Cookie Consent byPrivacyPolicies.comAchat CEREC Bluecam + MCXL OCCASION - Eugenol

Achat CEREC Bluecam + MCXL OCCASION

Zombring 57

28/04/2016 à 02h57

holeinone écrivait:
-------------------

> Cerec qui est un système totalement prioritaire et donc fermé.


tu voulais dire système propriétaire?


Photo thumb 45 lnhuvp - Eugenol
wakrap

28/04/2016 à 23h55

Je suis en profond désaccord d'expérience personnelle et aussi d'observation avec le commentaire de holeinone.
21 ans, donc tu es passé par le cerec des débuts, le cerec3.
Aujourd'hui le système est propriétaire en chairside, ce qui n'est pas un problème car ils ont de loin la meilleure usineuse de cab(rapport temps précision 10 mn la couronne). Pour l'ouverture, elle est effective et totale aujourd'hui par le connect et le soft SW15 qui va convertir les fichier ou traiter d'autres fichiers.

Pour l'image du cab, je suis sidéré de ton discours, cela fait 6 ans que je suis équipé et j'ai toujours un patient sur deux qui prend son tel pour filmer l'usineuse et monter à ses copains et copines.
Tu peux faire du low cost en usinant de la ceram brute et polissage de 5 mn et collage, gain de temps immense et qualité méca top dans ce cas.
Si tu veux faire du maquillage, de l'emax voire du cut back, c'est du temps que tu peux très facilement déléguer avec une mini formation.
Quant à la camera endo buccale, c'est effectivement un moyen redoutable pour l'acceptation des devis, mais rajoute à ceci le cerec ou d'autres, et c'est un sacré plus.
Personne ne viendra te voir car tu as une camera endobuccale, le cerec oui, par le fait de travail à la séance, et par magie pour les technophiles.
Chaque personne que tu croises qui parle de jantes, de moteur, d'écran plat, de tel portable... sera sensible au numérique au cab, et cela fait du monde.
Maintenant si ta clientèle c'est de l'éoclo bobo qui mange des brocolis cuits à l'eau de vittel, effectivement tu auras plus de mal à vendre la technologie. Encore que pour ces résidus, tu peux leur parler du cout CO2 du bousin qui est très faible en raison de l'absence de prothésiste à distance, de la séance unique, polissage donc pas de four à chauffer...


DentaMania

29/04/2016 à 00h54

Ca fait plaisir de voir des commentaires positifs! Merci!


Capture d  cran 2015 03 12 12.28 - Eugenol
chicot29

29/04/2016 à 01h25

C'est tout à fait ca une usine à faire du low cost.
En allant voir un formateur à son cabinet le seul fait qu'il fasse un polissage mécanique aurait du me mettre la puce à l'oreille.
Il est certain qu'il faut déléguer si tu maquilles. A qui ? l'assistante ? Mais elle n'a pas que ca à foutre l'assistante !
Remarque ca tient dans le temps à 9 ans ....
Tu me diras la ceram sur 25 du protho est bien pourrie aussi. -)

Capture d e cran 2016 04 28 23.24 - Eugenol
Capture d e cran 2016 04 28 23.27 - Eugenol

Capture d  cran 2015 03 12 12.28 - Eugenol
chicot29

29/04/2016 à 01h35

Aie 9 ans aussi. Ouh lalalala la cata. J'aurais du faire des radios après la pose il y a un binz en distal de la 36. -)))

Capture d e cran 2016 04 28 23.32 - Eugenol
Capture d e cran 2016 04 28 23.38 - Eugenol

