Cookie Consent byPrivacyPolicies.comproblème sur 11 - Eugenol

problème sur 11

grossemolaire

25/03/2016 à 19h23

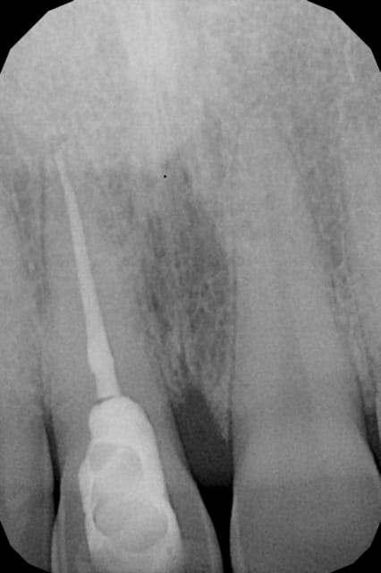
11 dévitallisée depuis longtemps et depuis une quinzaine de jours elle était douloureuse à la pression. Maintenant elle a une légère mobilité dans le sens vestibulo-palatin et une douleur quand j'appuie en vestibulaire à environ 1 cm du collet.
Est ce une fracture?
merci pour vos avis

Radio zujifm - Eugenol

Zorba le grec 1373406512 108 lfk5ey - Eugenol
zorbalegrec

25/03/2016 à 19h30

De fortes chances vu que la cavité trépanante a pas mal fragilisée la ratiche


Spix4ever

25/03/2016 à 20h46

Je ne vois pas de signe de fracture visible à la radio.

Par contre t'as une lésion paro angulaire en mésiale -> qui expliquerais la palpation douloureuse proche du collet?

Au vu de la cavité d'accès, le risque de fêlure est possible.


Vw campersurfvan bmnk1q - Eugenol
enlaye

25/03/2016 à 21h37

une surcharge occlusale ç est possible aussi .
verifie s'il n'y a pas une interference ou prematurité au fond du secteur 20
ou tout simplement aussi une dent du bloc ant du bas qui fait un sur contact .


Photo pluton1b h9n4ea - Eugenol
pluton

25/03/2016 à 22h32

faut étalonner vos écrans les gars....ou investir dans un bien meilleur écran....
parce que la fracture, elle est parfaitement visible sur le mien...comme je l'ai délimité en rouge....

Radio bdikdq - Eugenol

Avatar eugenol pe0ymx - Eugenol
nicklebenou

25/03/2016 à 22h38

pluton écrivait:
----------------
> faut étalonner vos écrans les gars....ou investir dans un bien meilleur
> écran....
> parce que la fracture, elle est parfaitement visible sur le mien...comme je l'ai
> délimité en rouge....

Je suis pas certain.
J avais vu le même trait que toi mais même chose sur la 12...donc pas convaincu


Photo pluton1b h9n4ea - Eugenol
pluton

25/03/2016 à 22h45

nicklebenou écrivait:
---------------------

> J avais vu le même trait que toi mais même chose sur la 12...donc pas convaincu

non, c'est pas du tout la même image sur 12...enfin sur mon écran...


Avatar eugenol pe0ymx - Eugenol
nicklebenou

25/03/2016 à 22h58

pluton écrivait:
----------------
> nicklebenou écrivait:
> ---------------------
>
> > J avais vu le même trait que toi mais même chose sur la 12...donc pas
> convaincu
>
> non, c'est pas du tout la même image sur 12...enfin sur mon écran...

Possible. Honnêtement toujours pas convaincu sans vouloir te vexer.cliniquement c est tout à fait probable mais sur cette radio j aurai du mal à avoir de certitudes :-)


G-P

25/03/2016 à 23h40

Je vois rien non plus sur un asus à 500 balles


Photo pluton1b h9n4ea - Eugenol
pluton

26/03/2016 à 03h01

G-P écrivait:
-------------
> Je vois rien non plus sur un asus à 500 balles

un asus à 500 balles çà veut rien dire...
moi je regarde çà sur l'un des meilleurs écrans de la production informatique mondiale...

http://www.lesnumeriques.com/ordinateur-portable/microsoft-surface-pro-4-p28933/test-labo-que-vaut-l-ecran-surface-pro-4-n47321.html


1309531 ours brun n5iukf - Eugenol
seespan

26/03/2016 à 05h01

C'est pas l'ércan qui compte :-) .

