Tous les forums
pour les amateurs de Summers
27/04/2016 à 20h58
Honnêtement ta radio est pas terrible. T'as mis du biomat ?
27/04/2016 à 22h56
Et bien moi je trouve ça joli.
Evidemment il y a du biomat, une bonne quantité. Plus de la moitié de l'implant est dedans.
la bonne question c'est : quel biomat ?
28/04/2016 à 00h18
Le biomat faut pas en mettre dans les summers à mon avis.
28/04/2016 à 00h48
exact, quelques éponges de gelatemp ou du sang, ça suffit largement...
--
xbk
"Si tous ceux qui croient avoir raison n'avaient pas tort, la vérité ne serait pas loin" Dac Pierre
28/04/2016 à 00h52
Et oui, la membrane de Scneider à une capacité osteogenique: il suffit de la repousser ...sans la perforer (vive les membranes bien épaisses), avec l'implant, comme une toile de tente avec un piquet, et l'espace créé dessous de transformé en os
--
😁😁😁
Le Blog dentaire.
Cliquez ici--> www.arcad-dentaire.fr
Dernier article---------------------------------- Le diagnostic esthétique: la macroesthétique ( 3ème partie)
(-Vivre le sourire Hollywoodien-)
28/04/2016 à 12h00
alors désolée j'ai eu une grosse journée hier 8
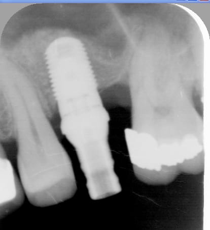
Le cas date de 2010, le sinus est traité par élévation crestale + mise en place de 2 mb de PRF dans le "trou" avant de combler au RTR et en dernier os récupéré du forage pour espérer qu'il reste contre l'implant.
J'ai pas pu enlever le prénom mais vous avez les dates dans l'ordre
La radio postée hier est un "contrôle à 6 ans avant d'implanter en 14
28/04/2016 à 12h03
Pour Hodina
Moi, mettre un piquet de tente alors que j'ai 3mm d'os et 7 dans le vide du sinus ça m'angoisse!
Certains me diront fait ton sinus latéral, mais je ne maitrise pas bien, alors que Summers oui...
28/04/2016 à 12h43
Y'a pas un problème médico-légal à le faire avec si peu d'os ?
Je croyais que nos "experts" Français préconisais un minimum d'os ?
Je te rassure je crois que c'est juste français comme recommandation :)
Bravo c'est beau. Que du bénéfice pour le patient.
28/04/2016 à 15h39
Ouais , ils préconisent....
mais pratiquement la jurisprudence n' a perpétré de condamnation de chirdent que pour soulevé de sinus latéral, alors je vais continuer pépère et déléguer les sinus lift latéraux aux amis stomatos
28/04/2016 à 16h02
lardonbis écrivait:
-------------------
> Y'a pas un problème médico-légal à le faire avec si peu d'os ?
> Je croyais que nos "experts" Français préconisais un minimum d'os ?
> Je te rassure je crois que c'est juste français comme recommandation :)
Il me semble ( de mémoire du cours avancé Sapo ) que l'indication du Summers c'est 2mm à 5mm. A partir de 5mm, c'est du "dépassement controlé", et en dessus de 2mm le sinus-lift par voie latérale.
Après evidemment qui peut le plus peut le moins...
28/04/2016 à 16h14
je ne fais pratiquement plus de fenêtre latérale, sauf cas très particulier.
--
xbk
"Si tous ceux qui croient avoir raison n'avaient pas tort, la vérité ne serait pas loin" Dac Pierre
28/04/2016 à 23h56
Tu fais du Summerside dans 95% des,cas?
À partir de combien de mm ?
Avec ajout de biomat? Ou sans?
Et quelle séquence? Entre ostéotome de condensation et d'élévation?
Merci du partage😀
--
😁😁😁
Le Blog dentaire.
Cliquez ici--> www.arcad-dentaire.fr
Dernier article---------------------------------- Le diagnostic esthétique: la macroesthétique ( 3ème partie)
(-Vivre le sourire Hollywoodien-)
29/04/2016 à 01h53
Il n'y a que du PRF ?!! et un peu d'os de forage mais vu la hauteur initial.....
C'est troublant. C'est bluffant de voir la quantité d'os formé avec juste du PRF mais ce qui me "chagrine" c'est l'aspect radiologique un peu dégueu, comme si t'avais mis des granules de synthétiques.
