Cookie Consent byPrivacyPolicies.com11-21 incluses à cause d'odontomes - Eugenol

11-21 incluses à cause d'odontomes

cece

18/07/2016 à 10h16

Bonjour,

j'aurais aimé avoir votre avis sur ce cas.
La patiente est âgée de 11 ans et consulte pour une persistance des 51 et 61 sur arcade. A la pano nous découvrons la présence d'odontomes ayant bloqués l'éruption des 11-21. J'ai demandé un Cône Beam pour avoir plus d'infos sur la position des germes surnuméraires et le stade d'édification radiculaire des 11-21.

Comment peut-on évaluer et s'assurer du potentiel éruptif des 2 centrales ?
Si vous avez traité un cas similaire comment l'avez-vous abordé ?

Ci-joint les 11 photos normalement visibles sur Dropbox :
https://www.dropbox.com/s/t9krre0vld4nqip/DSC_9595.JPG?dl=0

Je vous remercie par avance.


1 eugenol dmj5np - Eugenol
Dancha

20/09/2016 à 17h05

Bonjour cece,

As-tu eu au moins une réponse à ton message ?
Je le découvre à l'instant.
J'ai déjà eu des cas comme ça. J'ai essayé de voir tes images Dropbox, mais il n'y en a qu'une qui s'affiche.

Si tu pouvais revoir ça.

Daniel


Ylfwcw979cz1jnx9gfqeaxndiuzk - Eugenol
Algi

20/09/2016 à 17h08


Pareil.
--
L’extrémisme est le culte sans la culture ;
le fondamentalisme est la croyance sans la connaissance ;
l’intégrisme est la religiosité sans la spiritualité.

On a toujours le choix mais entre quoi et quoi?
Vas-y boulégue et l'avenir te le dira!


Darmon - Eugenol
latin

20/09/2016 à 18h29

Idem.

Et pour ce sujet aussi :
http://www.eugenol.com/sujets/413856-orthodontie-et-diast-mes?page=1#post_871879


cece

22/09/2016 à 20h21

Désolé je ne maitrise pas toutes les subtilités de DropBox.
J'espère que cette fois ci vous les voyez toutes.
Merci.



https://www.dropbox.com/s/e5mxv8id5oa0rcq/DSC_9596.JPG?dl=0

https://www.dropbox.com/s/io31xbugbm3shx4/DSC_9597.JPG?

https://www.dropbox.com/s/lsq6a17ey536k0f/DSC_9599%20-%20Copie.JPG?dl=0

https://www.dropbox.com/s/j7hhn0okje4sf4f/DSC_9600%20-%20Copie.JPG?dl=0

https://www.dropbox.com/s/73a1l7qk1qtsex5/DSC_9601%20-%20Copie.JPG?

https://www.dropbox.com/s/jx20aktgtq5lmwo/DSC_9617.JPG?dl=0

https://www.dropbox.com/s/6ptq2wfg3d4zd2h/DSC_9618.JPG?dl=0

https://www.dropbox.com/s/572j88w6v5oeki8/DSC_9619.JPG?

https://www.dropbox.com/s/vmobfv563w1bfrk/DSC_9620.JPG?dl=0


1 eugenol dmj5np - Eugenol
Dancha

28/09/2016 à 09h56

OK, ce cas ne me paraît pas du tout insurmontable et 11-21 devraient pouvoir être mises en place. Pour moi, le pronostic est bon :

Tu ouvres, tu vires les surnuméraires, tu colles un bouton sur la couronne des centrales, tu y fixes sur chaque une ligature que tu laisses pendouiller le temps que tu refermes puis tu tractes en direction de leur éruption naturelle.
Ce peut être en orthodontie classique ou avec des systèmes autonomes de type CT8.

Je vais essayer de te trouver un cas dans le même genre.

Daniel


cece

10/10/2016 à 20h49

Merci Daniel pour votre réponse.
J'attends votre cas avec impatience.


1 eugenol dmj5np - Eugenol
Dancha

11/10/2016 à 19h53

Bonsoir,

Je ne peux pas te montrer de cas exactement comme le tien parce ceux auxquels le pensais sont trop anciens et je n'ai pas la disponibilité pour rechercher les photos.

J'en ai quand même trouvé un qui pourrais ressembler au tien : les surnuméraires avaient été enlevées quelques temps auparavant et il y avait un bel embrouillamini entre 21, 22 et 23.
Comme il était jeune, j'ai tracté 21 et 22 dans un premier temps, puis plus tard 23 qui était en vestibulaire de 22.

Bien confraternellement.

Daniel

Effectivement, eugenol pose problèmes pour charger des photos. Voir Dropbox...
https://www.dropbox.com/s/twkt1g6vpvand3i/Cas%20inclusions.zip?dl=0


cece

11/10/2016 à 22h16

Merci beaucoup. Je vous tiendrai au courant de l'avancé de ce traitement si cela vous intéresse.
Le seul paramètre qui m'inquiète est l'arrêt de l'édification radiculaire des 11 et 21. Sur les coupes du Cône Beam on ne voit qu'un tiers de racine édifié. J'espère que l'édification radiculaire reprendra son cours...


