Cookie Consent byPrivacyPolicies.comLa saga des SC 33 - Eugenol
Capture d  cran 2015 03 12 12.28 - Eugenol
chicot29

11/04/2016 à 18h53

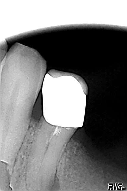
Numéro 1. -)

Capture d e cran 2016 04 11 16.52 - Eugenol

Dsc05680 medium aphmfg - Eugenol
BasArtDentaire

11/04/2016 à 18h57

tenon dentinaire tout au plus. ;)


Jack 2 wm3tqs - Eugenol
Trepo

11/04/2016 à 19h02

Nouvelle dentisterie adhésive :)
Économie tissulaire, économie tissulaire !!! Il a même économisé le contenu canalaire :)


Avatar eugenol pe0ymx - Eugenol
nicklebenou

11/04/2016 à 19h04

chicot29 écrivait:
------------------
> Numéro 1. -)

là j'avoue c est magnifique :-)


doc.yoyo

11/04/2016 à 20h08

Même pas mal !!!


Avatar transparent iqadnc - Eugenol
adhoc

11/04/2016 à 20h33

bah sans doute un peu, doc yoyo, s'il a eu besoin des services de chicot29! (l'apex a connu des jours meilleurs)p
Sinon, je suis assez admiratif!


Capture d  cran 2015 03 12 12.28 - Eugenol
chicot29

11/04/2016 à 21h05

Je pense qu'on doit pouvoir trouver mieux, à l'envers, ou à l'horizontale dans une molaire. Sur fond d'absence de tt canalaire c'est mieux. -)


VivaEuropa?

12/04/2016 à 00h13

Optimisation CCAM : Gagner plus en travaillant moins. Merci qui?


Vw campersurfvan bmnk1q - Eugenol
enlaye

12/04/2016 à 00h22

Y a quoi autour du screw ? Du cavit ou de la résine auto ?


Capture d  cran 2015 03 12 12.28 - Eugenol
chicot29

12/04/2016 à 02h50

Sais pas. Mais la résine auto j'ai eu un peu plus tot dans la journée. Un trois quart de couronne avec une technique sandwich compo en vestibulaire et résine auto autour du screw post. -)

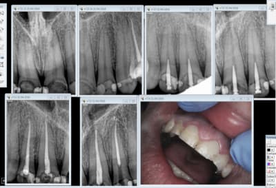
Cas N° 2. -)

Capture d e cran 2016 04 12 00.47 - Eugenol

paradoxe

12/04/2016 à 12h39

Ben quoi.. c'est rapide, économique, ça correspond au recommandation CPAM et mutuelles (rcr), c'est fait dans un cabinet ISO9002, et si c'est du TP c'est du parfait socialiste.
Bon d'accord, il y a des douleurs.
Nulle part dans les conventions et les milliers de rapports et d'études administratives il n'est cité le mot 'douleur'.
Donc ça doit pas exister ?
Ce qui m'a d'ailleurs toujours étonné..


john33

12/04/2016 à 12h44

Pas mieux ;)

Y'en a qui ont peur de rien lol

Xxx b145dx - Eugenol

carident

12/04/2016 à 13h12

chicot29 écrivait:
------------------
> Sais pas. Mais la résine auto j'ai eu un peu plus tot dans la journée. Un trois
> quart de couronne avec une technique sandwich compo en vestibulaire et résine
> auto autour du screw post. -)
>
> Cas N° 2. -)

Hummmm... Technique sandwich? Avec un screw post? ça s'appelle comment?

Un club sandwich! :-)))

Club sandwich 1 m5qfzf - Eugenol

Gonzo k0qhwz - Eugenol
matten

14/04/2016 à 13h52

oh oh

Image1 fistkz - Eugenol

Capture d  cran 2015 03 12 12.28 - Eugenol
chicot29

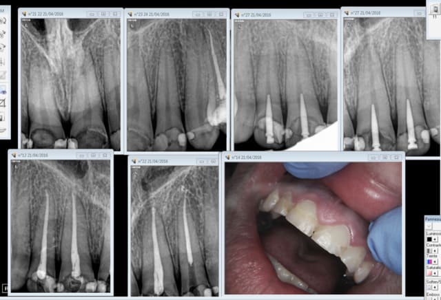
21/04/2016 à 14h14

Yes ! -)

Capture d e cran 2016 04 21 12.12 - Eugenol

Capture d  cran 2015 03 12 12.28 - Eugenol
chicot29

21/04/2016 à 18h58

Ben tiens, de mieux en mieux On ne change pas une équipe qui gagne. Enfin bon ca a ses limites motif de la consult à votre avis ? -)

Capture d e cran 2016 04 21 16.54 - Eugenol

Hollande portrait nu x0motm - Eugenol
DocteurCuir

21/04/2016 à 20h02

et hop

Pano ihdnrf - Eugenol

Mm goodteeth2 ex0rr1 - Eugenol
Jules

22/04/2016 à 14h28

"Avant j'allais au dentiste mutualiste, mais mon médecin a demandé qu'il me fasse un panoramique, ça l'a énervé très fort. Il est très gentil ce docteur, mais ça ne tient jamais très longtemps."

Fait en 2015...

1 gk5alo - Eugenol
2 nsahno - Eugenol
3 zubpzz - Eugenol
4 aupjvh - Eugenol
5 hzp2ie - Eugenol

Generique fraisage r2rxmm - Eugenol
lardonbis

22/04/2016 à 14h43

Je juge pas ( et dieu sait j'en ai vu des merdes en centre)
.
Ça sent le truc fait pour dépanner le temps la prise en charge du complet+locator et patient qui revient pas.

Ne jamais "dépanner", on passe pour des charlots...


Capture d  cran 2015 03 12 12.28 - Eugenol
chicot29

22/04/2016 à 14h50

Ca ne tient jamais très longtemps .....

A mon avis il y a récidive. -)


Generique fraisage r2rxmm - Eugenol
lardonbis

22/04/2016 à 14h56

en tout cas j’espère que c'était pas le poseur de screwpost qui allai mettre les implants :)


Capture d  cran 2015 03 12 12.28 - Eugenol
chicot29

22/04/2016 à 14h57

Quand à moi j'ai bien ri en jouant au dentiste qui "fidélise". -)

Capture d e cran 2016 04 22 12.56 - Eugenol

Jack 2 wm3tqs - Eugenol
Trepo

26/04/2016 à 12h28

Bon désolé, je ne crois pas qu'il y ai un SC33 dans ce truc, à moins que ... Ceci dit j'aimerais autant pas, je pourrais reprendre l'endo à travers la Cr, même si Au moins 2 canaux ... (je suis bien con)

R2 p8tzop - Eugenol

Capture d  cran 2015 03 12 12.28 - Eugenol
chicot29

26/04/2016 à 19h28

Bon là il y en avait un. -)

Capture d e cran 2016 04 26 17.24 - Eugenol

docgentil

04/05/2016 à 18h13

Le Screw du jour.
Ce qui m'attriste le plus c'est que le patient a 25 ans.

Sc33 bczylk - Eugenol

12