Cookie Consent byPrivacyPolicies.comcompos au tarif sécu de merde - Eugenol

compos au tarif sécu de merde

Spix4ever

08/04/2016 à 13h51

bill écrivait:
--------------

> S'il refuse ?
> Et tu passes pour un voleur "ah bon mon dentiste avant je n'avais rien à payer

Je lui propose plusieurs devis généralement. 1 avec des soins "opposable" et du npc, un pour des onlays, et un avec endo ccm même parfois.
Je mets tous les actes opposables nécessaires sur chacun des devis.

Et là comme généralement le premier devis est 1 le moins cher et 2 le moins mutilant, c'est cette option qu'il choisit.

Après s'il est moins bien remboursé dans cette option à cause des npc qui n'ont aucune base sécu et donc souvent aucun remboursement mutuel, je lui explique que ce n'est pas ma faute si la sécu qu'il paye et la mutuelle qu'il paye le sodomise en ne lui offrant pas de se faire soigner dans les données acquises de la science.

Après s'il est imperméable à ce discours, je ne fais rien et on se quitte bon ami...

tout ça c'est en théorie je ne le systèmatise pas... encore... mais de plus en plus.

Parce que passer 1H a faire des compos sous digue stratifiés pour pas un rond dans l'espoir que le patient ait ensuite la reconnaissance de faire la couronne chez toi qui sera plus cher que le voisin car tu dois rattraper ta perte sur les soins en données acquises de la science ça m'épuise.

Et faire des soins en 10 min au pouce ça me fait chier aussi. Pas pour ça que j'ai fait ce métier.

Donc il va bien falloir trouver une solution :/




P2eqdh3csim6s7nb09ktdq3e7ev8 - Eugenol
barbabapat

08/04/2016 à 13h58

atrax écrivait:
---------------
> Est il possible de coter inlay semi-direct donc faire un dépassement, mais ne
> faire qu'un composite?
> Qui peut prouver que le contraire?

Ca serait quand même mieux de modifier la convention que de bidouiller dans son coin en faisant des conneries et en espérant que cela ne se voit pas.

Par contre après la sous valorisation des soins générale acceptée lors de la dernière convention avec le passage à la CCAM, la sécu nous attends maintenant avec son systeme d'augmentation contre des renoncements sur des actes sous valorisés à la base.


Capture d  cran 2015 03 12 12.28 - Eugenol
chicot29

08/04/2016 à 14h26

Spix4ever écrivait:
-------------------
> bill écrivait:
> --------------
>
> > S'il refuse ?
> > Et tu passes pour un voleur "ah bon mon dentiste avant je n'avais rien à payer
>
> Je lui propose plusieurs devis généralement. 1 avec des soins "opposable" et du
> npc, un pour des onlays, et un avec endo ccm même parfois.
> Je mets tous les actes opposables nécessaires sur chacun des devis.
>
> Et là comme généralement le premier devis est 1 le moins cher et 2 le moins
> mutilant, c'est cette option qu'il choisit.


Le moins cher ? Mais ca il n'en a rien à secouer. C'est la ligne "reste à charge" qui est importante. Ton devis initial sans remboursement de la mutuelle n'est pas complet ! -))))
Cas d'école : remboursement sécu + mutuelle 300 % ( sécu 70 %, mutuelle 230 %) Un devis ic ceram ( 687 euros) et un devis onlay 3 faces. ( 350 euros) Reste à charge ic ceram 0, reste à charge onlay 309,03.
Tu ne crois pas qu'il va en plus faire faire des économies à sa mutuelle qu'il paie une fortune non ? -)))
C'est comme ca qu'il se retrouve avec un stock d'ic ceram en bouche, gratuites surmontant des traitements endos opposables à un tarif de merde "gratuits". Et comme je l'ai déjà dit comme en général pour un tarif de merde on a des traitements de merde il n'est pas rare de voire débarquer au cabinet des hamsters céramisés de la cave au grenier. -)
Comme celui ci cadre dans une grande entreprise avec une "bonne moutouelle" vu en urgence cette semaine suite à une bonne pèche sur 15-16 qui est reparti avec ca boite d'augmentin en attendant mieux. -)))




Capture d e cran 2016 04 08 12.08 - Eugenol
Capture d e cran 2016 04 08 12.09 - Eugenol
Capture d e cran 2016 04 08 12.23 - Eugenol

Capture d  cran 2015 03 12 12.28 - Eugenol
chicot29

08/04/2016 à 14h35

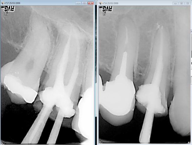
Enfin bon la 15 et la 16 je m'avance peut etre un peu. C'est possible que ce soit la 14 ou la 17 car en 2009 je ne mettais pas la digue et je ne condensais pas au mac spadden ( d'ailleurs ca c'est susceptible de constituer un indu car ca ne respecte pas les recommandations HAS lol !) . Qu'en pensez vous ? -))))