holeinone

29/04/2016 à 02h05

Bonsoir Wakrap
Ce qui est bien, c'est que notre ami qui pose la question initiale puisse lire differents avis avant de faire son choix.
Notre ami pense que le Cerec va lui apporter une image high tech, dans le but finalement de booster son futur cabinet. C'est bien cela qu'il faut comprendre dans sa question initiale ?
Mon propos est que l'image high tech du Cerec finalement n'apporte pas vraiment un plus dans mon cabinet. Je pense que les gens viennent chez tel ou tel dentiste pour d'autres critères que celui directement lié au Cerec. Et cela d'autant plus que demain les nouvelles caméras 3D nivelleront cet aspect : que tu fasses la couronne en direct ou semi direct à partir d'une caméra, ça ne changera pas grand chose pour le patient.
Tu dis qu'une partie de tes patients vont filmer l'usinage pour le montrer à leurs copains. (Je suis d'accord avec toi, les gens viennent voir l'usinage car ils sont surpris). Mais est ce que leurs copains viennent ensuite chez toi ? Tu es en mesure d'affirmer que c'est pour ton Cerec ? C'est pas plutôt parce qu'ils te trouvent bon dentiste et qu'ils te recommandent ? J'ai de nouveaux patients qui viennent chez moi car leur ami leur a conseillé de venir chez moi alors que sur cette personne je n'avais même pas fait de Cerec !
Tu es d'accord que la caméra endo buccale est un moyen redoutable pour l'acceptation des devis.
La caméra intervient avant de faire la couronne !
Une fois le devis accepté et que tu as fait ta (ou tes) couronne (Cerec ou proto), qu'est ce que ça change dans ton acceptation de devis ???
Le patient émerveillé par cette technique ne va pas pour autant en faire d'autres !!! Ton traitement global étant terminé, y'a plus rien à faire et c'est pas le fait d'avoir fait du Cerec qui va motiver ton patient a en faire d'autres sur des dents totalement saines...
Les gens ne viennent pas te voir parce que tu as une caméra endo buccale mais je maintiens qu'ils ne viennent pas non plus (à quelques exceptions insignifiantes près) parce que tu as un Cerec. Beaucoup d'autres critères variables indéfinissable et non quantifiables interviennent (par exemple la proximité, ta douceur, tes tarifs, les yeux de ton assistante (j'ai dit les yeux,j'ai pas dit autre chose...)etc, etc, etc......................). Et ça, objectivement, tu ne peux pas le savoir et tu ne peux pas affirmer que c'est pour ton Cerec même s'ils te disent qu'ils ont appris que tu faisais des couronnes "modernes".

J'étais le premier en 94 à commander le Cerec 2 en France. Je suis passé ensuite au Cerec 3 redcam (+ MCXL) que j'utilise toujours régulièrement sans avoir fait les mises à jours hors de prix de Sirona.
Mon vieux Cerec 3 faisant parfaitement le taf, je ne vois pas pourquoi changer. Je ne m'en sers pas tous les jours (en moyenne 4 couronnes par semaine et 1 à 2 inlays).
C'est trop chronophage je trouve : je prend 1h45 en moyenne (je travaille seul) pour faire une couronne et le rendez vous est toujours en fin de matinée ou de soirée pour avoir du temps s'il y a eu un probleme qui te fait perdre facilement 15 minutes (exemple fraise cassée, ou fêlure lors de l'essayage). (Je fais aussi d'autres choses en bouche pendant l'usinage et le refroidissement).

Dis nous honnêtement la durée de ton rendez vous pour une couronne maquillée.
Tu dis que tu fais du cut back ??? (j'ai essayé aussi). Quelle est la durée de ton rendez vous ? Car là pour le coup, c'est beaucoup plus long !!!! Montage de la ceram, cuisson d'une vingtaine de minutes, mise en forme finale de la ceramique esthétique manuellement (et non plus par CFAO !!!!). Tu prends un rendez vous d'au moins 3 heures pour une couronne stratifiée pour cela ??? Si tu la poses dans une autre séance, alors tu aurais mieux fait de déléguer cela à ton proto...

Tu parles de maquillage en sous entendant que non maquillé, c'est pas top. (Tu me conseilles de déléguer). Répond moi honnêtement, tu maquilles tes inlays ??? Moi j'ai renoncé, trop compliqué dans le cas des inlays avec un fort risque de virer le maquillage en faisant les dernières corrections occlusales (je parle des inlays, pas des couronnes).

