Cookie Consent byPrivacyPolicies.comLabos d'import - Eugenol
Capture d  cran 2015 03 12 12.28 - Eugenol
chicot29

21/02/2017 à 22h37

junior® écrivait:
-----------------
> Chicot si tu pouvais poster tes cas de protilab ca serait cool , de façon à ce
> qu'on puisse comparer avec Labocast par exemple... et nous dire si ils te font
> de la merde.

J'ai demandé occlusion "légère". Ca devrait aller. pas coché points de contacts "légers" par contre mauvais pour le boeuf bourguignon. -))))

--
En cas d'échec des négociations conventionnelles, seriez-vous prêt à suivre la promotion d'un déconventionnement massif de la profession par les syndicats représentatifs ? OUI - NON
Participez, anonymement, sur https://goo.gl/forms/nAO0htnsVmxotjYm1


Aiguille cyboyt - Eugenol
fatboy

22/02/2017 à 02h20

posit écrivait:
---------------
> Hokusai écrivait:
> -----------------
>
> >
> > Pour celles et ceux qui ont le courage de l'écouter, c'est assez informatif,

J'ai craqué au bout de 1 min, je me suis mis a giflé mon ecran en hurlant "ta gueule" je sais pas ce qui m'a pris. Ecran, sache que je m'excuse!


Hok 1b hgd3rj - Eugenol
Hokusai

22/02/2017 à 07h57

fatboy écrivait:
----------------
> J'ai craqué au bout de 1 min, je me suis mis a giflé mon ecran en hurlant "ta
> gueule" je sais pas ce qui m'a pris. Ecran, sache que je m'excuse!

J'avais essayé de prévenir... je préfère encore les MGEN, c'est pour dire.


cyberdent28

22/02/2017 à 08h16


Bonjour ,
Pour pouvoir comparer Labocast et Protilab et mon labo de Shenzhen,je vous envois quelques photos de cas posés samedi dernier,il s'agit essentiellement de zircone céramisé et un bridge céramo- métal.
Je suis nul en photo ,je les ai réaliser avec mon S7, alors pire que Labocast ?

Dent0 szhcsl - Eugenol
Dent1 jdpab2 - Eugenol
Dent2 qnc8wg - Eugenol
Dent4 amcmr5 - Eugenol

Generique fraisage r2rxmm - Eugenol
lardonbis

22/02/2017 à 08h37

y'a comme un truc entre 42 et 43 :)))


--
ici bientôt de la pub pour hodina .


Hok 1b hgd3rj - Eugenol
Hokusai

22/02/2017 à 08h39

lardonbis écrivait:
-------------------
> y'a comme un truc entre 42 et 43 :)))

On dirait un poil pubien... elle t a réglé comment la patiente ??? ;)

Sinon c est bien propre ton cas anterieur, le cout de la prothese ??
Il cherche encore des clients ton protho?


mr.smith

22/02/2017 à 21h27

cyberdent28 écrivait:
---------------------
>
> Bonjour ,
> Pour pouvoir comparer Labocast et Protilab et mon labo de Shenzhen,je vous
> envois quelques photos de cas posés samedi dernier,il s'agit essentiellement de
> zircone céramisé et un bridge céramo- métal.

il faut juste s’habituer à percevoir visuellement les céramiques ming comme des dents de catalogue d'adjointe .
Mais cela ne retire rien à la qualité de ton travail , notamment sur le cas en antérieur .

Juste un problème de cout , de pognon en fait !


--
De l'influence des rayons gamma sur le comportement des marguerites


Capture d  cran 2015 03 12 12.28 - Eugenol
chicot29

28/02/2017 à 18h02

Pts de contacts OK, occlusion ok, adaptation inlay core oK. C'est l'essentiel.

Anatomie moyenne, mais comme le font aussi bien certains labos francais.

