Cookie Consent byPrivacyPolicies.compile poil à l'apex - Eugenol

pile poil à l'apex

Cmu2lux qdcbcg - Eugenol
damon huck

20/12/2016 à 16h26

no comment

Cypzhn5jtndbjinx5pui - Eugenol
Zpw5pdbzaxazqqv2fny8 - Eugenol

Generique fraisage r2rxmm - Eugenol
lardonbis

20/12/2016 à 16h42

pour le compactage ça va être chaud :)


J'ose pas t'envoyer une image de ce j'ai de commis il y a une heure.
36, 4 canaux, gutta au plus proche d'un l'apex = 2 mm.
la densité : c'est de l’hélium
j'aurais fait mieux au lentullo.

je revois à la rentrée.


Cmu2lux qdcbcg - Eugenol
damon huck

20/12/2016 à 17h01

ouais ouais
chaud a compacter le protaper 20/100emes je confirme


Jack 2 wm3tqs - Eugenol
Treponem

20/12/2016 à 17h15

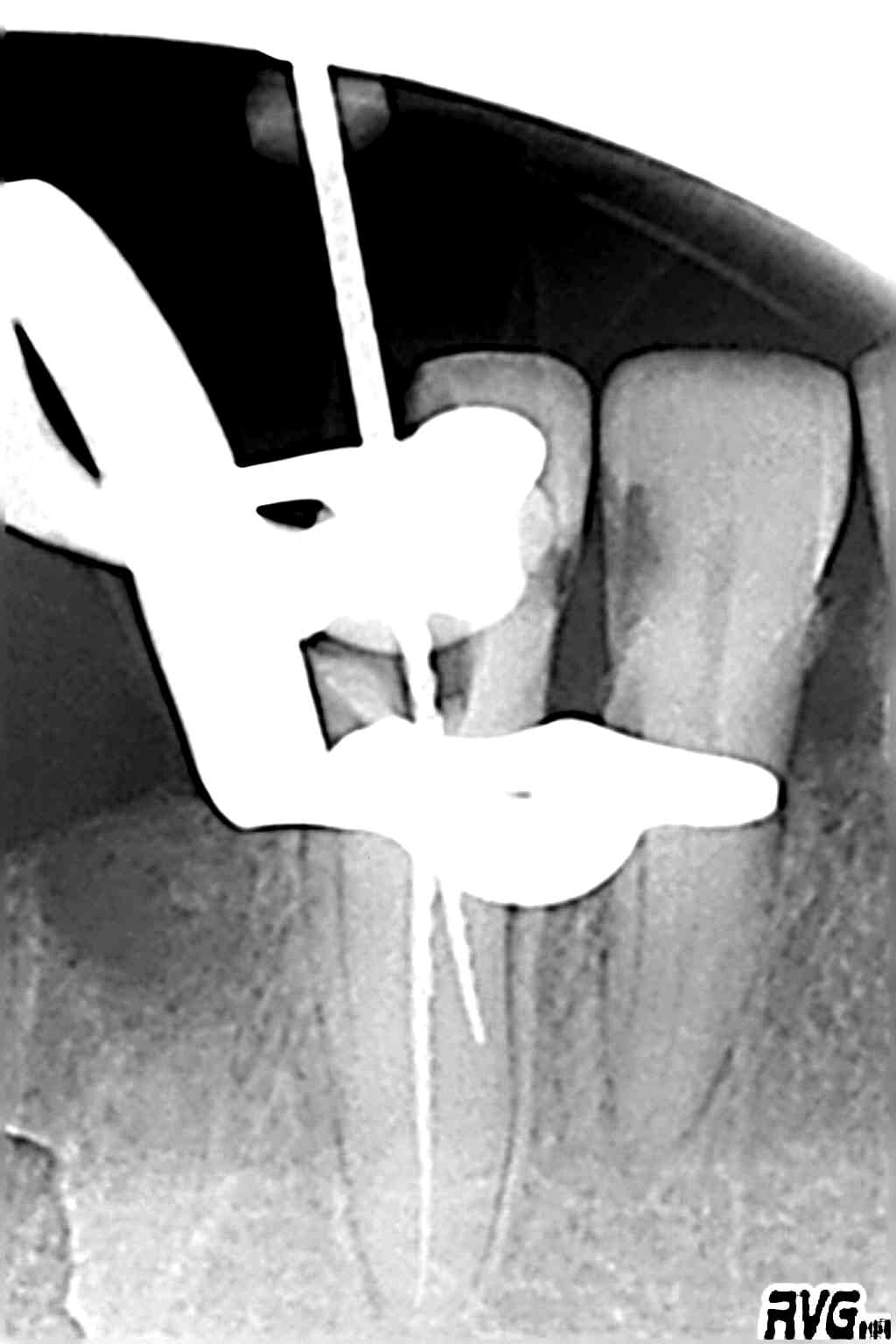
Pff la même ... en pire, je pète un instru, parce que je ne pensais pas couronner (pas un rond, d'autres trucs à faire ... ), du coup je n'ouvre pas assez la cavité d'accès ... et crac ... pété à l'apex, impossible à virer.
Bon je tente un by pass ... et voilà le résultat, je pense m'arrêter avant la perf mais c'est pas chouette :(