Je ne fais pas vraiment du low cost (750 euros la couronne maquillée et 1/20 non maquillée à 600euros quand le patient demande un rabais soit -20%) et ma patientele n'est pas vraiment écolo bobo et roulent plutôt en grosse voiture allemande.
Je pense juste que les évolutions technologiques font que le Cerec est en train de devenir has been car d'autres moyens permettent maintenant de faire aussi bien et même plus de choses pour un cout bien moindre, en évitant une technique trop chronophage (et je ne suis pas le seul à le dire).
Prochainement, je vais acquérir probablement une caméra Carestream 3600 (j'ai essayé pendant 2 mois la 3500 en septembre octobre derniers). Ca coute beaucoup beaucoup moins cher qu'un Cerec et ça fait bien plus de choses ! Et lorsque mon Cerec sera mort (réparation trop chère) j'achèterai une usineuse chez Roland ou Armangirbac ou Yenodent ou autres (y'en à plein qui en font en format non prioritaire... Et qui sont beaucoup moins chers qu'une MCXL) pour continuer à faire certains cas pour le fun (3-4 par semaine car au delà ça me gonfle vite ce côté trop chronophage).

Voilà mon avis, on peut ne pas être d'accord avec ma vision. Mais je pense qu'aujourd'hui, avant d'investir dans un Cerec, il serait bon de se renseignèrent de voir les nouvelles technologies alternatives, et il y en a pour beaucoup moins chers... (Une caméra 3D et une usineuse)

Donc Wakrap, pourrais tu répondre à ces questions :
- durée du RV pour faire une couronne maquillée, et pour une Emax
- durée du RV pour faire une couronne cut back comme tu dis le faire (moi je n'en fait plus)
- pourcentage d'inlays maquillés et non maquillés
- pour une unitaire seule comme une 11, tu es pleinement satisfait de ton résultat ? T'as pas l'impression qu'avec une zircone stratifiée, ton proto est capable de faire mieux ????

Que l'image high tech du Cerec augmente le chiffre d'affaire, j'ai un gros doute ! D'autant plus que cela sera faux avec les caméras 3D qui vont envahir les cabinets.
J'ai cru aussi que les techniques modernes numériques allaient boosté mon activité. J'ai aussi acheté en 95 un laser CO2. Puis plus tard une pano numerique.
Avec le recul, je pense que ce n'est pas ca qui développe ton chiffre d'affaire. C'est autre chose.
Sinon comment tu expliques que des confrères qui ne font pas de Cerec font un bien plus gros chiffre d'affaire que toi ???

Très amicalement, à plus.


Photo thumb 45 lnhuvp - Eugenol
wakrap

29/04/2016 à 05h12

Ouch! beaucoup de questions, je garde les dernières



holeinone écrivait:
-------------------

>
> Donc Wakrap, pourrais tu répondre à ces questions :
> - durée du RV pour faire une couronne maquillée, et pour une Emax

Mini 2H mais je fais bien rarement une couronne, la moyenne est à 2.5 par séance avec un max de 8 qui me prennent alors la journée, y compris le café un un poisson cru avec le patient.

> - durée du RV pour faire une couronne cut back comme tu dis le faire (moi je
> n'en fait plus)

Je débute à ce niveau mais je n'envisage pas de la proposer à la séance unique ni pour une couronne mais pour des restaurations de mini 4 dents en ant (couronne ou facettes)

> - pourcentage d'inlays maquillés et non maquillés

Quasi jamais maquillé ou au max un trait sur le sillon

> - pour une unitaire seule comme une 11, tu es pleinement satisfait de ton résultat ? T'as pas l'impression qu'avec une zircone stratifiée, ton proto est
> capable de faire mieux ????

Sans le moindre doute, mais ma satisfaction de pro n'a aucun intérêt, ce qui compte c'est la satisfaction du patient et c'est fou comme elle diffère de la notre. C'st incroyable le nombre de fois que j'ai envie de refaire et qu'il me regardent ahuris, le refusant, tellement ils trouvent cela super.


>
> Que l'image high tech du Cerec augmente le chiffre d'affaire, j'ai un gros doute

Pour ma part j'ai plus que doublé la part couronne en une année.

> ! D'autant plus que cela sera faux avec les caméras 3D qui vont envahir les
> cabinets.
> J'ai cru aussi que les techniques modernes numériques allaient boosté mon
> activité. J'ai aussi acheté en 95 un laser CO2. Puis plus tard une pano
> numerique.

Ah, oui, j'ai un cone beam depuis sept et pouf, fois 2 en nombre d'implants


> Avec le recul, je pense que ce n'est pas ca qui développe ton chiffre d'affaire.
> C'est autre chose.

