Cookie Consent byPrivacyPolicies.complus c'est long ... - Eugenol

plus c'est long ...

Jack 2 wm3tqs - Eugenol
Trepo

29/09/2016 à 09h23

Je sens qu'il va y avoir du sport !

http://hpics.li/7accf64

Bien envie de tenter la dépose ... la résection et obtu a retro ne me semblent pas super indiquées, vu ce qu'il reste à réséquer :)
En plus la couronne (a priori monobloc ... super) a un peu d'âge et mériterait d'être refaite.


Jack 2 wm3tqs - Eugenol
Trepo

29/09/2016 à 11h36

vous feriez quoi ? En dehors de l'implant :)


Avatar eugenol pe0ymx - Eugenol
nicklebenou

29/09/2016 à 11h39

Trepo écrivait:
---------------
> vous feriez quoi ? En dehors de l'implant :)
si tu es chaud tu dépose en orthograde et tu obtures avec de la biocéram à l'apex, mais pour moi c'est exo implant en effet...


220px don camillo4 qrcfhs - Eugenol
camillo

29/09/2016 à 11h42

La dent est foutue de toute façons, donc tu peux en effet tenter tout ce qui te fait plaisir, comme challenge personnel, mais tu en reviendras à l'exo/implant.

Et vu ce que ça va te coûter, en temps et en matos, je pense pas que tu recommenceras!


Jack 2 wm3tqs - Eugenol
Trepo

29/09/2016 à 12h20

http://hpics.li/10b87b8

Bon, 5 minutes à déposer, une transmétal, un coup de fraise flamme autour du pivot, US et pince plate rotation légère sans contraintes, a priori pas de fêlure/ fracture radiculaire.
Reste plus qu'à reprendre ça, j'imagine bouchon de MTA, la constriction apicale semble inexistante :D
La suite au prochain épisode.

NB : fait ch.... eugenol, quand est ce que les problèmes du site seront réglés ?!


lachmar

29/09/2016 à 12h32



à mon humble avis :

sa la racine n'a pas déjà pété, ça vaut (pour le fun) une tentative de dépose très préacautionneuse -genre wam'X- parceque elle doit etre assez mastoc pour résiste( (3d utile pour étudier sa valeur intrinseque) ... c'est pas gagne

mais si tu y parviens (bravo par avance) ca devien facile comme tout : RTE (eh oui ....) et irrigation, irrigation , irrigation ...

quand ton cone de papier est sec obturation (pate sans eugenol)

et reconstitutin et tenons colles

et si tu gagnes tu es champion du monde


Vw campersurfvan bmnk1q - Eugenol
enlaye

29/09/2016 à 12h32

Trepo écrivait:
---------------
" vous feriez quoi ? En dehors de l'implant :) "

miam miam ,l'ERI


G-P

29/09/2016 à 12h51

Trepo écrivait:
---------------
> vous feriez quoi ? En dehors de l'implant :)

Un stellite 1 dent ?


Utilisateur banni

29/09/2016 à 14h04

1) la portion radiculaire soutenue par l'os = 1/3 de la hauteur totale de cette dent (racine plus couronne), mauvais rapport couronne - racine maintenue par l'os ---> mauvais pronostic
2) gros tenon = 90% de la longueur de la racine ---> 2ème mauvais pronostic
3) lésion périradiculaire ---> 3ème mauvais pronostic

conclusion : extraction :-)


South park   craig te7bfk - Eugenol
CRAIG

29/09/2016 à 15h27

Franchement à part pour ton ego de praticien je ne vois pas l'intérêt de te lancer dans un tel traitement.

Tu as tous les éléments contre toi...Si le patient est cool pourquoi pas....Mais fais attention si le patient se fait ch.... avec ton traitement pour ensuite entendre qu'il faut extraire....


moritooth

29/09/2016 à 16h01

Assure-toi que le patient a bien compris le problème, avant de l'engager vers un traitement très incertain. Un petit consentement éclairé ne serait pas de trop...


Jack 2 wm3tqs - Eugenol
Trepo

29/09/2016 à 16h17

Le patient est vraiment super cool.
Il a bien compris que c'est la dernière chance et que ça peut foirer, et finir en clou ... il prend le risque, et moi ça me motive.
On verra bien, j'essayerai de faire suivre.
Et Enlaye j'en étais sûr que tu aurais bien tenté une ERI, mais je suis pas aussi couillu que toi :D


Orezza gazeuse verre litre ocoxey - Eugenol
casa

29/09/2016 à 16h43

y'a pas besoin d'être couillu .... ! c'était l'occaz , en tous cas bravo !