--
En cas d'échec des négociations conventionnelles, seriez-vous prêt à suivre la promotion d'un déconventionnement massif de la profession par les syndicats représentatifs ? OUI - NON
Participez, anonymement, sur https://goo.gl/forms/nAO0htnsVmxotjYm1

Capture d écran 2017 02 28 17.59 - Eugenol

Hok 1b hgd3rj - Eugenol
Hokusai

28/02/2017 à 18h36

La teinte c'est pas trop ca...
Sinon ça a l'air suffisant pour les tarifs plafonnés ! ;)
Et surtout pour quel prix ??

Reste a savoir quand dire adieu au protho français. :(
A partir de quel plafond il n'est plus envisageable de bosser avec un protho a 120e la ccm ?


Generique fraisage r2rxmm - Eugenol
lardonbis

28/02/2017 à 18h53

Gagner 40 € sur une ceram sans avoir quelqu’un qui sait comment tu aimes tes point de contact, quelqu'un qui refait sans râler quand tu chie, ou qui peut recevoir un patient pour un teinte à la con...
Je vois pas trop le bénéfice.


--
on attend !!


Hok 1b hgd3rj - Eugenol
Hokusai

28/02/2017 à 18h59

lardonbis écrivait:
-------------------
> Gagner 40 € sur une ceram

J'ai testé la CCM de chez SIVP à 57e... made in Turquie comme le souhaite notre ministre. (j'ai l'impression d’être un collabo sous pétain !!)
Bin c pas dégueux, je peux baisser le prix de ma ccm de presque 70e sans toucher a mon benef.


Capture d  cran 2015 03 12 12.28 - Eugenol
chicot29

28/02/2017 à 19h03

;


Capture d  cran 2015 03 12 12.28 - Eugenol
chicot29

28/02/2017 à 19h25

Hokusai écrivait:
-----------------
> La teinte c'est pas trop ca...
> Sinon ça a l'air suffisant pour les tarifs plafonnés ! ;)
> Et surtout pour quel prix ??

Tu t'en branles de la teinte en postérieur. C'est peut etre moi qui ne suis gourré. -)))

Mise en place nickel pas de retouches basta. 60 euros de moins que le protho habituel. mais là n'est pas l'important. Un peu plus et je pourrais faire mon endio molaire gratuite sans que ca change quoique ce soit pour moi. C'est ca qui est lamentable.

Ca fait l'endo molaire à 141,94 euros. Largement mieux que l'augmentation de merde qu'on va avoir.Ou qu'on a eu en 2006 en échange du taux URSSAF. -)
Je vais faire une conférence pour gagner plus et ca ne sera pas sur la CCAM. -)))
--
En cas d'échec des négociations conventionnelles, seriez-vous prêt à suivre la promotion d'un déconventionnement massif de la profession par les syndicats représentatifs ? OUI - NON
Participez, anonymement, sur https://goo.gl/forms/nAO0htnsVmxotjYm1


Capture d  cran 2015 03 12 12.28 - Eugenol
chicot29

28/02/2017 à 19h52

C'est moi ou ca merde les pièces jointes ?


--
En cas d'échec des négociations conventionnelles, seriez-vous prêt à suivre la promotion d'un déconventionnement massif de la profession par les syndicats représentatifs ? OUI - NON
Participez, anonymement, sur https://goo.gl/forms/nAO0htnsVmxotjYm1


Capture d  cran 2015 03 12 12.28 - Eugenol
chicot29

28/02/2017 à 19h53

Hokusai écrivait:
-----------------
> lardonbis écrivait:
> -------------------
> > Gagner 40 € sur une ceram
>
> J'ai testé la CCM de chez SIVP à 57e... made in Turquie comme le souhaite notre
> ministre. (j'ai l'impression d’être un collabo sous pétain !!)
> Bin c pas dégueux, je peux baisser le prix de ma ccm de presque 70e sans toucher
> a mon benef.

