Cookie Consent byPrivacyPolicies.comorthodontie fontionelle - Eugenol

orthodontie fontionelle

1309531 ours brun n5iukf - Eugenol
seespan

25/04/2016 à 04h44

charleston écrivait:
--------------------
> Sujet bien intéressant mais si l'orthodontiste parangon de l'evidence based
> dentistry nous écrivait en orthographe et grammaire fondée sur la preuve aussi,
> ce serait plus agréable à lire. Pour ma part, je suis maintenant persuadé après
> 30 ans d'omnipratique que les orthodontistes se foutent pas mal des fonctions vu
> le nombre de récidives observées, des déglutitions et ventilations non corrigées
> en fin de traitement etc.....

Je suppose que vous avez creusé le sujet des récidives orthodontiques ? :-) .

J'adore le professionnalisme et l'esprit critique de certain membre du forum. Je pose une question simple :

Donnez mois les bases scientifiques sur laquelle vous vous appuyer pour prôner une approche fonctionnelle qui ne semble pas pratiquer nombre d'ortho malgré les avantages évident que vous sembler attribué a cette modalité de traitement.

A cette simple question zéro réponse à part " mais tu comprends rien, on te dit que ça marche " ou " mais tu comprend rien l'ortho classique c'est nulle donc il faut faire autre chose, pas important si personne ne semble d'accord sur l'autre chose c'est quoi exactement ".

En début de master j'avais cherché des informations sur une approche myofonctionnel. Comment réhabitué la langue, estimé son impacte ect.
Résultat des course un seul bouquin publié il y a plus de 60 ans. J'ai posé la question en Thailand, sur les forums US et même sur nonol.
Personne n'avait de références plus récente.
J'aimerais bien me dire que c'est parce que ça marche tellement bien qu'il n'y a plus rien à changé, le soucis c'est que même un truc bateaux, connue, utilisé et réutilisé comme le quadelix donne toujours sujet à publication.



Mais comme ils ne voient plus les patients
> après....Basta. Commentaire un peu violent mais tellement réaliste.

Et vous pensez quoi des généralistes qui ne peuvent gagner leur vie qu'en céramisant et cloutant la bouche de leur patient? Quitte à sombré dans les clichés autant y aller franco.

--
หมอจัดฟัน


120 81 mdkvjo - Eugenol
Monaco

25/04/2016 à 07h20

Je crois que l'approche fonctionnelle est vraiment Européenne.
En effet pas d'evidence based là dessus. Quand vous lisez le Proffit, une référence de l'odf outre atlantique, on vous dit bien que rien ne met en lumière la prépondérance du fonctionnel sur le mécanique en ODF.


RookMoot

25/04/2016 à 17h38

lachmar écrivait:
-----------------
>
> les liens entre troubles musculo-tendineux sont aussi largement decrits
> également ... les sportifs de haut niveau ont tous un suivi dentaire tres strict

Euh...

http://bjsm.bmj.com/content/early/2013/09/24/bjsports-2013-092891.abstract
>
> et on peut poursuivre à l'infini


lachmar

25/04/2016 à 19h48

seespan écrivait:
-----------------

>
> Non je n'ai aucune conviction. J'ai était dans l’incapacité de trouver une
> littérature scientifique suffisante pour m'indiqué qu'une relation suffisante
> existe pour espérer obtenir des résultat lors d'un traitement.
>
> Si vous avez des éléments vous permettant de penser le contraire, je vous en
> prie exposez les. Comme indiqué je ne demande qu'à apprendre.
>
> Je me permet juste de douter de l'existence de vos référence vue qu'il me parait
> hautement improbable qu'un pan entier de ma discipline et échapper à mon
> attention. Par expérience dentiste et ortho même évidence based ne rêve que
> d'une chose c'est d’accroître le champs de leur compétence. Il faut juste savoir
> séparer ceux qui font dans l'expérimental façon apposition des mains et se
> satisfont de leur seul conviction que ça marche et ceux qui ont une véritable
> démarche scientifique, démontrable et reproductible.
>
> --
> หมอจัดฟัน


quand je vous lis... je me dis : heureusement que Louis Pasteur et beaucoup d'autres (ceux qui ont fait avancer la médecine ou la science ) n'aient pas eu le même mode de pensées que vous


