Cookie Consent byPrivacyPolicies.comLabos d'import - Eugenol
Capture d  cran 2015 03 12 12.28 - Eugenol
chicot29

07/01/2017 à 10h40

posit écrivait:
---------------
> chicot29 écrivait:
> ------------------
> > Malheureusement pour vous le poste de prothèse est le seul sur lequel on peut
> jouer. Le plafonnement des honoraires de prothèse est une très mauvaise nouvelle
> pour les labos francais.
>
> Je suis d'accord avec toi mais pas sur un point. il y a 40 ans le prix d'une
> couronne était composé par moitié des honoraires de soins et l'autre des
> honoraires de la prothèse.Nos 2 professions ont laissé dériver les choses.

J'ai une ceram à 320 et mon prothésiste me la facture 130.

Presque comme il y a 40 ans dis donc ! Tu vois très peu de dérive ! -)))

Mouhahaha !
--
En cas d'échec des négociations conventionnelles, seriez-vous prêt à suivre la promotion d'un déconventionnement massif de la profession par les syndicats représentatifs ? OUI - NON
Participez, anonymement, sur https://goo.gl/forms/nAO0htnsVmxotjYm1


Utilisateur banni

07/01/2017 à 10h58

chicot29 écrivait:
------------------
> posit écrivait:
> ---------------
> > chicot29 écrivait:
> > ------------------
> > > Malheureusement pour vous le poste de prothèse est le seul sur lequel on
> peut
> > jouer. Le plafonnement des honoraires de prothèse est une très mauvaise
> nouvelle
> > pour les labos francais.
> >
> > Je suis d'accord avec toi mais pas sur un point. il y a 40 ans le prix d'une
> > couronne était composé par moitié des honoraires de soins et l'autre des
> > honoraires de la prothèse.Nos 2 professions ont laissé dériver les choses.
>
> J'ai une ceram à 320 et mon prothésiste me la facture 130.
>
> Presque comme il y a 40 ans dis donc ! Tu vois très peu de dérive ! -)))
>
> Mouhahaha !


> --
Tu oublis la période où tu as utiliser le cerec puis protilab.

En gros tant que tu as fourni du travail au labo il ne sais pas poser la question du lendemain avec le plafonnement des soins.

juste une précision en 85 je facturais une CCM 100€ (franc ramené en euro), en 32 ans je pense qu'il y a eu un peu d'inflation mais pas en prothèse.


GLYCOLON

07/01/2017 à 11h42

chicot29 écrivait:
------------------
> Du coup je suis en train de réfléchir. Si je fais 32000 d' économies par an sur
> mes frais de prothèse. Combien de temps me faudra il attendre pour acheter une
> panamera 2 E hybrid à 140 000 euros



MOUHAHA

reflechis pas de trop, tu fais de la diarrhée verbale

MOUHAHA


Capture d  cran 2015 03 12 12.28 - Eugenol
chicot29

07/01/2017 à 12h10

Non tu as raison il ne faut surtout pas réfléchir. Les 32 000 euros d'économies c'est avant le passage à la tonte.
Toi aussi tu aimes te faire tondre ? C'est plus agréable après etre rasé de près !

Tu fais 32 000 euros de BNC en plus mais en réalité il t'en reste 12000. Et bien sur c'est tout à fait normal.
Justement quand on réfléchit on bosse moins et on ne change pas forcément de prothésiste pour ca. A moins bien sur qu'on ne se retrouve vraiment dans la merde. .
La panamera j'en est rien à secouer et pour cause , j'en ai déjà une, mais en V8 essence qui envoie tout plein de C02 dans l'atmosphère. L'hybrid c'était pour contribuer à sauver la planète tant pis ! .



Mouhahaha !

--
En cas d'échec des négociations conventionnelles, seriez-vous prêt à suivre la promotion d'un déconventionnement massif de la profession par les syndicats représentatifs ? OUI - NON
Participez, anonymement, sur https://goo.gl/forms/nAO0htnsVmxotjYm1


Utilisateur banni

07/01/2017 à 12h22

chicot29 écrivait:
------------------

> Tu fais 32 000 euros de BNC en plus mais en réalité il t'en reste 12000. Et bien
> sur c'est tout à fait normal.
> Justement quand on réfléchit on bosse moins et on ne change pas forcément de
> prothésiste pour ca. A moins bien sur qu'on ne se retrouve vraiment dans la
> merde. .


La gestion ne devrais pas s’apprendre à nos dépend mais avant d'exercer.


GLYCOLON c'est justement par manque de réflexion qu'on n'est dans la merde.