Un diagnostique de fracture ne peut se faire que sous différente angulation.
Sur une seul faux négatif et positif possible.

Donc convoquer le patient et faire de nouvelle radio.

--
หมอจัดฟัน


Photo pluton1b h9n4ea - Eugenol
pluton

26/03/2016 à 08h32

le problème pour une fracture, c'est qu'il faut que l'incidence du tube RX passe pile par le trait de fracture, donc le mieux c'est pas de refaire des radios mais de faire un scan ou un cône beam
de toutes façons...les premiers signes cliniques de souffrance parodontale (abcès, fistule, ...) ne devraient pas tarder non plus si c'est bien une fracture...


olivier

26/03/2016 à 08h40

Qui est presbyte ?


Photo pluton1b h9n4ea - Eugenol
pluton

26/03/2016 à 09h15

olivier écrivait:
-----------------
> Qui est presbyte ?

quel est le rapport? tu veux savoir çà pour "évaluer" l'expérience pro?
si oui, alors oui, je suis un peu presbyte avec la plus petite correction qui existe (mais parfois beaucoup "casse couilles" je l'avoue)
rien que de très normal à 44 ans...et 20 ans début juillet prochain, déjà, de travail au cab...


olivier

26/03/2016 à 10h05

non aucun rapport c'est pour un "bon" mot .
Personne n'a pensé à lui demandé si un sondage avait été effectué ?


G-P

26/03/2016 à 10h31

pluton écrivait:
----------------
> G-P écrivait:
> -------------
> > Je vois rien non plus sur un asus à 500 balles
>
> un asus à 500 balles çà veut rien dire...
> moi je regarde çà sur l'un des meilleurs écrans de la production informatique
> mondiale...
>
> http://www.lesnumeriques.com/ordinateur-portable/microsoft-surface-pro-4-p28933/test-labo-que-vaut-l-ecran-surface-pro-4-n47321.html

1/ lesnumeriques c'est de la grosse merde pour les tests hardware
Je t'invite à visiter des sites comme :
http://www.xbitlabs.com/ http://www.techpowerup.com/ http://www.anandtech.com/ http://www.guru3d.com/ et en français http://www.tomshardware.fr/

2/ meilleur écran - dans la catégories des ultraportables - donc bof


Avatar transparent iqadnc - Eugenol
adhoc

26/03/2016 à 11h02

L'image de départ est de tres bonne qualité, agrandissement possible à 250%
On voit bien la lésion paro... qui suit exactement le trait de fracture en zigzags (pluton)
Meme pour les presbytes / ecran moyen (!), pas de doute.

11 ccapyh - Eugenol
11 250 jykmx5 - Eugenol

cyril

26/03/2016 à 12h48

adhoc écrivait:
---------------
> L'image de départ est de tres bonne qualité, agrandissement possible à 250%
> On voit bien la lésion paro... qui suit exactement le trait de fracture en
> zigzags (pluton)
> Meme pour les presbytes / ecran moyen (!), pas de doute.
>

On voit bien une image paro en distal, par contre,elle ne suit pas le trajet en rouge de pluton qui est plus apical.

Donc pour moi grande probabilité de fracture,mais pas objectivable sur ce cliché ,à confirmer par la clinique


1309531 ours brun n5iukf - Eugenol
seespan

26/03/2016 à 12h50

Hadoc insiste encore un peut sur le zoom et l'interprétation et tu finira par apercevoir le Christ ou Elvis Presley

--
หมอจัดฟัน


grossemolaire

26/03/2016 à 13h08

je vous remercie pour vos avis, comme je lui avais dit que je demandais l'avis de confrères je l'ai rappelé ce matin.
sondage paro: rien de significatif
occlusion: OK
pour l'instant pas de fistule
les symptômes:id
J'ai fait une nouvelle radio sous un angle un peu différent, la 1ère a été faite avec angulateur. Je lui ai presris un scan et je vous tiendrai au courant.
Encore merci

Radio 2 sayvfs - Eugenol

grossemolaire

12/04/2016 à 16h44

Bin voila, effectivement fracture. Je ne voyais rien au scan mais elle est devenu mobile avec une fistule.