Images 1 qtgoxf - Eugenol
ciwil

25/04/2016 à 21h35

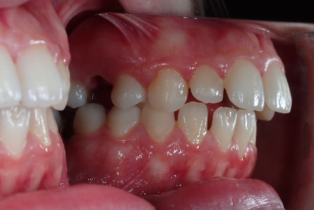
Vue en 1ère consult tout à l'heure, 14 ans et pas toutes ses dents, un cas typique de déglutition primaire.
Quel traitement permettra d'éviter une récidive ?
(j'ai pas les radios)

A1 uh3kid - Eugenol
A2 bnhebn - Eugenol
A4 hggigx - Eugenol
A6 o1m53m - Eugenol

Vw campersurfvan bmnk1q - Eugenol
enlaye

25/04/2016 à 22h12

ciwil écrivait:
---------------
" Quel traitement permettra d'éviter une récidive ? "

en supprimant les prématurités ( qui sont a mon avis aussi interférences ) des dents du fond .

ensuite , bien souvent vous dites : problème de langue primaire , alors que je les appellerais secondaires .
très souvent ils se servent de la langue comme d'une gouttière de désocclusion naturelle .


Vw campersurfvan bmnk1q - Eugenol
enlaye

25/04/2016 à 22h18

holeinone écrivait:
-------------------

" Je vois également beaucoup de personnes qui ont entre 25 et 30 ans avec de belles récidives lorsqu'il n'y a pas eu de fil de contention entre 33 et 43.
Souvent des douleurs à l'ATM aussi pour des patients d'une vingtaine d'années "

peux rien dire ,j'ai promis :-))))))))))))


Gps moto wouomg - Eugenol
charleston

25/04/2016 à 23h49

seespan écrivait:
-----------------
> charleston écrivait:
> --------------------
> > Sujet bien intéressant mais si l'orthodontiste parangon de l'evidence based
> > dentistry nous écrivait en orthographe et grammaire fondée sur la preuve
> aussi,
> > ce serait plus agréable à lire. Pour ma part, je suis maintenant persuadé
> après
> > 30 ans d'omnipratique que les orthodontistes se foutent pas mal des fonctions
> vu
> > le nombre de récidives observées, des déglutitions et ventilations non
> corrigées
> > en fin de traitement etc.....
>
> Je suppose que vous avez creusé le sujet des récidives orthodontiques ? :-) .
>
> J'adore le professionnalisme et l'esprit critique de certain membre du forum. Je
> pose une question simple :
>
> Donnez mois les bases scientifiques sur laquelle vous vous appuyer pour prôner
> une approche fonctionnelle qui ne semble pas pratiquer nombre d'ortho malgré les
> avantages évident que vous sembler attribué a cette modalité de traitement.
>
> A cette simple question zéro réponse à part " mais tu comprends rien, on te dit
> que ça marche " ou " mais tu comprend rien l'ortho classique c'est nulle donc il
> faut faire autre chose, pas important si personne ne semble d'accord sur l'autre
> chose c'est quoi exactement ".
>
> En début de master j'avais cherché des informations sur une approche
> myofonctionnel. Comment réhabitué la langue, estimé son impacte ect.
> Résultat des course un seul bouquin publié il y a plus de 60 ans. J'ai posé la
> question en Thailand, sur les forums US et même sur nonol.
> Personne n'avait de références plus récente.
> J'aimerais bien me dire que c'est parce que ça marche tellement bien qu'il n'y a
> plus rien à changé, le soucis c'est que même un truc bateaux, connue, utilisé et
> réutilisé comme le quadelix donne toujours sujet à publication.
>
>
>
> Mais comme ils ne voient plus les patients
> > après....Basta. Commentaire un peu violent mais tellement réaliste.
>
> Et vous pensez quoi des généralistes qui ne peuvent gagner leur vie qu'en
> céramisant et cloutant la bouche de leur patient? Quitte à sombré dans les
> clichés autant y aller franco.
>
> --
> หมอจัดฟัน

S'il te plait mon cher confrère.... Relis toi et corrige tes fautes d'orthographe et de grammaire car tu m'écorches les yeux . Après je te répondrai sans sombrer dans les clichés comme tu dis