Capture d  cran 2015 03 12 12.28 - Eugenol
chicot29

07/01/2017 à 12h27

Quand il sera obligé de changer de prothésiste pour donner à bouffer à ses gosses il fera moins le malin. Parce que si c'est l'état qui décide de tous ses tarifs c'est ce qui va lui arriver.
Mais peut etre est il dé conventionné ? -)

--
En cas d'échec des négociations conventionnelles, seriez-vous prêt à suivre la promotion d'un déconventionnement massif de la profession par les syndicats représentatifs ? OUI - NON
Participez, anonymement, sur https://goo.gl/forms/nAO0htnsVmxotjYm1


Capture d  cran 2015 03 12 12.28 - Eugenol
chicot29

07/01/2017 à 12h33

posit écrivait:
---------------
> chicot29 écrivait:
> ------------------
>
> > Tu fais 32 000 euros de BNC en plus mais en réalité il t'en reste 12000. Et
> bien
> > sur c'est tout à fait normal.
> > Justement quand on réfléchit on bosse moins et on ne change pas forcément de
> > prothésiste pour ca. A moins bien sur qu'on ne se retrouve vraiment dans la
> > merde. .
>
>
> La gestion ne devrais pas s’apprendre à nos dépend mais avant d'exercer.
>
>
> GLYCOLON c'est justement par manque de réflexion qu'on n'est dans la merde.

Il a du charger en Madelin à bloc. -)))
Du coup il ne lui reste plus rien. Mais ca il le saura quand il prendra sa retraite c'est pas possible que la connerie se transmette de génération en génération. -)

--
En cas d'échec des négociations conventionnelles, seriez-vous prêt à suivre la promotion d'un déconventionnement massif de la profession par les syndicats représentatifs ? OUI - NON
Participez, anonymement, sur https://goo.gl/forms/nAO0htnsVmxotjYm1


Capture d  cran 2015 03 12 12.28 - Eugenol
chicot29

07/01/2017 à 12h40

32000 euros de BNC en plus ca peut aussi te permettre de bosser 2 mois de moins. -)

AH ? Ca c'est nettement plus intéressant, c'est pas encore taxé fictivement le temps libre ! . Mais comme je prends déjà 10 semaines de vacances et que je bosse 3 jours et demi j'ai peur que ma clientèle ne se ventile. -)


--
En cas d'échec des négociations conventionnelles, seriez-vous prêt à suivre la promotion d'un déconventionnement massif de la profession par les syndicats représentatifs ? OUI - NON
Participez, anonymement, sur https://goo.gl/forms/nAO0htnsVmxotjYm1


carident

19/01/2017 à 20h06

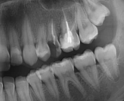
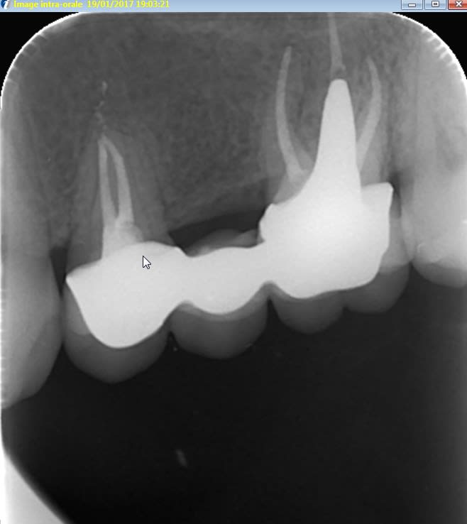
Un autre petit cas, tout juste posé...

P1 dxpc1d - Eugenol
P3 zay6mj - Eugenol
Screenshot333 q4ihve - Eugenol
Screenshot334 mjirjy - Eugenol
Screenshot335 ibbt0h - Eugenol
P2 x4q2ow - Eugenol

Motte-5

19/01/2017 à 20h09

pourquoi dépulper une dent ?
pourquoi un bridge ?


carident

19/01/2017 à 20h22

Motte-5 écrivait:
-----------------
> pourquoi dépulper une dent ?
> pourquoi un bridge ?

La 24 présentait 2 caries M et D assez importantes qui ont été soignées dans un premier temps, suite à l'extraction de la 25.

Je lui ai expliqué les deux alternatives, pour remplacer la 25. Elle est revenue quelques mois après au moment où sa reconstitution foulée (qui n'était pas de moi) avec screw post sur la 26 commençait à partir en cacahouète, et la 5 bougeait légèrement...

La patiente a opté pour le bridge à cause du remboursement. Mais, les racines de cette jeune patiente étant très très courte, j'ai préféré ne pas prendre le risque d'une nécrose au niveau de la 24 qui aurait pu remettre en cause son maintient sur l'arcade.


Capture d  cran 2015 03 12 12.28 - Eugenol
chicot29

19/01/2017 à 20h55

Motte-5 écrivait:
-----------------
> pourquoi dépulper une dent ?
> pourquoi un bridge ?