Je me suis mis au PRF depuis peu et je suis vraiment curieux de voir ce qu'on faire avec. C'est encourageant parce que tu nous présente un cas vraiment limite que beaucoup (dont moi) aurai traité par voie latéral. En plus avec le PRF tu minimises le principal défaut du Summer, à savoir l'impossibilité de contrôler l'intégralité de ta membrane.
Je le redis, joli cas !
29/04/2016 à 02h02
je n'utilise pas de PRF (rien contre mais je n'utilise pas) seulement des éponges de gelatemp, et du sang, pas de biomat et les résultats sont pratiquement toujours très sympas
--
xbk
"Si tous ceux qui croient avoir raison n'avaient pas tort, la vérité ne serait pas loin" Dac Pierre
29/04/2016 à 10h29
Le PRF ne sert à rien dans ce cas, ne rien mettre ou du PRF c'est pareil.
29/04/2016 à 11h20
Pour Hodina
oui Summers à 95°/ , à partir de 2 mm,
séquence: Forage,( des fois au trépan pour "pousser " la rondelle avec la Mb de Schneijder)
quand je suis au calibre inférieur au dernier foret (ou osteotome si D4)
puis fracture délicate à losteotome du plancher, là je me sers du PRF pour pousser la MB de Schneider un ou plusieurs morceaux de PRF jusqu'à hauteur désirée
alors je comble RTR, ou si j'en ai os de récupération (filtre) et je pose l'implant
si grosse elevation 6 mois d'osteointegration
29/04/2016 à 11h23
Le sinus par voie latérale est pas mal pratiqué car ça permet au correspondant de poser les implants après :)
Les préconisation à l’étranger ne parle pas de hauteur minimum si je me souviens bien mais de stabilité de l'implant et son évaluation par le praticien.
29/04/2016 à 11h24
Pour oiseau de nuit
tu as dû lire trop vite, car dans ce cas de forte élévation il y à du RTR(beta tri phosphate calcique)
je ne mets que du PRF lorsque j' ai moins de 4mm à élever
29/04/2016 à 15h01
Merci BA de test explications tres completes😀
BA écrivait:
------------
> Pour Hodina
> oui Summers à 95°/ , à partir de 2 mm,
> séquence: Forage,( des fois au trépan pour "pousser " la rondelle avec la Mb de
> Schneijder)
> quand je suis au calibre inférieur au dernier foret (ou osteotome si D4)
> puis fracture délicate à losteotome du plancher, là je me sers du PRF pour
> pousser la MB de Schneider un ou plusieurs morceaux de PRF jusqu'à hauteur
> désirée
> alors je comble RTR, ou si j'en ai os de récupération (filtre) et je pose
> l'implant
> si grosse elevation 6 mois d'osteointegration
--
😁😁😁
Le Blog dentaire.
Cliquez ici--> www.arcad-dentaire.fr
Dernier article---------------------------------- Le diagnostic esthétique: la macroesthétique ( 3ème partie)
(-Vivre le sourire Hollywoodien-)
29/04/2016 à 17h20
Petite question qui n'a rien avoir avec le sujet :-)
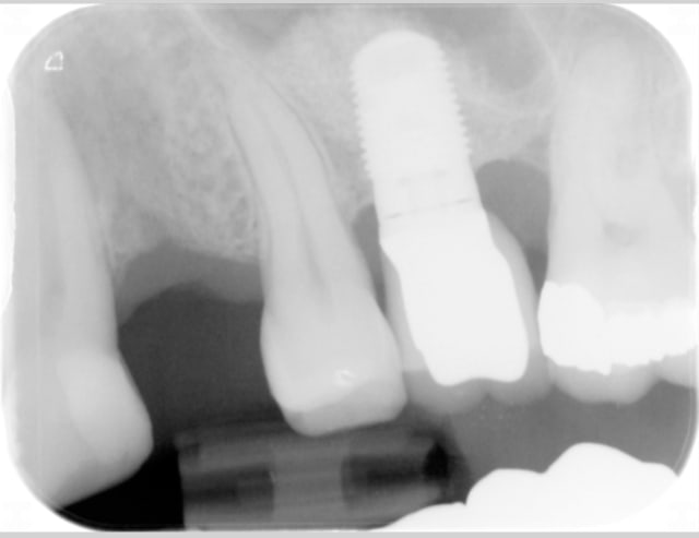
Qu'est-il arrivé à la 23? Elle présentait un soin mal adapté en 2009, puis a été couronnée en 2010, et aujourd'hui, plus rien, disparue...
29/04/2016 à 17h36
pour carident
comme tu le vois sur la première radio du premier post, elle va bien avec un composite distal