Gps moto wouomg - Eugenol
charleston

26/04/2016 à 00h17

Bon soyons précis et là pas besoin d'evidence based dentistry.. Les orthodontistes attendent dans au moins 95% des cas que les patients atteignent l'âge de 11,12 ans avant de commencer les traitements alors que moult déformations pourraient et devraient à mon sens être interceptées pour limiter les dégâts . L'ortho fonctionnelle trouve ici toute sa place. Pourquoi attendre ? Secundo, pourquoi faire des traitements exclusivement mécaniques sans contrôler les fonctions pendant les 5 ou 6 semestres ? Troisièmement, pourquoi ne jamais revoir les patients 5 ans après la fin des traitements orthodontiques ? Un peu d'humilité ne fait jamais de mal. Et pour notre ami orthodontiste qui me demande si j'ai lu des études sur les récidives , je lui réponds qu'il ne faut pas inverser les rôles parce que c'est d'abord SON boulot d'éviter les récidives de SES traitements et pas à moi qui ne suis qu'un simple omnipraticien, un gueux devant le maître du savoir.


Capture d  cran 2015 03 12 12.28 - Eugenol
chicot29

26/04/2016 à 01h19

C'est cool ortho tu ne revois pas ton patient avec une pèche quelques années après si tu as foiré ton boulot. -)
En plus contrairement à une endo tu gagnes ta vie avec ton TT. -)


doagui

26/04/2016 à 01h27

Quand on se lance en ortho, on a comme vous l'envie et l'impression qu'on va faire des tas de trucs supers, à des années lumières de tous ces vieux orthos avec leurs multiattaches à 13 ans et leurs élastiques, qui "trichent" avec l'alvéolaire et ne rééduquent personne.

Et puis on se heurte à la réalité, qui est que finalement c'est en gros la seule façon de faire qui soit un tant soit peu évidence based.

Un exemple : les activateurs de croissance orthopédiques. Si on creuse la littérature, on voit qu'en réalité une bonne partie de la correction de classe II obtenue est alvéolaire quand même, que l'effet basal est finalement limité, et que si on prend le patient trop jeune et bien ça récidive et on repart quasi à zéro au moment de l'adolescence (je caricature mais pas tant que ça). On voit aussi que question esthétique du profil, bah puisque la correction est en bonne partie alvéolaire avec n'importe quel activateur, si on veut avancer un menton faut passer par la chir et c'est tout.

La rééducation c'est pas tellement plus glorieux. Perso je suis pour, je me dis que même si c'est pas prouvé après tout à mes yeux ça ne peut pas faire de mal, donc j'ai beaucoup poussé dans ce sens. Il n'en reste pas moins vrai qu'en pratique c'est difficilement gérable. Les patients sont pas toujours motivés, les parents pas plus, c'est chiant d'emmener l'enfant aux séances, ça coûte encore de l'argent en plus du traitement classique, et puis les kinés ou orthophonistes sont surchargés donc y'a des listes d'attente longues comme le bras. Au final sur 10 patients que vous allez essayer de motiver y'en aura 8 qui essaieront réellement de prendre rdv, 5 qui auront le courage d'attendre les 6-9 mois avant de faire la première consultation, 3 qui feront vraiment les exercices et 1 ou 2 qui réellement obtiendront une correction des parafonctions.

Bref, tout ça pour dire que plus ça va et plus on finit par tendre vers les traitements "classiques". Alors oui, je persiste à faire de l'orthopédie aussi souvent que possible et je conseille de rééduquer, mais je suis plus réaliste sur les résultats à attendre, et on finit souvent par se tourner vers des solutions classiques, certes pas idéales, mais fiables.


