Tous les forums
Kyste Cetelem ?
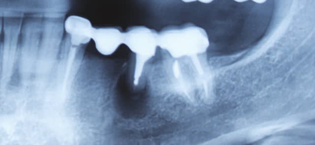
08/04/2016 à 16h33
les jours se suivent et ne se ressemblent pas .
il avait l'air beau ce kyste ,non ?
ben en fait il etait superbe ,tout en couleur .
bon ,je coupe le bridge , ,et je sors la cito .
clic clic , j'injecte tranquille ,sauf qu'au moment du 3eme clic ,il me monte un jus transparent comme de l'eau ,puis un jus vert metal ,comme du petrole dans la mer .
mais pas le vert mollard de vieux , non un zoli vert pomme !!
bizarre ,mais comme plus rien ne m'étonne et que je m'en branle de tout ,je continue avec la femme à Cetelem .
je vire la couronne avec l'ic , tiens ,la racine est nickel ,pas fendue ,pas ramollo ,propre .en plus le gonz qui a fait ça a fait 2 endos très propres aussi de part et d'autres.
j'enlève difficilement la racine , m'attend à cureter gras miam miam , putain rien .moi qui pensait me gaver .
mais au fond ,le jackpot , un kyste vert émeraude .merde il part dans l'aspi , fluup!
haaaa , j'ai failli mettre mes ray-ban , prendre la lampe a compo et lui en mettre un grand coup dans les yeux façon Men in Black . salle bête de martienne .
j'ai compris ce que ç était , il m'a fallu 5 mn , et vous ?
08/04/2016 à 17h00
dcs écrivait:
-------------
> pas une photo de la bete?
Pas eu le temps ,la bestiole est partie dans l aspi.
08/04/2016 à 17h03
dcs écrivait:
-------------
> pas une photo de la bete?
Ah pardon ,une photo de la martienne ?
Bonne comme tout avec de grand yeux verts , d ailleurs :-)
08/04/2016 à 17h33
juste une petite question :
le patient avait des doleances qui ont motivé l'extraction ?
08/04/2016 à 17h42
enlaye écrivait:
----------------
> colza2 écrivait:
> ----------------
> > silicone light ?
>
> Trop fort le colza :-):-)
Au moins après le botox et le blanchiment, ca laisse un nouvel espace de liberté tarifaire dans les prothèses de seins si notre light est si bien toléré par l'organisme.
08/04/2016 à 17h44
enlaye écrivait:
----------------
>
mais comme plus rien ne m'étonne et que je m'en branle de tout
>
>
MDR ! Les vieux routards de la dentisterie...
J'adore :-)
08/04/2016 à 17h50
enlaye écrivait:
----------------
> j'enlève difficilement la racine , m'attend à cureter gras miam miam , putain
> rien .moi qui pensait me gaver .
> mais au fond ,le jackpot , un kyste vert émeraude .merde il part dans l'aspi ,
> fluup!
Deux questions me viennent à l'esprit :
- tu ne nous dis pas si tu l'a remise ensuite dans l'alvéole... La dent, pas la boule de silicone bien sûre :-)
- comment le silicone a-t-il bien pu arriver jusqu'à l'apex sans qu'il n'y ait de lésion paro? L'empreinte a été prise avant l'obturation endodontique??? :-))))
08/04/2016 à 18h01
Toujours aussi poilant le Enlaye ! le silicone est passé par l'alvéole de la 4 ... ? Bon tu la remises ou pas !!? il t'en arrive des vertes et des pas mûres à toi !
08/04/2016 à 19h00
lachmar écrivait:
-----------------
" juste une petite question : le patient avait des doleances qui ont motivé l'extraction ? "
ah non pas du tout : elle est venue pour un conseil-devis .
je lui ai dit ,profitez , j'suis en pleine forme ce matin .
à la fin elle m'a demandé ,et quand vous etes en super forme ç est comment ?
08/04/2016 à 19h10
carident écrivait:
------------------
¨" Deux questions me viennent à l'esprit :
- tu ne nous dis pas si tu l'a remise ensuite dans l'alvéole... La dent, pas la boule de silicone bien sûre :-)"
nonon , je ne l'ai pas remise , j'avais trop peur qu'elle se transforme en guohaoud silicoide intersideral .
08/04/2016 à 19h12
carident écrivait:
------------------
" - comment le silicone a-t-il bien pu arriver jusqu'à l'apex sans qu'il n'y ait de lésion paro? L'empreinte a été prise avant l'obturation endodontique??? :-)))) "
je ne pense pas que l'empreinte a ete prise avant l'obturation endodontique .
reflechi encore :-))))))
08/04/2016 à 19h14
casa écrivait:
--------------
" Toujours aussi poilant le Enlaye ! le silicone est passé par l'alvéole de la 4 ... ? "
non
08/04/2016 à 19h48
Le forage du tenon est bien bas. Lors de l'empreinte (tenon anatomique?) le confrère a blindé de light qui a fusé par l'apex? (ou éventuel canal accessoire ou perfo)
08/04/2016 à 20h55
Spix4ever écrivait:
-------------------
" Le forage du tenon est bien bas. Lors de l'empreinte (tenon anatomique?) le confrère a blindé de light qui a fusé par l'apex? "
+1
oui oui , tu as vu ?, l' ic est plus long que le trou du foret calibré .
à mon avis lorsqu'il a foré , le bouchon de gutta est parti .
puis lors de l'empreint le light a fusé dans le peri- apex .
à cela tu rajoutes le ciment la fois d'apres , ça à fait un effet boeuf .
quand j'ai enlevé la petite bille de silicone , petite comme une tete d'epingle ,elle etait enveloppée dans un gluant blanc tout propre . un OEIL de bœuf !!brrrr :-)))
08/04/2016 à 21h09
D'ailleurs le truc blanc en mésial de cette dent ("ds le septum)"c'est pas le bouchon de gutta qui aurait sauté et fait la malle ? :D
08/04/2016 à 21h16
et à ton avis c'était quoi le liquide vert lors de ton intraligamentaire? parceque ton silicone, il aurait dû polymeriser, pas être liquide...?
08/04/2016 à 21h17
enlaye écrivait:
----------------
> Spix4ever écrivait:
> -------------------
> " Le forage du tenon est bien bas. Lors de l'empreinte (tenon anatomique?) le
> confrère a blindé de light qui a fusé par l'apex? "
>
> +1
> oui oui , tu as vu ?, l' ic est plus long que le trou du foret calibré .
> à mon avis lorsqu'il a foré , le bouchon de gutta est parti .
> puis lors de l'empreint le light a fusé dans le peri- apex .
ça s'appelle un inlay-core trans-fixé avec amortisseur siliconé :-)
08/04/2016 à 21h21
plutot le ciment de scellement ( le truc blanc ), je pense .
ç est lui à mon avis qui a causé le pb .
je te dis ça pcq je l'ai dejà vu lors d'une extraction reimplantation.
attend , ç est possible aussi que la gutta fut chassé par la pression du light , mais cela voudrait dire qu'il flottait dans le canal ,oui pourquoi pas .
08/04/2016 à 21h24
mrquentin écrivait:
-------------------
" et à ton avis c'était quoi le liquide vert lors de ton intraligamentaire?
parceque ton silicone, il aurait dû polymeriser, pas être liquide...? "
le light qui est hydrolysé , dégradé , je pense