Parce que ca tient trèèèèèès longtemps un bridge. -)

2001 ( et il était là déjà depuis des lustres) ........ 2017.

2 piliers et 3 inters quand meme. -))))

Non, parce que carident est fort en endo. -)))
C'est pas le cas de tout le monde hein ? -))))

En plus on a le droit ( j'estime qu'une fois taillée la pulpe a un pronostic défavorable quant à sa vitalité) et en plus c'est mieux remboursé par la sécu et les moutouelles.

Tu as oublié l'IC sur la 24 carident. T'es sur que la limite de la préparation n'était pas à moins de 2 mm des cavités carieuses ? Pas bon ca augmente le reste à charge. -))))

--
En cas d'échec des négociations conventionnelles, seriez-vous prêt à suivre la promotion d'un déconventionnement massif de la profession par les syndicats représentatifs ? OUI - NON
Participez, anonymement, sur https://goo.gl/forms/nAO0htnsVmxotjYm1

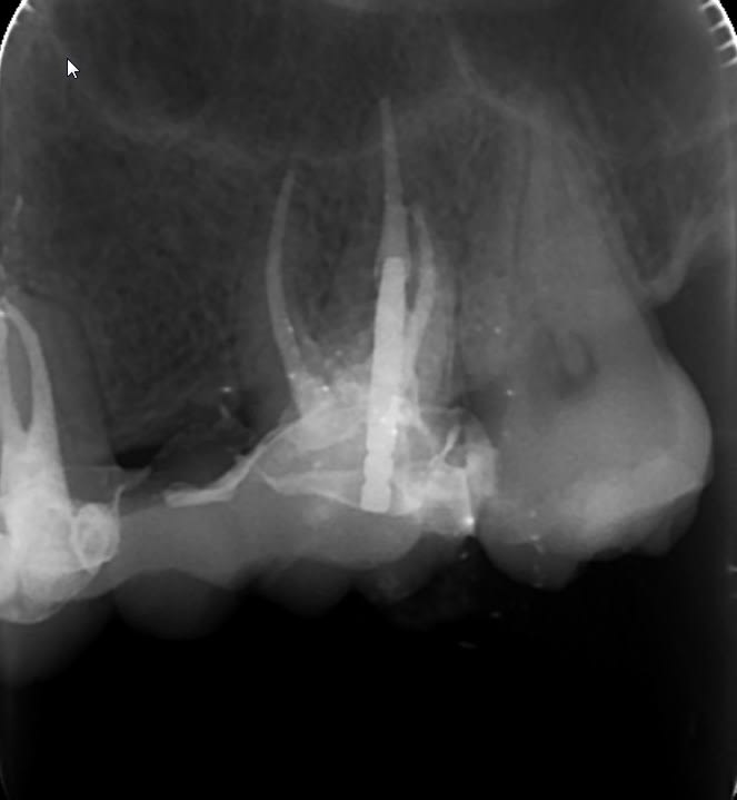
Capture d écran 2017 01 19 20.50 - Eugenol
Capture d écran 2017 01 19 20.52 - Eugenol

Capture d  cran 2015 03 12 12.28 - Eugenol
chicot29

19/01/2017 à 21h11

carident écrivait:
------------------

> La 24 présentait 2 caries M et D assez importantes qui ont été soignées dans un
> premier temps, suite à l'extraction de la 25.
>
> Je lui ai expliqué les deux alternatives, pour remplacer la 25. Elle est revenue
> quelques mois après au moment où sa reconstitution foulée (qui n'était pas de
> moi) avec screw post sur la 26 commençait à partir en cacahouète, et la 5
> bougeait légèrement...

Ben voilà il fallait faire 2 endos de qualité sur 25 et 26 et 2 ic coiffes, dès le départ. La question d'un bridge ne se serait pas posée ensuite. -))
Celui qui a merdé c'est le premier à avoir entamé les soins sur ces dents. -)))

--
En cas d'échec des négociations conventionnelles, seriez-vous prêt à suivre la promotion d'un déconventionnement massif de la profession par les syndicats représentatifs ? OUI - NON
Participez, anonymement, sur https://goo.gl/forms/nAO0htnsVmxotjYm1


Capture d  cran 2015 03 12 12.28 - Eugenol
chicot29

19/01/2017 à 21h20

Quand tu fais des endos de qualité et des ic coiffes tu n'as pas de problèmes et ca commence par l'acceptation de devis -))))
Tu revois le patient des années après pour d'autres dents qui lui font mal et tu recommences. -)
Au passage c'est l'occasion de faire un bon status radio justifié pour voir si tout est OK. Ici 2 caries à soigner sur 21 et 42 en meme temps que la pose des ic coiffes sur 16 et 26. -)))
Tout le monde est content patient et praticien. Tout baigne. -)))

Mouahahaha !