Pour me dédouaner, la patiente est prévenue, et voulait au départ extraire ... volonté sera certainement faite.
En attendant pour le moment ça a l'air d'aller oO

Zut ndulms - Eugenol

Generique fraisage r2rxmm - Eugenol
lardonbis

20/12/2016 à 17h16

damon huck écrivait:
--------------------
> ouais ouais
> chaud a compacter le protaper 20/100emes je confirme

adapte ton outillage.

Avec la bonne came tout est possible.



Capture d  cran 2015 03 12 12.28 - Eugenol
chicot29

20/12/2016 à 17h57

Là encore tu peux la chopper. Péter 2 mm à l'apex tu oublies.

--
En cas d'échec des négociations conventionnelles, seriez-vous prêt à suivre la promotion d'un déconventionnement massif de la profession par les syndicats représentatifs ? OUI - NON
Participez, anonymement, sur https://goo.gl/forms/nAO0htnsVmxotjYm1


6szjws718sv1jksw54v4mpj3a6cu - Eugenol
vulpi

20/12/2016 à 18h43

pour info, c'est un gold ou un universal?


Cmu2lux qdcbcg - Eugenol
damon huck

20/12/2016 à 19h25

Oui c'est un protaper Universal 20/100e en 27mm


6szjws718sv1jksw54v4mpj3a6cu - Eugenol
vulpi

20/12/2016 à 19h40

tu devrais passer aux golds.


Capture d  cran 2015 03 12 12.28 - Eugenol
chicot29

20/12/2016 à 20h24

Ou au r25 blue ou pas d'ailleurs.


--
En cas d'échec des négociations conventionnelles, seriez-vous prêt à suivre la promotion d'un déconventionnement massif de la profession par les syndicats représentatifs ? OUI - NON
Participez, anonymement, sur https://goo.gl/forms/nAO0htnsVmxotjYm1


Capture d  cran 2015 03 12 12.28 - Eugenol
chicot29

20/12/2016 à 20h29

Une patiente qui vient pour une première fois.

mon dentiste m'a ouvert la ent en urgence comme il est en vacances je viens vous voir. Il n'y a qu'à reboucher....