Un ensemble de chose que chacun met en valeur selon sa propre sensibilité et capacité à motiver soi même et le patient.


> Sinon comment tu expliques que des confrères qui ne font pas de Cerec font un
> bien plus gros chiffre d'affaire que toi ???

Parce qu'il est capable de vendre un chauffage au tahitien du coin ou un frigo à un esquimau. Et je le pense vraiment. La perfection technique ne rapporte rien ou quasi rien.
C'est ailleurs que se fait la réputation.


Photo thumb 45 lnhuvp - Eugenol
wakrap

29/04/2016 à 05h30

Ah, et sinon, il y a vraiment eu une évolution énorme avec les soft depuis la série 4 et le 4.4 actuel est à des nuées des précédents.
En particulier le travail des ant comme avec les skin. https://www.facebook.com/NVISION-Center-Central-Europe-318379014876044/?fref=ps_result

Travailler sur 6 à 8 dents ant avec les skin et le bio jaw de la dernière version est un autre monde de rapidité de design et de gestion des formes.
Tout ceci évolue à une vitesse folle.
Et Carestream que tu as testé est très probablement le concurrent qui va pousser fort à moyen terme.

Sinon, les usineuses de labo ne sont pas faites pour le travail à la journée, bien trop lentes mais parfaites en réalisation.

Franchement, le mec qui rentre au cab, tu le passes au 3D , tu lui fais une empreinte complète avec l'omnicam et dans la 1/2 heure tu lui montres une image de programmation d'un implant avec sa prothèse individualisée sur sa 14 qui lui manque avec la couronne dessinée intégrée sur l'implant programmé à la 3D radio.
Moi, quand je fais ça, j'ai les yeux encore plus équarquillés que lui et il voudrait le faire le lendemain.

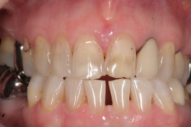
J'avais du les passer déjà quelque part ici. Travail fait en une journée sur 10 dents. J'ai perdu la photo avec écarteur du travail fini, mais cela tombe bien car j'avais pas un très bon maquillage des collets. Ceci dit, patiente AVC avec sourire comme tu vois.

A3 zaw6gr - Eugenol
A7 kn2z0z - Eugenol

Photo thumb 45 lnhuvp - Eugenol
wakrap

29/04/2016 à 05h32

Ou encore fait dans la matinée
Ps: pas de soucis d'occlusion, juste une propulsion pendant la photo finale. Elle avait dû tenter de retrouver machinalement ce contact bout à bout.

Img 6200 bcvdwg - Eugenol
Img 6201 ivt2xu - Eugenol

Capture d  cran 2015 03 12 12.28 - Eugenol
chicot29

29/04/2016 à 08h56

OM1. Yeah !

On passe de la teinte tétracycline la plus sombre à jacob delafont. 8 ans après patient toujours ravi. -)))
J'ai passé tout un après midi à faire ca avec prolongation en soirée et encore aidé du protho ivoclar. Plus jamais. -)
Notez l'effet maquillage encore plus blanc du plus bel effet. -)))

Capture d e cran 2016 04 29 06.49 - Eugenol
Capture d e cran 2016 04 29 06.50 - Eugenol
Capture d e cran 2016 04 29 06.50 - Eugenol
Capture d e cran 2016 04 29 06.51 - Eugenol

DentaMania

30/04/2016 à 00h08

Mais que c'est moche, comme ça peut plaire au patient??

Prendre uniquement le système d'empreinte optique dans un premier temps est peut être plus pertinent, pour ne pas s'enfermer dans des tâches chronophages.
Je vais me rencarder sur les caméras optiques neuves!






chicot29 écrivait:
------------------
> OM1. Yeah !
>
> On passe de la teinte tétracycline la plus sombre à jacob delafont. 8 ans après
> patient toujours ravi. -)))
> J'ai passé tout un après midi à faire ca avec prolongation en soirée et encore
> aidé du protho ivoclar. Plus jamais. -)
> Notez l'effet maquillage encore plus blanc du plus bel effet. -)))


Drpopol gvroh3 - Eugenol
drpopol

30/04/2016 à 00h48

ca coute combien une camera correcte?