1 eugenol dmj5np - Eugenol
Dancha

12/10/2016 à 19h03

Il y a aussi ce cas auquel je viens de penser. Ce n'est pas une incisive, mais une canine.
Je l'avais dégagée en vestibulaire et collé un bouton sur sa face palatine.
La traction avait été réalisée avec un CT8, comme on le fait très souvent avec les canines.

Le chargement des images sur eugenol n'est toujours pas opérationnelle, je mets sur Dropbox :
https://www.dropbox.com/s/mh18pyetkct5rz0/9.jpg?dl=0

Daniel


ken

12/10/2016 à 23h48

Bonsoir
Tres bon travail et très bien assuré Daniel
Merci pour ces photos
Bonne continuation cece votre cas est à suivre on attend avec impatience
Je vais posté un cas pas encore terminé : 22 coincé par 4 odontomes

https://www.dropbox.com/sh/d60skvq4uh8fh17/AABQ3_rY2t2a93am-z1h--wea?dl=0


1 eugenol dmj5np - Eugenol
Dancha

14/10/2016 à 12h38

Il y a aussi celui-là, un gros costaud de 52 ans avec des odontoïdes qui bloquaient la 23, incluse haute en palatin.
J'ai utilisé un CT8.
Il est encore en cours de traitement, mais est sorti d'affaire, je n'ai pas de crainte pour la fin.

https://www.dropbox.com/s/aw8690ea7x5d631/10.jpg?dl=0

Si ça vous intéresse, la méthodologie détaillée du système "CT8" a été publiée en 2019 dans un article de la Revue d'ODF intitulé :
"Un dispositif à ancrage squelettique pour la traction et la mise en place des canines incluses".
Je peux vous en faire parvenir une copie si vous le désirez (me le demander en MP, avec vos coordonnées).

Je vous signale d'autre part qu'un article général intitulé "Les microvis enfouies, l'ancrage osseux universel" va paraître très prochainement dans "l'Orthodontie Française".
Je vous encourage vivement à lire.

Daniel


ken

17/10/2016 à 15h05

Bonjour
voici une patiente candidate à la desinclusion de la 35
Le système CT8 sera une bonne alternative
merci Daniel
https://www.dropbox.com/sh/a3yp6jge8q26m0i/AACw-rF2l2-qPHJbjOaboGwOa?dl=0


1 eugenol dmj5np - Eugenol
Dancha

19/10/2016 à 13h05

ken écrivait:
-------------
> Bonjour
> voici une patiente candidate à la desinclusion de la 35
> Le système CT8 sera une bonne alternative
> merci Daniel
> https://www.dropbox.com/sh/a3yp6jge8q26m0i/AACw-rF2l2-qPHJbjOaboGwOa?dl=0

Bonjour Ken,

Si tu veux utiliser un CT8 pour ta patiente candidate à la desinclusion de la 35, il faudra que tu places les microvis soit dans le bord antérieur de la branche montante, soit beaucoup plus antérieures, en avant du foramen mentonnier.
Personnellement, je ne traite pas un cas comme ça avec un CT8 mais plutôt comme décrit ci-dessous :

http://www.eugenol.com/sujets/409142-mise-en-place-d-un-45

Daniel


ken

19/10/2016 à 14h11

Bonjour Daniel,
Sincèrement je suis pour la simplicité donc j'opterai pour la deuxième solution qui me semble simple mais efficace
Merci beaucoup
une question : combien de temps il t'a fallut pour mettre en place la 35?


1 eugenol dmj5np - Eugenol
Dancha

19/10/2016 à 18h42

ken écrivait:
-------------
> Bonjour Daniel,
> Sincèrement je suis pour la simplicité donc j'opterai pour la deuxième solution
> qui me semble simple mais efficace
> Merci beaucoup
> une question : combien de temps il t'a fallut pour mettre en place la 35?

18 mois : 1 an pour voir apparaître le bouton, 6 mois pour le reste.

Daniel


ken

19/10/2016 à 19h09

Merci Daniel


ken

02/02/2017 à 18h46

Bonsoir
L'évolution de mon cas jusqu'à ce jour : desinclusion de la 12 coincée par des odontomes


https://www.dropbox.com/sh/d60skvq4uh8fh17/AABQ3_rY2t2a93am-z1h--wea?dl=0


ken

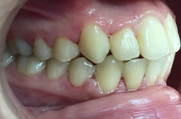
08/09/2018 à 19h36

ken écrivait:
---
> Bonsoir
> L'évolution de mon cas jusqu'à ce jour : desinclusion de la 12 coincée par des
> odontomes
>
>
> https://www.dropbox.com/sh/d60skvq4uh8fh17/AABQ3_rY2t2a93am-z1h--wea?dl=0

Finition et contention du cas.

B95b368a a6ca 4ec0 a9d3 0594e21e0ce2 hzxz9n - Eugenol
A82c21a0 cc58 4ce9 a4c1 a7fb4cefc05d eppter - Eugenol
E65f7505 950d 4fa3 9775 f3d18f13b41e lrqxps - Eugenol