120 81 mdkvjo - Eugenol
Monaco

26/04/2016 à 07h41

doagui écrivait:
----------------
> Quand on se lance en ortho, on a comme vous l'envie et l'impression qu'on va
> faire des tas de trucs supers, à des années lumières de tous ces vieux orthos
> avec leurs multiattaches à 13 ans et leurs élastiques, qui "trichent" avec
> l'alvéolaire et ne rééduquent personne.
>
> Et puis on se heurte à la réalité, qui est que finalement c'est en gros la seule
> façon de faire qui soit un tant soit peu évidence based.
>
> Un exemple : les activateurs de croissance orthopédiques. Si on creuse la
> littérature, on voit qu'en réalité une bonne partie de la correction de classe
> II obtenue est alvéolaire quand même, que l'effet basal est finalement limité,
> et que si on prend le patient trop jeune et bien ça récidive et on repart quasi
> à zéro au moment de l'adolescence (je caricature mais pas tant que ça). On voit
> aussi que question esthétique du profil, bah puisque la correction est en bonne
> partie alvéolaire avec n'importe quel activateur, si on veut avancer un menton
> faut passer par la chir et c'est tout.
>
> La rééducation c'est pas tellement plus glorieux. Perso je suis pour, je me dis
> que même si c'est pas prouvé après tout à mes yeux ça ne peut pas faire de mal,
> donc j'ai beaucoup poussé dans ce sens. Il n'en reste pas moins vrai qu'en
> pratique c'est difficilement gérable. Les patients sont pas toujours motivés,
> les parents pas plus, c'est chiant d'emmener l'enfant aux séances, ça coûte
> encore de l'argent en plus du traitement classique, et puis les kinés ou
> orthophonistes sont surchargés donc y'a des listes d'attente longues comme le
> bras. Au final sur 10 patients que vous allez essayer de motiver y'en aura 8 qui
> essaieront réellement de prendre rdv, 5 qui auront le courage d'attendre les 6-9
> mois avant de faire la première consultation, 3 qui feront vraiment les
> exercices et 1 ou 2 qui réellement obtiendront une correction des parafonctions.
>
> Bref, tout ça pour dire que plus ça va et plus on finit par tendre vers les
> traitements "classiques". Alors oui, je persiste à faire de l'orthopédie aussi
> souvent que possible et je conseille de rééduquer, mais je suis plus réaliste
> sur les résultats à attendre, et on finit souvent par se tourner vers des
> solutions classiques, certes pas idéales, mais fiables.


Amen. Tout est résumé, le fond de ma pensée du moins.
Rien à ajouter.
Les Européens restent les tenants de l'approche fonctionnelle précoce (ou non) en odf. Après que ça ne fasse pas de mal, c'est évident. Que ça soit bénéfique pour le traitement c'est une histoire différente.


Vw campersurfvan bmnk1q - Eugenol
enlaye

26/04/2016 à 09h41

la moralité de tout ça :
ç est que la finition du traitement nécessiterait l'action d'un paramédical , sans quoi ,le traitement ne servirait à rien .
Alors ,si le salut (du résultat) d'un spécialiste , ne tient qu'à un fil et à un paramédical , ç est que le départ de son traitement n'est pas très médical non plus .


Darmon - Eugenol
latin

26/04/2016 à 11h17

"ne tient qu'à un fil". Hahaha! Toujours très à propos!


doagui

26/04/2016 à 11h43

enlaye écrivait:
----------------
> la moralité de tout ça :
> ç est que la finition du traitement nécessiterait l'action d'un paramédical ,
> sans quoi ,le traitement ne servirait à rien .

C'est absolument pas ce que j'ai dit.

J'ai dit que personnellement je continuais à proposer la rééducation par principe, bien qu'étant conscient que c'est loin d'être aussi efficace que je l'aurais souhaité. Ca tient aux difficultés matérielles (cout, disponibilité des soignants, ...) mais aussi au fait que malgré les efforts on obtient pas toujours la normalisation des fonctions et surtout que meme quand on l'obtient ca ne veut pas dire pour autant que le résultat sera forcement plus stable !

Après je pense qu'il faut aussi nuancer le promo au sujet des recidives. On aura quasiment toujours un encombrement incisif qui reapparaitra tôt ou tard. Faut-il dire pour autant que le traitement n'a servi à rien ? Bien sur que non et fort heureusement l'ortho ce n'est pas que ça, loin de là.


lachmar

26/04/2016 à 11h51



faut-il que debaptise cette discussion ?

j'avais juste demandé les coordonnées d'un ortho faisant du fonctionnel à paris )))

j'ai reçu des tas d'informations, quelques leçons de dentisterie )))

mais pas l'information demandée


Images 1 qtgoxf - Eugenol
ciwil

26/04/2016 à 11h55

http://www.bioprog.com/spip.php?page=annuaire


Darmon - Eugenol
latin

26/04/2016 à 12h13

Sinon il y avait aussi ça puisque le confrère aime utiliser gogole pour les recherches biblio :

https://www.google.fr/search?q=orthodontie+fonctionnelle+paris

Il faut même croire que ça puisse être une façon de se démarquer.

Ceci dit c'est probablement mieux de mettre "orthodontie fonctionnelle" en avant plutôt que "Damon provider" ou "certifié Invisalign"


12