Photo thumb 45 lnhuvp - Eugenol
wakrap

30/04/2016 à 00h54

DentaMania écrivait:
--------------------
> Mais que c'est moche, comme ça peut plaire au patient??
>
> Prendre uniquement le système d'empreinte optique dans un premier temps est peut
> être plus pertinent, pour ne pas s'enfermer dans des tâches chronophages.
> Je vais me rencarder sur les caméras optiques neuves!
>
>
Ah, cela défrise parfois les choix des patients.

Par exemple fille qui fut belle avant : http://tatouagefemme.eu/wp-content/uploads/2015/10/silhouette-tatouages-palmier-femme-bras-en-decor.jpg


Photo thumb 45 lnhuvp - Eugenol
wakrap

30/04/2016 à 00h54

.


Capture d  cran 2015 03 12 12.28 - Eugenol
chicot29

30/04/2016 à 00h58

DentaMania écrivait:
--------------------
> Mais que c'est moche, comme ça peut plaire au patient??

Il a insisté lourdement pas faute de lui le lui avoir déconseillé. Le complexe d'avoir les dents grises avant ( tétracyclines) lui a fait mettre la barre à l'opposé. Il n'a pas été décu. -)


Photo thumb 45 lnhuvp - Eugenol
wakrap

30/04/2016 à 19h50

Je viens de retrouver une citation pour holeinone.
Il est important de bien comprendre que nous n'eduquons pas des gens à vivre dans une société libre, si nous formons des techniciens qui attendent qu'on les emploie, qui sont incapables de trouver leur propre créneau, et qui considèrent que c'est la responsabilité de quelqu'un d'autre d'assurer l'affectation de leur qualification ou talent. Si capable que soit un homme dans un secteur particulier,la valeur de ses services est forcément faible dans une société libre s'il ne possède aussi la capacité de faire connaître son savoir faire à ceux qui peuvent en tirer parti au maximum. Il se peut que nous éprouvons un sentiment d'injustice en constatant que de deux hommes ayant par leurs efforts acquis la même maîtrise et compétences, l'un réussit et l'autre echoue. Mais nous devons admettre que dans une société libre c'est l'exploitation de circonstances particulières favorables qui détermine l'utilité concrète d'un talent. Et il nous faut adapter en conséquence notre vision morale et notre éducation. Dans une société libre nous sommes rémunéré non pour une aptitude mais pour son emploi à bon escient.

Bon, j'arrête là la citation qui est assez perturbante dans ce pays socialisé qu'est la france. C'était pour préciser le sens de ma réponse à sa question sur le confrère qui gagne bien mieux que moi.
C'est aussi pourquoi les Ordres sont des constructions socialoides de l'époque petainiste et sont si opposés à toute forme de publicité.
J'oubliais, c'est de Hayek dans "La constitution de la liberté "
Vous savez celui que améli considère comme un abruti et ne supporte pas, comme tous ceux qui considèrent ne pas être reconnus à leur juste valeur.
Bon WE