Effectivement. -)


--
En cas d'échec des négociations conventionnelles, seriez-vous prêt à suivre la promotion d'un déconventionnement massif de la profession par les syndicats représentatifs ? OUI - NON
Participez, anonymement, sur https://goo.gl/forms/nAO0htnsVmxotjYm1

Capture d écran 2016 12 20 20.28 - Eugenol

Cmu2lux qdcbcg - Eugenol
damon huck

20/12/2016 à 20h35

Le Gold y'a un truc qui me bloque: la lime qui reste courbée faut réfléchir pour la réengager dans le canal..: pas pigé


6szjws718sv1jksw54v4mpj3a6cu - Eugenol
vulpi

20/12/2016 à 23h32



LE CHÊNE ET LE ROSEAU



Le Chêne un jour dit au roseau :
Vous avez bien sujet (1)d'accuser la Nature ;
Un Roitelet pour vous est un pesant fardeau.
Le moindre vent qui d'aventure (2)
Fait rider la face de l'eau,
Vous oblige à baisser la tête :
Cependant que mon front, au Caucase pareil,
Non content d'arrêter les rayons du soleil,
Brave l'effort de la tempête.
Tout vous est aquilon ; tout me semble zéphir (3).
Encor si vous naissiez à l'abri du feuillage
Dont je couvre le voisinage,
Vous n'auriez pas tant à souffrir :
Je vous défendrais de l'orage ;
Mais vous naissez le plus souvent
Sur les humides bords des Royaumes du vent.
La Nature envers vous me semble bien injuste.
Votre compassion, lui répondit l'Arbuste ,
Part d'un bon naturel ; mais quittez ce souci.
Les vents me sont moins qu'à vous redoutables.
Je plie, et ne romps pas. Vous avez jusqu'ici
Contre leurs coups épouvantables
Résisté sans courber le dos ;
Mais attendons la fin. Comme il disait ces mots,
Du bout de l'horizon accourt avec furie
Le plus terrible des enfants
Que le Nord eût porté jusque-là dans ses flancs.
L'Arbre tient bon ; le Roseau plie.
Le vent redouble ses efforts,
Et fait si bien qu'il déracine
Celui de qui la tête au ciel était voisine,(4)
Et dont les pieds touchaient à l'empire des morts.(5)




Capture d  cran 2015 03 12 12.28 - Eugenol
chicot29

21/12/2016 à 07h27

damon huck écrivait:
--------------------
> Le Gold y'a un truc qui me bloque: la lime qui reste courbée faut réfléchir pour
> la réengager dans le canal..: pas pigé

Tu ne peux pas faire une fausse route avec un gold. -)

--
En cas d'échec des négociations conventionnelles, seriez-vous prêt à suivre la promotion d'un déconventionnement massif de la profession par les syndicats représentatifs ? OUI - NON
Participez, anonymement, sur https://goo.gl/forms/nAO0htnsVmxotjYm1


lachmar

21/12/2016 à 09h57




c'est assez facile à enlever : le canal est droit et assez large pour supporter un alésage
il doit s'agir d'un vissage dans la partie supérieure
un beau cas pour la trousse de masseran
si tu l'as
sinon US pour elargir la zone et les kits simples d'extraction de limes


Cmu2lux qdcbcg - Eugenol
damon huck

21/12/2016 à 10h08

le vissage est plus loin du genre apex-5mm
sur la RVG tu vois la lime 15 engagée le long de l'instrument sur 2/3 de sa longueur

j'avais un temps un petit tube creux pour sortir les instruments mais j'ai perdu la référence si quelqu'un voit de quoi je parle


6szjws718sv1jksw54v4mpj3a6cu - Eugenol
vulpi

21/12/2016 à 10h15

Une F1 travaille sur son 1/4 inférieur, le vissage est probablement là. Le gros soucis avec le NiTi c'est que la lime se déforme avant de casser, c'est un vissage "sous contrainte élastique" (je ne sais le formuler autrement), et non un simple vissage/blocage. Belle galère.
Depuis que j'ai laissé les "universals" pour les golds je suis plus zen.


lachmar

21/12/2016 à 10h28



si tu n'as pas le masseran (ou si tu n'as pas un pote qui l'a)
tu peux essayer "endo rescue de komet)

ca doit sortir sans difficulté