Vw campersurfvan bmnk1q - Eugenol
enlaye

29/09/2016 à 17h06

bonjour Casa .


Jack 2 wm3tqs - Eugenol
Treponem

17/02/2017 à 12h18

J'ai revu le patient aujourd'hui.

Je fais un recap des étapes
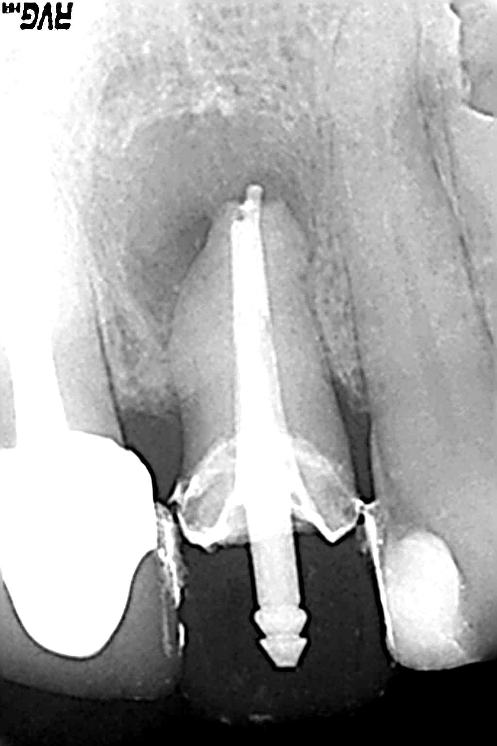
1 : Rx avec l'ancienne Cr et la pêche.
2 : Tenon déposé (Octobre 2016)
3 : RTE (le truc blanc au bout, c'est du temp bond ... qui a fusé quand j'ai scellé ma pro la séance précedente, pour dire que l'apex était ouvert :) )
4 : RTE terminée et pro à tenon en place, j'ai monté un IC en duralay et scellé en attendant la guérison. J'ai également cureté dans la séance, pour éliminer le tempbond ... et la lésion.
5 : Aujourd'hui

Gencive saine, plus de douleurs, maux de tête, fistule, mobilité. RAS.
On va faire une définitive, en prévenant.

1 xvinca - Eugenol
2 tty8fq - Eugenol
3 cjw2de - Eugenol
4 nfwx7t - Eugenol
5 z7bk4b - Eugenol

moritooth

17/02/2017 à 17h17

En fait c'est de l'endo pré-implantaire. On récupère eventuellement un peu d'os, c'est plus long qu'avec une greffe, mais ça coute moins cher...


Jack 2 wm3tqs - Eugenol
Treponem

17/02/2017 à 18h15

Voilà, après il ne veut pas entendre parler d'implant, si ça peut retarder l'amovible voir tenir jusqu'au bout, pourquoi pas ... (le patient n'a pas 30 ans) :)
Et si elle ne fait, ne serait ce que la moitié de durée de vie de la première ... elle finira au compost avec le papy :)


Jack 2 wm3tqs - Eugenol
Treponem

15/11/2018 à 09h24

Tiens, j'en profite pour vous donner des news du patient ... tout roule, pour le moment.

R22bis iwz1ez - Eugenol

S2y2o1v7q53ws4r5wy6ou8czrpom - Eugenol
pxav

15/11/2018 à 09h34


j'adore :-)

--
xbk
La connaissance s'acquiert par l'expérience, tout le reste n'est que de l'information." ALBERT EINSTEIN


Generique fraisage r2rxmm - Eugenol
lardonbis

16/11/2018 à 08h59


joli !


Ylfwcw979cz1jnx9gfqeaxndiuzk - Eugenol
Algi

16/11/2018 à 09h46

Comme quoi.....

Pensez y la prochaine fois que vous envisagez un implant sur un patient jeune....

Implant qui tiendra, amha, une vingtaine d'années voire moins....

La il a gagné quelques temps....


--
On a toujours le choix mais entre quoi et quoi?
Vas-y boulégue et l'avenir te le dira!