holeinone

01/05/2016 à 03h28

Salut Wakrap.
Oui tu sembles t'en servir énormément de ton Cerec, et dans ces conditions cela peut se justifier, tu as un système cohérent de À à Z avec un seul service SAV. Mais ça reste cher comme investissement... Et à usage limité... Et chronophage...
Donc pour notre ami confrère qui ouvre un cabinet, il ne sait pas encore s'il en fera suffisamment pour rentabiliser le truc ! D'occaze a 20000 euros, l'idée est pas mauvaise ! (Comme c'est d'occaze, s'il y a des pannes, il va être surpris du prix des réparations...)
Mais justement, 20000 euros c'est aujourd'hui le prix d'une caméra 3D 3shape ou Carestream, et avec ca tu expliques qu'ainsi tes prothèses sont meilleures et plus précises, et il valorise ainsi son professionnalisme et l'image moderne (ou high tech ?) de son cabinet.
Avec une caméra, dans l'absolu, tu peux te débarrasser de tes silicones. Ce qui n'est pas le cas avec le Cerec ! Peut être que ça commence à être possible car j'ai cru comprendre que Sirona est en train d'ouvrir son système propriétaire. Mais à quel prix ? Donc à rajouter au prix de l'occaze ?
Plus tard, s'il en a envie, il pourra investir dans une usineuse entre 20000 et 30000 euros.
Mais avec le recul, je pense que finalement, la méthode directe n'est pas l'idéal : trop chronophage et difficilement rentable.
Quand les gens disent : si tu fais entre 12 et 15 couronnes par mois avec, ça te paie ton leasing (déjà ils oublient les périodes de vacances et l'entretien et les consommables..), c'est faux comme calcul ! Ils ne font pas des couronnes stratifiées avec le Cerec mais des couronnes mono teinte maquillée, et donc il faut comparer avec le prix des mono teinte maquillée du proto (full zircone ou Emax ).... Et là, ça change le calcul....
Alors s'il faut en faire plus de 20 par mois pour que ce soit rentable, je préfère largement payer mon proto et me libérer 20 fois par mois le temps nécessaire à la realisation d'une prothese : modélisation+usinage+réglage+maquillage+cuisson+temps de refroidissement soit entre 40 et 60 minutes ? Donc entre 13 et 20 heures par mois à faire le boulôt du proto pour un résultat inférieur à ce qu'il est capable de faire ! Je préfère aller jouer au golf...
La méthode directe, en fait, c'est faire le boulôt du prothésiste (pour un resultat inférieur). Est ce une bonne chose ? Moi j'en doute.
Mais je conçois cher Wakrap que tu sois enchanté de l'intégration du Cerec dans ton cabinet. Chaque cabinet fonctionne de différentes manières. Pour certains, c'est un truc trop génial. Mais avec seulement 3% de cabinets équipés depuis toutes ces années, il semblerait que ce concept ne fasse pas l'unanimité même si c'est dans ton cas un système que tu trouves très rentable.
Qu'on ne me dise pas que c'est le prix qui fasse qu'il n'y ait que 3%. Je pense qu'il y a au moins 30% des cabinets en France qui pourraient se permettre.

Je vais t'expliquer Wakrap ma vision de l'apport des caméras 3D dans le changement de protocole lors de la taille empreinte provisoire.
1er séance, tu vois un patient, tu scannes sa bouche. Tu lui montres au bureau sa bouche en 3D en couleur (là l'effet high tech dès la première séance est très fort !), il accepte ton devis.
Tu envois le fichier d'empreintes au proto et tu lui demandes du provisoire sur la ou les dents concernées. Zirkonzahn par exemple a développé un logiciel qui sur une dent non taillée permet de prévoir la forme du provisoire en permettant de recréer les points de contacts proximaux et occlusaux et des butées d'enfoncement.
2eme séance, tu tailles, tu ne reprends l'empreinte que des dents taillées, tu rebases ton provisoire dont les butées d'enfoncement permettent d'être parfaitement bien positionné, puis tu enlèves rapidement les exces de ton rebasage et les butées de repositionnement.
3eme séance : tu poses !
Donc du semi direct hyper rapide : séance 2 + séance 3 en 45´minutes pour une dent.
Tu as dit qu'il te fallait 2 heures pour une dent avec le Cerec, je confirme, pour moi aussi entre 1h30 et 2 heures.
Donc sincèrement, au niveau temps, y'aura pas photo avec les nouvelles technologies face au Cerec
Avec le Cerec, tu ne peux pas faire de couronnes stratifiées. Là on peut !
Tu dis faire jusqu'à 8 dents dans la séance. Combien de temps pour cela ? Prend le protocole précédent et calcule le temps de gagner. Entre 30 et 50 % de temps gagné à vue de nez.

Les caméras 3D vont voir s'ouvrir de nouveaux protocoles et organisations qui vont rendre le Cerec encore moins compétitif.

Wakrap, donne moi un avantage (ou plus si tu penses) qu'à le Cerec par rapport aux nouvelles technologies liées aux caméras 3D. Je te dirai si tu arrives à me convaincre.
Caméra 3D, pour moi, c'est par rapport au Cerec : moins cher, capable de rendu esthétique largement supérieur, plus rapide, toutes indications.
Amicalement, à plus.


