .
> je ne vois pas trop de luxation dans cette histoire

Foutaise tu peut avoir bien pire sans relation avec l'ATM en tout cas c'est pas en redressant cette dent que ça va aller mieux
--
หมอจัดฟัน


1309531 ours brun n5iukf - Eugenol
seespan

26/03/2016 à 02h53

Les malocclusion sont beaucoup plus sévère en Asie du Sud est qu'en Europe.

Des 7 couché en vestibulaire dès le début de mon exercice j'ai eu :-) . Idem avec les crossbite presque complet, les effondrement d'arcade, les supraclusion de malade, ect


No soucis avec l'ATM, les quelque patient ATM que j'ai eu n'avait pas de problème ortho grave.



--
หมอจัดฟัน

12764372 990923240993797 8271218405327340272 o vrwlt3 - Eugenol
12783557 991357334283721 1106849385693962655 o rcenii - Eugenol

Icon poker h4nm2d - Eugenol
jeff

26/03/2016 à 10h43

et au niveau purement ATM, non que je remette en cause de diagnostic du radiologue, mais une luxation complète a droite irréversible est compatible avec une ouverture maximale normale ?


Vw campersurfvan bmnk1q - Eugenol
enlaye

26/03/2016 à 11h04

seespan écrivait:
-----------------
" Foutaise tu peut avoir bien pire sans relation avec l'ATM "
- on est bien d'accord



" en tout cas c'est pas en redressant cette dent que ça va aller mieux "
- ah , ç est bien possible oui , mais alors pourquoi tu fais de l'ortho ? pour qu'il soit pire ? :-))


Vw campersurfvan bmnk1q - Eugenol
enlaye

26/03/2016 à 11h12

jeff écrivait:
--------------
" et au niveau purement ATM, non que je remette en cause de diagnostic du radiologue, mais une luxation complète a droite irréversible est compatible avec une ouverture maximale normale ? "

normalement , une luxation est un signe clinique :
on dit qu'il est luxé quand il n'y a plus de coaptation ATM disque et cavité glénoïde ( si on l'appelle tjs comme ça ) .
donc quand il y a un pb de fermeture ou d 'ouverture .


Image saznoz - Eugenol
Hodina

26/03/2016 à 13h00

Bon on reprend à zéro:
Tu parles de luxation ATM et d'IRM
En fait tu voulais parlé de luxation discale, et pas de l'ATM
L'ouverture en bâillon être avec déflexion gauche explique la subluxation gauche
A droite, tu dis qu'il y a luxation irréversible.
Le disque étant tellement en avant, il ne gêne même plus l'ouverture.
Y a t'il des claquements réciproques?, genre en fin d'ouvertures droite et en fin de Fermeture toujours à droite?
Il peut s'agir d'une luxation discale chronique à droite, et les signes cliniques peuvent avoir disparus.
Demande à ton jeune patient s'il n'a jamais eu avant des claquements ou limitations. Les ATCD sont importants.



--
😁😁😁😁😁😁
Le Blog dentaire.
Cliquez ici------> www.arcad-dentaire.fr
Dernier article----------- L'assainissement parodontal
((-----Vivre le sourire Hollywoodien-----))


Image saznoz - Eugenol
Hodina

26/03/2016 à 13h03

Un petit rappel:
Pour l’ATM, la luxation discale irréductible correspond à un déplacement du disque, en général vers l’avant et médialement (mais d’autres situations sont observables), sans possibilité de retour spontané à sa position physiologique dans laquelle il est interposé entre les surfaces articulaires condyliennes et temporales. La luxation discale peut apparaître soit d’emblée, soit, le plus souvent après une période de luxation discale réductible.

