Cookie Consent byPrivacyPolicies.comSybronEndo Elements Free? - Eugenol

SybronEndo Elements Free?

Capture d  cran 2015 03 12 12.28 - Eugenol
chicot29

11/04/2016 à 22h57

Parce que ca part en vrille ( question de fluidité du ciment de scellement surement ou j'en mets trop). -)))


Prehome gif anime lfnqnl - Eugenol
fredledragon

13/04/2016 à 00h10

chicot29 écrivait:
------------------
> 1.Essayage du cone.
> 2.scellement du cone.
> 3. cone coupé au friendo.
> 4. léger down pack + foulé au machtou.
> 5. Chute du cone dans le canal.
> 6. thermo compaction au mac spadden.

1 l'assistante me passe le thermafil
2 il est dans le canal
3 c'est fini

Jamais pu faire plus compliqué, beaucoup trop faignant


Capture d  cran 2015 03 12 12.28 - Eugenol
chicot29

13/04/2016 à 14h47

4. j'ai un beau dépassement car je n'ai pas vérifié la longueur cone en place. -)

Tu ne peux pas vérifier le tuck back avec ce système qui coute la peau du cul. Si par hasard tu as sur instrumenté à l'apex tu te chopes une bonne fusée de gutta.


Prehome gif anime lfnqnl - Eugenol
fredledragon

13/04/2016 à 16h35

chicot29 écrivait:
------------------
> 4. j'ai un beau dépassement car je n'ai pas vérifié la longueur cone en place.
> -)
>
> Tu ne peux pas vérifier le tuck back avec ce système qui coute la peau du cul.
> Si par hasard tu as sur instrumenté à l'apex tu te chopes une bonne fusée de
> gutta.

là où tu vises l'excellence, je vise le résultat correct. Ta technique est celle de l'élite, la mienne je peux l'apprendre à mon assistante en 5 minutes. Nous ne parlons pas de la même chose.

Pour le coût moi ce n'est toujours pas l'achat des thermafils qui plombe ma compta, mais toujours urssaf carchident, et les impôts qui épongent le reste!


Marque a3 orange fyvhyq - Eugenol
Marc Apap

13/04/2016 à 17h47

Franchement, je ne suis pas d'accord . La technique la plus économique et la plus rapide, c'est la condensation thermo mécanique. Elle est un peu plus délicate que le thermafil, mais bien plus rapide pour des pluriradiculées, plus sûre (le tuteur c'est bof bof), plus facile à désobturer, et ne nécessite aucun périphérique.
La difficulté, c'est de maîtriser le geste et de passer le gutta condensor sur certaines molaires à cause de la place limitée


Prehome gif anime lfnqnl - Eugenol
fredledragon

13/04/2016 à 20h04

Marc Apap écrivait:
-------------------
> Franchement, je ne suis pas d'accord . La technique la plus économique et la
> plus rapide, c'est la condensation thermo mécanique.

NON la plus rapide et la plus économique ça reste la peinture au lentulo, même sur les pluri :)
Et en plus c'est super facile!


Marque a3 orange fyvhyq - Eugenol
Marc Apap

13/04/2016 à 20h26

Ne te fais pas plus bête que tu n'es. Tu as très bien compris que nous comparons des techniques différentes, à résultats équivalents.


lachmar

13/04/2016 à 20h36



le compacteur est une technique pour les mecs burnés et compétents

moi le thermafill me va très bien

avec les nouveaux il n'y a plus de problème de tuteur et si on n'est pas aux limites (ce qui est rarissime) il se foule très bien


Marque a3 orange fyvhyq - Eugenol
Marc Apap

13/04/2016 à 21h32

Franchement, je trouve dommage (et idiot) de se sacrifier pour un fabricant qui se gave sur les tuteurs enrobés de gutta, plutôt que de payer beaucoup moins cher d'autres outils proposés par le même fabricants, en pensant qu'ils sont très très difficiles à utiliser.
Il suffit de se prendre une demi-heure avec un confrère qui sait s'en servir et on attrape immédiatement le coup.


iyaudat

14/04/2016 à 16h25

Bon la tentation était trop forte, je l'ai reçu hier.

Ça a l'air pas mal même si c'est cher payé pour la "technologie" impliquée...
Test sur une 35 a deux canaux extraite. Je suis content du résultat du downpack mais le backfill me semble pas vraiment condensé...

R2 qp1avb - Eugenol

lachmar

14/04/2016 à 17h03

Marc Apap écrivait:
-------------------
> Franchement, je trouve dommage (et idiot) de se sacrifier pour un fabricant qui
> se gave sur les tuteurs enrobés de gutta, plutôt que de payer beaucoup moins
> cher d'autres outils proposés par le même fabricants, en pensant qu'ils sont
> très très difficiles à utiliser.
> Il suffit de se prendre une demi-heure avec un confrère qui sait s'en servir et
> on attrape immédiatement le coup.


je suis d'accord avec toi sur toute la ligne
mais j'ai vu des abominations de dépassements faits par des novices et je n'ai pas envie de faire la même chose tout simplement

j'ai essayé les premiers compacteurs de mc spadden en même temps que ses limes niti (les premières qui ont existé) , et je n'ai pas retenu le compatcor , et n'ai jamais abandonné le niti (sauf pour endo magic)


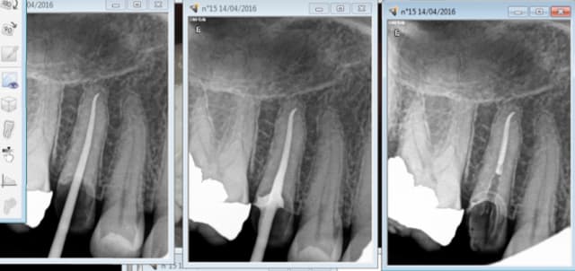
Capture d  cran 2015 03 12 12.28 - Eugenol
chicot29

14/04/2016 à 17h25

vu le tarif de merde des endos tu peux aussi t'arreter au cone scellé. -)

Ca donne de très belles images. tout comme l'essayage du cone d'ailleurs, on a pas forcément mieux condensé. -)-)

Capture d e cran 2016 04 14 15.23 - Eugenol
Capture d e cran 2016 04 14 15.25 - Eugenol

Capture d  cran 2015 03 12 12.28 - Eugenol
chicot29

14/04/2016 à 17h27

lachmar écrivait:
-----------------

>
> je suis d'accord avec toi sur toute la ligne
> mais j'ai vu des abominations de dépassements faits par des novices et je n'ai
> pas envie de faire la même chose tout simplement
>

Les pros ne vont pas à 2mm de l'apex avec le mac spadden. -)


Kev

16/04/2016 à 12h10

Bonjour,

Je cherche à commander des obturateurs soft-core. Il existe un distributeur en France ? ou faut-il s'adresser directement à Kerr?
Merci


Marque a3 orange fyvhyq - Eugenol
Marc Apap

16/04/2016 à 13h25

Tiens, j'apprends que Soft Core est vendu par Kerr maintenant ! ce sont également les Herofill de chez Micro Mega (le fabricant originel est CMS dental au Danemark)


12