Capture d  cran 2015 03 12 12.28 - Eugenol
chicot29

01/05/2016 à 11h21

Faire des bouses cerec en postérieur passe encore. Par contre en antérieur accroches toi pour sortir des cas comme wakrap. Tu vas passer un temps infini à t'habituer à la modélisation 3D.
Le cerec c'est pas je scanne et "pouf " ca me sort 6 restaurations antérieures impeccables. Le problème c'est plutôt quand siffler la fin de la récréation question modélisation. -)


Utilisateur banni

01/05/2016 à 11h38

passionnant de vous lire ....

je retiendrais juste une chose ça a l'air très chronophage le cerec.

j'ai 2 remarques :

1) Perso quand je fais une monobloc en postérieur. Pour ma part, systématiquement il y a maquillage. Or même réaliser un bon maquillage, n'est pas chose si facile que ça. Et surtout ça prend du Temps. Un prothésiste aura forcément plus de doigté et plus de facilité à faire un bon maquillage. C'est pour cela qu'il existe deux métiers : dentiste et prothésiste. Et vu que le prothésiste fait ça toute la journée, c'est presque sûr que le rendu esthétique sera meilleur en passant par un prothésiste. En terme de temps perdu, et de résultat esthétique, je pense que la solution du prothésiste restera la meilleure.

2) en antérieur, il est pour moi inconcevable de faire du monobloc (sauf quand c'est très opaque , et quand il y a une teinte foncée, et encore !!!!), donc je fais du stratifié. Or monter une céramique, là ça demande une très bonne expérience. Donc j'en reviens aux mêmes conclusions : il faut passer par un prothésiste

Donc pour ma part, je pense que c'est une erreur de mélanger les deux métiers. Ou alors faut passer un temps fou pour sortir de belles couronnes.

Ceci dit respect pour ceux qui font ça dans leur cabinet.


Capture d  cran 2015 03 12 12.28 - Eugenol
chicot29

01/05/2016 à 11h48

junior® écrivait:
-----------------
> passionnant de vous lire ....
>
> je retiendrais juste une chose ça a l'air très chronophage le cerec.
>

C'est pour ca qu'il faut embaucher et déléguer. Ca plus le prix de la bécane de ses mises à jour de son entretient ca commence à couter un bras.
Mais un dentiste c'est meilleur qu'un prothésiste. Il n'a pas besoin de modèle physique pour bosser ! -)
Combien de fois faut il sortir de cerams avec le cerec pour ne plus se dire " merde" en voyant le résultat ? -)
J'ai quand meme réussi une fois a etre satisfait. Pour impressionner mon prothésiste j'avais scanné une de ses cerams et l'avais dupliquée en 2 temps 3 mouvements. Résultat impeccable en forme. -)


Utilisateur banni

01/05/2016 à 12h00

Le problème c'est ça :
vous prenez deux collègues qui travaillent dans la même entreprise et qui se connaissent :
- l'un se fait poser des monoblocs maquillés en antérieur réalisés avec un cerec
- l'autre se fait faire par un autre dentiste du disilicate de lithium ou des zircone stratifiées par un prothésiste
On connait le résultat esthétique à l'avance.

Les patients ne sont pas cons.

Sans parler des confrères qui verront les monoblocs tôt ou tard et qui se diront "et ben putin qu'est ce que c'est moche! si il travaille comme ça je ne lui adresserai pas mes patients pour la pose d'implants..."


holeinone

01/05/2016 à 12h16

En antérieur, si tu fais les 4 incisives comme le montre Wakrap, le résultat est très satisfaisant au niveau esthétique.
Mais c'est super long à faire ! Une après midi juste pour un cas !
A la fin, ton ego est satisfait, tu es content de ce que tu es capable de faire.
Mais si tu fais un cas similaire avec le proto, tu te rends compte que c'est super plus rapide et qu'esthetiquement, le resultat est quand même un peu meilleur.

Le prothésiste est capable de faire mieux que ce que nous faisons, c'est indéniable !

Le patient ne vient q'une fois, certes. Mais quand tu lui dis que tu vas le garder toute l'après midi, il est toujours un peu surpris. S'il vient plutôt 2 fois pour des séances moins longues, au final il préfère.
Je ne pense vraiment pas que l'argument "venir une seule fois" soit l'argument qui décidera ton patient à signer le devis...
Le Cerec demande une gestion plus compliqué de l'agenda car il faut trouver des espaces pour de longs rendez vous et de préférence en dernier au cas où un problème technique te fait perdre entre 20 et 30 minutes.