Faut pas voir ca comme ca , ca augmente le prix de ton endo de 70 euros. -)

--
En cas d'échec des négociations conventionnelles, seriez-vous prêt à suivre la promotion d'un déconventionnement massif de la profession par les syndicats représentatifs ? OUI - NON
Participez, anonymement, sur https://goo.gl/forms/nAO0htnsVmxotjYm1


Capture d  cran 2015 03 12 12.28 - Eugenol
chicot29

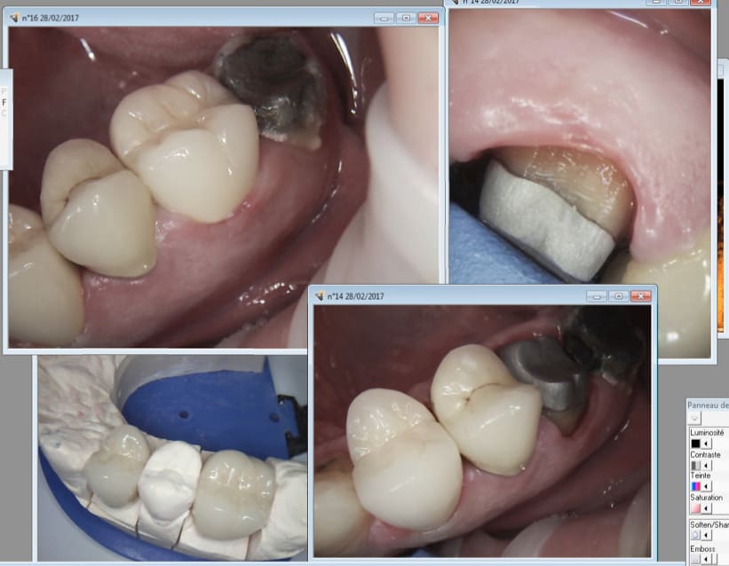
28/02/2017 à 21h15

Endo ok, inlay core ok, ceram ok. -)


https://www.dropbox.com/s/b882xc534t5gkdj/Capture%20d%27%C3%A9cran%202017-02-28%2019.16.55.png?dl=0

Made in France. -)

https://www.dropbox.com/s/ia9i2ekkul94c2v/Capture%20d%27%C3%A9cran%202017-02-28%2021.23.11.png?dl=0

Note : si enlèvement régulier on peut encore gratter 11 euros. C'est plus que ce que prévoit MST d'augmentation sur une endo molaire. -)



--
En cas d'échec des négociations conventionnelles, seriez-vous prêt à suivre la promotion d'un déconventionnement massif de la profession par les syndicats représentatifs ? OUI - NON
Participez, anonymement, sur https://goo.gl/forms/nAO0htnsVmxotjYm1


mr.smith

28/02/2017 à 21h27

chicot29 écrivait:
------------------
> Endo ok, inlay core ok, ceram ok. -)
>

je n'aime que l'endo ;o)

Toutes mes teintes partent chez mon protho , même pour des 8 surnuméraires ... Je suis un gros fainéant et mon protho est à 400 mètres avec vue sur le port , une belle ballade pour les patients .

60€ à gratter , pour une endo ! tu vaux mieux que cela ;o))




--
De l'influence des rayons gamma sur le comportement des marguerites


Capture d  cran 2015 03 12 12.28 - Eugenol
chicot29

28/02/2017 à 21h37

mr.smith écrivait:
------------------
> chicot29 écrivait:
> ------------------
> > Endo ok, inlay core ok, ceram ok. -)
> >
>
> je n'aime que l'endo ;o)

Ca tombe bien c'est ce qui est le plus important avec la précision de l'empreinte les pts de contacts et l'occlusion. La teinte ca vient en dernier en postérieur. Et c'est peut etre moi qui l'ai mal prise en plus. .

