Cookie Consent byPrivacyPolicies.comRescue par un AnyRidge MegaGen - Eugenol

Rescue par un AnyRidge MegaGen

Logo m4n3gc - Eugenol
drmarcus

19/04/2016 à 13h49

Première chose mes excuses à ceux que j'ai délaissé, oublié ou tardé à répondre.
J'ai été sollicité pour témoigné. Je préfère vous présenter le cas clinique de ce matin.
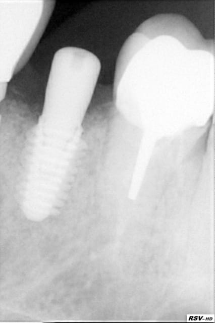
Patient ayant eu une EIMCI avec pilier Peek en ....2011!
Ces piliers ne sont pas fait pour encaisser les forces de mastication. La sentence est tombé: Fracture dans l'implant du piler 4 ans après. (3 premières photos)

Après des tentatives infructueuses de retirer la partie "soudée" dans l'implant la décision fut prise de remplacer cet implant. Il est parfaitement ostéointégré et dans ce cas ceux qui en ont posé savent qu'il impossible de le dévisser sans fracture osseuse même lors de son placement.
Il existe 2 solutions pour le retirer la piezzo ou le trépan.
J'ai donc choisi cette dernière solution très rapide.
Je vous laisse regardé les images.

Le remplacement c'est fait par un AnyRidge de chez MegaGen de diamètre 5 et longueur 10. J'ai juste profiter de la situation pour re-combler là ou en 2007 on avait mis de l'os autogène....mais ou est il passé? Le comblement a été fait avec une recette maison à base de PRF os bovin et bétaTCP.

--
"La seule chose promise d'avance à l'échec, c'est celle que l'on ne tente pas" Paul Emile VICTOR

Dsc04390 odjr70 - Eugenol
Dsc04391 grmz8v - Eugenol
Ar2 pgbzlj - Eugenol
Dsc04598 jjna3k - Eugenol
Dsc04604 z23oif - Eugenol
Dsc04605 xpbexh - Eugenol
Dsc04608 oj2bg2 - Eugenol
Dsc04611 yl0esj - Eugenol
Dsc04612 eny2jg - Eugenol
Dsc04615 giwexf - Eugenol
Dsc04616 nwcf6b - Eugenol
Dsc04617 xk5ypc - Eugenol
Dsc04618 otv0gb - Eugenol
Dsc04619 xzpeth - Eugenol
Dsc04622 asuhmx - Eugenol
Dsc04623 ahkkvb - Eugenol
Dsc04626 jgmwzy - Eugenol
Dsc04628 u2six5 - Eugenol
Dsc04629 eewhwh - Eugenol
Dsc04631 iql0xu - Eugenol

Logo m4n3gc - Eugenol
drmarcus

19/04/2016 à 13h50

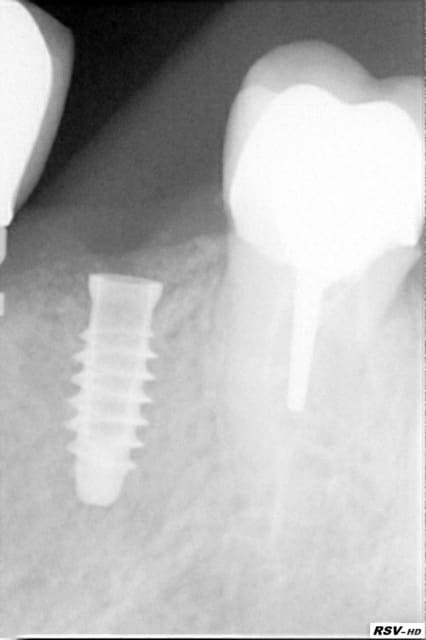
Voilà la rx post op elle ne passait pas dans le premier message.

--
"La seule chose promise d'avance à l'échec, c'est celle que l'on ne tente pas" Paul Emile VICTOR

Ar1 jomzr9 - Eugenol