J'ai fait une fois de 13 à 23 en stratifiant en 2 séances en mettant du translucide sur les bords incisif. Le resultat était vraiment super. Mais j'ai mis un temps incroyable pour realiser cela ! Au final j'étais super satisfait de moi (en plus c'était avec le Cerec 2...). Mais je n'ai plus jamais recommencé ce genre de délire !

Le Cerec, c'est un peu décider de faire Paris Marseille par l'autoroute en bagnole alors qu'en tgv, tu fais la même chose pour moins cher, de façon plus rapide, avec moins de stress et moins de fatigue.

Notre ami dit qu'il a trouvé pas mal d'offres en Allemagne dans les 20000 euros.
Pourquoi les gens vendent leur Cerec si c'est si bien que ca ???
Pour racheter une Omnicam ? Alors pourquoi ils vendent en même temps leur MCXL ?
Ne serait ce pas justement car il décide d'abandonner ce concept et qu'avec les 20000 ils s'achètent une caméra 3D ?
J'aimerais bien connaître leur raison !


Photo thumb 45 lnhuvp - Eugenol
wakrap

01/05/2016 à 12h17

Voyez, là je sors juste de table avec 1.2g, du beachcomber de Moorea avec le groupe de la formation e-dentisterie de métropole qui sont venu faire une formation par chez nous. Ils sont une trentaine et chacun à sa manière utilise largement le cerec et aucun ne peut imaginer travailler sans.
Cette manière de travailler est une niche au même titre que l'organisation de chicot.
Et non, contrairement à ce que j'ai lu, tu peux avoir de très beaux résultats, moins en macrophoto, mais superbes à vision humaine.
Et ceci rapidement. Il est évident que c'est un choix d'exercice et qui ne peut être généralisé vu le prix actuel.

Je viens de voir les stat americianes récentes. La zyrcone monobloc représente aujourd'hui 61% des restaurations post (laboratoire ou pas labo)
Ce sont des faits et si l'on ne colle pas aux demandes des patients nous avons tort, quel que soit notre mérite compétence et stratification.
Je n'en ferai jamais je pense, mais pour vous montrer la vitesse d'evolution: http://www.sirona.com/en/news-events/news-press/corporate-news-detail/33065/
C'est de la zyrcone chairside de qui cuit en 10 à 15 mn. Bref une couronne tout compris en 1H 15 scellée avec préparation pelliculaire super fine. Aux USA avec leur goût du blanc bidet cela va cartonner. Bridge de 3 éléments dans presque le même temps.


holeinone

01/05/2016 à 12h19

junior® écrivait:
-----------------
> Le problème c'est ça :
> vous prenez deux collègues qui travaillent dans la même entreprise et qui se
> connaissent :
> - l'un se fait poser des monoblocs maquillés en antérieur réalisés avec un cerec
> - l'autre se fait faire par un autre dentiste du disilicate de lithium ou des
> zircone stratifiées par un prothésiste
> On connait le résultat esthétique à l'avance.
>
200% d'accord !


Photo thumb 45 lnhuvp - Eugenol
wakrap

01/05/2016 à 12h38

holeinone écrivait:
-------------------
> junior® écrivait:
> -----------------
> > Le problème c'est ça :
> > vous prenez deux collègues qui travaillent dans la même entreprise et qui se
> > connaissent :
> > - l'un se fait poser des monoblocs maquillés en antérieur réalisés avec un
> cerec
> > - l'autre se fait faire par un autre dentiste du disilicate de lithium ou des
> > zircone stratifiées par un prothésiste
> > On connait le résultat esthétique à l'avance.
> >
> 200% d'accord !

Désaccord pour la majorité des couronnes que je vois, et vrai pour une forte minorité de labos.
Le nouveau bloc MT emax sont un parfait mix de luminosité et de teinte en post et en anterieur les bloc stratifiés que ce soient des multi de ivoclar ou les différentes déclinaisons des vita (réal life, sirona pc, C-IN, ...) donnent de très beaux résultats.
Alors oui, impossible sur une minette de 18 ans de ressortir les tâches de fluorescence, le reflets metal... mais c'est une niche en prothese. Le gros du travail c'est sur de vielles dents qui ont souffert et les patients sont emballés.


123...