En cas d'échec des négociations conventionnelles, seriez-vous prêt à suivre la promotion d'un déconventionnement massif de la profession par les syndicats représentatifs ? OUI - NON
Participez, anonymement, sur https://goo.gl/forms/nAO0htnsVmxotjYm1


Capture d  cran 2015 03 12 12.28 - Eugenol
chicot29

28/02/2017 à 21h41

mr.smith écrivait:
------------------

> 60€ à gratter , pour une endo ! tu vaux mieux que cela ;o))

Ca fait 180 dans la journée quand meme. -)

Question : quel est le poste de dépense ou tu peux gratter le plus ? Ca m'énerve le Roumain d'à coté lui a un passage régulier. Il est donc plus compétitif.....de 11 euros. -)

--
En cas d'échec des négociations conventionnelles, seriez-vous prêt à suivre la promotion d'un déconventionnement massif de la profession par les syndicats représentatifs ? OUI - NON
Participez, anonymement, sur https://goo.gl/forms/nAO0htnsVmxotjYm1


Capture d  cran 2015 03 12 12.28 - Eugenol
chicot29

28/02/2017 à 21h45

Il faudrait que je leur demande si avec la camera carestream on peut faire des inlay cores. En plus ca donnerait un air high tech au cabinet. -)


--
En cas d'échec des négociations conventionnelles, seriez-vous prêt à suivre la promotion d'un déconventionnement massif de la profession par les syndicats représentatifs ? OUI - NON
Participez, anonymement, sur https://goo.gl/forms/nAO0htnsVmxotjYm1


mr.smith

01/03/2017 à 08h26

chicot29 écrivait:
------------------
? Ca
> m'énerve le Roumain d'à coté lui a un passage régulier. Il est donc plus
> compétitif.....de 11 euros. -)
>

Achetes un stock de transmétal et de Protaper Universal Retraitement , dans 2 ans tu vas avoir un afflue important de patients ;o))


--
De l'influence des rayons gamma sur le comportement des marguerites


Capture d  cran 2015 03 12 12.28 - Eugenol
chicot29

01/03/2017 à 08h52

Je te rassure le travail initial était tout made in France. Cette dent était Vraisemblablement difficile à traiter et le confrère a fait ce qu'il a pu.
Et dire que j'en remets une couche avec de la prothèse d'import. Il n'a vraiment pas de bol le patient hein ? -)))


--
En cas d'échec des négociations conventionnelles, seriez-vous prêt à suivre la promotion d'un déconventionnement massif de la profession par les syndicats représentatifs ? OUI - NON
Participez, anonymement, sur https://goo.gl/forms/nAO0htnsVmxotjYm1

Capture d écran 2017 03 01 08.53 - Eugenol

Capture d  cran 2015 03 12 12.28 - Eugenol
chicot29

01/03/2017 à 08h56

Oh mais que vois je ? Du tout made in France en bas aussi ? Comme c'est difficile l'endo en France hein ? -))))

Controle des prix = merde. Notre travail est praticien et temps dépendant. Un dentiste A ne fait pas forcément le meme travail qu'un dentiste B.

--
En cas d'échec des négociations conventionnelles, seriez-vous prêt à suivre la promotion d'un déconventionnement massif de la profession par les syndicats représentatifs ? OUI - NON
Participez, anonymement, sur https://goo.gl/forms/nAO0htnsVmxotjYm1

Capture d écran 2017 03 01 08.55 - Eugenol

mr.smith

01/03/2017 à 19h33

chicot29 écrivait:
------------------
> Oh mais que vois je ? Du tout made in France en bas aussi ? Comme c'est
> difficile l'endo en France hein ? -))))
>
T'as rien compris , le CD français parlant le français peut expliquer que la famille qu'il suit depuis 3 générations , est une famille à kystes , une fatalité Huguette ;o))

Le roumain , il ne peut pas baragouiner et donner l'explication scientifique de la patho héréditaire que la famille subit .

Donc dans 2 années tu bosses le vendredi et puis c'est marre ;o)))

--
De l'influence des rayons gamma sur le comportement des marguerites


Capture d  cran 2015 03 12 12.28 - Eugenol
chicot29

29/03/2017 à 19h34

Laquelle des 2 est une chinoiserie ? -)


--
En cas d'échec des négociations conventionnelles, seriez-vous prêt à suivre la promotion d'un déconventionnement massif de la profession par les syndicats représentatifs ? OUI - NON
Participez, anonymement, sur https://goo.gl/forms/nAO0htnsVmxotjYm1

Capture d écran 2017 03 29 19.32 - Eugenol

1...101112