--
En cas d'échec des négociations conventionnelles, seriez-vous prêt à suivre la promotion d'un déconventionnement massif de la profession par les syndicats représentatifs ? OUI - NON
Participez, anonymement, sur https://goo.gl/forms/nAO0htnsVmxotjYm1

Capture d écran 2017 01 19 21.36 - Eugenol

Vw campersurfvan bmnk1q - Eugenol
enlaye

20/01/2017 à 00h35

carident écrivait:
------------------
" Un autre petit cas, tout juste posé..."

tu as demandé ,ic +bridge en même temps ?
ça m'a l'air plutôt bien .


Hok 1b hgd3rj - Eugenol
Hokusai

20/01/2017 à 08h22

C'est un beau bridge, du beau travail.


Capture d  cran 2015 03 12 12.28 - Eugenol
chicot29

20/01/2017 à 08h28

Surtout quand on voit de quoi il est parti. -)


--
En cas d'échec des négociations conventionnelles, seriez-vous prêt à suivre la promotion d'un déconventionnement massif de la profession par les syndicats représentatifs ? OUI - NON
Participez, anonymement, sur https://goo.gl/forms/nAO0htnsVmxotjYm1


Hok 1b hgd3rj - Eugenol
Hokusai

20/01/2017 à 08h30

chicot29 écrivait:
------------------
> Surtout quand on voit de quoi il est parti. -)

Oui exactement et c'est tout a fait vers ce type de travail que je pense orienter mon activité... RTR + prothese ccam compatible.


Capture d  cran 2015 03 12 12.28 - Eugenol
chicot29

20/01/2017 à 09h06

Ce qui est merveilleux dans ce paradis socialiste c'est que son RTE impeccable il le facture au meme tarif que la bouse de tt endo initiale. -))))
La patiente a eu du bol de tomber sur lui car à terme c'est pas une dent qu'elle aurait perdu mais 3. ( bridge sur tt pouri de 26 ET 24).
Comme tous les problèmes ont une solution , ca ce serait terminé en stellite. -)))


--
En cas d'échec des négociations conventionnelles, seriez-vous prêt à suivre la promotion d'un déconventionnement massif de la profession par les syndicats représentatifs ? OUI - NON
Participez, anonymement, sur https://goo.gl/forms/nAO0htnsVmxotjYm1


reciproc

20/01/2017 à 09h20

connaissez vous ellipse dentale?
c'est le petit nouveau qui est arrivé dans ma boite au lettre ce matin.
après le coup de pied au cul de revel d'hier , je pense que choisir son labo d'import devient une priorité.


Generique fraisage r2rxmm - Eugenol
lardonbis

20/01/2017 à 10h22

ben sans moi.

Le jour ou je me pose la question de passer à l'import je pose la turbine et je pars à la pêche.
C'est que le taf que fait vaut plus le coup de se casser le bol..


--
la réponse à vos questions est sans doute sur www.arcad-dentaire.fr !


carident

20/01/2017 à 11h56

enlaye écrivait:
----------------
> carident écrivait:
> ------------------
> " Un autre petit cas, tout juste posé..."
>
> tu as demandé ,ic +bridge en même temps ?
> ça m'a l'air plutôt bien .

Empreinte double mélange pour IC seul, puis empreinte wash modifiée pour l'armature du bridge, puis pose (aucune retouche occlusale, très légère retouche proximale)


carident

20/01/2017 à 11h56

Hokusai écrivait:
-----------------
> C'est un beau bridge, du beau travail.

Merci


carident

20/01/2017 à 11h58

chicot29 écrivait:
------------------
> Surtout quand on voit de quoi il est parti. -)


Merci / C'est vrai, et c'est souvent le cas...

La sécu y gagnerait sur le long terme, si les soins et prothèses étaient beaucoup mieux rémunérés, mais aussi plus contrôlés...


carident

20/01/2017 à 12h04

lardonbis écrivait:
-------------------
> ben sans moi.
>
> Le jour ou je me pose la question de passer à l'import je pose la turbine et je
> pars à la pêche.
> C'est que le taf que fait vaut plus le coup de se casser le bol..

Tu as tord : si l'on s'en tient que à la qualité des soins prodigués aux patients, ce qui est important c'est la qualité des soins et préparations que le dentiste réalise, la qualité de l'adaptation dépendant aussi du praticien, mais certainement pas de la nationalité du prothésiste où de la situation géographique de celui-ci...

Les labos exotiques savent aussi réaliser des prothèses esthétiques, personnalisées (avec des caractérisation), etc... Il suffit détailler ce que l'on souhaite ;-)


1...789...