Cliniquement le disque crée un obstacle intra-articulaire qui limite plus ou moins les déplacements du condyle mandibulaire et donc la mobilité mandibulaire. Ce positionnement du disque aboutit également à distendre l’attache postérieure du disque (zone bilaminaire vascularisée et innervée, contrairement au disque lui-même). La connaissance de ces éléments cliniques permet de comprendre comment va s’établir le diagnostic en distinguant la luxation aigue de la luxation chronique.
couv1
PartagerTweeterÉpinglerE-mail
Pour l’ATM, la luxation discale irréductible correspond à un déplacement du disque, en général vers l’avant et médialement (mais d’autres situations sont observables), sans possibilité de retour spontané à sa position physiologique dans laquelle il est interposé entre les surfaces articulaires condyliennes et temporales. La luxation discale peut apparaître soit d’emblée, soit, le plus souvent après une période de luxation discale réductible.

Cliniquement le disque crée un obstacle intra-articulaire qui limite plus ou moins les déplacements du condyle mandibulaire et donc la mobilité mandibulaire. Ce positionnement du disque aboutit également à distendre l’attache postérieure du disque (zone bilaminaire vascularisée et innervée, contrairement au disque lui-même). La connaissance de ces éléments cliniques permet de comprendre comment va s’établir le diagnostic en distinguant la luxation aigue de la luxation chronique.

Le diagnostic de luxation discale irréductible aigue se pose sur les signes et symptômes suivants :

– Limitation brutale de la motilité mandibulaire (décrite comme un blocage à l’ouverture) : soit concomitante de la disparition d’un claquement articulaire ancien, ou soit d’emblée (avec ou sans cause identifiée par le patient)

– Déflexion de la mandibule du coté atteint lors de l’ouverture buccale,

– Douleur de la région ATM du coté atteint. Cette douleur peut être très vive et constitue souvent le motif de consultation.

– Sensation (fréquente) de contacts prématurés du coté de la luxation (la zone bilaminaire interposée entre les surfaces articulaires est moins épaisse que le disque auquel elle s’est substituée, ce qui favorise la remontée du secteur mandibulaire homolatéral)

– Aucun claquement articulaire

– A la palpation le déplacement condylien en ouverture est limité, ou inexistant ; aucun ressaut n’est perceptible.



Le diagnostic de luxation discale irréductible chronique se pose sur des signes et symptômes comparables mais qui peuvent être atténués:

– Le blocage s’est produit il y a plusieurs semaines, mois ou années,

– La limitation d’ouverture buccale s’est peut être atténuée, de même que la déflection,

– La douleur peut être atténuée

– La sensation de prématurité a souvent disparu.

L’attitude thérapeutique est différente selon qu’on est devant une luxation discale irréductible aigue ou chronique. Sans entrer ici dans la prise en charge de ces DAM, il faut donner quelques conseils simples pour l’exercice quotidien :

– il y a urgence à traiter une luxation irréductible aigue récente (ce qui n’est plus le cas avec une luxation chronique)

– ne pas équilibrer les dents pour supprimer les contacts prématurés

– soulager la douleur par des anti-inflmmatoires et/ou antalgiques appropriés

L’IRM qui est l’examen de choix pour mettre en évidence les tissus non osseux de l’articulation, n’a pas d’indication dès lors que le diagnostic est correctement posé.

La question la plus difficile est de distinguer entre luxation aigue ou chronique, autrement dit, les situations pour lesquelles il est possible de soulager par orthopédie et celles qui relèvent de démarches d’accompagnement d’une situation établie.



--
😁😁😁😁😁😁
Le Blog dentaire.
Cliquez ici------> www.arcad-dentaire.fr
Dernier article----------- L'assainissement parodontal
((-----Vivre le sourire Hollywoodien-----))


Vw campersurfvan bmnk1q - Eugenol
enlaye

26/03/2016 à 13h21

je me régale quand tu causes ,Hodina ,( tjs bon une mise au point ).
si on regarde l'atm d et g ,on ne voit pas la meme forme des atm . toute fois il y en a 1 plus en avant que l'autre .est ce une projection du à une mauvaise position de mordu sur le bitonio , ou une dissymétrie anatomique , d'après toi ?
ps : à 12 ans quand meme .....une luxation chronique ?


12