Tous les forums
Dernier message
09/03/2005 à 19h57
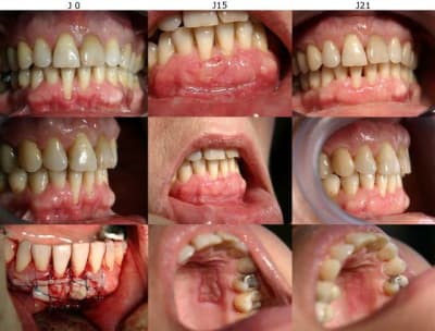
et hop la suite....
10/03/2005 à 00h27
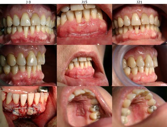
bien la bidouille ...........beau resultat bravo