Capture d e cran 2016 04 08 12.33 - Eugenol

makalu

08/04/2016 à 15h17

Oh misère , je ne pensais pas que ma question allait déclencher de telles réactions. Sincèrement désolé.
Ceci étant , et pour répondre à certains post:
Non je ne me fous pas de vous. J'étais sérieux
Non , chez moi cela ne se termine pas en endo+IC+CCM.
Je ne fais pas 10 IC par an. C'est pour moi une technique obsolète et dangereuse surtout avec des IC en nichel chrome. C'est pas parce que c'est remboursé qu'il faut le faire...
Et les couronnes sont de moins en moins nombreuses. J'exerce depuis 30 ans dans le même cabinet et j'ai choisi de privilégier la prévention et les soins précoces que je facture à leur juste prix et mes patients en sont ravis. Bien sûr j'ai conscience que c'est un travail de longue haleine.
Je suis conventionné comme vous tous mais j'ai décidé depuis longtemps de briser mes chaines pour travailler correctement. Et , à ce jour, on ne m'a pas envoyé en prison.
Oser, il faut oser !


Capture d  cran 2015 03 12 12.28 - Eugenol
chicot29

08/04/2016 à 15h33

makalu écrivait:
----------------

> Je suis conventionné comme vous tous mais j'ai décidé depuis longtemps de briser
> mes chaines pour travailler correctement. Et , à ce jour, on ne m'a pas envoyé
> en prison.
> Oser, il faut oser !

Faut oser se déconventionner parce que tes chaines tu ne les a pas brisées en restant conventionné.
D'un autre coté je ne peux meme pas te qualifier de malhonnête car en face le système est inique.
Tu es à ranger dans la meme catégorie que les exilés dans les paradis fiscaux qui fuient les enfers fiscaux. -)

Tout ceci est la caractéristique d'un régime totalitaire. Tu peux quand meme t'affranchir des règles imposées l'oppresseur en étant dans l'illégalité. le" système D" finit par devenir plus important que le régime "légal" dans ces systèmes collectivistes.
Je ne doute pas que tu sois de bonne fois, et que ta facon de faire de la dentisterie soit la bonne, mais si tu te fais choper tu seras traité comme un criminel. Indus , abus de bien sociaux ( tu sais cette avantage ASM sur les soins opposable dont tu bénéficies en étant conventionné) et j'en passe et des meilleures.
Seuls ces abrutis de collectivistes sont persuadés d'avoir des soins de qualité à des tarifs de merde.


Ratata

08/04/2016 à 16h07

Salu ! Ma pratique s' oriente vers la tienne mais comment fais tu concrètement pour ne pas travailler a perte ? tu cotes quoi en plus des codes pour les obturations ?


Capture d  cran 2015 03 12 12.28 - Eugenol
chicot29

08/04/2016 à 16h35

Je dévitalise et je couronne quand je tombe dans la pulpe ( quand on maitrise l'endo c'est plus un problème, contrairement à mes débuts ou je passais 3 plombes à gratter la dentine ramollie pour éviter ca) . La plupart des patients ( 95 %) prennent rendez vous soit au stade fracture pour cause de carie balaise soit au stade douleur. Donc ca permet de ne pas prendre de dépassements sur les soins conservateurs, il faut penser activité globale ! et non pas soin global ( hein lachmar !) -)
De temps en temps ( fort heureusement lol !) certains viennent pour des visites de controle et c'est là qu'on perd du pognon en leur faisant des soins simples à un tarif opposable de merde. -)
Globalement les restes à charge restent peu importants( après remboursement sécu et mutuelle) sauf pour l'implanto, la paro et la dentisterie adhésive. Cela induit un comportement irresponsable qui finalement finit par nous bénéficier. Alors bien sur les caisses essaient de rattraper la chose avec leurs BBD à 30 euros mais il faudra des décennies pour changer les habitudes, la plupart de ces BBD atterrissant dans le classeur vertical des assurés.-)
Il y a meme des personnes âgées qui le reçoivent alors qu'elles sont déjà équipées d'un complet haut et bas. je suis plié de rire à chaque fois ! -)))


Ratata

08/04/2016 à 18h37

makalu écrivait:
----------------
> Oh misère , je ne pensais pas que ma question allait déclencher de telles
> réactions. Sincèrement désolé.
> Ceci étant , et pour répondre à certains post:
> Non je ne me fous pas de vous. J'étais sérieux
> Non , chez moi cela ne se termine pas en endo+IC+CCM.
> Je ne fais pas 10 IC par an. C'est pour moi une technique obsolète et dangereuse
> surtout avec des IC en nichel chrome. C'est pas parce que c'est remboursé qu'il
> faut le faire...
> Et les couronnes sont de moins en moins nombreuses. J'exerce depuis 30 ans dans
> le même cabinet et j'ai choisi de privilégier la prévention et les soins
> précoces que je facture à leur juste prix et mes patients en sont ravis. Bien
> sûr j'ai conscience que c'est un travail de longue haleine.
> Je suis conventionné comme vous tous mais j'ai décidé depuis longtemps de briser
> mes chaines pour travailler correctement. Et , à ce jour, on ne m'a pas envoyé
> en prison.
> Oser, il faut oser !



Merci Chicot mais je voulais répondre a Makalu.

je voulais savoir que cote Makalu pour faire de bons soins sans perdre de l' argent. Ok pour ton idée de soins précoces et prevention mais tes patients acceptent t ils vraiment tes devis pour actes NPC type seance a la motivation a l' hygiene et compagnie ?

ps: Pour Chicot: longtemps je me suis dit que tu ne faisais que des tenons et couronnes, que ce n' etais pas possible vu qu' on est " a l' époque d' onlays, collage et autres ". finalement j' ai compris ton point de vue que j' applique de plus en plus dans certains cas. Systeme de merde.


makalu

08/04/2016 à 20h19

Pour répondre à ta question ratata c'est en fait très simple. Avant, du temps de la NGAP j'utilisais énormément le HN en complément des cotations sécu. Maintenant c'est encore mieux car la CCAM est très riche quand on y regarde bien.
exemple: un acte méprisé (et pourtant si utile et bénéfique à nos patients), le détartrage. Tu cotes et facture tes 28,92 euros plus ( en fonction du temps passé et en toute honnêteté ) un surfaçage radiculaire. L'acte est coté mais non remboursé. Personnellement je refuse de bosser une heure pour 28,92euros et je refuse aussi de laisser partir un patient sans avoir fait ce travail qui dans l'avenir lui évitera de perdre des dents avec à la clef, bridges , implants et autres trucs pas honéreux... De plus les actes CCAM non remboursés ne sont pas transmis aux caisses. Ils ne sont portés que sur les factures destinées aux mutuelles. Il n'y a donc aucun soucis. On respecte la loi. Mais il faut bien sûr l'accord des patients.
Et si tu regardes bien il y a énormément de possibilités de se faire honorer correctement son travail sans tomber dans le piège mortifère du rattrapage sur la prothèse qui, il faut bien l'avouer, peut nous pousser à faire des couronnes là où l'on aurait pu faire autrement. L'inlay core est un bel exemple de sur traitement très souvent inutile mais sur employé en France pour les tristes raisons que nous connaissons.
Je suis maintenant en vue de ma fin de carrière ( 6 ans peut être) et je suis heureux dans un exercice, certes très décalé, mais qui me semble plus bénéfique pour mes patients. Cela a été long à mettre en place. Cela s'est fait petit à petit. Mais mes patients en sont , semble t il, heureux.Ils ont finis par comprendre que c'était dans leur intérêt de payer quelques dizaines d'euros de leur poche tous les ans plutôt que d'attendre les catastrophes.
Je crois que nous sommes des médecins de la bouche. Nous avons prêtè un serment le jour de notre thèse qui a pour moi une grande signification. Bon , j’arrête car je vais encore passer pour un idéaliste. Mais je refuse avec la plus grande énergie ce que m'avait dit un confrère à qui je parlais de l'importance fondamentale de la prévention: " tu scies la branche sur laquelle tu es assis" NON NON et NON. Je précise que l'on peut vivre très bien avec ce type d'exercice.
Je dis tout cela avec la plus grande gentillesse et sans la moindre once d’agressivité.
Je vous souhaite à tous un bon WE


Capture d  cran 2015 03 12 12.28 - Eugenol
chicot29

08/04/2016 à 20h33

Ratata écrivait:
----------------

> ps: Pour Chicot: longtemps je me suis dit que tu ne faisais que des tenons et
> couronnes, que ce n' etais pas possible vu qu' on est " a l' époque d' onlays,
> collage et autres ". finalement j' ai compris ton point de vue que j' applique
> de plus en plus dans certains cas. Systeme de merde.

Ah ! mais c'est pas mon point de vue c'est le point de vue des technocrates qui on pondu cette nomenclature et de ceux qui ont signé cette merde. Moi je suis pragmatique j'ai fait une filière "scientifique " parce que ca donne le plus de choix, meme si les matières scientifiques ne me branchaient pas plus que ca. -)


Capture d  cran 2015 03 12 12.28 - Eugenol
chicot29

08/04/2016 à 20h42

makalu écrivait:
----------------

> Je suis maintenant en vue de ma fin de carrière ( 6 ans peut être) et je suis
> heureux dans un exercice, certes très décalé, mais qui me semble plus bénéfique
> pour mes patients. Cela a été long à mettre en place. Cela s'est fait petit à
> petit. Mais mes patients en sont , semble t il, heureux.Ils ont finis par
> comprendre que c'était dans leur intérêt de payer quelques dizaines d'euros de
> leur poche tous les ans plutôt que d'attendre les catastrophes.

C'est certain, pour bien etre soigné il faut faire ce que la sécu et les mutuelles ne remboursent pas ou peu.
Par contre moi je n'ai aucun problème pour faire bénéficier les patients des avantages d'un système collectiviste qu'ils ont choisi. Après tout ils paient très cher pour ca. -)


12